Cookie Consent byPrivacyPolicies.comVotre avis sur un cas - Eugenol

Votre avis sur un cas

Rape p0as4f - Eugenol
rapelapente

05/10/2005 à 21h57

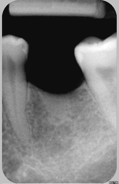
J'aimerai avoir votre avis sur ce cas (implant niveau 46).
L'image préop montrait déja une zone légèrement radioclaire.
celle-ci s'est "éclairci" sur le cliché à 3 mois, et est stable sur celui à 4 mois.
J'ai qd même posé aujourd'hui la vis de cicatrisation.
C'est complètement asymtômatique, trés stable, j'ai fait un essai de vissage d'un moignon à la clé dynamo et aucune douleur n'a été perçue.
Que faire ? attendre encore? poser la céram?
Allez!! à vos plumes averties!

Préop ecsbsc - Eugenol
Jour pose cyq19h - Eugenol
3 mois epntmx - Eugenol
4 mois bfejur - Eugenol

alhoun

05/10/2005 à 22h07

vitalité de la 45?
pourquoi cet axe?


Rape p0as4f - Eugenol
rapelapente

05/10/2005 à 22h41

La 46 est mésialée c'est ce qui donne cette impression.
Je suppose la 45 "vivante", elle ne présente aucun symptôme ni coloration.


alhoun

05/10/2005 à 23h09

si elle a été mortifiée par ton forage, il est tôt pour avoir une coloration ou un symptôme.
à ta place, je ferais un test.
s'il vire au bleu, t'es marron ;)


Rape p0as4f - Eugenol
rapelapente

05/10/2005 à 23h17

c'est vrai qu'un granulôme ayant la 45 pour origine expliquerait bien l'image brrr! si je suis marron je serai vert....de rage !


martin

06/10/2005 à 00h03

ai eu un cas semblable il y deux ans.
Image radioclaire et implant totalement immobile.
Six mois aprés la pose de la prothèse , implant toujours parfaitement immobile mais extériorisation vestibulaire d'une lésion de type granulomateuse.
1 ere tentative de curetage avec conservation de l'implant = echec
Il a fallu que je vire l'implant (pollution bactérienne de surface sans aucun doute)qui était sur sa partie cervicale totalement ostéoancré.
Les recherches radio avant la pose de l'implant n'ont rien révélé.
Mystère et boule de gomme.
Va falloir que j'en parle à Lopette!


Rape p0as4f - Eugenol
rapelapente

06/10/2005 à 00h11

envoie des radios de ton cas si tu as !


martin

06/10/2005 à 00h17

suis une chèvre en informatique mais vais essayer (logiciel de radio sur ordi non connecté)


Dscn3400 tjaray - Eugenol
Boris

06/10/2005 à 00h19

Il existait peut-être un reste de granulome peu visible à la radio entre deux tables osseuses parfaitement intactes.
Connais tu la raison de l'extraction de cette dent?
As tu un scanner avec des coupes coronales de cette zone?


martin

06/10/2005 à 00h26

fracture , il s'agissait d'un 24 pour la mienne


Rape p0as4f - Eugenol
rapelapente

06/10/2005 à 00h39

j'ai pas fait de scan, malheureusement, (je n'en fait pas, même a ce niveau, qd le pano est suffisament "généreux") et j'ignore la raison de l'extraction. Mais comme c'est une patiente hypermotivée elle doit s'en souvenir, je lui demanderai.


Dscn3400 tjaray - Eugenol
Boris

06/10/2005 à 00h47

J'ai un ami qui s'est fait piéger ainsi: un boulevard au niveau d'une 36, le nerf alvéolaire à distance, une table très large, un OTP parfait avec un os qui semblait bien minéralisé.

Il ouvre: un gouffre entre deux tables osseuses intactes...... La dent avait été extraite après une fracture et le curetage n'avait sans doute pas été suffisant.

C'est peut-être en moins important ton problème......


Avatar ow44t3 - Eugenol
Chicot

07/10/2005 à 01h34

Boris Ecrivait:
-------------------------------------------------------
> J'ai un ami qui s'est fait piéger ainsi: un
> boulevard au niveau d'une 36, le nerf alvéolaire à
> distance, une table très large, un OTP parfait
> avec un os qui semblait bien minéralisé.
>
> Il ouvre: un gouffre entre deux tables osseuses
> intactes...... La dent avait été extraite après
> une fracture et le curetage n'avait sans doute pas
> été suffisant.
>
> C'est peut-être en moins important ton
> problème......


Le scan n'aurait pas changé grand chose, une fois ouvert, au lieu de placer l'implant, tu curtes l'alvéole et tu attends 3 mois si tu n'as pas de profondeur suffisante pour un ancrage de l'apex de ton implant. Sinon 6 à 8 semaines.

Pour l'implant de rapeladent, je dirais que ça sent pas bon.

Fait un test au froid de la 45 pour voir si ton axe de forage n'a pas touché le paquet vasculonerveux de cette dent, ce qui pourrait expliquer effectivement la nécrose.

Tu as le choix entre :

poser une provisoire (on sait jamais, si c'est réversible, tu pourras toujours mettre ta céram mais si ça empire .....)

poser une céram, si tu fais prendre de bains de bouche à l'eau de lourde à ton patient...

déposer l'implant tant qu'il reste de l'os, cureter soigneusement et reposer à 6_8 semaines (ce que je conseille humblement)


bloumbloum

07/10/2005 à 13h07

ca a l'air mal barre.
pose le moignon et une couronne pro pendant qq mois.
Au maximum,tu reutiliseras le moignon et tu n'auras perdu qu'un peu de temps.
D'apres mon experience,lorsque tu as une image au tiers ou a "l'apex" de l'implant,et donc impossibilite de nettoyer,meme si l'implant semble solide (parceque qq mm du pas de vis sont osteointegres),eh bien le pronostique est plus que reserve.


Dscn3400 tjaray - Eugenol
Boris

07/10/2005 à 22h32

Chicot Ecrivait:

> Le scan n'aurait pas changé grand chose, une fois
> ouvert, au lieu de placer l'implant, tu curtes
> l'alvéole et tu attends 3 mois si tu n'as pas de
> profondeur suffisante pour un ancrage de l'apex de
> ton implant. Sinon 6 à 8 semaines.

Dans l'absolu non; mais ça évitait de préparer toute la salle d'op, de bloquer un créneau horaire important, de dilapider un kit de champs, de blouses, de sérum etc etc......
Si la frustration a un prix, on la rajoute à l'addition!

Mais c'est vrai, le patient économise le scanner et ses radiations... Eternel débat!


carole

08/10/2005 à 02h00

il me semble que ça peut etre du aussi à un echauffement pdt le forage...non? os de quel type? tu as foré à quelle vitesse? coupe de serrage pour blocage de l' implant? quelle couv antibio per op? y a-t-il eu un contact avec de la salive av la mise en place???

pour ce qui est de déposer l' implant...ben, après 4 mois, tu risques d' avoir une bosse ostéeoI sur le reste de l' implant...as-tu assez d' os en périph pour carotter?


Rape p0as4f - Eugenol
rapelapente

08/10/2005 à 02h05

déposer/cureter çà semblerait sage je vais voir si je peux faire passer çà à la patiente. sinon allez je me limite à une provisoire. je vous tiens au courant.


Avatar ow44t3 - Eugenol
Chicot

08/10/2005 à 14h12

carole Ecrivait:
-------------------------------------------------------
> il me semble que ça peut etre du aussi à un
> echauffement pdt le forage...non?

Si ça chauffe, on m'a enseigné qu'alors il y avait ostéo-nécrose avec douleurs à J+3 de type pulsatile évoluant vers la fibrointégration si on gave le patient d'AB et d'AINS tellement on a la pastéque et que l'on refuse de déposer l'implant.

Pourquoi alors cette image si tardive ??? et une ostéo-intégration partiel en coronnaire.

L'étiologie n'est pas évidente, et c'est un peu angoissant...


Amibien

08/10/2005 à 14h13

rapelapente Ecrivait:
-------------------------------------------------------
> déposer/cureter çà semblerait sage je vais voir si
> je peux faire passer çà à la patiente. sinon allez
> je me limite à une provisoire. je vous tiens au
> courant.


Il ne peut être question de jouer avec l'avenir d'un tel site...

L'axe est vraisemblablement incorrect, même si la "6" est versée en mésial...

Il est difficile d'imaginer le P.O. mais quand même cela ne semble pas juste...

L'image sombre autour de l'implant est comme une nuage noir qui préfigure l'orage... la "5" m'inquiète...

Il faut déposer, laisser tranquille plus d'un mois pour ensuite poser une base large en utilisant un guide et en forant tranquille avec beaucoup de liquide physiologique...

Ta patiente ? tu lui expliques que pour son bien tu veux mettre un autre implant plus gros et que cela ne lui coûtera rien de plus...


alhoun

08/10/2005 à 14h52

avis d'alhoun, qui n'engage que lui:
endo sur la 35 et temporisation sur l'implant.


Amibien

08/10/2005 à 14h57

endo sur "5" ? o.k. si la dent se manifeste excessivement...

d'emblée c'est une solution radicale qui évite de revoir le cas, l'implant pourrait fonctionner, certes, mais quand même cela mérite réflexion objective de la part de notre confrère...


Avatar ow44t3 - Eugenol
Chicot

08/10/2005 à 17h29

Amibien Ecrivait:
-------------------------------------------------------
> endo sur "5" ? o.k. si la dent se manifeste
> excessivement...

ou si n'y a plus de réaction au froid

>
> d'emblée c'est une solution radicale qui évite de
> revoir le cas, l'implant pourrait fonctionner,
> certes, mais quand même cela mérite réflexion
> objective de la part de notre confrère...

oui ça mérite de réfléchir et d'avoir une explication "rationnelle"



carole

08/10/2005 à 22h46

Chicot Ecrivait:
onfrère...
>
> oui ça mérite de réfléchir et d'avoir une
> explication "rationnelle"
>
>
>


tel à fox chicot et scully emma...


Amibien

09/10/2005 à 18h51

carole Ecrivait:
-------------------------------------------------------

> tel à fox chicot et scully emma...


Toi tu es Scully et Fox à la fois...

Encore bravo pour ton beau cas de greffe, mais remets une couche pour le 13 sinon il ne te portera pas chance... (;-))


Rape p0as4f - Eugenol
rapelapente

12/10/2005 à 23h12

revu aujourd'hui la patiente.
Cette dent a été extraite il y a cinq ou six ans sur fracture/infection.
Aucune sensibilité au froid de la 45.
La patiente préfère attendre avec une provisoire.
Je me laisse tenter par l'attentisme...
Ce )*§:?\~;!!! d'implant semble indestructible!
je vs donnerai des nouvelles


12...