Cookie Consent byPrivacyPolicies.comVotre avis sur un cas - Eugenol

Votre avis sur un cas

Smile beach jgh0a1 - Eugenol
Céramik

07/11/2009 à 01h22

growler écrivait:
-----------------
> un p'tit condensé statique de la vidéo
>
> le montage avance tout doucement (on peut pas être à la fois au four et au
> moulin :)

Super ,j'ai hâte pour la vidéo...

A+


--
Céramik


S2y2o1v7q53ws4r5wy6ou8czrpom - Eugenol
pxav

07/11/2009 à 10h58

growler écrivait:
-----------------
> le montage avance tout doucement (on peut pas être à la fois au four et au moulin :)
+1
il faut vraiment que nous ayons un grain, pour passer autant de temps, parce que l'informatique.....:)

--
xbk


Blason dql7mj - Eugenol
growler

10/11/2009 à 23h58

prémontage:

http://minilien.fr/a0jjy5


@++


S2y2o1v7q53ws4r5wy6ou8czrpom - Eugenol
pxav

11/11/2009 à 00h09

growler écrivait:
-----------------
> prémontage:
>
> http://minilien.fr/a0jjy5
>
>
> @++

page interdite...
--
xbk


Blason dql7mj - Eugenol
growler

11/11/2009 à 00h26

et là:

http://www.dailymotion.com/video/xb3ruy_greffe-onlay-et-comblement_tech

(la greffe c'est un bloc cortico-spongieux de chez Biobank car le patient, d'un naturel anxieux, ne tenait pas à ce que je fasse un prélèvement ramique)


merci ++++ à fouilla qui m'a très efficacement assisté, un vrai bonheur, une assistante opératoire de rêve (je veux dire pour son efficacité, pas pour sa plastique:))


@++


Img 8465 fqhxid - Eugenol
noahaxeltiger-olivier

11/11/2009 à 01h07

C'est magnifique. Superbe travail olivier !
Propre et maitrisé. Chapeau !

Merci de partager ca avec nous !


S2y2o1v7q53ws4r5wy6ou8czrpom - Eugenol
pxav

11/11/2009 à 08h54

ça se regarde et même tres bien.
tres bon travail!

je ne ferais aucun commentaire, sur la greffe, qui m'a l'air parfaitement gérée, si tu le permets une simple vue de "spectateur" entraine quelques petits aménagements qui te permettrons d'avoir un résultats parfait:

1-l'aspiration est je le pense basée sur ton systeme non chirurgie et en plus d'etre tres bruyante, elle risque, de par le volume d'air aspiré, de "sécher" ton site. Une aspi chir avec canule tres fine me semblerait préférable.

2-champs troué bien placé, mais essaye les optragates ( ou ecarte bouche de kerr je crois) et tu auras un confort de travail bien supérieur, ainsi que ton assistante.(merci fouilla)

3- avec quoi filme tu, et comment la caméra est elle tenue?
encore félicitations pour ton travail et le montage vidéo, qui je le sais trop est mangeur de temps,c'est vraiment grace à des exemples comme ça que demain sera mieux qu'hier.

--
xbk


P1010130 jpci1f - Eugenol
MarcB6

11/11/2009 à 22h04

Bravo growler pour ton intervention.

excellente maîtrise et le tout mené de "main de maître".

plusieurs pièges extrêmement bien contournés.

merci de consacrer autant de temps pour nous faire partager ton travail.

cordialement

--
marcB6


Blason dql7mj - Eugenol
growler

11/11/2009 à 22h35

merci ++ à tous pour vos encouragements!

en plus j'en ai au cabinet de l'optragate. Faudra que j'y pense la prochaine fois!

sinon, je viens d'ajouter des sous-titres succints au début de chaque séquence (c'est une nouvelle fonction de dailymotion).

Pour répondre aux questions que j'ai eu en MP et aussi à la tienne Pxav:


-la pièce à main est une NSK lumière
-le contre-angle un micromega bague rouge (ref CONTRE-ANGLE 140 XE) avec irriguation externe
http://www.micro-mega.com/francais/produits/xe/index.php
-la fraise pour perforer le bloc est la XXL Komet (type Komet H254010)
-les vis d'ostéosynthèse sont des easyimplant
http://www.easyimplant.com/fre_FR/catalogue-produits?module=catalogue&action=produits.listing&id_ctg=151
-le bloc cortico-spongieux biobank coûte 270 €


pour la prise de vue:

vous aurez remarqué quelques "bougés" car la caméra est tenue manuellement

caméra sanyo Xacti HD2000

http://www.sanyo.de/products/digital_imaging/digital_movie/fullHD/product.asp?lg=F&PID=21&product=VPC-HD2000


montée sur un monopode et donc portée comme le fait un perchman preneur de son (la caméra est relativement légère).

j'envisage, afin de supprimer les petits bougés, de passer le tube du monopode dans un palier mobile en nylon qui sera vissé sur un pied photo: http://www.igus.fr/iPro/iPro_02_0030_0000_FRfr.htm?c=FR&l=fr

l'unique inconvénient de cette caméra c'est qu'il n'y a pas de prises pour retransmettre en direct l'image sur un grand écran de contrôle déporté, le preneur de vue ne dispose que du petit écran de contrôle intégré...mais on y arrive :)

bref, pour pas très cher c'est correct

@++


Homer simpson wallpaper brain 1024 f4t8dv - Eugenol
Jpeg

12/11/2009 à 10h03

growler écrivait:
-----------------

> -le bloc cortico-spongieux biobank coûte 270 €

Ah que c'est cher le sucre en morceaux !

Merci à toi Growler de nous montrer tes réalisations, tout a été dit, c'est superbe de maîtrise, ça en semble presque facile !
En plus tu nous donnes toutes les réferences, et les liens qui vont bien. Que demander de plus ?


nolive

12/11/2009 à 11h52

Jpeg écrivait:
--------------

>Que demander de plus ?

La suite... ;-)


davemarss

12/11/2009 à 12h46

T'as du chauffer mais ça a l'air de se réossifier


Img 0812 mvp6i0 - Eugenol
jeamba

12/11/2009 à 17h15

Merci growler pour la qualité de ce travail.
Bravo .


Fouilla h6plsy - Eugenol
fouilla

12/11/2009 à 18h56

bon growler tu ne lis pas ce qui va suivre :

G en plus a un don : l'humilité et la simplicité (pas dans son travail entendons nous bien) , un sens de l'accueil .... mais je vous le cachais car c'est bien trop loin et vous n'auriez que des regrets.

pour le bruit de l'aspi : fouilla a commencer l'intervention en faisant tomber une des trois aspi à sa disposition donc elle a aspiré tout le long (avec le bruit qui va avec...) aspi autonome et G a déja prévu une aspi différente à venir dans son bloc.

pour la maîtrise du geste
+1
pour le zen
+1
je ne sais pas si j'arriverai à maitriser de la sorte avec le jet lag... mais bon on va dire que ça stimule G (je sens les bons mots venir)
patient avec une hypersalivation+++(la prochaine fois il va se prendre de l'atropine mon avis) donc un peu pénible à gérer de ce coté ce qui n'a pas rendu les choses faciles.

G encore merci



Blason dql7mj - Eugenol
growler

26/04/2010 à 14h00

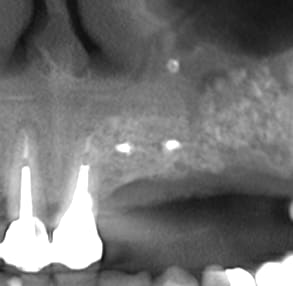
la suite radiologique du cas, implantation prévu le 6 mai

Biobank   6 mois dbkbbo - Eugenol
Biobank 6 mois  2 cj54ky - Eugenol
Biobank 6mois 3 ck56hx - Eugenol
Biobank 6 mois 4 giwlus - Eugenol
Post1 y45ukn - Eugenol
Post2 caxl5b - Eugenol
Post3 ovhzhy - Eugenol

Smile beach jgh0a1 - Eugenol
Céramik

26/04/2010 à 15h48

Je peux venir ?
Sérieusement, place nous des photo.
Merci


--
Céramik


Fouilla h6plsy - Eugenol
fouilla

26/04/2010 à 16h00

Céramik écrivait:
-----------------
> Je peux venir ?
> Sérieusement, place nous des photo.
> Merci
>
>
> --
> Céramik

ben non il invite même pas les copains pfffff....
heureusement on va se ratraper bientôt-:)

--
.


Blason dql7mj - Eugenol
growler

06/05/2010 à 12h46

ce matin, retrait des vis d'ostéosynthèse et pose des implants


aucune résorption du greffon.

Aspect greffe sasblv - Eugenol
Retrait vis p4tev7 - Eugenol
Implants pos s xluyxl - Eugenol
Pose suite etpjdi - Eugenol

Fouilla h6plsy - Eugenol
fouilla

06/05/2010 à 13h10

rien qu'en voyant la photo je l'ai reconnu !

on va se poser la question de prélèvement intrabuccaux douloureux en voyant le résultat

par contre en distal qualité du TO ? ce qui corrélerait bien l'impression au scanner par rapport à la densité .

implants ??

merci pour la suite
--
.


Blason dql7mj - Eugenol
growler

06/05/2010 à 15h26

en distal, bonne densité de forage (plus dur en tout cas que l'aspect pourrait le faire penser).
les 4 implants ont une bonne stabilité primaire.

ici ce sont 4 Dentium superline (3.6-4.5-4 et3.6 tous en 12 mm de long)

vidéo dans quelques jours.

@+


Fouilla h6plsy - Eugenol
fouilla

06/05/2010 à 16h03

l'optragate t'as gagné aussi !!!
--
.


Avatar ow44t3 - Eugenol
Chicot

06/05/2010 à 22h10

heureusement que l'on est pas dans la rubrique " entrainement photo pour les nuls"

--
;O)


S2y2o1v7q53ws4r5wy6ou8czrpom - Eugenol
pxav

06/05/2010 à 22h43

fouilla écrivait:
-----------------
> l'optragate t'as gagné aussi !!!
> --
> .
c'est plus sympa non?

--
xbk


Blason dql7mj - Eugenol
growler

06/05/2010 à 22h54

oui, et pour la patient aussi.


Avatar ow44t3 - Eugenol
Chicot

06/05/2010 à 23h14

pxav écrivait:
--------------
> fouilla écrivait:
> -----------------
> > l'optragate t'as gagné aussi !!!
> > --
> > .
> c'est plus sympa non?
>
> --
> xbk
>

J'en ai posé un cette aprèm pour une rep de céramique (bridge de 1994) pour le passage à l'acide fluoridrique

C'est vrai qu'on est pas emm. par les lèvres

reste à franchir le pas en implanto....

--
;O)