Cookie Consent byPrivacyPolicies.comVotre avis sur un cas - Eugenol

Votre avis sur un cas

olivier

23/10/2007 à 19h51

En tout cas la "guérison" est "miraculeuse" (même mieux que sur une dent naturelle) . Pourrais tu nous envoyer le cliché radio et le protocole que tu as utilisé. Merci


Fouilla h6plsy - Eugenol
fouilla

23/10/2007 à 21h02

bien sur je peux envoyer cette radio mais j'attends une reponse a mon problème de compression sur kodak en jpeg sinon image trop lourde et nécessité d'avoir visionneuse kodak.
j'ai suivi ce patient de 2001 à 2004 puis plus de nouvelles et je l'ai revu pour un problème paro, ce qui m'a permis de faire cette retro de controle "par hasard".
protocole utilisé à l'époque : au départ instillation simple eludril puis le mélange dont je ne trouve pas le nom d'ab à deux reprises à une semainde d'intervalle et une maintenance non agressive du patient mais soigneuse dans ce secteur précis...


Avatar ow44t3 - Eugenol
Chicot

23/10/2007 à 21h34

fouilla Ecrivait:
-------------------------------------------------------
> bien sur je peux envoyer cette radio mais
> j'attends une reponse a mon problème de
> compression sur kodak en jpeg sinon image trop
> lourde et nécessité d'avoir visionneuse kodak.

tu peux pas utiliser la fonction "envoyer vers" et choisir JPEG sur un support amovible par exemple ?
C'est ce que je fait avec ma RVG


Blason dql7mj - Eugenol
growler

23/10/2007 à 21h53

c'est assez incroyable en effet, tu es sûr que les photos de fin et de début ne sont pas inversées? :)


on observe souvent, en cas de surcharge occlusale, une telle cratérisation. A contrario, la mise en charge va mécaniquement et progressivement provoquer une densification osseuse autour de l'implant (loi controversée de wolf)
ici il y a eu reminéralisation osseuse après la mise en charge et aussi durant l'usage d'antiseptiques locaux, on a donc eu sans doute une stimulation mécanique qui n'aurait pu être efficace sansl'élimination bactérienne?

@+


Fouilla h6plsy - Eugenol
fouilla

23/10/2007 à 22h09

ca yest j'arrive avec la rvg sans deformation suite a appel technicien kodak à 19h45 si c'est pas du service .
mais aucun doute sur la chronologie et d'ailleurs je n'ose pas vous soumettre à la vue un autre petit cas mais un peu moins spectaculaire avec la aussi un échec initial


Fouilla h6plsy - Eugenol
fouilla

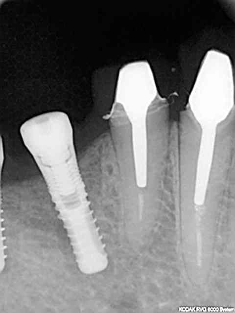
23/10/2007 à 22h15

la rvg en question

Image o 3 av8pra - Eugenol

Fouilla h6plsy - Eugenol
fouilla

24/10/2007 à 10h38

A mon avis cette reconstruction osseuse est à mettre en rapport avec plusieurs éléments :
1) technique en un temps si il avait fallu faire un lambeau jamais cela ne se serait produit
2)pas de curetage
3)mise en fonction malgrè tout donc stimulation osseuse
4)maintenance douce par le patient (qui nous a quand même oublié trois ans...)
5)j'ai changé de capteur radio entre temps avec une définition sans comparaison et je pense que malgré tout avec un capteur précis les premières rvg de 2001-2002 auraient montré un semblant de trame osseuse .quant aux doutes sur la chronologie regardez la marque des capteurs et vous verrez que l'on n'utilise pas une rolls dans un premier temps puis un solex après...


Fouilla h6plsy - Eugenol
fouilla

22/09/2009 à 16h50

suite à ce cas que j'avais posté
hier fait une rvg de controle sur deux implants posés en 2007 (serf evl+) et en mésial on distingue nettement que l'os s'est formé sur le col lisse...
explications ?

2007 efrvxe - Eugenol
2009 gowarp - Eugenol

Blason dql7mj - Eugenol
growler

22/09/2009 à 20h10

j'ai constaté aussi un peu la même chose sur ce cas (et sur d'autres)

je précise que l'incidence est la même entre les 2 clichés.

c'est plutôt rassurant ces reconstructions osseuses péri-implantaires.

Initial xofxgd - Eugenol
15 mois plus tard yznigr - Eugenol

Photo pluton1b h9n4ea - Eugenol
pluton

23/09/2009 à 00h29

moi pareil avec mes zimmer et ID...c'est même fréquent...

souvent, quand je les enfouis complètement (secteur ant) j'ai même souvent à retirer de l'os qui repousse sur la vis de couverture pour pouvoir visser ma vis de cicat ou mon pilier prov....

je pense que l'état de surface et le design de l'implant y sont pour beaucoup...et ensuite...les sollicitations de la fonction au niveau de l'os aussi...


Blason dql7mj - Eugenol
growler

24/09/2009 à 20h58

votre avis sur un cas vu today
le Monsieur veut absolument une solution fixe

j'ai déjà ma petite idée.

14344 pano ecglox - Eugenol
14344 scan dm4wdw - Eugenol

S2y2o1v7q53ws4r5wy6ou8czrpom - Eugenol
pxav

24/09/2009 à 21h13

growler écrivait:
-----------------
> votre avis sur un cas vu today
> le Monsieur veut absolument une solution fixe
>
> j'ai déjà ma petite idée.
>
bon courage!
chaud, chaud.

--
xbk


Smile beach jgh0a1 - Eugenol
Céramik

25/09/2009 à 04h46


Ben un bridge 11-21-X-X-X-X-X-27...en zircone !
c'est simple.

--
Céramik


Fouilla h6plsy - Eugenol
fouilla

25/09/2009 à 11h14

Céramik écrivait:
-----------------
>
> Ben un bridge 11-21-X-X-X-X-X-27...en zircone !
> c'est simple.
>
> --
> Céramik
tu penses que c'est le métal qui fait fondre l'os le zircone fait repousser l'os ---:)
growler sur ce coup je veux bien faire la petite main ; ton heure sera la mienne


Smile beach jgh0a1 - Eugenol
Céramik

25/09/2009 à 17h28


Bon plus sérieux :
1-L'occlusion est moche
2-Les dents post sup sont très moche
3-Besoin de 2 sinus lift
4-Faut tout refaire les zones post.inf.
5-Esthétique ? Jolies les CCM en haut ???
6-Place implants en haut après les sinus et exo des 7
7-Il te reste à faire les secteurs antérieurs.

Tu peux aussi tout virer en haut, 2 sinus, max d'implants et une ré-hab du haut sur implants (oubli pas le bas, l'occlusion, etc.).

Alors, tu fais quoi ?


--
Céramik


Avatar ow44t3 - Eugenol
Chicot

25/09/2009 à 23h50

t'as vu la gueule du sinus ....... il c'est passé quoi ?

Alvéolectomie à la fraise résine ?????

Tumeur ?

dis nous en un peu plus

--
;O)


Blason dql7mj - Eugenol
growler

26/09/2009 à 00h16

dixit le patient: "j'ai eu des dents arrachées il y a une quinzaine d'années avec une grosse infection et des kystes et j'ai eu une communication avec le sinus"


pour remplacer de 22 à 26 j'ai 38 mm d'arcade soit 22-23-24-25 et une 3ème prémolaire.

pour 22-23 hauteur osseuse ok, un petit manque en épaisseur pour 23, pour les prémolaires faudrait que la cavité remplie de tissu mou soit ossifiée.

- dissection sous la muqueuse vestibulaire et sous le sinus avec curetage complet de la cavité et rerait du petit bout de racine résiduel
- membrane sous le sinus, comblement de la cavité et membrane en vestibulaire
- attente d'ossification
- implantation

çà risque d'être très chaud quand même (la dissection et le curetage complet dans les petits recoins)

vos avis?




Smile beach jgh0a1 - Eugenol
Céramik

26/09/2009 à 01h54


Fais nous une vidéo ...

A+

--
Céramik


dov

26/09/2009 à 12h45

J'ai peur pour le bridge anterieur:
13 parois residuelles trop fines
12 sensation de fracture radiculaire mesiale
21 tres fragile

Alors toucher ou pas?Considerer le bloc anterieur comme un plan de traitement different du reste a traiter plus tard?
Suffisament d'options pour avoir une marge de manoeuvre.


Avatar ow44t3 - Eugenol
Chicot

26/09/2009 à 13h46

pfff....bon courage et une vidéo !!!

--
;O)


Fouilla h6plsy - Eugenol
fouilla

05/11/2009 à 12h31

growler écrivait:
-----------------
> dixit le patient: "j'ai eu des dents arrachées il y a une quinzaine d'années
> avec une grosse infection et des kystes et j'ai eu une communication avec le
> sinus"
>
>
> pour remplacer de 22 à 26 j'ai 38 mm d'arcade soit 22-23-24-25 et une 3ème
> prémolaire.
>
> pour 22-23 hauteur osseuse ok, un petit manque en épaisseur pour 23, pour les
> prémolaires faudrait que la cavité remplie de tissu mou soit ossifiée.
>
> - dissection sous la muqueuse vestibulaire et sous le sinus avec curetage
> complet de la cavité et rerait du petit bout de racine résiduel
> - membrane sous le sinus, comblement de la cavité et membrane en vestibulaire
> - attente d'ossification
> - implantation
>
> çà risque d'être très chaud quand même (la dissection et le curetage complet
> dans les petits recoins)
>
> vos avis?
bon alors je te donne mon avis (vu que j'y étais!!!) du bô m'sieurs dames que du bô...

par contre je vous le dis officiellement le growler est totalement antipathique désagréable il m'a même logé avec dark vador (histoire de me préparer au lendemain).

voila ça c'est pour ceux qui voudrait venir te voir...

une très belle intervention sans temps morts avulsion d'une dent "à rétro" curetage ;stimulation ; greffe ; comblement; membrane(s)
très intéressant de voir les autres bosser et en plus s'adapter à une toute nouvelle assistante ...

en bref on a terminé à quatre pattes dans le bloc.

encore merci olivier (pour tout).
sallanches il a mis la barre très haute...


Blason dql7mj - Eugenol
growler

05/11/2009 à 13h07

LOL, la vis c'est un clin d'oeil car en cours d'intervention une vis d'osteosynthèse a sauté, littéralement volatilisée. J'avais cru la voir tomber dans la cavité osseuse maxillaire curetée. Après recherche infructueuse on s'est dit qu'elle avait dû partir dans l'aspi.
Mais angoisse, en nettoyant le filtre on ne l'a pas retrouvé, c'est seulement en scrutant le sol (à quatre pattes) qu'on l'a retrouvé et c'est mieux ainsi, çà m'aurait bien embêté de la voir quelque part sur la radio de contrôle.

l'intervention a duré 2 heures.
la vidéo dans quelques jours.

@+




S2y2o1v7q53ws4r5wy6ou8czrpom - Eugenol
pxav

05/11/2009 à 13h19

fouilla écrivait:
-----------------

> par contre je vous le dis officiellement le growler est totalement antipathique désagréable
>
ça ne peut pas etre pire que moi!

> une très belle intervention

> en bref on a terminé à quatre pattes dans le bloc.

Alors la nouvelle assistante, que du bon?
>

> sallanches il a mis la barre très haute...

tu vas etre déçu...

la vidéo! la video!la vidéo! la video!la vidéo! la video!la vidéo! la video!la vidéo! la video!la vidéo! la video!la vidéo! la video!

--
xbk


Fouilla h6plsy - Eugenol
fouilla

05/11/2009 à 14h26

pxav écrivait:
--------------
> fouilla écrivait:
> -----------------
>

>
> > une très belle intervention
>
> > en bref on a terminé à quatre pattes dans le bloc.
>
> Alors la nouvelle assistante, que du bon?

alors si tu espères y arriver autrement qu'à quatre pattes faudra que tu sortes la rallonge ...

> >
>
> > sallanches il a mis la barre très haute...
>
> tu vas etre déçu...

!!!!!


Blason dql7mj - Eugenol
growler

07/11/2009 à 00h46

un p'tit condensé statique de la vidéo

le montage avance tout doucement (on peut pas être à la fois au four et au moulin :)