Cookie Consent byPrivacyPolicies.comen attendant Nice... - Eugenol

en attendant Nice...

Ylfwcw979cz1jnx9gfqeaxndiuzk - Eugenol
Algi

11/10/2005 à 19h25

images?

Bout pano kkhitm - Eugenol

Ylfwcw979cz1jnx9gfqeaxndiuzk - Eugenol
Algi

11/10/2005 à 19h26

de dieu, ce fut laborieux!!!!!! mais quelle idée de tout changer tout le temps sur le forum????


phil

11/10/2005 à 19h26

t'ennerve as mon ami ........

et dir que dans 1 mois pile ce sera la grande messe eugénolienne !


Audi tt 2007 jzsdts - Eugenol
sbire

11/10/2005 à 20h11

tu devrais les passer en plus petit encore...


Ylfwcw979cz1jnx9gfqeaxndiuzk - Eugenol
Algi

12/10/2005 à 10h57

Si tu insistes....

Jpp36 hj1cvn - Eugenol

Audi tt 2007 jzsdts - Eugenol
sbire

12/10/2005 à 14h53

merci


Ylfwcw979cz1jnx9gfqeaxndiuzk - Eugenol
Algi

12/10/2005 à 15h04

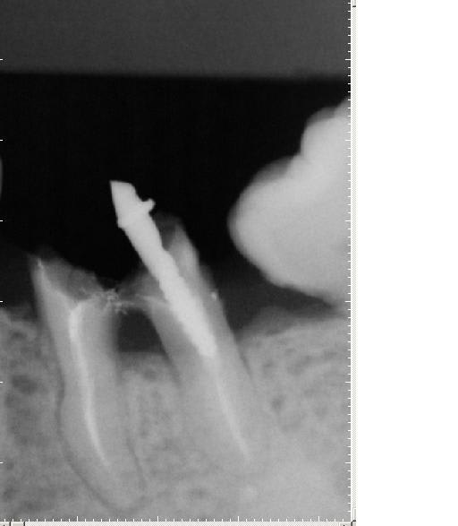
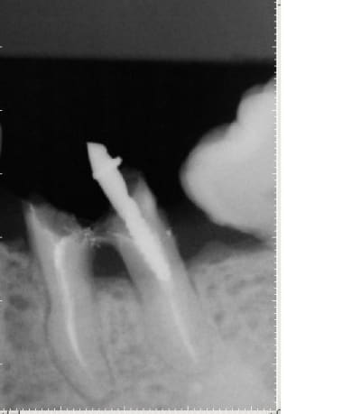
Ps: on peut noter le tartre encore présent sur la face mesiale de la 38 versée/mésialée.... on fera ça + tard lors de la litho/laser. Ca prouve bien que malgré tous les handicaps cumulés par ces 2 dents le seul traitement local a déjà été trés efficace.


phil

12/10/2005 à 15h07

oui on voit bien la corticalisation preuve que tout est au repos au niveau du parodonte profond ....


12