Cookie Consent byPrivacyPolicies.comun cas pas banal 2 - Eugenol

un cas pas banal 2

Dos02 qpcfgi - Eugenol
Rick

08/10/2005 à 20h22

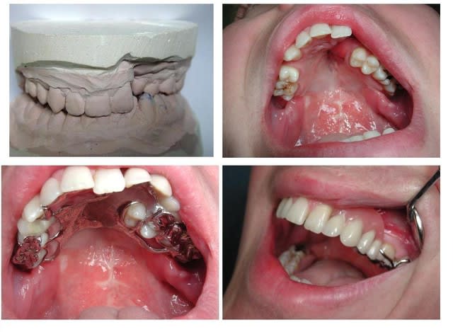
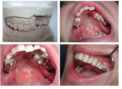
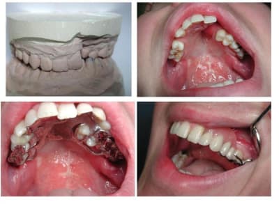
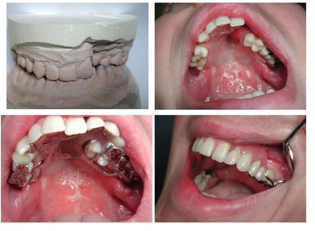
Patiente 50 ans
Syndrome de Down,
Pro-alvéolie maxilaire
Béance inter incisive
Agénésie incisives inf par hyper solicitation
----------------------
Photos de primaires :
Enregistrement aléatoire d’après érosions visibles
Cadran 3 et 4 désiquilibre par manque d’occlusion
33 précaire à court terme en l’état

Photos de la secondaire inf :
Enregistrement primaire
Confection base résine, prenant appui sur toute partie dentaire supposée non interférente pour enregistrement, prévu s’tents et/ou alu wax

------------------------
Il s’agit de réaliser une PBM :
Remplaçant l’édentement
Compensant un contact postérieur
Contenant le secteur antérieur fortement sollicité

Des idées ?
Merci


Dos02 qpcfgi - Eugenol
Rick

08/10/2005 à 20h24

Photos


Image19 iebot6 - Eugenol
athos

08/10/2005 à 20h25

bin, j'ai bien regardé tes photos, c'est sur je m'interroge...


Image19 iebot6 - Eugenol
athos

08/10/2005 à 20h29

same player shoot again...


Squash u44zd8 - Eugenol
steph

08/10/2005 à 20h30

Ca c'est vrai c'est pas banal.


Dos02 qpcfgi - Eugenol
Rick

08/10/2005 à 20h30

GRRRRRRRRRRRRRRRRRRRRRRRRRRRRRRRRRRRRRRRRRRRRRR


Image19 iebot6 - Eugenol
athos

08/10/2005 à 20h32

essaie encore...


Dos02 qpcfgi - Eugenol
Rick

08/10/2005 à 20h36

ph

Bamix3 mykuz8 - Eugenol
Bamix3 b0y2ym - Eugenol

Dos02 qpcfgi - Eugenol
Rick

08/10/2005 à 20h38

Crote de bique


Image19 iebot6 - Eugenol
athos

08/10/2005 à 20h42

j'ai hate de suivre les reponses, pardon mon Rick si je me trouve un peu sec dans l'immediat...


Audi tt 2007 jzsdts - Eugenol
sbire

09/10/2005 à 00h10

verifie si les modèles vont ensemble!


Dos02 qpcfgi - Eugenol
Rick

09/10/2005 à 19h31

Vont parfaitement ensemble.
Le temps de compiler et je présenterais des cas de prothèse atypique.


Cuisinier2 vnbbxx - Eugenol
jeff2

10/10/2005 à 01h36

T'as du courage de te lancer dans un cas comme ca.
j'aimerais bien savoir toutes les autres solutions que tu as pu proposer a ta patiente ou a ses tuteurs, car ils sont en mesure en cas d'echec de ton traitement, de te reprocher de ne pas lui avoir proposé d'autres solutions.
juridiquement ca se tient et se decouvre dans le consentement eclairé qu'elle aura ou qu'ils aurant signés.
n'oublie pas qu'elle a 50 ans et que beaucoup de personnes se sont occupé d'elle avant toit
Il serait interessant que tu nous presentes comment tu as abordé ce cas et tout ce que tu as marque comme autre solutions dans le consentement eclairé.


Dos02 qpcfgi - Eugenol
Rick

23/10/2005 à 00h50

La réhabilitation prothétique et esthétique d’un patient présentant une FLP requiert de la part du prat comme du proto une symbiose, des acquis et une collaboration pour mener à bien les souhaits de ces patients, retrouver le sourire et la satisfaction au cœur de la famille et de la société.
Les avances technologiques et scientifiques dans la restauration de ces malfaçons sont indéniables, les efforts et la bonne volonté ne suffisent pas, trajet long et pénible de ces patients et parents pour aller au bout de ces interventions, lourdes et pénibles.
La réhabilitation de l’équilibre fonctionnel et esthétique par une PPAM est difficile et la doc sur le sujet rare.
Juste 2 cas que donnent l’ampleur de l’élaboration de prothèses atypique, pour le bien être des patients concernés.
Une pensée à Jean Carmona, mon maître prothésiste.
A plus, très pluuuuus tard, abstinence provisoire d’eugenol
Et de 1

Z d gojqaw - Eugenol
Z d saoxn1 - Eugenol

Dos02 qpcfgi - Eugenol
Rick

23/10/2005 à 00h52

Et de 2

Z el mddqli - Eugenol

Image19 iebot6 - Eugenol
athos

23/10/2005 à 01h00

joli, ou plutot jolie
c'est beau le sourire retrouvé (trouvé?)d'une jeune fille


Avatar transparent iqadnc - Eugenol
adhoc

23/10/2005 à 11h43

Meme impression que toi, athos; ce sourire est le V de ta victoire, rick. Cela n'a pas du etre facile. Beau succes.


Audi tt 2007 jzsdts - Eugenol
sbire

23/10/2005 à 12h37

impressionnaé et impressionnant Rick


Dr - Eugenol
JeRis

23/10/2005 à 12h56

... une belle leçon ... merci


Zoe   son arriv e whwqpj - Eugenol
emma

23/10/2005 à 14h20

Rick, chapeau bas, quelle leçon nous donnent ces patients qui souffrent dans leur chair et quelle récompense lorsque tu leur apportes une telle solution!

Encore bravo, ne nous abandonne pas trop longtemps, tu nous manques déjà.


Pa050055 igyagy - Eugenol
MARK

24/10/2005 à 13h28

Bravo Rick.
La technique ici se marie avec l'humanité!


colou

26/10/2005 à 12h04

génial! rendre le sourire à un patient c'est la plus belle satisfaction dans notre métier


Amibien

27/10/2005 à 08h15

Bin oui Rick fait partie de ces gens doués et motivés que la vie a bien de la chance de connaître...

Et pour un pas français, je trouve qu'il poste en excellemment...

Certains pourraient être jaloux...

Et les autres cas ?


poulet

27/10/2005 à 18h10

chapeau bas...c'est du boulot ça, du vrai....
c'est pas une banale biopulpec de molaire sous digue et obturée au macspad....
bravo...


Dos02 qpcfgi - Eugenol
Rick

27/10/2005 à 19h50

Les autres cas :
Le premier est en attente, d’autres ? J’avais promis des cas de prothèse atypique, je ne voulais pas faire dans l’étonnant c’est raté. Merci compadres pour vos encouragements, pas d’avis des CMF dommage, suis limité à mon seul vécu. D’autres données viendront.
Ces occurrences compensées, au-delà de la satisfaction qu’ils apportent aux patients concernés (visite au cab du prat pour le bonjour du bonheur) sont gratifiantes.