Cookie Consent byPrivacyPolicies.comVotre avis sur un cas - Eugenol

Votre avis sur un cas

Amibien

12/10/2005 à 23h40

rapelapente Ecrivait:
-------------------------------------------------------

> Je me laisse tenter par l'attentisme...
> Ce )*§:?\~;!!! d'implant semble indestructible!
> je vs donnerai des nouvelles



et vive l'attente qui bouffe la rentabilité...

je ne te souhaite que du bien...


Avatar ow44t3 - Eugenol
Chicot

13/10/2005 à 00h08

rapelapente Ecrivait:
-------------------------------------------------------
> revu aujourd'hui la patiente.
> Aucune sensibilité au froid de la 45.

sensibilté ou réaction ?

Ben alors tu fais quoi ? endo ou rien


> La patiente préfère attendre avec une provisoire.
> Je me laisse tenter par l'attentisme...
> Ce )*§:?\~;!!! d'implant semble indestructible!
> je vs donnerai des nouvelles

C'est un ankylos ton implant ?


Rape p0as4f - Eugenol
rapelapente

14/10/2005 à 21h38

Ah! oui!
ANKYLOS ! bien sûr!
pour le cône morse!
DE-FI-NI-TI-VE_MENT !!!!
Je ne fais pas l'endo non plus tout de suite mais je vais surveiller de trrrréééss prééésss!


Rape p0as4f - Eugenol
rapelapente

17/10/2007 à 18h31

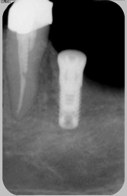
DES NOUVELLES DU CAS
Je revois la patiente aujourd'hui et voila la radio: l'image suspecte a disparu presque complètement, implant complètement silencieux et fixe... todo isso e muito bem!!!
Bien fait de ne rien faire, surtout à cette pôvre prémo !

02 11 2005 jpg zprydo - Eugenol
07 09 2005 jpg eidukg - Eugenol
17 10 2007 jpg r4dslz - Eugenol
02 11 2005 jpg w5mknu - Eugenol

Rape p0as4f - Eugenol
rapelapente

17/10/2007 à 18h38

voila les autre radios, çà marche décidement trés mal les pièces jointes...


Rape p0as4f - Eugenol
rapelapente

17/10/2007 à 18h41

GRRRRR !!!!!!

17 10 2007 jpg djifmb - Eugenol

maxx

17/10/2007 à 18h46

j ai eu un cas similaire il y a 6 mois. 36 anciennement extraite, qui était inter de bridge. j ai posé puis 3 semaines apres :legere tumefaction gingivale, à la radio une sacrée image radio claire, puis apres ttt antibio regression importante, pdt tout ce temps, aucune douleur ou mobilité de l implant. 6mois plus tard j ai tout de meme posé la ccm sans symptome aujourd'hui.Cependant la lesion existe tjs a la radio.je surveille de prés.Je pense à une lesion préexistante en sommeil aprés l extraction.


Rape p0as4f - Eugenol
rapelapente

17/10/2007 à 18h48

il est urgent de ne rien faire ... mais en tous cas je n'ai tj pas d'explication pour l'image... envoie un peu la tienne pour voir


Avatar ow44t3 - Eugenol
Chicot

17/10/2007 à 23h13

Y'a quand même un tissus fibreux non osseux, mais l'implant a suffisament d'os ailleurs autour de lui pour tenir le coup quand même.

P'être bien que ça ne bougera jamais, mais une RX tout les ans me semble assez raisonnable, juste au cas où...


Rape p0as4f - Eugenol
rapelapente

18/10/2007 à 17h42

oui Chicot mais s'agit il de fibres ou d'os moins dense ? les limites ne sont plus nettes comme au début.
C'est beau l'IMPLANTO quand même !


Amibien

18/10/2007 à 18h01

rapelapente Ecrivait:
-------------------------------------------------------
> oui Chicot mais s'agit il de fibres ou d'os moins
> dense ? les limites ne sont plus nettes comme au
> début.
> C'est beau l'IMPLANTO quand même !




garde-toi bien de laisser fumer tes oreilles, certains trucs peuvent encore arriver qui te donneront des sueurs froides dans le dos ou te feront entendre des acouphènes.


Rape p0as4f - Eugenol
rapelapente

19/10/2007 à 12h28

Dans le midi qd on a les oreilles qui fument on peut se baigner au moins Ah!AH! mais tu as raison qd même Amibien, j'en mène pas large....


henri

19/10/2007 à 13h57

rapelapente Ecrivait:
-------------------------------------------------------
> il est urgent de ne rien faire ... mais en tous
> cas je n'ai tj pas d'explication pour l'image...


ça m'est arrivé
je pense lésion osseuse consécutive à ancienne extraction,


Avatar ow44t3 - Eugenol
Chicot

19/10/2007 à 15h42

rapelapente Ecrivait:
-------------------------------------------------------
> oui Chicot mais s'agit il de fibres ou d'os moins
> dense ? les limites ne sont plus nettes comme au
> début.
> C'est beau l'IMPLANTO quand même !


ben au bout de 2 ans je dirais.......fibrose !

je gagne qq chose ?


Fouilla h6plsy - Eugenol
fouilla

19/10/2007 à 16h04

dans le même esprit voila un cas que j'ai réalisé il y à maintenant 5 ans .
mise en place d'un 4*10 en position de 36 lors du forage légère félure de la corticale vestibulaire par blocage du forêt de 2.8
j'ai mis en place l'implant et la suite parle d'elle même...
j'ai alors décidé de le mettre en fonction quand même et au final cinq ans après je n'ai vraiment aucun regret
je posterai la rétro d'hier après car depuis je suis passé sous kodak et passerelle plus dure à manipuler pour compresser

002 n0kpvp - Eugenol
003 uhvdyh - Eugenol
012 pvf9xc - Eugenol
019 mecr93 - Eugenol

Rape p0as4f - Eugenol
rapelapente

20/10/2007 à 01h02

vraimentje me répète, c'est beau l'implanto ! il tiens par 50 % de son fut ton implant !


GROSDEG

20/10/2007 à 13h05

fouilla bonjour
as tu raconté a ton patient les problemes rencontrés avec cet implant?comment fais tu la maintenance?


Avatar ow44t3 - Eugenol
Chicot

20/10/2007 à 15h57

rapelapente Ecrivait:
-------------------------------------------------------
> vraimentje me répète, c'est beau l'implanto ! il
> tiens par 50 % de son fut ton implant !


c'est comme un shorty !


Fouilla h6plsy - Eugenol
fouilla

22/10/2007 à 16h25

je vais vous envoyer la dernière rvg de ce fut et vous verrez la surprise ... dr fouilla a fait repousser l'os ou yen avait plus et toc !
en fait à l'époque je n'avais surtout pas cureté le fut mais au départ fait quelques instillations et pis j'avais à deux reprises mis un mélange d'AB en local en sringues automélangeuses et je ne me souviens plus du tout du nom du produit (je pourrai en insistant bien le retrouver mais m'ne fout aujourd'hui)et wait and see . promis la photo bientôt


Fouilla h6plsy - Eugenol
fouilla

22/10/2007 à 16h30

pour répondre à la question qu'à tu dis au patient ?
et bien ce qui s'est passé car lorsque le forêt s'est bloqué il a bien vu que quelque chose n'allait pas comme prévu (moteur bloqué et force pour désinsérer le forêt du puits de forage...)
et par la suite il a toujours su la vérité en regardant les rvg successives ...


Blason dql7mj - Eugenol
growler

22/10/2007 à 19h14

bonjour fouilla, à quoi attributs tu cette résorption?
(moi j'ai ma petite idée)

@++


Fouilla h6plsy - Eugenol
fouilla

23/10/2007 à 12h44

voici la photo de mon écran , si quelqu'un connait la façon de compresser une rvg issue de kodak en jpeg je suis preneur.
pour répondre à la question précédente je pense que la densité osseuse (typeI+++)n'est pas étrangère au problème dans ce cas précis si tu pense à l'absence de microfiletage du col depuis la macrogéométrie du fût a changé et ça aussi n'est pas étranger au problème et que dire du blocage du forêt...

Photo ia8jt0 - Eugenol

Fouilla h6plsy - Eugenol
fouilla

23/10/2007 à 12h55

par contre j'ai oublié de répondre à la quetion de la maintenance mais la rvg y réponds très facilement , en revanche je suis incapable de retrouver le nom commercial du produit que j'avais utilisé en instillation qui se présentait en blister avec deux seringues que l'on mélangeait et qui était hors de prix .
la nature est franchement bonne mère ne trouvez vous pas ?


Blason dql7mj - Eugenol
growler

23/10/2007 à 14h16

n'avais tu pas constaté une operculisation gingivale même très partielle avant la mise en fonction?

@++


Fouilla h6plsy - Eugenol
fouilla

23/10/2007 à 14h49

pour te répondre : non puisque un temps par conre pour te répondre dans les cas d'implantation réalisé en deux temps avec dépose de l'anneau j'ai effectivement souvent eut une operculisation gingivale avant la mise en fonction sans conséquences pour la suite, à mettre en rapport à mon avis avec une émergence très vive du col en cas de dépose de l'anneau.


123...