Cookie Consent byPrivacyPolicies.comScrewpostator - Eugenol
PopHip

17/11/2007 à 21h01

Et tout de suite un nouvel épisode de Supersonik contre Screwpostator...

Screwpostator episode1 wcgwjh - Eugenol

Marque a3 orange fyvhyq - Eugenol
Marc Apap

17/11/2007 à 21h05

Bravo !
Si tu sais en faire pour d'autres choses, en un peu plus chiadé, je suis preneur !


PopHip

17/11/2007 à 22h11

Fait en 5 minutes avec http://plasq.com/comiclife/ (première utilisation!)


PopHip

17/11/2007 à 22h12

A moins que tu parles de reprises d'endo :)


miss-endo

17/11/2007 à 22h28

Hi hi hi, bravo !

Et avec un inlay-core claveté, ce serait encore tellement plus drôle !!!

Encore bravo pour la présentation, c'est géant.


Pa050055 igyagy - Eugenol
mark

18/11/2007 à 20h37

Très amusant, ce mode de présentation, ça vous ramène à l'adolescence et à la lecture d'Hara-Kiri, euh... je voulais dire aux romans-photos ;)

Ceci dit pour les screw-post on accélère singulièrement la dépose avec le système Thomas avec filières tourne-à-gauche.


M xowzvs - Eugenol
orvieto2

07/11/2008 à 16h54

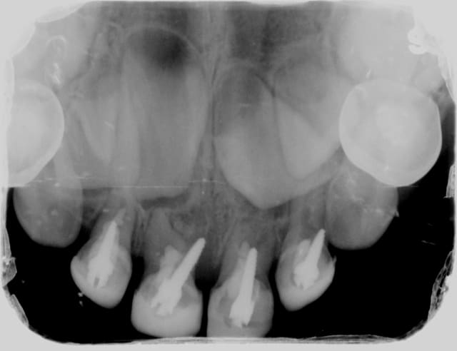
Le screw-post , une technique injustement décriée ...
Regardez ce qu'arrivent à faire de grand professionnels :

S p o2sth7 - Eugenol

cyberquenottes

07/11/2008 à 17h06

Marc Apap écrivait:
-------------------
> Bravo !
> Si tu sais en faire pour d'autres choses, en un peu plus chiadé, je suis preneur
> !




signé "récupérator" ???


cyberquenottes

07/11/2008 à 17h07

orvieto2 écrivait:
------------------
> Le screw-post , une technique injustement décriée ...
> Regardez ce qu'arrivent à faire de grand professionnels :

sale gosse !!!
.
.
.
.
.
.

.

--
SIGNEZ LA PETITION JULIE ICI :
http://www.mesopinions.com/pour-supprimer-les-nouveaux-controles-de-droits-inclus-dans-la-version-3-31-de-JULIE-petition-petitions-38d6097a26a6eb6b5db29a71c7a8bbdd.html


S8ysxdzhdqgw00w4q6m07a5d47q2 - Eugenol
gai-luron

07/11/2008 à 17h12

PLOC, viens voir par là, un peu...


Image odged8 - Eugenol
ploc

07/11/2008 à 18h04

eureka:je vais pouvoir réimplanter des dents de lait aux screwwposts
que du benef:tout HN,l'investissement est moindre et mme pas besoin que cela tienne longtemps

quel âge a Screwpostaté?


Grueavatar nptrc9 - Eugenol
Le Choixpeau magique

07/11/2008 à 19h08

Rassure toi ploc, les screw post sont en titane...


Image odged8 - Eugenol
ploc

07/11/2008 à 19h20

tu me rassures:je craignais une mauvaise osteointegration avec du laiton
tout va donc pr le mieux ds le meilleur des cas postés


Father ted 280 422484a zg0rur - Eugenol
Oméga

07/11/2008 à 20h37

Vous êtes médisants, il y en a quand même un qui est dans l'axe !


PopHip

07/11/2008 à 23h13

Pauvre gosse n'empêche... ce confrère n'est rien d'autre qu'une ordure...


S8ysxdzhdqgw00w4q6m07a5d47q2 - Eugenol
gai-luron

07/11/2008 à 23h14

oui, faut le reconnaitre...


Image odged8 - Eugenol
ploc

07/11/2008 à 23h49

et si c'était un montage?peut on bidouiller des radios sur le net?

la rhysalyse des racines de dents temporaires est une notion si basique que je n'y crois pas au fait de mettre des screwpost,comme montré par orvietto
et un CD qui se donne la peine de faire des couronnes provisoires sur des anterieures temporaires, ne peut l'ignorer

en ts cas,c'est du jamais vu


024 vownvo - Eugenol
annie

08/11/2008 à 01h21

Pourvu que les dents définitives suivent les racines et pas les screw posts!


S8ysxdzhdqgw00w4q6m07a5d47q2 - Eugenol
gai-luron

08/11/2008 à 23h06

je pense au montage aussi, après réflexion

arriver à faire ça sur un gamin de cet age, en plus, j'y crois pas une seconde.


Image odged8 - Eugenol
ploc

09/11/2008 à 14h18

c'est veridique

Il s'agit d'un cas présenté sur le forum américain Dentaltown dont voici l'URL :

http://www.towniecentral.com/MessageBoard/thread.aspx?s=2&f=136&t=116560&v=1

commentaire du CD qui a posté;

"I just got this patient from another pediatric dentist office. The patient is here for just a routine check-up. What should I recommend. Patient is in no pain and no abscesses present. Work was previously done in OR when she was two years old. She is now four years old. Recommendations?? "

This is an American pediatric dentist fully trained in the US. He is an active member of the AAPD. "

en reponse à GL c'est possible(voir un vieux cas posté:patient 4 ans ,elles st tombées à 6 ans1/2),je suis en train de faire la mme chose sans les screwposts,uniquement en collage
patiente 2ans1/2
cela dit en y reflechissant,en titane,ds l'axe,très courts et extraction qd la rhyzalyse arrive au niveau du tenon,why not?
la difficulté serait d'evaluer la longueur suffisante et necessaire pr conduire les dents sans risques jusqu'au moment T-3 ou 6 mois de la chute physiologique
qu'en pensent les pedos? jazz? catrose?


berk:je suis allée rechercher les photos sur le fil rire et sourire d'un enfant de juin 2006:les photos y étaient bonnes!!!
adhoc,au secours,ameliore les


Dscn1842 1 thumb uaemd4 - Eugenol
Dscn1843 1 thumb sf2gcj - Eugenol

Grueavatar nptrc9 - Eugenol
Le Choixpeau magique

10/11/2008 à 00h59

Ploc, tu as posté les "thumbnails", les miniatures...


Image odged8 - Eugenol
ploc

10/11/2008 à 04h45

choipeaux,tu me parles chinois,là
j'ai posté ce que je suis allée chercher sur le vieux fil


jazz

10/11/2008 à 20h09

Chère Ploc
Tu penses bien que je n'ai jamais utilisé de screw post sur les dents de lait.Ces derniers n'étant pas resorbables je n'ai pas envie de faire des rx à tout bout de champ pour observer l'état de la rhyzalyse et savoir à quel moment je dois extraire.
On obtient les mêmes résultats avec nos colles et nos moules préformés type odus.
Bonne après midi chez toi
Jazz


catrose

11/11/2008 à 08h55


idem,meme en cherchant bien,je n'arrive pas a expliquer ce type de traitement
et personne d'ailleurs ,en lisant les reactions sur le forum de Dentaltown,les autres pedodontistes americains sont aussi perplexes et affoles
il y a suffisemment de bons produits pour ce type de reconstitutions anterieures


Grueavatar nptrc9 - Eugenol
Le Choixpeau magique

11/11/2008 à 11h29

Ploc, si tu as firefox, fais un clic milieu (roulette sur la souris) sur la photo, elle va s'ouvrir dans un nouvel onglet en format original, et là tu peux enregistrer la photo en "grand format".


12...