Cookie Consent byPrivacyPolicies.comFranchement, c'est pas mieux qu'un amalgame ? - Eugenol

Franchement, c'est pas mieux qu'un amalgame ?

al

30/09/2005 à 18h28

en oubliant black et ses extensions préventives ...

Fin vj0w3m - Eugenol
Initial uh9bzy - Eugenol
Cavites q7lxxu - Eugenol
Etching eaiuhw - Eugenol

Logo vuaztn - Eugenol
mac

30/09/2005 à 18h43

Oui c'est mieux mais pourquoi ne pas avoir touché à la 8?


Zoe   son arriv e whwqpj - Eugenol
emma

30/09/2005 à 18h57

A cador cador et demi, je reconnais bien là ton talent al et le digne élève de D Dietschi, pourquoi ne postes tu pas plus souvent tes travaux?


Avatar transparent iqadnc - Eugenol
adhoc

30/09/2005 à 19h06

Son apn est dans le panier a salades avec la roquette de cyber_.


al

30/09/2005 à 19h10

mac Ecrivait:
-------------------------------------------------------
> Oui c'est mieux mais pourquoi ne pas avoir touché
> à la 8?


Y'en a qui suivent. J'attendais la question.

La 8 doit être extraite, pour entre autres raisons ortho


Amibien

30/09/2005 à 19h11

euh, oui mais la digue n'était pas étanche... et.... euhhh....


Zoe   son arriv e whwqpj - Eugenol
emma

30/09/2005 à 19h19

al Ecrivait:

> La 8 doit être extraite, pour entre autres raisons
> ortho

Pourquoi pour raison ortho al?

Cette 8 à l'air tout à fait en place et si c'est à cause d'un encombrement incisif que tu veux extraire sache que les dernières données en ODF fonctionnelles disent qu'en aucun cas les 8 sont responsables de cet encombrement.



al

30/09/2005 à 19h56


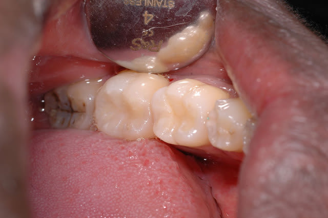
j'ai dit entre autres. en fait, même si elle à l'air en place, elle lui provoque une inflammation réccurente. y a un kyste rétromolaire. sa pano étant chez le stomato, je peux pas vous la poster.

emma Ecrivait:
-------------------------------------------------------

> > Pourquoi pour raison ortho al?


al

30/09/2005 à 19h59

désolé l'ami(be), y a pas longtemps que j'ai appris à la mettre je manque un peu de pratique. Mais je vais essayer de m'améliorer.



Amibien Ecrivait:
-------------------------------------------------------
> euh, oui mais la digue n'était pas étanche...
> et.... euhhh....
>
>



Amibien

30/09/2005 à 20h14

elle est forte celle-là... il y a pas longtemps que tu as appris à la mettre ?

n'importe quoi... tu te moques de moi, une fois de plus...


Image19 iebot6 - Eugenol
athos

30/09/2005 à 21h51

bin oui beau,c'est mieux c'est sur, economie, prevention,esthetique, c'est....heu....nickel chrome!!!


so

01/10/2005 à 01h37

LE FIL DENTAIRE!!!VOUS N'AVEZ PAS PASSEZ LE FIL EN INTERDENTAIRE!!CA SERT A QUOI DE POSER UNE DIGUE??
Voila ce que m'a geulé mon prof qd j'ai fait comme toi l'autre jour...à bon entendeur...


jouk

01/10/2005 à 05h07


Consideres tu que c'est juste un scellement préventif des sillons ou ton patient présentait des sillons infiltrés?
Si pas de carie et patient adulte,pour moi c'est un acte inutile.


al

01/10/2005 à 11h03

jouk Ecrivait:
-------------------------------------------------------
> > Consideres tu que c'est juste un scellement
> préventif des sillons ou ton patient présentait
> des sillons infiltrés?

Il ne devrait pas t'avoir échappé que les colorations que nous avons par transparence sous les sillons, montrent une atteinte de la dentine.

Ce que le sondage confirme. Mais c'est vrai que souvent, ces variations de couleurs, quand il s'agit de caries de relative petite étendue, peuvent passer à la trappe d'un manque de lumière et de grossissement. D'ou l'intérêt d'aides optiques, j'utilise des loupes x4,5 et d'une lumière froide très puissante, associée.

Ce qu'a confirmé aussi, l'ouverture des sillons. J'aurais dû, il est vrai prendre une image avant l'éviction des zones cariées.

P.S message personnel à emma. laisse tomber, par définition il n'est pas possible à tous de comprendre les subtilités d'un private joke.


Avatar ow44t3 - Eugenol
Chicot

01/10/2005 à 14h56

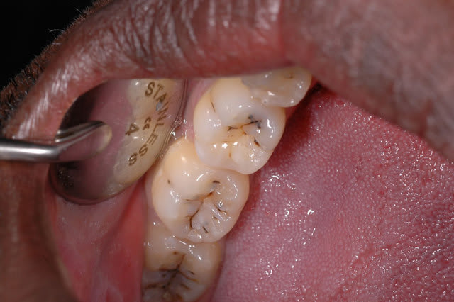
Je m'associe aux remarques concernant l'étanchéité douteuse de la digue.

il existe:
- du fil dentaire pour passer les points de contacts
- de la digue liquide bisico (merci Carole) ou des mélanges bicarbonate-fixodent (et plein d'autre truc encore) pour les défauts périphérique d'étanchéité


Sinon les photos sont très belles, et les reconstitions plus belle qu'avec un "plombage" ;)


ps: on est dur hein !!!


Charlot

01/10/2005 à 17h25

Je suis surpris que tu aies touché a ces dents. Est - ce que ta sonde plantait ou tu as fait tout cela par esthetisme. Tes sillons ne me parraissaient pas en activité carieuses. J'aurai laissé tel quel avec de la surveillance.


Img 1744 z0evts - Eugenol
dumaille

01/10/2005 à 17h25

arrêtez donc de chercher Al!
Même si la digue n'est pas étanche, elle a le mérite d'être là. Il s'est fait plaisir, le patient est content. Que demande le peuple!


Audi tt 2007 jzsdts - Eugenol
sbire

01/10/2005 à 17h47

Et puis la critique est aisée, vos cas ils sont où?

Mais bon si elle est pas étanche...c'est vrai..;)


al

01/10/2005 à 17h48

Charlot arrête ton cinema. J'ai fait ça uniquement parce que je manquais un peu d'argent de poche pour le week-end et que 2 fois SC6, ça m'a permis de m'offrir un paquet de clopes.

Ah non tu me crois pas ? T'as raison, je fume pas.

;)

Charlot Ecrivait:
-------------------------------------------------------
> Je suis surpris que tu aies touché a ces dents.
> Est - ce que ta sonde plantait ou tu as fait tout
> cela par esthetisme. Tes sillons ne me
> parraissaient pas en activité carieuses. J'aurai
> laissé tel quel avec de la surveillance.



Zoe   son arriv e whwqpj - Eugenol
emma

01/10/2005 à 18h23

Charlot Ecrivait:
-------------------------------------------------------

Tes sillons ne me parraissaient pas en activité carieuses.

Charlot si tu savais ce que veut dire activité carieuse tu ne poserais pas cette question, la présence de plus de 3 caries chez le jeune patient et de 2 chez l'adulte = activité carieuse.

Dans le cas que nous a présenté al, il y a plus de 3 caries donc le risque carieux est élevé, il est intéressant alors de mettre en route un traitement prophylactique et de soigner les caries et /ou de sceller les sillons en deuxième intention, surveiller des caries n'est plus de mise actuellement, c'est uniquement pour se donner bonne conscience qu'on n'intervient pas sur de tels cas, mais c'est vrai que pour SC6 autant attendre que ce soit plus grave.



Grueavatar nptrc9 - Eugenol
Le Choixpeau magique

01/10/2005 à 18h37

emma Ecrivait:
-------------------------------------------------------
> surveiller des caries n'est plus de mise
> actuellement, c'est uniquement pour se donner
> bonne conscience qu'on n'intervient pas sur de
> tels cas, mais c'est vrai que pour SC6 autant
> attendre que ce soit plus grave.

Je ne me prononcerai pas sur le cas présenté étant donné que je n'étais pas à la place de Al (belle réalisation en tout cas), par contre Emma, permet moi de mettre un peu en doute ton affirmation.
L'oc actuelle se dirige de plus en plus vers la microdentisterie, voire dans certains cas vers la reminéralisation des lésions non cavitaires.
Dire qu'il faut intervenir à tout prix me semble un peu schématique.


al

01/10/2005 à 23h38

Le Choixpeau magique Ecrivait:
-------------------------------------------------------
> Je ne me prononcerai pas sur le cas présenté étant
> donné que je n'étais pas à la place de Al (belle
> réalisation en tout cas)

merci mais je ne suis que minuscule. al, pas Al

> par contre Emma, permet
> moi de mettre un peu en doute ton affirmation.
> L'oc actuelle se dirige de plus en plus vers la
> microdentisterie, voire dans certains cas vers la
> reminéralisation des lésions non cavitaires.

Je voudrais pas me mêler de ce qui ne me regarde pas, puisque la question ne m'est pas destinée, mais, on fait comment de la microdentisterie sans toucher à la dent ? Même question avec la reminéralisation.


Amibien

02/10/2005 à 03h14

Ne dit-on pas "celui-là, c'est un Charlot...?"


NADya

02/10/2005 à 03h43

je pense que l amalgame bien que moins esthetique mais beaucuoup plus solide et durable


Avatar ow44t3 - Eugenol
Chicot

02/10/2005 à 03h58

NADya Ecrivait:
-------------------------------------------------------
> je pense que l amalgame bien que moins esthetique
> mais beaucuoup plus solide et durable
>


oh ! dans ce cas j'en doute


12...