Cookie Consent byPrivacyPolicies.comactivateur bleu labo Channet - Eugenol

activateur bleu labo Channet

fagolisa

29/09/2005 à 02h07

qui connait cet activateur du labo de Clermont-Ferrand ? Vu la difficulté pour trouver un dentiste qui utilise les activateurs SB ou Bimler, je viens de prendre RV chez un dentiste dans ma région qui utilise cet activateur bleu du labo de Clermont-Ferrand en traitement.
fa


fagolisa

29/09/2005 à 02h09

et que feriez-vous là ??? fa

Dents de gauthier juillet 2005 xnxkgz - Eugenol

Images qct94b - Eugenol
themumbly

29/09/2005 à 22h47

En plus il est tres sympathique


val

30/09/2005 à 14h48

fagolisa Ecrivait:
-------------------------------------------------------
> et que feriez-vous là ??? fa



Faire ou REfaire un TT..............


fagolisa

30/09/2005 à 20h00

refaire un traitement, c'est ce qu'il me semblait. Je tenais à continuer avec un activateur de Bimler ou SB. malheureusement, dans ma région, il y a très peu de dentistes formés, je n'en connais aucun ! j'essaie depuis quelques mois de persuader un excellent dentiste de s'intéresser aux activateurs. Mon fils s'est vu retirer ses bagues après 18 mois de port parcequ'il souffre de dysgraphie, trouble de motricité fine, si fait que brosser ses bagues minutieusement était très difficile pour lui. résultat : ses gencives ont gonflé. le dentiste répare les dégâts....mais le traitement n'était pas terminé ! Une amie m'a trouvé deux dentistes à 40 kms qui utilisent cet activateur bleu.....le bout du tunnel ? RV en novembre.
fa


fagolisa

30/09/2005 à 20h02

en quoi est-il très sympathique ? pouvez-vous préciser ? merci. fa


Images qct94b - Eugenol
themumbly

30/09/2005 à 20h36

Qui, l'activateur????


Avatar transparent iqadnc - Eugenol
adhoc

30/09/2005 à 21h03

Val, c de l'humour ou moi y en a pas piger. Comment voir qquechose ortho. avec un pano seulement?!!!!!!
Si le traitement multiattache a été un bide, non de la faute du praticien traitant, mais de par la morpho psychologie de ton fiston, il t'a été conseillé une technique ammovible progressive. Mais il en existe d'autres. Tu trouveras ton bonheur avec un peu d'ouverture.
Mais tes propos doivent etre tres modérés car tu es sur un site professionnel réservé aux professionnels.


val

01/10/2005 à 00h31

adhoc Ecrivait:
-------------------------------------------------------
> Val, c de l'humour ou moi y en a pas piger.

réponse : c'est pas de l'humour.

> Comment voir qque chose ortho. avec un pano
> seulement?!!!!!!


la pano est riche d'enseignement:
il manque 4 PM : agénésies ou extractions ?
-> si agénésie avec perte des lacteales correspondantes, sans TT: on constate une fermeture des espaces en version : hypothese trés peu probable mais auquel cas faire TT ODF pour normaliser l'occlusion et les axes radiculaires.
-> si extractions :
1) extractions pilotées ? résultat moyen , faire TT ODF pour les axes radiculaires , etc..
2) extractions dans le cadre d'un TT ODF MB : REfaire le TT car c'est vraiment pas fini !!!

CQFD





val

01/10/2005 à 00h41

fagolisa Ecrivait:
-------------------------------------------------------
> >Mon fils s'est vu retirer ses bagues
> après 18 mois de port parcequ'il souffre de
> dysgraphie, trouble de motricité fine, si fait que brosser ses bagues minutieusement était très
> difficile pour lui. résultat : ses gencives ont
> gonflé.


-> Brosse electrique + revelateur plaque dentaire (Dentoplaque)

le dentiste répare les dégâts....mais le
> traitement n'était pas terminé !

-> je vois !

Une amie m'a trouvé deux dentistes à 40 kms qui utilisent cet activateur bleu.....le bout du tunnel ?

-> une mauvaise réponse à un vrai probléme : je dirai plutôt le "débout" du tunnel"


tralala

01/10/2005 à 02h33

fagolisa,
tu peux te faire une idee de l'activateur de Channet dans le sujet "supraclusion":photo jointe par jeff







Avatar transparent iqadnc - Eugenol
adhoc

01/10/2005 à 02h38

Val , il est vrai que les axes corono-rad des pm ne sont pas paralelles aux dents voisines (mais c'est assez mineur au vue de la pano car les tables occlusales semblent parallelles avec dents antagonistes) Mais le probleme ne peut pas, je pense, se résoudre avec du SB ou autre fonctionnel

Honnetement, une téléradiogaphie de profil et moulages seraient quand meme plus parlants!


fagolisa

01/10/2005 à 02h51

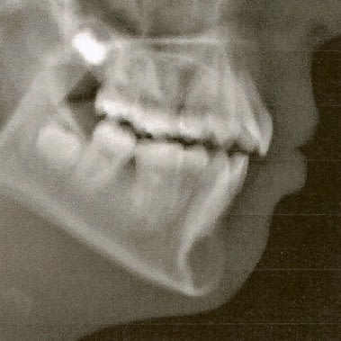
Gauthier a eu quatre extractions de dents saines pour manque de place. je n'ai pas le temps ce soir d'écrire plus. je joins la radio de profil. merci à tous de vos réponses.
fa

Profil gauthier kamvrf - Eugenol

fagolisa

01/10/2005 à 03h10

je rajoute encore une chose : je ne suis pas professionnelle. je suis juste la maman d'un (grand) gamin qui m'inquiète. l'orthodontiste n'a pas fini son travail parcequ'il ne pouvait pas le terminer à cause de la dyspraxie de mon fils. J'apprécie mon orthodontiste qui me suit pour un tt orthodontique. Seul hic, nous suivons le traitement de posturologie incompatible avec le port d'appareils orthodontiques (que nous avions déjà)...et aussi incompatible avec l'arrachage de dents. Nos dents étaient toutes saines. Pour nous cela s'est su trop tard qu'il ne fallait pas arracher les dents. Ma fille de neuf ans doit également commencer un tt mais je souhaite qu'elle commence de suite avec un activateur. fa


Avatar transparent iqadnc - Eugenol
adhoc

01/10/2005 à 12h01

Fagolisa, il existe plusieurs écoles plus ou moins intransigeantes quant a l'extraction des PM.
On ne m'a jamais encore montré un cas, jamais, ou une disharmonie de +6mm et une classe 2 pouvant etre réglée sans extraction en obtenant un resultat esthétique et fonctionnel convenables.
"il ne pas extraire de dents" est a employer avec extreme pondération.
Mais , meme sur le site, cet avis sera défendu par certains jusque boutistes qui ne présenteront jamais de cas finis avec les éléments défavorables cités plus haut et ceci, sans extraction, quand il faut démarrer un cas a 12 ans , par exemple.
"in medio veritas"


Zoe   son arriv e whwqpj - Eugenol
emma

01/10/2005 à 12h03

Fa tu as un MP non lu


val

01/10/2005 à 15h27

adhoc Ecrivait:
-------------------------------------------------------
>
> Honnetement, une téléradiogaphie de profil et
> moulages seraient quand meme plus parlants!
>


Bien évidemment, la pano est insuffisante mais elle indiquait un manque de finition des axes.
un plan de traitement ne peut être élaboré avec une pano seule.
En revanche, pour retrouver les axes , je le redis, c'est pas avec du fonctionnel que l'on peut s'en sortir dans ce cas mais avec du MB.



Avatar transparent iqadnc - Eugenol
adhoc

01/10/2005 à 16h32

Oui, val, pour redresser ces axes , soit anguler le bracket en arc droit , soit tordre du fil en edgewise.


Avatar transparent iqadnc - Eugenol
adhoc

01/10/2005 à 16h36

Mais dans ce cas , il existe une exigence liée au contexte psy-hygiene tres difficile a résoudre apparemment.
Je n'y connais pas grand chose en fonctionnelle, mais ne penses tu pas que, si l'alignement est obtenu , on ne puisse résoudre , en dehors de ce probleme d'axe qui est un facteur de récicdive possible, ce cas par port de SB?
Mon instinct (et juste lui) me dit que oui. Mais, bon....


Avatar transparent iqadnc - Eugenol
adhoc

01/10/2005 à 16h40

Mais dans le cas de ddm, et de classe 2, et d'un traitement a partir de 12 ans, on n'aurait pas pu. Cas extreme pour moi, non resolvable par SB.
Mais maintenant que la ddm semble résolue GRACE aux extractions , le passage a fonctionnel n'est il pas possible par ce cas de force majeure?


val

01/10/2005 à 17h53

adhoc Ecrivait:
-------------------------------------------------------
> Mais dans ce cas , il existe une exigence liée au contexte psy-hygiene tres difficile a résoudre
> apparemment.

-> voir sur la photo l'hygiene d'un patient en TT MB atteint d'une anomalie génétique l'empechant de se brosser les dents. C'est la famille qui s'en charge et c'est exemplaire (mais hélas pas à la portée de tout le monde d'assurer un tel suivi)


> Je n'y connais pas grand chose en fonctionnelle,
> mais ne penses tu pas que, si l'alignement est
> obtenu , on ne puisse résoudre , en dehors de ce
> probleme d'axe qui est un facteur de récicdive
> possible, ce cas par port de SB?

il me semble justement que pour assurer la stabilité, on gagne plus à parfaire les axes (le Mb est bien adapté pour cela) et pourquoi pas ensuite pratiquer une contention de type positionneur (avec ou sans set-up) ce que je ne me prive pas de faire quand il faut afin d'asseoir l'occlusion.



Dscn0265 v0ldam - Eugenol

Avatar transparent iqadnc - Eugenol
adhoc

03/10/2005 à 13h06

Et bé, chapeau a la famille qui s'occupe bien de l'hygiène de cet handicapé. Ca fait plaisir a voir, et tes photos toujours magnifiques, merci, val.
(C'est un cas difficile, d'autant plus qu'il faudra suréléver pour le saut d'articulé.)


fagolisa

04/10/2005 à 16h53

à JEFF :
pourquoi les cas que vous présentez sont uniquement de SB latex, pourquoi ne présentez-vous pas de cas de Channet (activateur bleu) : est-ce que SB latex donne de meilleur résultats que "channet".

à Jeff, Algi, Isaïe ...
"comment saver les meubles" après 18 mois de traitement ODF avec extraction de 4 prémolaires (le moins onéreux, le moins contraignant pour un ado dyspraxique, donc très maladroit et qui perd facilement ses affaires, qui n'arrive pas à brosser correctement entre ses bagues...)?

Peut-on imaginer faire une contention (anti-récidive) par Channet ou SB latex ??? car les SDP qui ont terminé un traitement ODF MB continuent à bruxer (car esthique améliorée, mais SDP demeure, voire amplifié), au lieu de leur prescrire des gouttières passives pour bruxisme, pourquoi pas un activateur latex ou silicone à la place ???

fa


Icon poker h4nm2d - Eugenol
jeff

04/10/2005 à 22h30

C'est vrai que les axes des dents ne sont pas top, mais bon, on peut vivre avec. ce qui est à voir, c'est si les milieux sont centrés ( sur la pano, il ne le sont pas ). si c'est oui, pourquoi pas une contention-finition de traitement par un positionneur. Si c'est dévié, c'est vrai qu'il vaux mieux reprendre le traitement.


fagolisa

05/10/2005 à 02h12


Merci Jeff ! vous avez écrit :
"une contention-finition de traitement par un positionneur. Si c'est dévié, c'est vrai qu'il vaux mieux reprendre le traitement."

n'étant pas professionnelle, j'aimerais comprendre en quoi consiste alors cette contention-finition de traitement par positionneur ? est-ce un activateur ? autre chose ? me joindre une photo d'exemple peut-être ? si ce n'est pas un activateur....pourquoi cela ne fonctionnerait pas sur mon fils ? il a 14 ans. les dents de sagesse commencent à sortir. le traitement par bagues est impossible chez lui.
fa reconnaissante


12