Cookie Consent byPrivacyPolicies.comPhotos de problemes ou echec ds le traitement implantaire - Eugenol

Photos de problemes ou echec ds le traitement implantaire

Blason dql7mj - Eugenol
growler

30/10/2007 à 19h59

salut fouilla,

en fait, j'avais lu un peu trop vite ton post et avais compris que la photo avec la résorptiion avait été prise quelques mois après la mise en place de la couronne.

j'avais interprété les photos dans l'ordre suivant:

-implant à 3-4 mois
- implant + couronne quelques mois après la mise en charge

alors qu'en fait c'est l'implant le jour de la pose et la couronne le jour de sa mise en place .


je pensais donc, que la destruction osseuse était vraisemblablement dûe à un problème occlusal alors qu'en fait, en remettant les photos dans l'ordre, on peut rejeter cette hypothèse car l'os s'est reformé grâce à la persistance d'une trame collagénique et à la stimulation mécanique (avec élimination maximale bactérienne dans la zone)

ce cas est très interessant car on pourrait prouver tout et son contraire en changeant l'ordre des photos: rendre les plus pessimistes encore plus pessimistes ou franchement les rassurer.

@+

ci-dessous les photos dans l'ordre où je les avais classé:

Casfouilla - Eugenol
Casfouilla - Eugenol

Fouilla h6plsy - Eugenol
fouilla

30/10/2007 à 20h37

merci pour ta réponse rapide et promis j'essayerai
à l'avenir de ne plus "cafouiller ".
.


Blason dql7mj - Eugenol
growler

30/10/2007 à 20h55

:)


Bouddha 2 wmj1zk - Eugenol
HAIG

01/11/2007 à 11h16

Merci a ceux qui ont postes . Mais les autres , meme pas un petit probleme ?? Quelque chose a nous mettre sous la dent ¿¿¿


Fouilla h6plsy - Eugenol
fouilla

02/11/2007 à 12h09

pas le temps d'en dire plus les explications après


Fouilla h6plsy - Eugenol
fouilla

02/11/2007 à 12h11

.

S1 lmklqw - Eugenol
S3 wkklx9 - Eugenol
Pano atbqmf - Eugenol

Fouilla h6plsy - Eugenol
fouilla

02/11/2007 à 15h29

photos et radio de mauvaise qualité je n'avais pas mon matériel sous la main ce matin mais uniquement la caméra endobuccale que je ne manie que rarement (ca se voit),depuis un cambriolage je ne laisse plus rien de valeur facilement transportable .Mais j'ai pensé à ton sujet alors j'ai paré au plus pressé

pas censé travailler ....


Ce patient( proche de la famille) a été équipé site de 36 37 il y à deux ans et mis en provisoire à l'époque parti à 700 km du cabinet me contacte mardi en me disant qu'il revenait pour la toussaint mais qu'il avait un petit souci du coté droit....

Viens donc ce matin pour me montrer (tant pis pour le pont)

et voilà le résultat : fracture des deux petites provisoires au niveau de l'extension mesiale ; voussure vestibulaire que l'on devine malgré la photo de mauvaise qualité .

.


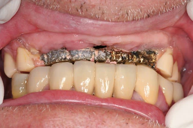
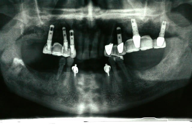
trimarc

17/11/2007 à 23h03

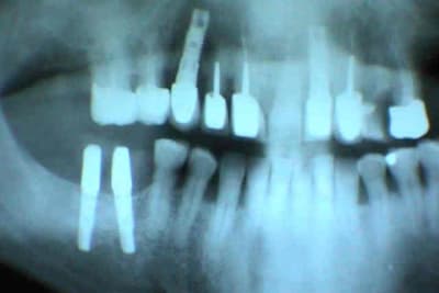
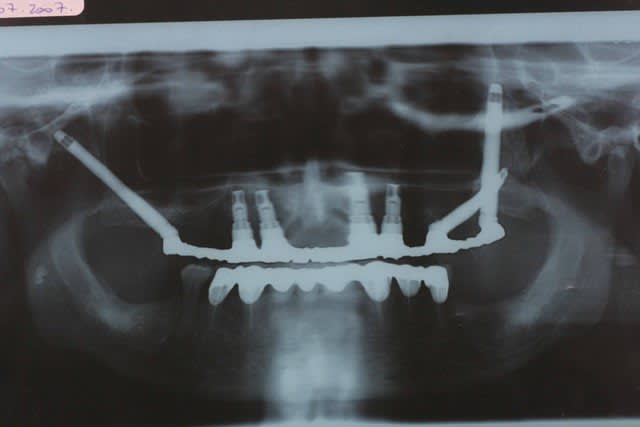
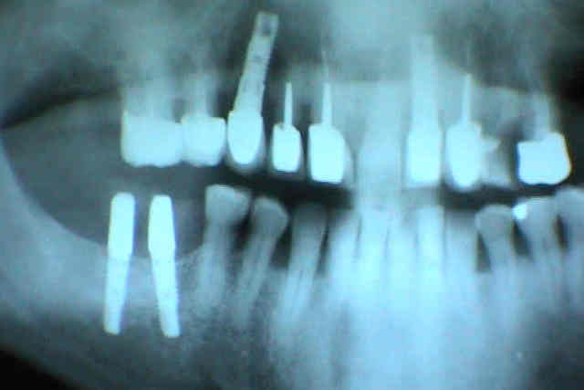
1er cas: une belle réussite chirurgicale et un massacre prothétique
2ème cas: une belle réussite prothétique(aucune mobilité, esthétiquement acceptable malgré la position des implants) et un massacre chirurgicale (6 ans)


trimarc

17/11/2007 à 23h04

désolé

Img 2554 qrzsjc - Eugenol
Img 2559 ol9e1u - Eugenol

trimarc

17/11/2007 à 23h05

encore désolé


trimarc

17/11/2007 à 23h14

désolé, il y avait le nom du patient

Img 2835 modifié 2 fxvxxb - Eugenol

Avatar ow44t3 - Eugenol
Chicot

18/11/2007 à 21h30

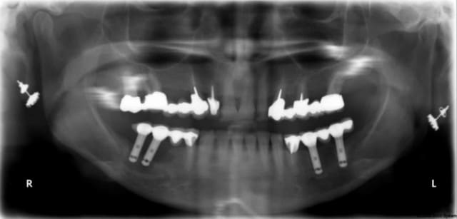
C'est des implants zygomatiques sur ton premier cas ?


trimarc

18/11/2007 à 22h23

et 1 orbiculaire

désolé orbitaire


Img 1744 z0evts - Eugenol
dumaille

18/11/2007 à 23h17

dis moi trimarc, s'est toi qui a fait la chirurgie du cas?
s'est incroyable les risques pris pour l'implant "orbitaire".


Blason dql7mj - Eugenol
growler

18/11/2007 à 23h22

à nmon avis l'implant est "orbitaire" en raison d'une déformation de la pano (patient un peu de travers)

@+


trimarc

19/11/2007 à 15h46

2 précisions:
je n'ai rien fait au patient: il voulait un avis sur son état actuel

l'implant est bien sous l'orbite

inconscience ou non?


Avatar ow44t3 - Eugenol
Chicot

20/11/2007 à 13h52

c'est fou ...


crazydoc

06/12/2007 à 17h26

bonjour,
si tu n'as pas encore fais ton cours alors consulte les ouvrages de Marc BERT et tu verras un nombre important d'échecs ainsi que de belles photos...


maxx

08/12/2007 à 15h13

bonne idée , des echecs j en ai eu , et ça a l'avantage de te faire avancer, à mon sens ce sont les seuls confs qui m interesse en implanto.
je cherche les radios et je te les transmets


Bouddha 2 wmj1zk - Eugenol
HAIG

09/12/2007 à 11h57

Merci ,
tu es sympa si tu peux rapidemnt mon cours est prevu le 15 de ce mois .


alhoun

10/12/2007 à 16h04

ça vous convient comme échec?


alhoun

10/12/2007 à 16h14

......

Imz fjrcf2 - Eugenol

Péach

10/12/2007 à 20h13

HAIG Ecrivait:
-------------------------------------------------------
> Merci ,
> tu es sympa si tu peux rapidemnt mon cours est
> prevu le 15 de ce mois .


j'ai posté un cas dans le "bio os et membrane" en cours; il devrait t'intéresser car il y a les radios du problème au départ et les photos de la pose de l'implant en final


Bouddha 2 wmj1zk - Eugenol
HAIG

10/12/2007 à 22h19

Merci Péach ,

mais ton cas n'est qu'un contre-temps pas vraiment une cata , celui d'alhoun est deja mieux .
Un aperçu de mes preferes


Bouddha 2 wmj1zk - Eugenol
HAIG

10/12/2007 à 22h24

Je retente la photo

Merdouille - Eugenol

123...