Tous les forums
help,sos,à pédo,implanto et xxx de bon conseil
20/10/2006 à 00h13
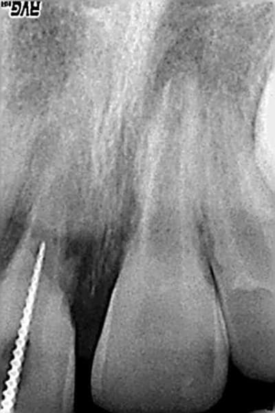
patient 8 ans vu aujourd'hui
compte rendu opératoire:
chute le 29/08/2006(clermond ferrand)
impaction 21 et 22(21 fracturée au 1/3 coronaire)
luxation totale de 11
réimplantation au bout de 4 h(conservée ds ..rien:compresses sèches mais pas traitée...)
mise en place d'un arc de contention(Duclaux)
contention enlevée il y a 15 jours(dc 4 semaines de contention)
21 pas de pb pr reconstituer:répond moyen aux tests de vitalité mais bon,c'est pas le pb
que feriez vous avec 11,sachant qu'il y a ankylose et aucune mobilité mais aussi rhyzalyse importante?
traitement,conservation tant qu'on peut?
extraction avec 11 sur arc collé et on attend pr implant?
implant de suite(quid de l'âge)?
merci
20/10/2006 à 01h09
la 11 je la garde pour le moment. Qu'est ce qu'il y a à gagner à l'enlever à ce stade?
20/10/2006 à 02h02
hallboy Ecrivait:
-------------------------------------------------------
> la 11 je la garde pour le moment. Qu'est ce qu'il
> y a à gagner à l'enlever à ce stade?
je me demandais si au niveau osseux....pour le futur implant
euh...
annie je vais plutot attendre alhoun
20/10/2006 à 02h12
8 ans!!!! Pas 16 : 8 ans. Laisse la. Qu'est ce que tu veux qu'il lui arrive a son os??? tu extrait tu en perd une partie et une gosse de cette age se ballade avec un bricolage jusqu'a ce qu'on os bien mineralisé permette un implant??
Et mem si Alhoun peut: il vient en guyane?
Il vient pose le bordel , elle bouffe son guidon de velo:
qu'est ce qui reste?
si elle a sa dent la couronne casse; on remonte d'un cran.
T'es en train de penser à la gosse, revient au cas clinique. De toute façon, peut -etre que dasn 6 mois il fauttout reevaluer.
20/10/2006 à 02h14
pour la 11,tu vas avoir Amibien aussi!
de toute façon tu ne vas pas lui mettre un implant de suite,donc en intervenant dans l'immédiat, ne risques tu pas de provoquer une resorption plus importante,et de contrarier la croissance osseuse?
juste pour donner un avis!
20/10/2006 à 05h10
la 11 ,la 11,la 11...
ankylose et rhizalyse,les osteoblastes et les osteoclastes qui travaillent dur!
et cela va continuer
d'apres les stats,a cet age la,la resorption radiculaire est terminee en deux ans,la couronne tombera toute seule
ton patient aura 10 ans
et toujours pas de 14!
l'agenesie asymetrique pourrait te faire envisager une acrobatique autotransplantation de la 24 (avant la resorption totale de la 11 et la fermeture apicale de la 24)
les deux autres solutions etant :
-bagues sur les 6 et arc avec 11 en attente d'implant(mais 8 ans de maintenance!!)
-traitement odf pour fermer l'espace,la aussi pas tres excitant, avec l'agenesie de la 14,on est deja en manque de "matiere"
bref,tu gardes,bichonnes la 11 et previens bien les parents et l'enfant!
20/10/2006 à 05h54
hallboy Ecrivait:
-------------------------------------------------------
> 8 ans!!!! Pas 16 : 8 ans. Laisse la. Qu'est ce que> tu veux qu'il lui arrive a son os??? tu extrait tu> en perd une partie et une gosse de cette age se> ballade avec un bricolage jusqu'a ce qu'on os bien> mineralisé permette un implant??
mais.... il m'eng... :):)
puis d'abord monsieur,chez moi on ne bricole pas,on colle !
>
> Et mem si Alhoun peut: il vient en guyane?
s'il veut avec plaisir:café créole?(rhum)
je voulais un avis implanto
> Il vient pose le bordel , elle bouffe son guidon
> de velo:>
> qu'est ce qui reste?>
> si elle a sa dent la couronne casse; on remonte
> d'un cran.
optimiste ce soir
allez racontes...
>
> T'es en train de penser à la gosse, revient au cas> clinique. De toute façon, peut -etre que dasn 6> mois il fauttout reevaluer.
bien sur!
20/10/2006 à 10h03
bonjour ploc,
à ce stade, c'est plus l'avis de catrose et de hallboy qui compte.
on a entre 7 et 10 ans de croissance osseuse encore, je ne peux même pas te suggérer , en cas d'extraction, une technique de préservation de volume osseux sur un cas comme celui là.
toute considération odf mise à part, je garde la contention sur cette dent, je la fais durer le plus longtenps possible, quand elle est vraiment foutue je la laisserais collée à l'arc odf jusqu'à la fin de la croissance.
ensuite, greffe et implant.
mais il y a le temps.
j'espère que le rhum est en fûts de chêne.
20/10/2006 à 11h04
IL pense qu'à boire, mais il sait y faire!!
Ploc, toutes mes confuses; j'ai du penser à la gosse et oublier le cas... et puis c'est la faute à Sigmund sur l'autre post!!! y m'a tout enervé!!
20/10/2006 à 12h33
hallboy Ecrivait:
-------------------------------------------------------
> toutes mes confuses; j'ai du penser à la
> gosse et oublier le cas... et puis c'est la faute> à Sigmund sur l'autre post!!! y m'a tout enervé!!
pardonné:):)
mais si sigmund t'a énervé,c'est peut etre que ds ton inconscient le moi a cédé la place au sur-moi qui lui mme à cause d'un oedipe non encore résolu........
attends te réénerve pas,c'était pour rire,mais siiiiiii tout le monde t'aime sur le forum.......
merci des réponses
donc je garde ce qui était aussi mon envie et contention collée qd résorption totale en attendant le bon moment implant
va falloir se pencher sur le pb odf.... mais là je délègue et fait confiance au miracle des forces faibles...
bonne journée
je me rendors (et dites à lacand que c'est le décalage,pas l'ennui)
20/10/2006 à 19h38
alhoun Ecrivait:
je ne peux même pas te suggérer , en cas
> d'extraction, une technique de préservation de
> volume osseux sur un cas comme celui là.
ploc,tu l'as eu ton avis d'implanto,mais je suis decue,je croyais qu'il allait en profiter pour nous parler de ses distractions
osseuses bien sur
20/10/2006 à 19h43
Pffffffffff. Pense qu'a boire.
J'en profite pour t'embrasser Alhoun.
( Il adore qu'on l'embrasse.)
Et apres on ira prendre un vin chaud Monsieur Duce!
23/10/2006 à 18h29
bon, je reviens en pedo, mais c'est juste parcequ'il y a de la blonde,et je ne discuterai meme pas du cas clinique,parce que je suis sur qu'elles vont partir dans des trucs du genre:
faire les compos 21 22
obturer 11 au MTA pr ralentir rhyzalyse
en mme temps QH en odf pr expansion(23 ne passera pas sinon)
ttt de 21 et 22 presque sur reprend rx ds un mois et reteste vitalité
sealant
alors je préfère directement prendre mon velo et m'attaquer a la premiere choucroute qui passera.
23/10/2006 à 19h07
quelle surprise je n'aurais pas dit mieux!
bravo,athos
tu as bien fait de revenir en pédo
attention à la chute de vélo:extrusion,impaction fracture des incisives...
et à ton âge,tu ne seras pas ds la bonne rubrique(pr les blondes)
15/11/2006 à 18h29
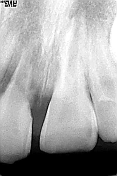
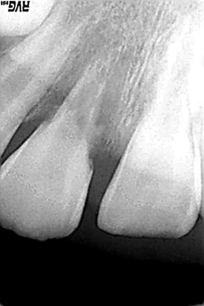
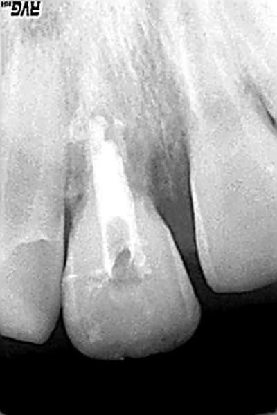
de la 11 obturée aujourd'hui au MTA
compte tenu de la longueur et de la dilacération de la racine ,le but est de reculer l'échéance de la perte de cette dent...,puis ce sera 11 collée sur arc palatin ou bridge collé mais j'aime pas:):),puis implant
21 et 22 sous surveillance
15/11/2006 à 18h46
interessant madame le docteur ploc!!! et tres sympa de nous faire suivre en live un cas aussi delicat
15/11/2006 à 18h50
gnagnagna!!!! mais j'y venais en pedo moi!!!! mais vous avez préféré bonenza cat et toi, alors je suis parti cicatriser un peu...
et mes cas de pedo je me les garde, na!
16/11/2006 à 14h09
ploc Ecrivait:
-------------------------------------------------------
> de la 11 obturée aujourd'hui au MTA
> compte tenu de la longueur et de la dilacération
> de la racine ,le but est de reculer l'échéance de
> la perte de cette dent...,puis ce sera 11 collée
> sur arc palatin ou bridge collé mais j'aime
> pas:):),puis implant
il y a ici une utilisation du laser possible. j'ai vu un cas traité par un copain de cette manière :
au lieu d'aller farfouiller dans la pulpe, ouverture de la chambre, tirs laser sur la pulpe exposée, MTA par dessus. à 6 mois, apparition d'un pont dentinaire sous le MTA, et apexification simultanée. reste à voir dans le temps ce que ça donnera.
16/11/2006 à 15h31
intéressant
mais ds ce cas de pulpe nécrosée et purulente ,faut bien nettoyer,non?
ce doit etre valable sur une effraction pulpaire accidentelle,sur une nécrose j'ai des doutes...
16/11/2006 à 16h04
bin oui! ça va tourner en choucroute non, pis faudra pédaler fort apres!! :):):) (héhé....)
16/11/2006 à 16h30
> il y a ici une utilisation du laser possible. j'ai
> vu un cas traité par un copain de cette manière :
>
> au lieu d'aller farfouiller dans la pulpe,
> ouverture de la chambre, tirs laser sur la pulpe
> exposée, MTA par dessus. à 6 mois, apparition d'un
> pont dentinaire sous le MTA, et apexification
> simultanée. reste à voir dans le temps ce que ça
> donnera.
A ton avis, le pont il est lie au Laser ou au MTA ? ... ou les deux ?