Cookie Consent byPrivacyPolicies.comparo isolée - Eugenol

paro isolée

Icon poker h4nm2d - Eugenol
jeff

07/10/2004 à 18h00

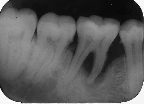
Seule la 16 est touchée. Cette fonte alvéolaire peut elle être due au phénomène diasthème-bourrage-carie distale + gingivite = parodontite ?

traitement, pronostic ?

A noter : au microscope, on voit des spirokets ( je sais, cela ne s'écrit pas comme ça ! ), des batonnets de différentes longueurs mobiles et des truc qui ressemble à des amibes, mais immobiles ( est ce possible ? )

Il y a aussi un encombrement antérieur avec 15 25 dévitalisées en mauvais état. La patiente est ok pour odf, donc on vire 15 25, mais je retombe sur le problème de la 16 qui ne forme pas un ancrage très solide ( euphémisme ). Peut-être un ancrage par mini implant vestibulaire ?

Cas 2 bsz1fx - Eugenol

phil

10/10/2004 à 16h02

pour moi il s'agit d'une parodontite liée sans doute à un bourrage alimentaire . As tu regardé l'occlusion qui pourrait être un facteur aggravant . La voila les cas ou je ne sonde pas trop car je peux récupérer du parodonte quoi que la il doit y avoir une atteinte inter radiculaire . Le microscope te montre des spirochètes ce qui témoigne au minimum d'une gingivite et d'une inflammation du parodonte ( saignement ) . Des amibes tu peux en trouver immobiles ou mobiles si les conditions d'anaérobioses sont marquées et pour moi si le site est en phase de dégradation .
Plusieurs possibilités :
- traitement antiseptie plus litho progressivement + controle de l'occlusion . Le probleme pour cette dent est qu'il y a sans doute une atteinte inter radiculaire avec une anomalie . Je ne suis pas persuadé aux vues de la rx que tu puisses stabiliser sur le long terme cette dent ( les atteintes IR dans ce cas......). Attention le sinus n'est pas loin. Ne prend pas trop le risque de perdre d'avantage d'os pour compliquer ensuite ton approche si tu veux mettre un implant ( si la 16 n'est pas récupérable tu fais quoi )
- L'emdogain peut être une bonne solution mais pareil il faut être sur que tu pourras totalement maitriser l'espace interradiculaire.( l'emdogain coute cher )
Dans ce cas si l'atteinte paro est vraiment isolée tu peux rester plus classique pour gagner du temps . Lambeau plus emdogain mais après t'être assuré que le contrôle de plaque est bon et après maitrise des irritants locaux et compréhension de la cause .( y a til une dent en face j'ai l'impression que la dent est extrusée )
ceci est mon humble opinion


alhoun

10/10/2004 à 20h22

salut phil. je vais rester courtois, parceque je me prends assez le bec avec l'autre nase, et ça devient lassant. mais bon, voilà, ton plan de traitement est impeccable: mais que vois-je?? de la chir? un lambeau?? c'est le calva du dimanche?? d'accord , je déconne, mais c'est une poche infra-osseuse à quasi 4 parois, je pense qu'elle est facile à traiter, à condition, comme tu le dis justement de rétablir le point de contact et de stopper l'égression. atteinte de furcation? possible, mais comment le savoir sans sondage?. et puis "Le microscope te montre des spirochètes ce qui témoigne au minimum d'une gingivite et d'une inflammation du parodonte": putain, mais il est effondré le parodonte, t'as pas besoin de ça pour poser un diagnostic. je ne raille pas le microscope, il fait partie de ma liste d'achats prochains,tout comme les boutons de manchettes à l'éffigie de GW Bush, mais je le considère comme un outil de motivation en paro, et d'aide visuelle en endo, mais certainement pas un outil de diagnostic.mais peut-être que je suis à coté de la plaque.( vivons cachés).comme quoi, rien de neuf sous le soleil: traitement initial, et chir quand c'est indiqué.
salutations cyberalhouniennes.


thunderchris

10/10/2004 à 23h03

Tu n'indiques pas le degré de mobilité de la dent, mais quoi qu'il en soit je ne parierai pas un kopeck sur sa survie à court- moyen terme quelle que soit l'étiologie, le diagnostic et la thérapeutique mis en place.
Il me semble entrevoir une début de zone radioclaire masquée par la radioopacité de la dent en forme semi circulaire qui se termine en distal ce qui laisse supposer une destruction osseuse beaucoup plus importante que la radio le laisse entrevoir(c'est importer d'essayer de deviner ce que la radio nous cache; importante lyse osseuse palatine ou vestibulaire). d'autre part la conicité radiculaire est un facteur hyperdéfavorable.
Bref , à mon avis elle est naze et je l'extraierai le plus rapidement possible afin d'éviter de contaminer le reste de la CB et la femme de BOBO et d'autre part obtenir une guérison osseuse pic-à-pic qui pourra servir plus tard .


phil

11/10/2004 à 01h28

alhoun
Tu vois que je ne suis pas mononeuronal et que j'ai plusieurs possibilités d'approche du parodonte du classique et du moins classique . Ce qui est tès ennervant sur ce forum mais c'est comme dans la vie on te met vite une étiquette .A chaque situation une approche unique . Je suis très heureux de savoir que tu prends un microscope . C'est extraordinaire . Je suis d'accord avec toi c'est pas vraiment un élément pour faire un diagnostic précis ( pas plus que la sonde ou que les tests microbio ) mais tu verras cela te permets tout de même d'être plus fin dans ton approche du parodonte. Plus on regarde plus on comprend des choses et plus on anticipe aussi et puis par rapport au patient c'est un atout exceptionnel .
Ce que je disais par rapport aux spirochètes entre paranthèses c'est parce que je n'ai pas de photo .ce que me dit jeff me permet d'imaginer , je dis bien imaginer comment est la muqueuse . Mais bien évidemment comme le sondage n'est pas forcemment nécessaire pour savoir qu'il y a une perte parodontale ,le microscope ne me donneera que des indications complémentaires ( et pour le prélèvement microscope on fait comment? )


Avatar transparent iqadnc - Eugenol
adhoc

11/10/2004 à 01h43

jeff,je ne pratique pas la paro (juste les jeux cf "rions un peu 99 pts"!, non ,je déc...)
A tout hasard, avant d'extraire, pourquoi ne pas tenter un traitement radiculaire pour eliminer une eventuelle relation bacterienne endo-paro (carie mesiale) et tenter une couronne acier avec bon point de contact a condition d'avoir un patient motivé , tres motivé (et pret a comprendre et accepter un echec). Tout cela avec tes bons soins paro.
Tu te laisses 6 mois et tu pourrais réevaluer ton traitement (ceramique).
Si echec alors posts precedents.


Amibien

12/10/2004 à 00h32


Cher Alhoun,

le cas de jeff est à mon avis compliqué et nécessite de traiter l'infection infragingivale par les soins locaux.

Seul le microscope peut te permettre de piloter la thérapie sur les semaines à venir. Tu n'y verras pas que les microbes mais aussi la réponse immuno cellulaire et cela est capital pour vérifier si la réaction inflammatoire se calme.

Comment peux-tu affirmer que le microscope ne peut pas être utile. Moi qui l'utilise affirme qu'il est indispensable.

Remets-toi en question avant de prendre position sur des techniques et procédures que tu ne connais pas.

Bon travail, Jeff. Si tu veux plus de détail on peut parler en privé. Et ne touche pas au parodonte tant que tu n'obtiens pas une flore compatible. Sinon tu cours à l'échec.


Amibien

12/10/2004 à 00h34

phil a écrit:

et pour le
> prélèvement microscope on fait comment? )



un pointe de papier, ou deux ou trois que tu trempes gentiment et tu auras assez de quoi te régaler les yeux...


thunderchris

12/10/2004 à 01h29

Il est là le problème, pendant que tu te prends pour Pasteur et que tu prépares ton mémoire pour avoir le Nobel de microbio , le patient déguste.

Ps/ Pense à inviter tes copains d'Eugenol.com à Stockholm au cas où...


Amibien

12/10/2004 à 09h39

thunderchris a écrit:
-------------------------------------------------------
> Il est là le problème, pendant que tu te prends
> pour Pasteur et que tu prépares ton mémoire pour
> avoir le Nobel de microbio , le patient
> déguste.
>
> Ps/ Pense à inviter tes copains d'Eugenol.com à
> Stockholm au cas où...


Que de haine et d'ironie mal placée...

Le patient déguste ???? comme si ce qui lui arrive s'était produit en deux jours.

Tu n'as rien compris à la paro et en plus tu l'écris... Thundertouriste


Image19 iebot6 - Eugenol
athos

28/10/2004 à 23h49

adhoc a écrit:
-------------------------------------------------------
> jeff,je ne pratique pas la paro (juste les jeux cf
> "rions un peu 99 pts"!, non ,je déc...)
> A tout hasard, avant d'extraire, pourquoi ne pas
> tenter un traitement radiculaire pour eliminer une
> eventuelle relation bacterienne endo-paro (carie
> mesiale) et tenter une couronne acier avec bon
> point de contact a condition d'avoir un patient
> motivé , tres motivé (et pret a comprendre et
> accepter un echec). Tout cela avec tes bons soins
> paro.
> Tu te laisses 6 mois et tu pourrais réevaluer ton
> traitement (ceramique).
> Si echec alors posts precedents.
>
>
>
>
> Modifié 1 fois. Dernière modification le 10-10-04
> à 23h44.



ouf, merci adhoc, ce que tu proposes était mon premier reflexe a la vue de la radio, puis en lisant les reponses, je me suis subitement senti tout petit petit...


Ylfwcw979cz1jnx9gfqeaxndiuzk - Eugenol
Algi

29/10/2004 à 10h57

Ai reçu radios d'un cas similaire de Rogé.... dent traitée par UNIQUEMENT un meulage selectif.... si il veut bien réadresser les images (et si il a images + récentes avec évolution....). C'est assez instructif.


Rogé

31/10/2004 à 18h27

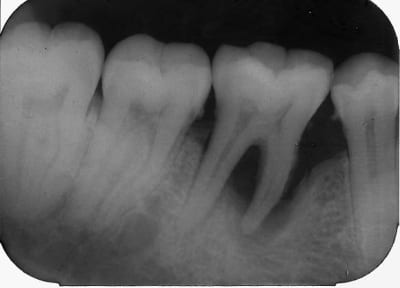
Suite à la demande de Algi, voir le cas suivant:

M paule 46  19 12 03 wjtoh0 - Eugenol
M paule 46  16 07 04 c6jca7 - Eugenol

Rogé

31/10/2004 à 18h31


historique du cas :

Patiente venue en consultation le 19/12/03 .........*douleur et abcé
parodontal sur la 46......poche purulente et grande mobilité verticale
et horizontale.
*presciption d antibiotique + anti inflamatoir........2 detartrages +
equilibration occlusale sur 3 seances........disparition de douleur dès
la 1ere seance.
meulage de la 46 en contact prematurée importante.
A la 3e seance.......disparition des douleurs et de l abcé..............
/voir radio qui montre une destruction importante du septum intra
radiculaire et du septum mesial + une resorption tres importante de la
racine mesiale.

/7 mois après........visite de controle et radio ci joint. Tres agreable
surprise.
*On constate une regeneration de l os alveolaire ds le septum
intraradiculaire et un peu du coté mesiale.*
Visible à fort grossissement.........x 200 %
Disparition totale de la mobilté dentaire........mm solidité que la 37.



17082007 synnio - Eugenol
kalif

31/10/2004 à 18h47

as tu fait les tests pour voir s'il n'y a pas une composante endo à ta lésion?


Rogé

31/10/2004 à 18h54

Comme le montre la radio, c est une dent saine sans aucune trace de carie. elle l est toujours d ailleurs.
Je pense revoir la patiente en novembre pour suivre l evolution de ce cas.


Image19 iebot6 - Eugenol
athos

31/10/2004 à 20h51

kalif a écrit:
-------------------------------------------------------
> as tu fait les tests pour voir s'il n'y a pas une
> composante endo à ta lésion?


bonne question
la reponse manque


bjc

31/10/2004 à 21h08

Bonjour,

Ne serait-ce pas un simple Pb. de tassement alimentaire?

@+


17082007 synnio - Eugenol
kalif

31/10/2004 à 21h40

une lésion combinée endo-paro n'est pas forcement associée à une carie.


Cmoi

31/10/2004 à 21h58

pour Kalif

A qui poses tu ta question.....à Rogé ou à Jeff???


17082007 synnio - Eugenol
kalif

31/10/2004 à 22h07

rogé


Image19 iebot6 - Eugenol
athos

31/10/2004 à 22h30



je suis toujours d'accord avec toi Kalif, et nous attendons toujours la repose. y a t il un resultat au test de vitalite?


Rogé

01/11/2004 à 06h35

Je ne comprend pas la question, si vous voulez savoir si la dent est tj vivante, c est OUI.
meme sans test de vitalité.

Ce cas est un cas clinique classique pour moi, de pratique courante, sauf que c est la 1ere fois que j ai pensé à faire des radios avant et apres traitement.

Ce cas est interresant si les questions posées peuvent apporter un pt de vue nouveau sur des cas similaires qui st tres courant ds la profession.

Je ne cherche EN AUCUN CAS, la polemique gratuite.

C est à la demande de Algi que j ai vous ai soumis ce cas.

A vous de faire votre jugement.

Au plaisirs de vous lire :))

:))


Amibien

01/11/2004 à 11h54

Tu vois qu'on peut traiter la paro sans ouvrir les gencives et cela va rester stable tant que la flore est compatible. As-tu le microscope ?


ZORBECA

01/11/2004 à 12h39

Là aussi, je demande à voir, je n'ai pas de microscope, j'ai mon expérience. même si vous êtes des As, je ne donne pas cher de cette dent. On en reparle avant 1 an.


12...