Cookie Consent byPrivacyPolicies.comLes aligneurs de dents et les réducteurs de tête. - Eugenol

Les aligneurs de dents et les réducteurs de tête.

Zorto

24/01/2007 à 16h36

si ça t'amuses , mais c'est pas la peine de nous fatiguer avec tes bk , on n'est pas masos !

quand tu dis:
>
> Il y a plein de MAIS. Comme dans tout nouveau
> système.
> Au hasard :
> Epaisseur du Bk. due au système de fermeture
> entrainant des décollements
> Porte qui se bloque avec le tartre.
> Trop de jeu avec les arcs de petits diamètre.
> Ce qui entraîne une expansion par version
> difficilement rattrapable en cours de traitement.
> Donc Pbs. de torque (Saïd)
> Positionnement des Bk. délicat. (Surcorrection sur
> les canines en rotation)
> Coût du matériel.
>

quel intérêt ?

> MAIS traitements sans extractions. C’est à ce prix
> !

prouve-le au lieu de baratiner !


Avatar transparent iqadnc - Eugenol
adhoc

24/01/2007 à 17h47

Il est tout seul a se défendre sous des feux croisés de la prouvitude, quand même, notre bjc.
Pas si facile.


bjc

24/01/2007 à 18h14

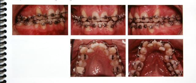
Encore un cas facile, mais sur adulte (43 ans)
Pour vous amuser !

@+ Bjc.

Image 1 vm69ay - Eugenol

bjc

24/01/2007 à 18h16

..

Image 2 zrmlm3 - Eugenol

bjc

24/01/2007 à 18h17

...

Image 3 k9f5s1 - Eugenol

bjc

24/01/2007 à 18h20

....
Et il n'est pas Prof.

Image 4 zn1dk5 - Eugenol

200106 10150128247663588 709988587 6466236 5598391 n d7mksb - Eugenol
hallboy

24/01/2007 à 20h25

Il faudrait que t'epouses Dancha , comme ça tu pourrais lui scanner ses radios;)


kmarcel

24/01/2007 à 22h21

si tes photos sont prises avec le même angle de vue ?? il faut constater une très importante inclinaison des incisives supéieures ..avanvées et torquées ?? ou je me trompe ?.


bjc

24/01/2007 à 22h36

Tu penses que cela nuit au nouveau profil ?
Bon d’accord, les cheveux n’ont pas repoussé.


Image odged8 - Eugenol
ploc

25/01/2007 à 01h45

scusez,pas la bonne rubrique


Image odged8 - Eugenol
ploc

25/01/2007 à 01h57

hallboy Ecrivait:
-------------------------------------------------------
> Il faudrait que t'epouses Dancha , comme ça tu
> pourrais lui scanner ses radios;)


une gde fête eugénolienne qui reboosterait le dynamisme qui va en s'étiolant et permettrait de relancer les absents!
tu sais que tu as bien fait de rentrer de vacances:)
>



bjc

25/01/2007 à 02h19

Je m’inscris sur la liste des témoins !


1 eugenol dmj5np - Eugenol
Dancha

25/01/2007 à 20h03

hallboy Ecrivait:
-------------------------------------------------------
> Il faudrait que t'epouses Dancha , comme ça tu
> pourrais lui scanner ses radios;)
>

Tu parles à qui ?
LaTrèsDouée semble dire que c’est à bjc…

Rassure-moi !!

Daniel


Ylfwcw979cz1jnx9gfqeaxndiuzk - Eugenol
Algi

25/01/2007 à 20h44

2 petits trucs qui m'embétent:

Ces cas sont à qui???? A toi Bjc ou dans les docs fournies par devil?

Ensuite y'a comme un truc collé aux dents du patient "fini".... ts ts ts c'est pas joli de tricher, si un cas est stable fonctionnellement y'a pas besoin de contention, langue, lévres, joues et occlusion devraient assurer l'equilibre de tout ça....

Voilà pourquoi je préfére passer des heures à motiver mes patients à macher du caoutchouc, là au moins quand ça marche ça repart pas en arriere et en tout cas ça ne verrouille pas les dents entre elles.

Limlim a un avis sur tout ça, lui il fait les deux, le fonctionnel et le MB. Il a trés trés bien résumé le truc y'a déjà au moins 2 ans....je vous laisse chercher.

Comment? C'est quoi le truc qui me chiffone???? En gros, alors, en caricaturant le trait à donf alors, le MB ça marche moyennant extractions et/ou contention, c'est rentable et le résultat est predictible.

Le fonctionnel c'est beaucoup moins predictible, c'est nettement moins rénumerateur mais ça rend service au patient.... c'est une affaire de choix personnel, un peu en rapport avec la philosophie et la conscience.

Allez j'arréte de vous embeter avec mon ortho fonctionnelle, je vais partir et travailler pour vous, là aussi sans grand espoir d'en tirer une grosse renumeration d'ailleurs.... j'ai reunion syndicale ce soir (avec celui qui a pas signé la convention, celui qui essaie de nous defendre et celui qui a vainement tenté de motiver nos chers confréres).

ps: chai pas si je vais continuer le saint dit calisme longtemps pasque j'en ai quand même gros sur la patate la tout de suite de les cons fréres et pi pasque je vais rater Jack BAUER en plus!.....


200106 10150128247663588 709988587 6466236 5598391 n d7mksb - Eugenol
hallboy

25/01/2007 à 22h57

Dancha Ecrivait:
-------------------------------------------------------
> hallboy Ecrivait:
> --------------------------------------------------
> -----
> > Il faudrait que t'epouses Dancha , comme ça tu
> > pourrais lui scanner ses radios;)
> >
>
> Tu parles à qui ?
> LaTrèsDouée semble dire que c’est à bjc…
>
> Rassure-moi !!
>
> Daniel


Oui bien sur;) Vous pourrez nous inviter pour la pose de la contention?


1 eugenol dmj5np - Eugenol
Dancha

25/01/2007 à 23h47

C'est cela que tu voulais ?

Tu as su trouver les bons arguments !

Daniel

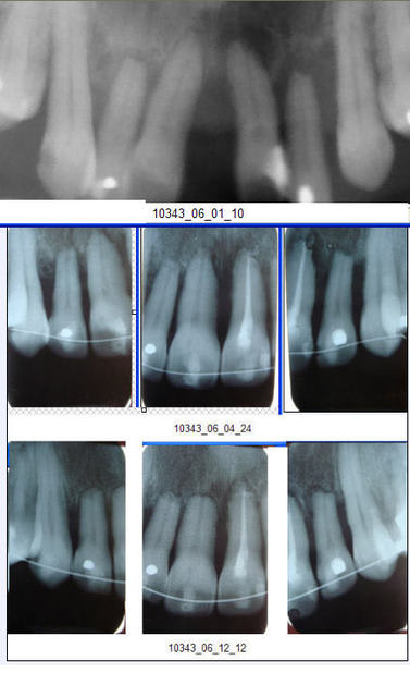
P.S. Ici, on voit bien qu'un traitement radiculaire protège des résorptions radiculaires (une partie du pool cellulaire responsable des rhizalyses provient de la pulpe). Je regrette de l'avoir oublié et de ne avoir demandé d'en faire en préventif sur toutes les incisives.

10343 radios zfpiwb - Eugenol

bjc

25/01/2007 à 23h51

...


200106 10150128247663588 709988587 6466236 5598391 n d7mksb - Eugenol
hallboy

26/01/2007 à 00h02

Merci Daniel, j'en conclus que ton coeur est déja pris;)


Hors blague, moyen terme comment est il prevu que le cas soit géré? attaquer les calages posts tout en surveillant l'evolution des ant?


bjc

26/01/2007 à 00h17

Merci Daniel; J’en connais un qui a échappé à la tonsure !


Image odged8 - Eugenol
ploc

26/01/2007 à 00h30

Dancha Ecrivait:
-------------------------------------------------------
>
> P.S. Ici, on voit bien qu'un traitement
> radiculaire protège des résorptions radiculaires
> (une partie du pool cellulaire responsable des
> rhizalyses provient de la pulpe). Je regrette de
> l'avoir oublié et de ne avoir demandé d'en faire
> en préventif sur toutes les incisives.

tout vient à point qui sait attendre...
merci Daniel,c'est courageux

le traitements des incisives et de 45 et qqes autres tant qu'on y est si mes souvenirs st bons, tu les a demandé maintenant?(on y retourne à l'endo finalement:)
durée estimée de la contention?
à vie?....des incisives?







1 eugenol dmj5np - Eugenol
Dancha

26/01/2007 à 09h46

bjc Ecrivait:
-------------------------------------------------------
> Merci Daniel; J’en connais un qui a échappé à la
> tonsure !
>

Pourquoi dis-tu cela ?
al avait affirmé "la 22 y a plus d'os qui la tient, alors l'ingression moi je veux bien, mais si elle a pu être récupérée, je veux bien me faire moine thibétain..."
Il n'avait pas dit "moine bénédictin ou trappiste..".
Il doit y être, au Tibet, depuis le temps, et il a sûrement le crâne complètement rasé...

hallboy Ecrivait:
-------------------------------------------------------
>..
> Hors blague, moyen terme comment est il prevu que
> le cas soit géré? attaquer les calages posts tout
> en surveillant l'evolution des ant?

Certainement. Mais on n’a pas encore pris notre « petit déjeuner de travail » mon confrère et moi pour en discuter plus précisément.

ploc Ecrivait:
-------------------------------------------------------
> ..
>le traitements des incisives et de 45 et qqes
> autres tant qu'on y est si mes souvenirs st bons,
> tu les a demandé maintenant?(on y retourne à
> l'endo finalement:)
> durée estimée de la contention?
> à vie?....des incisives?
>

Absolument. Un cas extrême comme celui-là, comme tous les cas de paro avancée que je traite « bénéficient » d’une contention « à vie ».


Daniel


Image odged8 - Eugenol
ploc

26/01/2007 à 11h26

Dancha Ecrivait:
-------------------------------------------------------
>
> > Absolument. Un cas extrême comme celui-là, comme
> tous les cas de paro avancée que je traite «
> bénéficient » d’une contention « à vie ».



désolée pr elle:c'est jeune 53 ans
>
>
>



1 eugenol dmj5np - Eugenol
Dancha

26/01/2007 à 13h14

C'était aussi très jeune pour avoir un état parodontal aussi délabré....


200106 10150128247663588 709988587 6466236 5598391 n d7mksb - Eugenol
hallboy

26/01/2007 à 19h57

les anterieures tiennent qd même sur un fil d'etendage par la grace des pinces à linge avec RHyzalyse en cours... ça ne depend que des 3 et des 4.

Poche mesiale + rhizalyse ça me filerait une trouille des 100 000 diables. Je ne doute pas que ta patiente y ait retrouvé toute une motivation et pour le mmoment son sourire, mais si elle n'a gagné que 2 ans au prix de ses canines....


1 eugenol dmj5np - Eugenol
Dancha

27/01/2007 à 12h42

C’est amusant, cette analogie avec une corde à linge..
Personnellement, je ne m’affole pas trop. Tout est une question de maintenance. Cette personne est hyper motivée, elle devrait suivre. Et puis, à l’extrême, même si une incisive posait problème, il serait moins difficile de la remplacer que si on avait laissé l’état initial.

Voici d’ailleurs un cas qui lui ressemble un peu (sauf que là, les dents n’étaient pas sorties de l’os) et qui tient depuis 11 ans.. C’est dans le « Charon-Mouton » (2003). On peut remarquer qu’il n’y a pas eu non plus de traitement radiculaire non plus, la même erreur.


Daniel

Charon mouton z8aljs - Eugenol

1...678