Cookie Consent byPrivacyPolicies.comLes aligneurs de dents et les réducteurs de tête. - Eugenol

Les aligneurs de dents et les réducteurs de tête.

1 eugenol dmj5np - Eugenol
Dancha

27/01/2007 à 13h59

lapadoué Ecrivait:
-------------------------------------------------------
> ...
> Concernant l'angulation des incisives supérieures
> dont le p'tit nouveau kmarcel parle à son tour,
> (courage marcel, on l'aura!!!) , elle est définie
> par rapport à l'esthétique ou par rapport au
> fonctionnel ?
>
> Tenez, je vous suggère d'aller à cette adresse
> trouvée au hazard de google,
> (http://www.santetropicale.com/resume/37501.pdf)
> à la page 4 sur 9 , il y a des choses peut-être
> intéressantes ... pour savoir qui fait quoi et où
> !

LaDouée, tu as soulevé un beau lièvre…
Je suis surpris que personne n’ait relevé.
La question que tu poses est extrêmement importante. Y répondre permettra d'éviter certains nombres de malentendus.

La position (il vaut mieux, je pense, parler de position que d’angulation) idéale des incisives supérieure ?
Question fondamentale !

En deux mots, pour amorcer le débat :

Pour moi, leur projection antérieure dépend évidemment du tronc racial, caucasien (blanc), éthiopien (noir, qu’ils appellent dans l’article « négro-africain ») ou mongolique (jaune et rouge).
Pour un même type racial, elle dépendra également de la tonicité et de la forme des lèvres.

Il est également communément admis que lorsque la face vestibulaire des incisives centrales est parallèle au plan qui lie les pommettes au menton, elles paraissent « droites ».
Position à rechercher en priorité.

Le reste doit suivre… Si les bases osseuses ne sont pas trop décalées dans le sens antéro-postérieur, on y arrive. Sinon, on fait des compromis thérapeutiques… ou on accompagne de chirurgie orthognathique.

Daniel


200106 10150128247663588 709988587 6466236 5598391 n d7mksb - Eugenol
hallboy

27/01/2007 à 14h45

Dancha Ecrivait:
-------------------------------------------------------

>
> Voici d’ailleurs un cas qui lui ressemble un peu
> (sauf que là, les dents n’étaient pas sorties de
> l’os) et qui tient depuis 11 ans.. C’est dans le «
> Charon-Mouton » (2003). On peut remarquer qu’il
> n’y a pas eu non plus de traitement radiculaire
> non plus, la même erreur.
>
>
> Daniel

un an de traitement paro AVANT. puis 18 mois se traitement ortho. Controle tous les 4 mois; et Charron conclue: la patiente n'a pas été revue depuis 11ans..... Pas bon signe.



1 eugenol dmj5np - Eugenol
Dancha

27/01/2007 à 15h53

C’est amusant, moi je voyais dans l’autre sens (mon coté optimiste) : le contrôle a toujours tous les quatre moi chez son praticien habituel, et nous (le spécialiste, c'est-à-dire Charron), ne l’avons pas vu depuis onze ans, preuve que cela va bien..
Peut-être as-tu raison.
Cependant, indépendamment de ce bouquin, j’ai déjà vu à plusieurs reprises, dans des confs, des cas aussi avancés maintenus à long terme. On verra bien.
De toute façon, je vous tiendrai au courant.

Daniel


200106 10150128247663588 709988587 6466236 5598391 n d7mksb - Eugenol
hallboy

27/01/2007 à 17h30

Possible aussi. Mon Pb, c'est que c'est souvent quand j'ai été optimiste que les trucs se sont cassés la gueule. Comme là, au départ ce n'était pas de la stat de joueur de bridge mais de la foi de charbonnier; assure toi quand même d'être bien certain que quelqu'un la suive et la motive pour les 11 prochaines années; c'est probablement ce qui lui a manqué les 11 precedentes;)

De toute façon, il n'y a plus qu'à attendre et voir.


Picture1111 zburnd - Eugenol
saidkholoki

29/01/2007 à 05h16

Bonjour a vous tous,
Merci Dancha pour nous avoir donne des nouvelles de ce cas exceptionnel et extreme. Si j'etais a ta place je pense faire la meme chose et j'estime que le resultat obtenu, vu le point de depart, est tout a fait acceptable. Je crois aussi que pour la patiente cela depasse ses attentes. La contention a vie certainement, mais est ce que tu pense que la contention en fibre, style stick-tech, etendu un peu plus lateralement sera plus avantageuse? D'autre part penses-tu que le fait d'ingresser ces incisives sans de vrais "brackets" a joue un role dans ce pheomene de rhysalyse? Je m'explique, ton systeme de passer un fil elatiques dans des oeilettes fabrication maison a permis aux dents de se niveller verticalement tout en faisant l'ingression, cela a provoquer en meme temps un raprochement des racines, avec une bascule radiculo mesial des 4 incisives, ce qui pourrait amplifier ce phenomene. L'usage des brackets ordinaires, qqsoit le systeme, meme avec un fil rond cela ne va provoquer un controle du torque mais permet de maintenir les axes des incisives avec une legere divergence radiculo distale ce qui eloigne les apex tout au long de mouvement.
En toute honnetete mon message que j'ai pense l'avoir envoye, mais malheureusement tu m'as dit que tu ne l'as pas recu,contenait plus ou moins le meme systeme que tu as utilise avec des mini implants mais en utilisant des brackets et un petit sectionnel en NiTi .012 ou .014 tenu sur le cote par le fil elastomerique et accroche aux implants. Je n'ai pas essaye de renvoyer ce massage car tu avais devoile ton systeme mechanique a ce moment.
Ceci est plutot une question que je pose et non pas une critique, car dans des cas comme ca il faut s'attendre a des mauvaises surprises meme quand on prend toutes les precautions possibles.


bjc

30/01/2007 à 12h05

Vous vous rappelez de ce cas Damon ?

Image 1 qf9ljh - Eugenol

bjc

30/01/2007 à 12h08

Voici les Scanner

Image 2 amzjwn - Eugenol
Image 3 im1cqs - Eugenol

1 eugenol dmj5np - Eugenol
Dancha

30/01/2007 à 12h31

C'est marqué "change"..
Où sont les scanners de départ ?
Ce sont des superpositions ?
Je ne suis sans doute pas très malin, mais je n'arrive pas à les lire.

Pourrais-tu expliquer ?

Daniel


1 eugenol dmj5np - Eugenol
Dancha

30/01/2007 à 12h45

saidkholoki Ecrivait:
-------------------------------------------------------
> ..
> .. a depasse ses attentes. La contention
> a vie certainement, mais est ce que tu pense que
> la contention en fibre, style stick-tech, etendu
> un peu plus lateralement sera plus avantageuse?
> D'autre part penses-tu que le fait d'ingresser ces
> incisives sans de vrais "brackets" a joue un role
> dans ce pheomene de rhysalyse? Je m'explique, ton
> systeme de passer un fil elatiques dans des
> oeilettes fabrication maison a permis aux dents de
> se niveller verticalement tout en faisant
> l'ingression, cela a provoquer en meme temps un
> raprochement des racines, avec une bascule
> radiculo mesial des 4 incisives, ce qui pourrait
> amplifier ce phenomene. L'usage des brackets
> ordinaires, qqsoit le systeme, meme avec un fil
> rond cela ne va provoquer un controle du torque
> mais permet de maintenir les axes des incisives
> avec une legere divergence radiculo distale ce qui
> eloigne les apex tout au long de mouvement.
> ..

Contention à vie, mais non définie encore, je verrai cela prochainement avec mon confrère. Elle sera très étendue, cela va de soi.
A ta question sur les braquets, c’est volontairement que j’ai mis ces systèmes, pour justement ne pas contrôler le mouvement latéral et risquer d’infliger aux dents des forces parasites incontrôlées. Si tu regardes la situation initiale, il est difficile de bien viser en remontant les apex au niveau de l’os. Je voulais que ceux-ci « tombent » naturellement dans leur « logement ».
J’ai resserré les couronnes dans un premier temps avant d’appliquer une force d’ingression. Tout cela avec des forces ultralégères et en laissant au maximum les dents se déplacer librement.
Imagine que tu pousses une brouette. Tu n’essaye pas de provoquer un mouvement latéral de la roue avant, tu pousses, simplement, en indiquant juste une direction. C’est ce que j’ai essayé de faire.

Daniel


bjc

30/01/2007 à 17h04

Retourner dans post précèdent C.B.
Mesures « change » sur modèles
Tu vois l’intérêt de faire un scan avant ?

Img 4 jovbig - Eugenol

1 eugenol dmj5np - Eugenol
Dancha

30/01/2007 à 22h15

Effectivement, j’ai du mal à comprendre comment tu t’emballes pour cela..
Quand on marque « change 1° bicuspid 11mm - 2° bicuspid 12mm - molars14mm » comme dans http://www.eugenol.com/eugenol/file.php?4,file=9070 , moi je veux bien , mais on pourrait marquer n’importe quoi, il n’y a pas d’image initiale, que des modèles en plâtre !
Certes, les expansions mesurées sur les moulages sont importantes, mais qui dit que l’os n’était pas là avant, et que c’est bien le système « Damon » qui a créé des appositions osseuses ?
Tu n’as jamais vu, toi, des scanners avec de l’os en latéral sur les prémolaires et molaires dans des cas non traités orthodontiquement ? Moi, si.
Je reste sur ma faim...

Daniel


bjc

01/02/2007 à 18h23

Un agrandissement s’impose
Pour ceux qui n’avaient pas bien vu l’état de l’os.

C.b - Eugenol

bjc

01/02/2007 à 18h25

Plus.

C.b - Eugenol

bjc

01/02/2007 à 18h26

Fin.

C.b - Eugenol

bjc

02/02/2007 à 12h44

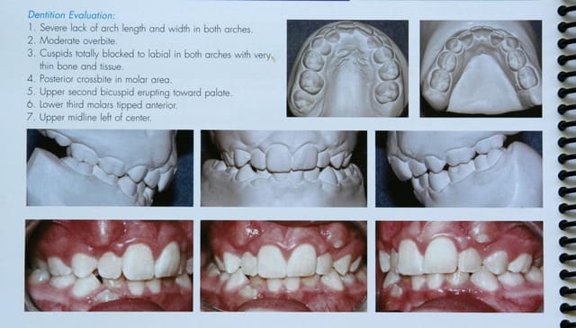
Ce cas, relativement facile à traiter en technique passive,
serait beaucoup plus difficile à traiter en technique bioprogressive.

Exemple du vieil adage :
Pourquoi faire simple quand on peut faire compliqué ?

@+ Bjc.

P.S. : je vous prépare plus difficile.


1 eugenol dmj5np - Eugenol
Dancha

02/02/2007 à 13h30

bjc Ecrivait:
-------------------------------------------------------
> Un agrandissement s’impose
> Pour ceux qui n’avaient pas bien vu l’état de
> l’os.
>

Ne t'es-tu pas trompé de photos ?
Tu n’as présenté que des moulages et des clichés en bouche.
Sur ces documents, on ne peut pas voir l’état de l’os.

Daniel


bjc

03/02/2007 à 16h58

Renseignements pris, il n’existe ni Rx. ni photos ni moulages quand il avait 7 ans.

@+ Bjc.


bjc

06/02/2007 à 17h28

Voici un cas esthétique
Sans élastiques
Je sens que je vais me faire remonter les bretelles
Si je vous dit : ne la trouvez vous pas plus belle.

Voici les Rx. de ses ossements
Et les photos d’antan.
Un traitement doux et sans frictions
Mais avec une contention

Image 1 t4kxzx - Eugenol
Image 2 zgsvvq - Eugenol
Image 3 a1rigo - Eugenol

bjc

16/02/2007 à 21h38

Bonsoir,

"Tant que j'y pense, si on change les brackets et on met du Demon, ca va se faire tout seul, avec un petit grain de NiTi en .014, une pincee de croissance, on laisse mijoter jusqu'a l'age de 18 ans et voila le cas est fait...
Soyons serieux..."

14 mois séparent les photos.

@+ Bjc.

Img 1 0477 gllgih - Eugenol
Img 2 3340 zl3qii - Eugenol
Img 3 9221 ghe6th - Eugenol

bjc

19/02/2007 à 10h37

chers confrères orthoconscients

si je vous ai montré ce cas de D.D.M. c’est afin de vous prouver que les extractions sont de moins en moins nécessaires.
Si j’arrive à le faire, en n’étant ni prof, ni membre de sociétés réputées, c’est qu’avec les techniques actuelles, ce n’est pas très difficile
C’est à la portée de tout orthodontiste

@+ Bjc.


1...78