Tous les forums
Photos de problemes ou echec ds le traitement implantaire
20/10/2007 à 16h45
Bonjour ,
auriez vous la gentillesse de mettre a ma disposition des photos ou radio d'echec ou de probleme lors de traitement implantaire .
J'ai l'intention de faire un cours sur ce theme et je manque de document pour illsutrer le tout . Mon idee etant de presenter un nombre suffisant de documents et de faire participer les gens en leur faisant faire l'analyse .
J'ai les miens ( pour les mal intentionnes ) mais j'ai pas reusssi a merder dans tous les cas de figures !!
Merci beaucoup
20/10/2007 à 17h55
je t'ai déjà donné un de mes échecs (exo-implantation immédiate-MCI-explantation 1 mois plus tard) il y a quelque temps.
Ca serait sympa de mettre ici tout les cas, ça nous permettraient tous de profiter des expériences d'autrui.
Même si nos egos peuvent en soufrir 98,5% de succès ça fait quand même 1,5% d'échec
20/10/2007 à 17h57
oui merci pout ton aide .
je pensais effectivement une fois le truc monte le mettre a dispo de tous .
20/10/2007 à 20h03
HAIG Ecrivait:
-------------------------------------------------------
> oui merci pout ton aide .
>
> je pensais effectivement une fois le truc monte le
> mettre a dispo de tous .
cool
24/10/2007 à 23h45
Tous le monde ici (sauf moi) auraient 100% de réussite ?
ou pas d'échecs iconographiés ...
24/10/2007 à 23h47
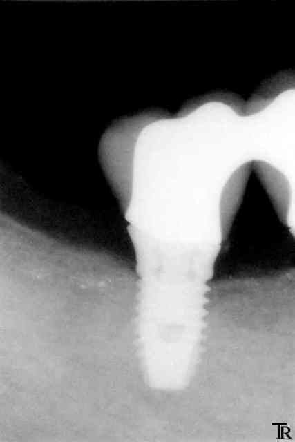
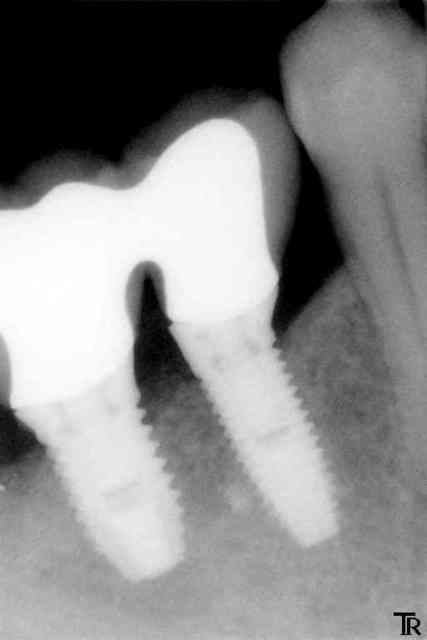
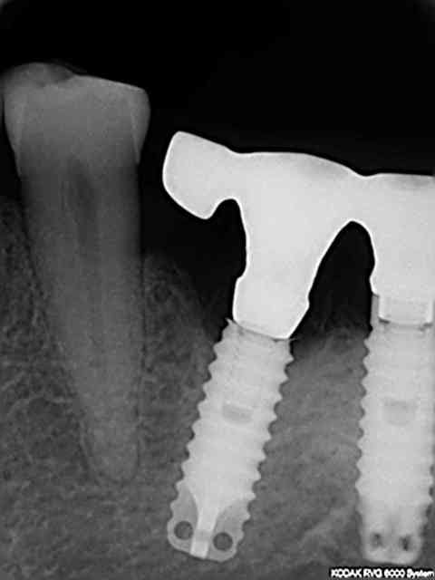
Allez un cas un petit peu limite
pilier Ti procera à fond et couronnes avec un léger défaut d'ajustage ou pas vraiment à fond ?
C'est vrai que la gencive à parfois tendance à venir interférer au scellement en venant se clipser autour du pilier au dessus des limites car mon labo ne veux pas faire des limites juxta
Et il reste un peu de ciment en sous gingivale.
A un mois, je n'ai noté aucune inflammation gingivale.
Et vous vous faite quoi ici ?
25/10/2007 à 00h07
youhooo la bone idée...moi aussi demander pano atypique et photo de bo raté ...en pm, que ça reste classe!!!!
chicot, il y a un bout de temps, mais j' ai aussi posté une boulette d' arrogance made in mes mains, avec l' echec prédictible à la clef....et non, je n'ai pas 100% (ni 110% !!! oups)
25/10/2007 à 03h41
Chicot Ecrivait:
-------------------------------------------------------
> Allez un cas un petit peu limite
>
> pilier Ti procera à fond et couronnes avec un
> léger défaut d'ajustage ou pas vraiment à fond ?
>
>
> C'est vrai que la gencive à parfois tendance à
> venir interférer au scellement en venant se
> clipser autour du pilier au dessus des limites car
> mon labo ne veux pas faire des limites juxta
>
> Et il reste un peu de ciment en sous gingivale.
>
> A un mois, je n'ai noté aucune inflammation
> gingivale.
>
> Et vous vous faite quoi ici ?
je demande à mon labo de faire les limites que je veux.
ici tu ne risques pas grand choses l'espace biologique étant présent entre le bord osseux et tes limites de coiffes.
en revanche le souci c'est le premier implant qui est trop éloigné de la prémolaire (sans la solidarisation avec les suivants il y aurait déjà sûrement une cratérisation par stress mécanique)
tu as implanté quand?
@++
25/10/2007 à 12h25
Chicot Ecrivait:
-------------------------------------------------------
> Allez un cas un petit peu limite
>
> pilier Ti procera à fond et couronnes avec un
> léger défaut d'ajustage ou pas vraiment à fond ?
>
>
> C'est vrai que la gencive à parfois tendance à
> venir interférer au scellement en venant se
> clipser autour du pilier au dessus des limites car
> mon labo ne veux pas faire des limites juxta
>
> Et il reste un peu de ciment en sous gingivale.
>
> A un mois, je n'ai noté aucune inflammation
> gingivale.
>
> Et vous vous faite quoi ici ?
pour info ce des 7mm en posterieur ?
25/10/2007 à 15h52
henri Ecrivait:
-------------------------------------------------------
>
> pour info ce des 7mm en posterieur ?
non 8,5 mm
25/10/2007 à 15h56
growler Ecrivait:
------------------------------------------------------> je demande à mon labo de faire les limites que je
> veux.
moi aussi mais il a parfois la tête un peu dur .....
> ici tu ne risques pas grand choses l'espace
> biologique étant présent entre le bord osseux et
> tes limites de coiffes.
je suis d'accord
> en revanche le souci c'est le premier implant qui
> est trop éloigné de la prémolaire (sans la
> solidarisation avec les suivants il y aurait déjà
> sûrement une cratérisation par stress mécanique)
> tu as implanté quand?
il y a 5 mois et j'ai solidariser entre autre pour éviter un trop grand porte à faux unitaire.
Mon stress c'est de taper dans la racine de la dent mésiale, du coup j'ai souvent tendance à être un peu trop distale.
29/10/2007 à 20h45
implant TBR posé en 1998 par confrère petit problème d'axe que j'avais temporairement résolu en utilisant prothèse transvissée .
en quelques mots
patiente
1)édentée bilaterale
2)bruxoman(girl)
3)suite implantaire difficile...n'a pas fait le travail de l'autre coté (à l'époque je faisais confiance et j'avais accepté de monter la prothèse)
4)la supra structure s'est dévissée deux fois en 7 ans et à chaque fois je la prévenais...
29/10/2007 à 20h51
question subsidiaire que faire après ?
sans utiliser le tourne à gauche j'entends...
29/10/2007 à 21h23
Ben tu vires l'implant avec un trépan et la patiente ensuite si elle ne veux toujours pas équiper l'autre secteur
30/10/2007 à 13h20
oui bien sur , mais option 2
1-lambeau on vire le col cassé
2-on enlève la vis cassée
3-on réalise une empreinte avec transfert modifié
4-suprastructure transvissée solidarisée entre implants
5-bridge provisoire par dessus
6-réalisation de la suite du traitement initalement prévu (3 implants dans l'autre secteur)
7-équilibration +++
8-wait and see
j'ai décidé de conserver cet implant car longueur+++ évent dans le fut +++ crète fine donc gros dégats lors de la dépose tourne à gauche , ou trépan les dégats seront idientiques avec risque de laisser l'extrémité apicale et nécesité de greffe par la suite...
déja six mois de fonction à suivre
30/10/2007 à 14h54
en regardant la rvg avec le col cassé on s'aperçoit que le filetage va bien plus loin que la vis donc j'ai présumé que je pourrai visser plus loin dans le fût.
modification du transfert:
en supprimant l'octogone du transfert totalement la vis va bien à fond (rvg jointe) mais par contre le transfert n'est pas en butée contre l'implant modifié donc j'ai modifié légèrement la vis pour qu'elle pousse le tansfert contre l'implant (ajout d'un petit anneau de duralay sur les premières spires ) de sorte qu'en vissant on soit bien en butée contre le fût (cf deuxième rvg)
puis j'ai controlé lors de l'essayage de l'armature que l'ensemble soit vraiment passif.
A priori ras mais ce cas n'a été possible que grace à la profondeur de filetage du fut .
A noter que la fracture du col vient aussi certainement du fait que les pièces usinés fabriquées n'appuyaient que sur la périphérie du col et ne venaient pas en butée sur le l'épaulement interne (contrairement au cone morse ou le principal de la force est dans la partie la plus épaisse) l'épaisseur étant à cet endroit. la partie la plus fine .
réponse de la firme à mon problème : jamais de col cassé chez nous ...(comme chez les autres)
30/10/2007 à 15h09
alhoun Ecrivait:
-------------------------------------------------------
> joli sauvetage.
fouilla tu seras notre pamela anderson à nous.
30/10/2007 à 16h42
félicitations fouilla, ton sens de l'observation t'as permis d'élaborer une solution simple.
bravo ++
30/10/2007 à 17h56
Hmm... je préfère quand même poster des jolis cas.