Cookie Consent byPrivacyPolicies.comGreffes à gogo! - Eugenol

Greffes à gogo!

Logo vuaztn - Eugenol
mac

14/09/2005 à 01h34

Effectivemeni il a eu un traitement ortho mais à l'age adulte: il y a 13 ans. Le patient doit avoir la quarantaine.


Cuisinier2 vnbbxx - Eugenol
jeff2

14/09/2005 à 02h41

c'est un cas d'ortho chirurgicale du type Lefort1
en bas je sais pas trop mais aucune dent n'est dans son axe, ce qui peut expliquer aussi les recessions gingivale


Avatar ow44t3 - Eugenol
Chicot

14/09/2005 à 04h56

athos Ecrivait:
-------------------------------------------------------
> eh oui!!! mais je ne voudrais pas relancer le
> debat sur les mylolyses, parceque ça agace tout le
> monde...

c'est vrai qu'un coup de froid dessus c'est particulièrement A g a c a n t !!!


3f3boxni50k58rq7e9ce9ddqrxgk - Eugenol
dentiste57

14/09/2005 à 14h12

Le Choixpeau magique Ecrivait:
-------------------------------------------------------
> Les mylolyses ça n'existe plus.


les caries non plus mais j'en vois encore.


Grueavatar nptrc9 - Eugenol
Le Choixpeau magique

15/09/2005 à 00h43

C'est bien entendu le terme qui n'existe plus.


3f3boxni50k58rq7e9ce9ddqrxgk - Eugenol
dentiste57

15/09/2005 à 01h45

ouf !
j'ai cru un moment avoir des allucinations..


Image19 iebot6 - Eugenol
athos

15/09/2005 à 12h48

langue morte!


Logo vuaztn - Eugenol
mac

12/10/2005 à 17h44

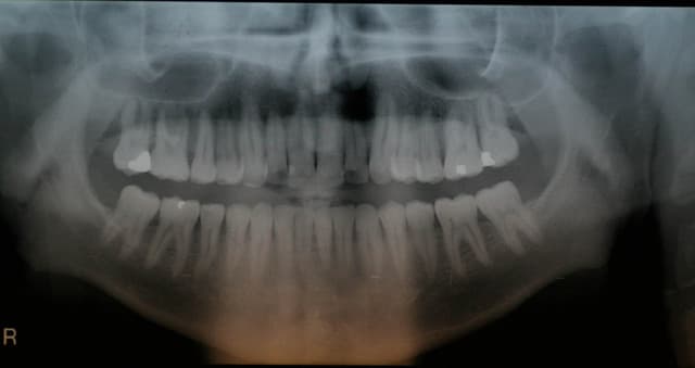
Des nouvelles fraiches: on va faire de l'ortho d'abord, dentosophie, et pour les recessions on verra après.

Sinon je suis etonné par le niveau osseux.

A votre avis en regard de l'apex de la 22, artefact?

P img 1458 oyjqgr - Eugenol

Audi tt 2007 jzsdts - Eugenol
sbire

12/10/2005 à 17h51

non, retro?


Logo vuaztn - Eugenol
mac

12/10/2005 à 17h56

non, la prochaine fois.


carole

12/10/2005 à 21h45

sorry de ne répondre que maintenant..je decouvre le post....cas terriblement interessant...

perso, il me semble à première vue que différentes tech doivent etre combinées,

on peut imaginer
1 er tps: du conj enfouis avec lambeau déplacé coronairement pour 11 21 22;

2ieme tps: epith conj pour 43 42 41 31 32 33

3ieme tps: lambeau déplacé latéralement (où tu récupères la portion vestib des papilles que tu decalles d' une demi dent)..... cette dernière tech pour les sect 44 45 34 35.... le résultat ne peut etre top, mais ça va grandement améliorer le futur site receveur.....si patient tjrs motivé...

4ieme tps: idem 1er tps sur sect 13 14 15 23 24 25

5ieme tps: des vacances bien méritées

6ieme tps, tu nous envoies les photos ;)

parce que je ne vois pas trop comment faire du top au niv des molaires....

m' enfin, je trouve ce cas terrible, et j' aimerai bien voir comment différents praticiens d' entre nous envisageraient le plan de ttt ....


phil

12/10/2005 à 23h05

carole Ecrivait:
------------------------------------------------------
be moi aussi je découvre ....
> sorry de ne répondre que maintenant..je decouvre
> le post....cas terriblement interessant...
>
> perso, il me semble à première vue que différentes
> tech doivent etre combinées,
>
d'accords avec toi
> on peut imaginer
> 1 er tps: du conj enfouis avec lambeau déplacé
> coronairement pour 11 21 22

le conjonctif n'est peut être pas necessaire car le parodonte semble assez epais autour

> 2ieme tps: epith conj pour 43 42 41 31 32 33

Ok avec toi
> 3ieme tps: lambeau déplacé latéralement (où tu
> récupères la portion vestib des papilles que tu
> decalles d' une demi dent)..... cette dernière
> tech pour les sect 44 45 34 35.... le résultat
> ne peut etre top, mais ça va grandement améliorer
> le futur site receveur.....si patient tjrs
> motivé...

technique qui nécessite des papilles assez larges .. on voit mal sur l'image....

> 4ieme tps: idem 1er tps sur sect 13 14 15 23 24
> 25

lateralement un recouvrement complet des racines me semble pas certain

> 5ieme tps: des vacances bien méritées

ok
> 6ieme tps, tu nous envoies les photos ;)
ok
>
> parce que je ne vois pas trop comment faire du top
> au niv des molaires....

quels risques si on laisse ainsi ?
>
> m' enfin, je trouve ce cas terrible, et j' aimerai
> bien voir comment différents praticiens d' entre
> nous envisageraient le plan de ttt ....



12