Cookie Consent byPrivacyPolicies.comAppareil photo - Eugenol
PopHip

14/12/2006 à 19h29

alexlop Ecrivait:
-------------------------------------------------------
> je viens de voir des commentaires d'utilisateur
> sur le 400D.
> bon biensur on trouve toujours des mecontents,
> mais là ca s'enchaine !
> qu'en pensez-vous?
> une mauvaise serie? trop exigeant? le 300D ou 350D
> etait vraiment mieux?
>
> http://www.cnetfrance.fr/produits/opinionlist/0,39
> 029638,60247952p-39000805c-39364340,00.htm


Le 300D était un premier pas vers le grand public, mais insuffisant (lent, très lent, trop plastique). Le 350 était là pour faire un gros pied de nez à Nikon et ses D70/80 (ne parlons pas des D50). Le 400D apporte plus de collimateurs, un bel écran de config, le nettoyage de capteur, et 2 millions de pixels de plus. Le proc serait le meme que le 30D non?

Laisse tomber les 3 pelés qui veulent des photos exigeantes avec le zoom d'origine et des conditions lumières de sous-sol bhv.


phil

14/12/2006 à 19h33

alexlop Ecrivait:
-------------------------------------------------------
> moi je viens d'avoir le cecsmo
> et je vais m'acheter un bel appareil:
>
> on nous a conseiller le D80, mais je prefere les
> Canon
> pour faire photo: face profil sourire
> intrabuccale: profil D et G, face, arcade max et
> mdb.
> avant, pendant et apres traitement
>
> du coup je suis tenté par le 400 D, flash
> annulaire mais je ne connais pas l'objectif
> necessaire, peut-etre le 60 macro comme precisé
> sur le message precedent.
> il faut alors un 18-55 pour les portraits?
>
> qu'en pensez- vous?
>
>
la marque a peu d'importance Nikon et Canon font de très bons produits sont evolutifs et conservent bon nombre de compatibilités dans le temps.....moi j'ai un nikon D200 que je trouve exceptionnel .le D80 doit donc etre très bien ......je travaille en voyage pour le portrait avec mon 60mm macro .....qui peut donc aussi servir en bouche accessoirement !


Merci Alhoun pour ton lien c'est vraiment interessant .....a ce prix effectivemment un reflex sinon rien .....

steph en bouche tu flashes pour eclairer et figer le mouvement ....pas besoin de retardateur !


Blason dql7mj - Eugenol
growler

14/12/2006 à 23h09

j'ai les nerfs!!! je n'arrive pas à prendre des clichés avec un diaph plus fermé que 5.6, en mode A si je tourne la molette il ne se passe rien!!!! du coup je n'ai pas assez de profondeur de champ. Phil, tu as un D200, je suppose que le réglage du diaph en mode A se fait de la même manière que sur mon D80, avec la molette avant? on voit bien sur ce cliché pris cet après-midi que la profondeur de champ manque cruellement (mais patients ont du me trouver cinglé, j'ai pris au moins 50 clichés aujourd'hui :-))

14decembre 2006 018 hcxrty - Eugenol

phil

14/12/2006 à 23h46

oui je me sers de la molette avant ( mais comme on peut tout inverser c'est pas ca ) . Mode prorité au diaph (A ).....c'est curieux ton problème.....tu travailles avec le 60 macro ?
verifies que tout les reglages genre C S M ne sont pas entre 2 positions que ton objectif est bien en position auto etc...
ton flash c'est quoi .....est-il compatible car tout ne fonctionne pas avec mon D200.....est-tu bien en mode normal mesure matricielle ......
enlève la carte memoire remet la ...demonte l'objectif remets le ...


C'est surement un petit truc comme ca

si tu as un souci pose la question sur http://www.nikonpassion.com/ forum

ou plus simplement consulte le service technique Nikon......la hot line est le 0825 064 517 normalement.....perds pas ton temps appelles

amicalement


Squash u44zd8 - Eugenol
steph

15/12/2006 à 10h48

Hé phil, D80 ça doit être l'indice de plaque et de saignement de ce patient.
Growler, je préfèrerais des photos de la pomme que de dents.
Et merci à Pophip.


alhoun

15/12/2006 à 11h30

steph, je ne me souviens plus des frais de tva.
je regarderai.


Father ted 280 422484a zg0rur - Eugenol
Oméga

15/12/2006 à 15h01

Je coince encore sur le choix de la longueur de mon objectif macro (60 à 105 mm).
Quels sont les avantages et inconvénients, j'avoue de pas trop comprendre.


024 vownvo - Eugenol
annie

15/12/2006 à 15h17

a vous lire je comprends pourquoi mes photos sont m....ques,ça ne vient pas de moi mais d'un APN minable à 200€,pourtant sur l'écran elles sont tres nettes!


phil

15/12/2006 à 16h14

Oméga Ecrivait:
-------------------------------------------------------
> Je coince encore sur le choix de la longueur de
> mon objectif macro (60 à 105 mm).
> Quels sont les avantages et inconvénients, j'avoue
> de pas trop comprendre.



Le 105 mm te permets de travailler un peu plus loin du patient essentiellement.........
l'un ou l'autre de toute façon très bon choix

le 90 mm tamron est très bien aussi


Father ted 280 422484a zg0rur - Eugenol
Oméga

15/12/2006 à 16h23

Et un 60 mm, je vais être à quelle distance aproximativement ? Et un 105 ou un 90, la distance ?


phil

15/12/2006 à 18h16

Oméga Ecrivait:
-------------------------------------------------------
> Et un 60 mm, je vais être à quelle distance
> aproximativement ? Et un 105 ou un 90, la distance
> ?

je ne peux te dire avec precision pour le 105 et le 90 mais avec un 60 mm ( le mien n'est pas spécifique digital )selon le rapport de grandissement tu seras entre 7 et 8 cm jusqu'a 15 20 vraissemblablement .......plus tu grossis plus tu te rapproches .....de toute façon tu seras à une distance confortable pour toi et le patient.
ceci dit les chiffres que je te donnes sont approximatifs ...


Blason dql7mj - Eugenol
growler

15/12/2006 à 18h38

avec le 105 mm Sigma, au grossissement 1:1 et à pleine ouverture, le sujet doit être à 9.5 cm du bord antérieur du flash annulaire.

@+


Father ted 280 422484a zg0rur - Eugenol
Oméga

15/12/2006 à 19h13

Oui, donc on est de toute façon très près, la longueur ne change pas grand chose.
Merci, il ne me reste quà vendre un rein pour acheter le matériel.
Je garde l'autre l'an prochain pour localisateur d'apex, caméra intrabuccale et urssaf ;).


Blason dql7mj - Eugenol
growler

15/12/2006 à 22h54

steph Ecrivait:
-------------------------------------------------------
> Hé phil, D80 ça doit être l'indice de plaque et de
> saignement de ce patient.
> Growler, je préfèrerais des photos de la pomme que
> de dents.
> Et merci à Pophip.


sacré steph! toujours une petite banderille en réserve:-)

phil, tout est ok maintenant, j'avais juste la bague de diaph de l'objectif qui était entre 2 crans.

j'ai donc pris des photos à f22 (et pas f32 car cingulum a dit que c'était pas bien), ma profondeur de champ est maintenant suffisante. merci phil pour le lien nikonpassion (pour ma part je suis content de mes nikon mais pas passionné quand même) et aussi à alhoun pour son lien de site commercial super placé.
je crois que je vais m'acheter le sigma 70 mm 1:1 (à mon avis ce n'est pas par hasard s'ils ont sorti cette focale, car avec la facteur d'agrandissement des nikon numeriques la focale de 105 est limite trop grande (pour avoir la bouche entière il faut être à peu près à 60 cm du sujet).

une petite photo prise today (fin de traitement paro):


@+

15decembre 2006 009 h3otcb - Eugenol

phil

15/12/2006 à 23h09

ton D80 est effectivemment un bon indicateur d'indice de plaque......c'est sensible ces p'tites betes la !


024 vownvo - Eugenol
annie

16/12/2006 à 04h38

et celui là,il est bien ou pas,il y a 2 objectifs,il en manque d'autres?

http://www.cdiscount.com/photo-numerique/reflex-numerique/canon-eos-400d-2-objectifs/f-1121301-CANONEOS400DKIT3.html


phil

16/12/2006 à 09h44

annie Ecrivait:
-------------------------------------------------------
> et celui là,il est bien ou pas,il y a 2
> objectifs,il en manque d'autres?
>
> http://www.cdiscount.com/photo-numerique/reflex-nu
> merique/canon-eos-400d-2-objectifs/f-1121301-CANON
> EOS400DKIT3.html

le boitier seul oui ......les objectifs sont très bien pour du reportage y compris presque du safari ........en campagne chez moi il y a de belles gazelles avec de jolis sourires......... qu'il est effectivemment mieux de prendre au téléobjectif......


GROSDEG

16/12/2006 à 11h18

que faut il comme objectif alors?


Logo vuaztn - Eugenol
mac

16/12/2006 à 11h22

un objectif macro.


GROSDEG

16/12/2006 à 11h32

mac macro macrophage a toi
a part ça 60mm 90mm ?


phil

16/12/2006 à 14h21

tout depend de ce que tu veux ........en paro une demie arcade est souvent suffisant quitte à faire quelques gros plans ( sur greffe par exemple chose que je fais peu parce que quand on coupe on photographie peu ) c'est pour cela que j'avais initialement évoqué le coolpix
par contre si tu fais de la prothèse par exemple ou tu cherches un gros plan il te faut au moins un rapport 1/1......dans ce cas il te faut un vrai macro et il faut qq chose qui ne te mette pas dans la bouche du patient si tu veux par ex prendre une molaire en gros plan.......donc plutôt un tele genre 105 ou 90....le 105 est une focale de marque souvent ( chez Nikon ) le 90 est ouvert à d'autres marques moins chères mais bonnes ( tamron sigma sont d'excellentes secondes mains .......sigma faisant un 105 mm....tamron un 90 macro très bon )
tout dépend donc de ta pratique et de ton budget même si alhoun nous a donné un site avec des tarifs d'exception .......le D2OO est vendu sur ce site 1110 euros alors qu'ailleurs il est plutôt à 1440 euros .......
et pis si tu fais de la photo par ailleurs il te faudra si tu aimes le portrait un petit télé .Le 105 sera très bien même si il n'est pas surement le plus lumineux il donne à ce que l'on dit de très beaux flous autour du sujet et d'une grande douceur.....
moi j'ai un 60 Nikon car je fais pas mal de macro et c'est un objectif de référence ( pour ne pa dire le meilleurs ) mais cela ne m'empeche pas de faire du portrait ......


Logo vuaztn - Eugenol
mac

16/12/2006 à 15h03

GROSDEG Ecrivait:
-------------------------------------------------------
> mac macro macrophage a toi
> a part ça 60mm 90mm ?


ça va pas changer grand chose pour faire des photos de dents.


Blason dql7mj - Eugenol
growler

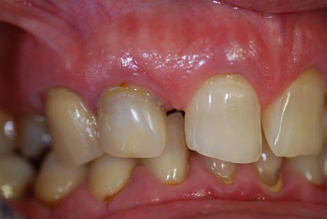
16/12/2006 à 17h14

suite des expérimentations avec l'objecti Sigma 105 mm:

la première vue a été prise au plus fort grossissement (1:1), le sujet est alors à 9.5 cm du bord antérieur du flash annulaire.
Pour la deuxième vue (bouche entière), le sujet est à 30 cm.

avec un 60 mm, un 70 ou un 90 on sera plus prêt

un petit exposé sur les objectifs macro (sur ce site les photos d'insectes ne sont pas aussi belles que celles de cingulum)
http://www.macrophotographie.be/objectif_macro.htm

16decembre 2006 012  b yqrvso - Eugenol
16decembre 2006 011  b oj60yh - Eugenol

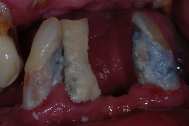
squirax

16/12/2006 à 17h27

Pour un débutant comme moi le 105 de sigma donne des résultats tout à fait acceptables ( avec un D70 et flash annulaire sigma )

Dsc 0730 vesiym - Eugenol
Dsc 0730 yxf6kk - Eugenol

pepito

18/12/2006 à 15h16

salut
il est bizarre ton flash annulaire: il donne des zones d'ombres en haut et à gauche alors que normalement c'est fait pour ne pas en avoir.
à moins que tu ais masqué des zones au gros scoth pour donner du relief ???