Tous les forums
Fracture?pb paro?
15/07/2005 à 15h18
MARK a écrit:
-------------------------------------------------------
> tartre profond
> abrasions -->bruxisme
> hygiène très perfectible
> tabagie?
sans vouloir polemiquer juste pour moi quelques precisions
> détartrage profond sous anesthésie
non pas necessaire si tu controle l'infection prioritairement et que le brossage est efficace. Mais surtout evaluer les facteurs de risque et la reponse naturelle avant de faire du detartrage profond d'emblée qui detruit autant de parodonte qu'il enlève du tartre surtout s'il y a des lesions en phase evolutive
il est preferable de penser en paro
- stabiliser et traiter l'infection
-recuperer de l'attache de la façon la + naturelle possible
-reparer les sequelles
-maintenir
> détoxification du parodonte
oui la ou les lesions ne se sont pas fermées de façon naturelle
> irrigation H2O2+bétadine
non l'un ou l'autre mais pas les 2 ( spectre + large pour betadine mais pas utile si pas de parasites )
> si nécessaire meulage en sous occlusion
pour en sous occl et pas dans l'occlusion
> solidarisation transitoire (composite avec ou sans
> armature)
> apprentissage de la brossette et du fil
a faire avant le detartrage
> superfloss
> sensodyne classic pour sensibilité radiculaire
eventuelement
> abandon du tabac
> contrôle à deux mois
la cicatrisation à 2 mois n'est pas terminée
> si hygiène ok, détartrage impératif tous les 6
> mois
non si pas de facteurs de risque et si stabilité controle une fois par an suffisant . ( si tu trouves du tartre à 6 mois c'est qu'il y a des problèmes de brossage ....)
> ultérieurement réduction du bruxisme par
> restauration des secteurs postérieurs et port
> éventuel d'une gouttière
> l'arrêt du processus pathologique peut encourager
> à la réalisation d'une atelle si l'oclusion le
> permet, ou de coiffes solidarisées qui
> présenteraient l'argument d'une restauration de la
> morphologie du bloc antérieur abrasé
> tout cela dans l'hyppothèse où la patiente motivée
première hypothèse de travail avant toute chose . determiner ce qu'elle veut
> par son comportement s'encourage elle-même après
> le succès de la conservation d'une dent à laquelle
> elle est sûrement très attachée...
>
> j'ai obtenu quelques succès avec ce protocole
15/07/2005 à 17h28
Est ce vraiment unr fracture?
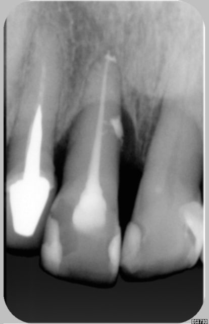
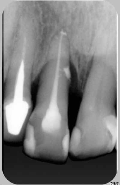
Je vous joint une radio prise en oct 98, la 11 est mobile sans grande sensibilté au froid, suppra profonde.
J'ai soulagé l'occlusion, et surfacage , tout est rentré dans l'ordre
elle revient en 09/2004 apres un épisiode douloureux avec abcés, j'ai éléimine d'emblée un problême paro, et plus de sensibilité
j'ai traité la dent, voir la deuxiéme radio
Un beau canal latéral
depuis génée devant au niveau collet gingival, j'ai du cureté l'exces de pate, la dent n'a plus de mobilité, et les douleurs ont disparues
Ca fait déja 7 ans que je lui dis qu'il va falloir lui mettre un implant.
15/07/2005 à 23h10
jeff2 ton cas pour moi c'est pas un canal lateral au depart c'est une felure car sur la derniére image il me semble qu'il y a un decrochement en mesial qui est apparu et qui traduit le deplacement Non???. D'ailleurs le parodonte environnant n'est pas stabilisé.......enfin me semble-t -il
16/07/2005 à 01h40
carole a écrit:
-------------------------------------------------------
> il est comment le secteur 4? sur ta photo...ça a
> l' air déserté par les dents....
non, non, y'a un bridge longue portée limite, limite...
Mark, je ne crois pas que ce ne soit qu'un pb paro simple même si elle est repartie avec ses soins locaux à effectuer.
Jeff2, ton cas ne correspond pas au mien regarde bien l'image du canal...
je la revois dans la semaine
merci les gars.
16/07/2005 à 13h35
canal lat ou fracture? la derniere radio ne Jeff2 ne m'a pas encore convaincu...mais c'est vrai que l'endo est tres belle...
17/07/2005 à 14h02
Sbire écrivait "pas de choc récent sur la dent".
Le reste me semble évident.
Avec toujours la même interrogation et après l'extraction?
Et l'on retourne dans la finance etc...
A+
17/07/2005 à 18h29
Je m'adresse au paro phil pour un petit point de détail dans le protocole que je ne permettrai pas de discuter: soins paro +contention ou contraire; c'est la chrono qui m'intéresse.
17/07/2005 à 22h20
adhoc dans le plan de traitement ou est la priorité ?
moi je me pose toujours cette question
ensuite si je fais une contention dans quel cadre . comment est l'environnement dentaire et paro dans le secteur concerné et ailleurs et comment vais-je avoir à gerer une mobilité extreme ou la perte d'une dent alors même que le terrain n'est pas evalué et encore moins stabilisé et si je conserve qu'est ce que je pourrais faire ensuite des dents limites
je suis très conservateur de dents trop surement mais j'ai toujours cette optique car je sais que pour traiter une parodontite il faut plusieurs mois et que j'ai le temps de voir venir..donc je ne me precipite jamais trop vite sur le davier par contre je previens toujours le patient qu'il y a un risque que cela ne marche pas ...
moi j'ai tendance s'il y a une forte mobilité et pour rassurer les patients toujours très inquiets à commencer par une contention
car s'il est tentant en paro d'emblée de partir sur une antiseptie souvent dans l'urgence on oublie d'evaluer la parodontite et le patient et l'on perd ensuite des données precieuses..( ces données sont perdues definitivemment et quand il y a pas de gros foyers infectieux à gerer en urgence la guerison de la parodontite n'est pas à 15 j ou 1 mois prêt )
par contre , s'il y a abcès et danger majeur pour la dent malgré tout je precris un atb selon le concept probabiliste et je demande aussi l'endo quand les pertes vont loins a cause des canaux lateraux .
dans mon CD sur le controle de plaque je montre un cas extrême . J'en ai plusieurs des cas comme cela qui repondent très bien et parfois sur le long terme... Comme l'alternative en debut de traitement est l'extraction et le remplacement de la dent souvent dans un contexte paro sevère pourquoi se precipiter et ne pas tenter de recuperer la dent au moins provisoirement et ou si autre chose de + complexe est enviseageable bien que la dent soit perdue pourquoi ne pas tenter en même temps une recuperation maximale de l'os deminéralisé environnant car mon problème actuel en paro est non pas de guerir l'infection ( on y arrive dans presque tout les cas ) mais la quantité de parodonte restant et les structures anat environnantes ...si je garde une molaire sup avec atteintes interradiculairesevoluées ( Classe III ) et que j'ai un risque de perte osseuse qui s'aggrave pour ensuite compliquer un eventuel schéma implantaire alors en accord avec le patient alors je conserve pas la dent .
mais adhoc pourquoi ne pas discuter de ces points de detail . Eugenol est riche à cause de cela
20/07/2005 à 19h30
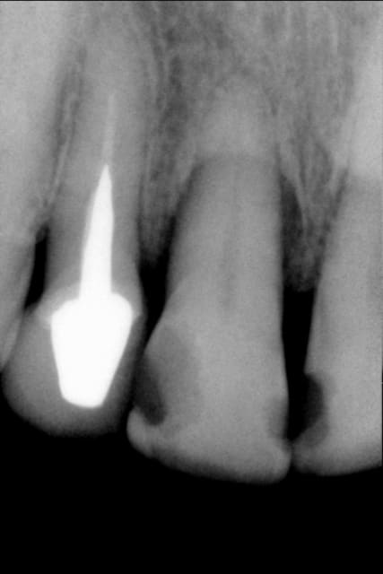
Revue hier, mobilité, nouvelle radio fracture confirmée mais sensibilité -
Prise de RdV chez confrère pour extraction/implant à la rentrée...
21/07/2005 à 01h00
STOP
Il est criminelle de poser un implant dans cette bouche où un prélévement de plaque au micro nous montrerait surement une faune aussi riche qu'au zoo de Vincenne.
J'espère qu'une préparation paro de TOUTE la bouche a été envisagé avant la pose d'un implant.
Si il y exo mise en place immédiate, j'aurai fait l'endo "style pulpo profonde" pour soulager la patiente et une contention pour pas bouffer l'os résiduel en attendant que l'H2O2 et le bicar commence a agir avant de l'implanter.
M'enfin j'suis qu'un BB de l'implanto ... et comme je suis mon propre assureur en cas d'échec, j'évite d'implanter dans des bouches merd...
Sinon à la radio, j'ai plus l'impression d'une lyse apicale que d'une fracture.
amicalement
21/07/2005 à 01h08
Merci chicot, je vais effectivement gérer la paro...
(je crois que je sais un peu maintenant)
je re-poste une radio demain ou l'image est plus nette.Pas la peine de tenter de la soulager pour risquer quoique ce soit, elle n'a plus trop de sensibilité si ce n'est la mobilité de la dent. Donc gêne mécanique, qu'elle gère bien.
Pour revenir à la flore paropathogène qui pourrait être "riche", ne dit pas comme le zoo de vincennes qui est nul, mais plutot comme le zoo de londres qui accueille nombre de bestioles toutes plus exotiques les unes que les autres.