Cookie Consent byPrivacyPolicies.comhelp - Eugenol
alhoun

04/07/2005 à 17h13

gamin 8 ans, fils d'un couple d'amis. fracture à l'école: compo+ surveillance: contrôle à 2 mois: dent ne répond pas aux tests de vitalité, y compris les coups de casserole.

càt???


Logo vuaztn - Eugenol
mac

04/07/2005 à 17h48

Controle radio pour voir si édification radiculaire, si pas bon apéxification avec Ca(OH)2


Al

04/07/2005 à 17h56

http://www.sop.asso.fr/Arbres/arbre-1-0.html

hope this help ...


catrose

04/07/2005 à 18h01

comme mac,mais je me mefie des tests de vitalite pulpaire a seulement 2 mois de la fracture
si pas d'autres symptomes,tu attends encore un peu(1mois minimum)et une retro ce serait bien,on pourra mieux juger


alhoun

04/07/2005 à 18h12

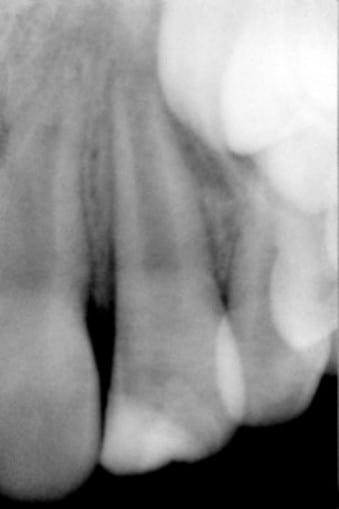
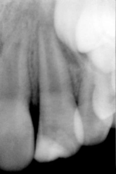
ok, j'attends un peu. l'ennui, c'est que le gamin se plaint un peu. alors l'hydroxyde, au lentulo?
voici une radio.
merci les gars.



oups, merci catrose.

James mifzjr - Eugenol

Logo vuaztn - Eugenol
mac

04/07/2005 à 18h16

L'hydroxyde tu peut le mettre au lentulo, mais il te faut un fouloir endo relativement long type fouloir de Machtou pour pouvoir tasser le Ca(oh)2 et faire un bouchon apical.

Si le patient se plaint c'est déja un test de vitalité positif non?


catrose

04/07/2005 à 18h21

douleurs declenchees par...?
Mais ca m'a l'air bien parti pour etre hydroxyde(et oui au lentulo )


alhoun

04/07/2005 à 18h24

quand il touche, quand il mord, rien de méchant, mais c'est là.


Logo vuaztn - Eugenol
mac

04/07/2005 à 18h30

La dent est elle mobile, est ce que c'est le fait que la dent bouge qui lui fait mal ou est ce que c'est la dent en elle même.


alhoun

04/07/2005 à 18h34

ça me semble bien être un ensemble.

je savais que la pédo c'était prise de tête.


Avatar transparent iqadnc - Eugenol
adhoc

04/07/2005 à 19h11

je rejoins mes confrères et consoeurs, alhoun; certainement, hélas, un début de nécrose pulpaire aseptique. Quelques séries de ca(oh)2 jusqu'à silence clinique et quasi apexification. Casse bonbon pour toi et le petit gars...Ne pas trop attendre.


Grueavatar nptrc9 - Eugenol
Le Choixpeau magique

04/07/2005 à 20h09

As-tu une radio à j 0 pour voir si il y a eu une évolution ?

Une vitalité pulpaire ça peut mettre un an à revenir, mais tes douleurs à la percussion (c'est bien ça ?) pourraient évoquer une nécrose, avec résorption inflammatoire à suivre.


Image19 iebot6 - Eugenol
athos

04/07/2005 à 20h37

je suis de l'avis de Catrose sur les faux tests negatifs dans ces cas là...la sensibilité vient du ligament
moi j'insiterais un peu, la vitalité n'est pas forcément perdue, sinon l'apexification sera plus difficile...
je n'ouvrirais pas encore.mais c'est tres risqué


alhoun

04/07/2005 à 20h45

c'est vrai que je n'ai pas vraiment fait un tableau clinique complet, donc:
-fracture amélo-detinaire sans effraction
- à 2 mois, changement de coloration, mobilité persistante mais atténuée, douleur légère à la percussion. tests négatifs.

merci pour vos contributions.


Une blonde

04/07/2005 à 21h18

Attention, lorsque l'apex n'est pas fermé les tests de vitalité sont négatif,donc la dent peut être encore vitale.
Il est urgent d'attendre et de contrôler souvent en prévenant le patient du risque de nécrose.
T'as pas une photo?


Image19 iebot6 - Eugenol
athos

04/07/2005 à 21h21

l'objectif primordial je crois est d'avoir un apex
faut temporiser et comparer les rd dans le temps

quand l'apex sera fermé toutes les possibilités seront ouvertes


Grueavatar nptrc9 - Eugenol
Le Choixpeau magique

04/07/2005 à 22h10

alhoun a écrit:
-------------------------------------------------------
> changement de coloration

Quelle couleur la coloration ?


Images 1 qtgoxf - Eugenol
ciwil

04/07/2005 à 22h36

début d'année, coup de fil de l'école:
- venez, votre fille est tombée dans la cour de récré, elle s'est cassé une dent.
examen: fracture de l'angle mésial de la 12

le lendemain, coup de fil de l'école:
-venez, votre autre fille s'est cognée contre le grillage, elle s'est cassé une dent.
rebelotte examen: fracture de l'angle mésial de la 12 !

vous y croyez vous ?!
indice: ce sont des fausses jumelles.

càt: plus d'école, trop dangereux.


alhoun

04/07/2005 à 23h45

Le Choixpeau magique a écrit:

>
> Quelle couleur la coloration ?
>
>


et bien un assombrissement, comme une mortification.


Amibien

05/07/2005 à 14h42

alhoun a écrit:
-------------------------------------------------------
> c'est vrai que je n'ai pas vraiment fait un
> tableau clinique complet, donc:
> -fracture amélo-detinaire sans effraction
> - à 2 mois, changement de coloration, mobilité
> persistante mais atténuée, douleur légère à la
> percussion. tests négatifs.
>
> merci pour vos contributions.
>


la pulpe est certainement en train de dégénérer mais il est possible quelle ne soit que partiellement nécrosée...

la coloration vient d'une sufusion sanguine dans les tubuli et la pulpe a dû vraiment être choquée..

si tu fait l'endo maintenant, tu es tranquille mais il faut fermer au MTA...

pour maîtriser saignement h202 et laser...

ceux qui aiment patienter et revoir souvent le patient vont jouer au ca(OH)2 qui pour moi est une merde... tellement c'est difficile de garder le produit propre dans son flacon ou son tube...

mais bon !


Amibien

05/07/2005 à 14h47

Une blonde a écrit:
-------------------------------------------------------
> Attention, lorsque l'apex n'est pas fermé les
> tests de vitalité sont négatif,donc la dent peut
> être encore vitale.
> Il est urgent d'attendre et de contrôler souvent
> en prévenant le patient du risque de nécrose.
> T'as pas une photo?
>
> je ne suis qu'une blonde


si la pulpe peut être sauvée sur ce coup là je veux bien me faire transexuer et me teindre en blonde... pétasse...


Une blonde

05/07/2005 à 15h55

Pétasse c'est de l'humour je suppose?
Pour ce que j'ai dit sur les tests pulpaires non valables sur dents immatures, ce n'est pas moi qui le dit, mais les pédodontistes.


Image19 iebot6 - Eugenol
athos

05/07/2005 à 15h59

en effet Amibien, je pense que Blondie a raison sur ce point
c'est tres risqué d'attendre, mais il n'y a pas eu d'ouverture et elle a raison

evidemment les capacités de réparation de la pulpe se trouvent et se trouveront tres diminuées, mais l'apexification est possible plus rapidement...

si tu ouvre la dent aujourd'hui, sans anesthesie, sur que tu va etre surpris!

pour l'avenir je pense que la vitalité sera compromise cependant, a courte échéance.


Grueavatar nptrc9 - Eugenol
Le Choixpeau magique

05/07/2005 à 16h06

alhoun a écrit:
-------------------------------------------------------
> et bien un assombrissement, comme une
> mortification.

Parcequ'en général si ça se colore en jaune ça veut dire que c'est en train de se calcifier, par contre si ça se colore en gris, c'est sans doute que la dent est nécrosée.



alhoun

05/07/2005 à 18h02

bon ,j'ai le choix entre suivre d'un coté l'avis de: catrose, une blonde, athos, adhoc, mac et Al et de l'autre, l'avis d'Amibien.
franchement, j'hésite.


12