Cookie Consent byPrivacyPolicies.comAppareil photo - Eugenol
Father ted 280 422484a zg0rur - Eugenol
Oméga

13/12/2006 à 19h20

Ben alhoun, je te trouve un peu optimiste à 1000 euros.
Je vais bien réchéflir mais le reflex me semble le plus durable, même si on connait encore mal la durée de vie des apn.


003 penrd2 - Eugenol
Cingulum

13/12/2006 à 19h52

super tes photos Phil...j'en étais trés content de mon coolpix 4500 ;) ... avant de voire les prix des reflex fondre !

Par contre ce qui est dit sur la fermeture du diaphragme sur les compacts est totalement faux...

Effectivement la profondeur de champ est lié à la fermeture du diaph, mais aussi à la taille du capteur... Plus celui ci est petit plus la profondeur de champ est grande. C pour cela que l'on peut faire de la macro avec des compacts, car on peut s'approcher trés prés...2 cm pour un coolpix 4500...

Un telephone portable est un autre exemple, capteur tout piti piti...mise au point net de quelque cm à l'infini....meme pas de diaph variable...


phil

13/12/2006 à 21h06

Cingulum Ecrivait:
-------------------------------------------------------
> super tes photos Phil...j'en étais trés content de
> mon coolpix 4500 ;) ... avant de voire les prix
> des reflex fondre !
>
> Par contre ce qui est dit sur la fermeture du
> diaphragme sur les compacts est totalement
> faux...
>
> Effectivement la profondeur de champ est lié à la
> fermeture du diaph, mais aussi à la taille du
> capteur... Plus celui ci est petit plus la
> profondeur de champ est grande. C pour cela que
> l'on peut faire de la macro avec des compacts, car
> on peut s'approcher trés prés...2 cm pour un
> coolpix 4500...

Totalement d'accord sur la profondeur de champs ......


> Un telephone portable est un autre exemple,
> capteur tout piti piti...mise au point net de
> quelque cm à l'infini....meme pas de diaph
> variable...


ce que je voulais dire c'est qu'avec un reflex le choix du diaph me parait plus simple ......mais bon moi je travaille beaucoup en semi auto voir manuel avec mon reflex ( même avec le D200 )
vieux reflexes de photographe.....jamais trop confiance à la cellule


Blason dql7mj - Eugenol
growler

13/12/2006 à 21h13

si on ne passe pas au réflex et pour avoir des clichés bien éclairés avec les appareils "bridge" de type fuji s602z par exemple, il y a la solution:
http://www.bhphotovideo.com/bnh/controller/home?O=9597&A=details&Q=&sku=305937&is=REG&addedTroughType=categoryNavigation

avec mon reflex nikon D80 pour les photos dentaires je ferme le diaph à fond et je laisse le flash i-ttl doser lui même la durée de l'éclair. c'est toujours correctement exposé, quelque soit le grossissement.

@+


003 penrd2 - Eugenol
Cingulum

13/12/2006 à 22h09

bjc Ecrivait:
-------------------------------------------------------

> Le Pb. c’est que les compacts ferment à 8. Il
> parait que c’est voulu.
> Or, il nous faut de la profondeur de champs, et il
> faut fermer à 20 ou 25, au de las, on a du
> vignettage.
> Ces réglages n’existent que sur les réflexes.
>
> Amitié à growler.
>

tout ça est faux...
de plus attention à pas fermer au dessus de 22...aprés la diffractoin floute l'image... la zone nette est plus grande mais moins nette...


Blason dql7mj - Eugenol
growler

13/12/2006 à 23h16

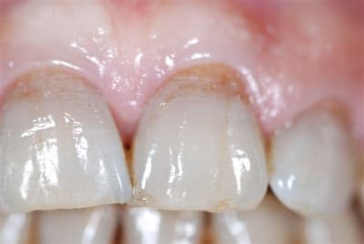
ma première photo avec le D80 (la vue d'origine fait 210 mégaoctets)

Essai d80 f22zxr - Eugenol

S8ysxdzhdqgw00w4q6m07a5d47q2 - Eugenol
gai-luron

13/12/2006 à 23h17

elle est bien je trouve.
mais les latérales et les inf sont déjà floues.


Blason dql7mj - Eugenol
growler

13/12/2006 à 23h22

c'est bien la réflexion que je me suis fais aussi...du coup j'ai un doute sur le diaph employé pour ce cliché, pourtant si je me met sur A c'est bien priorité au diaph? je crois que je vais me replonger dans le mode d'emploi...


phil

14/12/2006 à 00h06

quel rapport de grossissement, quel diaph qu'est ce que tu voulais prendre car après tout les latérales tu les voulais vraiment nettes ou pas ?
le D80 a t il un test de profondeur de champs ......c'est tellement pratique .......


PopHip

14/12/2006 à 03h26

cyberquenottes Ecrivait:
-------------------------------------------------------
> écoutes , moi je devrais re choisir un APN ,
> j'irais sur le forum hardware.fr et je demanderais
> a des gars calés de m'aider a choisir en fonction

Moi je demanderai à des photographes, sur des sites de photographes.


003 penrd2 - Eugenol
Cingulum

14/12/2006 à 08h50

A: effectivement c'est Aperture, donc prio ouverture....mais aprés faut tourner la molette pour le fermer ;)

Le mieux en macro dentaire c'est en manuel:

f: 16, voire 22
V: 1/200
et flash en TTL...

laisser la mise au point aussi en manuel, ce qui permet de garder un grossisment fixe, pour comparer des photos par exemple....et aprés faire la mise au point en avançant ou reculant...

Image1 yze7hz - Eugenol
Image2 lzku76 - Eugenol

phil

14/12/2006 à 10h54



> Moi je demanderai à des photographes, sur des
> sites de photographes.


Mais tu as cingulum ......y a pas besoin d'aller chercher midi à 14 heures......non seulement il fait des clichés remarquables mais il explique bien alors......


Father ted 280 422484a zg0rur - Eugenol
Oméga

14/12/2006 à 15h21

Je confirme pour alhoun, après calcul, entre 1400 et 1560 euros selon que je prenne le 350 ou le 400 chez canon.

Par contre, j'ai du mal (cerveau fatigué) à comprendre la différence que va donner au point de vue image, profondeur de champs et proximité du patient un 50 mm ou un 105 mm.


alhoun

14/12/2006 à 15h36

http://www.hk-digi.com/


total: 585+ 230+ 270= 1085 euros.


PopHip

14/12/2006 à 15h42

Oméga Ecrivait:
-------------------------------------------------------
> Je confirme pour alhoun, après calcul, entre 1400
> et 1560 euros selon que je prenne le 350 ou le 400
> chez canon.

Prends le 400: on s'en fiche des pixels, par contre le nettoyage automatique du capteur est indispensable ! Ca fait 2 fois en 18 mois que je renvoie mon 350 pour une tache. Et les tâches, c'est visible justement quand on diaphragme à fond.

> Par contre, j'ai du mal (cerveau fatigué) à
> comprendre la différence que va donner au point de
> vue image, profondeur de champs et proximité du
> patient un 50 mm ou un 105 mm.

Ca va dépendre aussi des caracteristiques de ton objectif, mais le 50mm 1.4 de chez Canon, super lumineux, n'est vraiment pas adapté au portrait et à la macro... Un 105mm va devenir un 160mm sur le 400D, donc attention à la distance minimum de mise au point, ce sera de toute façon un objectif à saisir loin du patient et difficile à manipuler. Pour plus de facilité, je crois que Canon a sorti un 60mm (donc 90mm sur 400D) mais en série EFS il me semble, donc non montable sur les reflexes argentiques et numériques full frame comme le 5D...


alhoun

14/12/2006 à 15h44

alhoun Ecrivait:
-------------------------------------------------------
> http://www.hk-digi.com/
>
>
> total: 585+ 230+ 270= 1085 euros.


là c'est la configuration avec le 400.


alexlop

14/12/2006 à 16h04

moi je viens d'avoir le cecsmo
et je vais m'acheter un bel appareil:

on nous a conseiller le D80, mais je prefere les Canon
pour faire photo: face profil sourire
intrabuccale: profil D et G, face, arcade max et mdb.
avant, pendant et apres traitement

du coup je suis tenté par le 400 D, flash annulaire mais je ne connais pas l'objectif necessaire, peut-etre le 60 macro comme precisé sur le message precedent.
il faut alors un 18-55 pour les portraits?

qu'en pensez- vous?


PopHip

14/12/2006 à 16h53

alexlop Ecrivait:
-------------------------------------------------------
> moi je viens d'avoir le cecsmo
> et je vais m'acheter un bel appareil:
>
> on nous a conseiller le D80, mais je prefere les
> Canon
> pour faire photo: face profil sourire
> intrabuccale: profil D et G, face, arcade max et
> mdb.
> avant, pendant et apres traitement
>
> du coup je suis tenté par le 400 D, flash
> annulaire mais je ne connais pas l'objectif
> necessaire, peut-etre le 60 macro comme precisé
> sur le message precedent.
> il faut alors un 18-55 pour les portraits?
>
> qu'en pensez- vous?

Le 18-55 filé avec n'est vraiment pas bon, ils le filent histoire d'avoir un petit zoom trans-standard.

Canon, Nikon... c'est qu'une histoire de religion... les objectifs se valent, Canon a en ce moment un peu plus d'avance technologique. Moi chuis Canoniste orthodoxe.

Choisir sa marque, c'est choisir ses objectifs que l'on peut garder à vie. Je ne sais pas si ca vaut le coup d'investir dans de gros numériques, tout va tellement vite, donc un 400D est parfait pour la plupart. Le 60mm a l'air d'avoir bonne presse. Mais je confirme qu'il n'est pas adaptable sur argentique et full frame, donc quand d'ici 5 ans Canon ne fera plus que ça (rêvons un peu), hop poubelle le caillou...

Bon sinon le portrait c'est subjectif. Moi j'aime bien le faire en 20mm, mais on l'enseigne plutôt au téléobjectif, donc au delà de 50mm...


Father ted 280 422484a zg0rur - Eugenol
Oméga

14/12/2006 à 17h04

Le zoom ils te le donnent quasiment lors de l'achat de l'apn, il revient à 20 euros sur chez certains revendeurs, et je pense qu'il suffit pour faire des portraits.
Pour la macro, je laisse la parole aux pros :).


PopHip

14/12/2006 à 17h39

Oméga Ecrivait:
-------------------------------------------------------
> Le zoom ils te le donnent quasiment lors de
> l'achat de l'apn, il revient à 20 euros sur chez
> certains revendeurs, et je pense qu'il suffit pour
> faire des portraits.

Parce que c'est un gros bout de plastique :|


Squash u44zd8 - Eugenol
steph

14/12/2006 à 17h49

Est-il possible d'augmenter ou retarder le déclenchement?
Est-ce utile ou pas?


Father ted 280 422484a zg0rur - Eugenol
Oméga

14/12/2006 à 17h56

Possible, je crois bien.
Par contre, c'est indispensable pour être sur la photo avec ton patient ;).


Squash u44zd8 - Eugenol
steph

14/12/2006 à 17h57

Je viens de me rendre compte que j'ai acheté sur ebay mon objectif macro à un acheteur dont le pseudo est....hk digi pour 20€ de plus que sur son site.
Alhoun, t'en as eu pour combien en frais de port?


PopHip

14/12/2006 à 18h17

steph Ecrivait:
-------------------------------------------------------
> Est-il possible d'augmenter ou retarder le
> déclenchement?

Augmenter ?

> Est-ce utile ou pas?

Pour un paysage pris sur trépied au crépuscule...


alexlop

14/12/2006 à 19h22

je viens de voir des commentaires d'utilisateur sur le 400D.
bon biensur on trouve toujours des mecontents, mais là ca s'enchaine !
qu'en pensez-vous?
une mauvaise serie? trop exigeant? le 300D ou 350D etait vraiment mieux?

http://www.cnetfrance.fr/produits/opinionlist/0,39029638,60247952p-39000805c-39364340,00.htm