Cookie Consent byPrivacyPolicies.comQue faire ? Extraire ou conserver ? - Eugenol

Que faire ? Extraire ou conserver ?

Blue eye thumb medium dx1i0w - Eugenol
bill

29/04/2010 à 01h05

Je prends le pari que dans 2 mois tu auras un début d'amélioration, le départ de la lésion endo étant très probablement la racine mésiale.


Avatar hjdsnm - Eugenol
TiGabi

14/06/2010 à 19h56

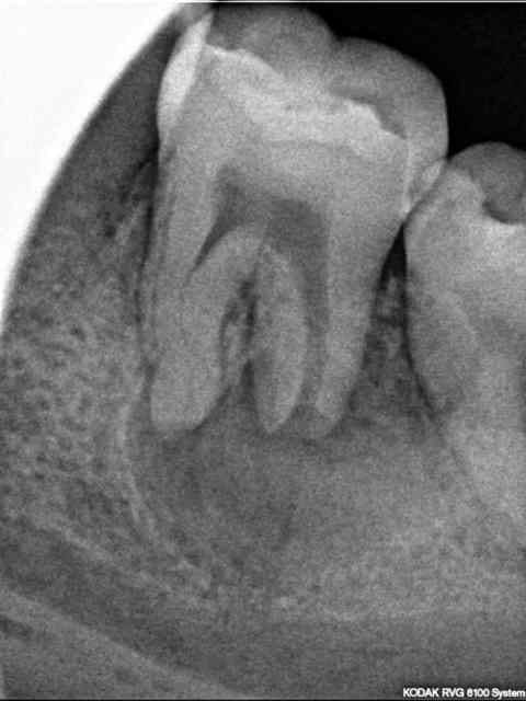
36 asymptomatique, mobilité 3. Fistule vestibulaire.

Double courbure racine mésiale. Résorption apicale racine distale et "apex" très ouvert. LIPOE > 5 mm.

Que pensez vous du trait vertical au niveau de la furcation ?

Je la revois jeudi pour inspecter le plancher puis tentative endo.

R1 wdr4sh - Eugenol

Zoe   son arriv e whwqpj - Eugenol
emma

14/06/2010 à 20h51

TiGabi écrivait:
----------------
> Merci pour vos réponses.
>
> Étonnamment, RAS au sondage paro.
>
> Endo ce jour, sous digue avec irrigation "généreuse" : je regrette d'avoir
> dépointé le maître-cône distal au dernier moment...
>
> La suite dans 2 mois.

même conseil que Ceramik, ferme rapidement de façon hermétique
ta belle endo, sinon tu vas perdre tout le bénéfice de l'irrigation abondante et de l'obturation gutta chaude sous digue.

Pour ma part, je ne termine jamais une endo sans faire la reconstitution fibrée dans la foulée, je pars du principe que si j'ai bien fais mon endo et qu'il n'y a pas de guérison après plusieurs semaines, la solution ne sera pas dans une reprise d'endo, mais dans une chirurgie endodontique à rétro, voire une hémisection, voire au pire une extraction, mais en fermant hermétiquement la dent, je mets toutes les chances de son côté.

--
Emma


Avatar hjdsnm - Eugenol
TiGabi

14/06/2010 à 22h59

Emma, comme dit plus haut, un compo a été fait quelques jours après.
Pour le cas que j'ai posté tout à l'heure : au vu de la radio (rizalyse, paroi osseuse radio-opaque entourant lésion), il y a quand même 90% de probabilité que ce soit un kyste. Qui feraitl'endo ? Qui ferait l'avulsion directement ?


Tozzi

15/06/2010 à 00h06

Quand on voit le diamètre du canal distal je ne vois pas comment on peut espérer une obturation étanche.
Peut-on espérer une cicatrisation osseuse ? A mon avis, non.
La présence de la résorption est plus en faveur de l'extraction à mon avis.


Avatar hjdsnm - Eugenol
TiGabi

17/06/2010 à 13h37

Merci Tozzi pour ton avis.

Je revois la patiente à 15h et dois donc me décider d'ici là pour tentative endo ou avulsion. Tout autre avis m'intéresse.

Je serai plus en faveur d'une endo en 1ère intention si j'étais sûr de pouvoir suivre le cas : mais je crains que la patiente n'ai pas le sérieux nécessaire.


Avatar hjdsnm - Eugenol
TiGabi

17/06/2010 à 19h55

Pfiou, les sueurs froides du débutant :(

Deux grosses difficultés :

- Convaincre la patiente du haut de mes 25 ans que cette molaire qui ne lui a jamais fait mal et qui pour elle "ne bouge pas" doit être enlevée.J'ai manqué un tout petit peu d'assurance dans mon discours et forcément la patiente l'a ressenti. Au bout de 10 minutes de dialogue, elle est cependant d'accord pour l'avulsion.

L'avulsion a pris 15 secondes montre en main.L'exérèse du kyste par contre...

- Je pensai que ce serait simple et rapide : erreur, sans assistante c'était une grosse galère. Au 1er coup de curette, la corticale vestibulaire saute : bon, ça fait plaisir... Au second coup de curette, le contenu du kyste se déverse, de consistance "motte de beurre qu'on a oublié sur la table du petit déjeuner une matinée d'été".
Ça saigne bien et j'ai pas d'assistante : j'y vois rien. Je rince, je rince, je rince : ok, je vois toujours rien. Bon, je commence à essayer de décoller proprement le kyste mais la seule curette alvéolaire du cabinet n'est pas du tout adaptée (une sorte de petite cuillère de forme arrondie). J'essaie avec la spatule tête bêche : hum, pas si mal. Je décolle la moitié du kyste non sans difficulté tant c'est adhérent. Et là, je vois donc la moitié du kyste décollé, j'attrape une pince gouge et je tire en me disant "tout va venir d'un coup !". Erreur... Le kyste se déchire, la moitié dans la pince, la moitié reste au fond de l'alvéole (là où ça saigne et où on ne voit rien).
Je commence à fatiguer... Je prends la grosse curette, pousse un cri de rage (intérieurement) et me dit que je vais arracher ça à la barbare : haha, Kyste 1, TiGabi 0.
Je sors alors une curette de Gracey et passe 15 minutes à me battre.

Au final : une heure de RDV pour...

...DC16 ! P***** DC16 ! F*** !!


Avatar hjdsnm - Eugenol
TiGabi

01/09/2010 à 22h53

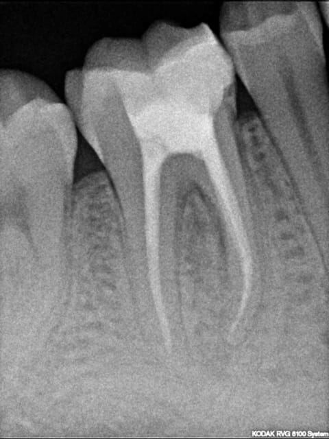
4 mois post-op du cas posté sur la page précédente.

R7 d69xto - Eugenol

Photo 158 mluhia - Eugenol
robin

02/09/2010 à 00h14

félicitations, beau boulot.


3f3boxni50k58rq7e9ce9ddqrxgk - Eugenol
dentiste57

02/09/2010 à 00h55

merci de redonner espoir aux déçus de l'endo...


Smile beach jgh0a1 - Eugenol
Céramik

02/09/2010 à 05h01

dentiste57 écrivait:
--------------------
> merci de redonner espoir aux déçus de l'endo...


Céramik écrivait:
-----------------
Endo + Compo(sous digue)

et attendre quelques mois.
-----------



et j'avais raison
;-))
--
Céramik


Avatar hjdsnm - Eugenol
TiGabi

01/12/2010 à 11h38

Bonjour,

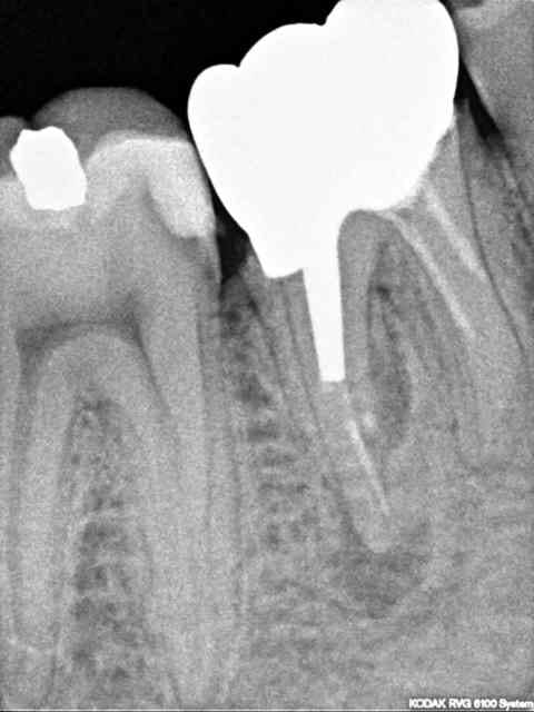
J'ai du mal à interpréter cette radio de 46 asymptomatique, RAS percussion et test de morsure.

Des avis ?

R3 w3naal - Eugenol

Smile beach jgh0a1 - Eugenol
Céramik

01/12/2010 à 15h59

TiGabi écrivait:
----------------
> Bonjour,
>
> J'ai du mal à interpréter cette radio de 46 asymptomatique, RAS percussion et
> test de morsure.
>
> Des avis ?

47 carie en mésial
;-)


46...plein de problème...

1-wait and see, mais ça va pas aller mieux...
2-tout refaire (pas pour moi, endo exclusif)
3-et oui, je vais le dire encore...exo et implant comme 3e choix...

Informe ton patient de la présence d'une lésion et laisse lui choisir, au pire il revient avec douleur dans 1 an, mais au moins il avait été avisé

--
Céramik


Avatar hjdsnm - Eugenol
TiGabi

01/12/2010 à 16h17

Céramik écrivait:
-----------------
> 1-wait and see, mais ça va pas aller mieux...
> 2-tout refaire (pas pour moi, endo exclusif)
> 3-et oui, je vais le dire encore...exo et implant comme 3e choix...
ans 1 an, mais au moins il avait été avisé

J'ai proposé ces 3 choix la 1ère fois que j'ai vu le patient. "Malheureusement" pour moi, il a choisi la seconde.

Donc dans une semaine : dépose couronne et tentative RTE. Mais je ne comprends pas l'image : on dirait qu'il y a deux images radioclaires distinctes associées à une image de résorption externe ou de fracture... Bon, je vais m'amuser.


Squash u44zd8 - Eugenol
steph

01/12/2010 à 20h22

Je pencherais pour une résorption, située dans la moitié de la racine distale, au niveau de l'apex du tenon, juste là où la racine est la plus concave.
Pour le retraitement ça semble compliqué ; la radio montre 2 racines en distal, il te faudra gérer la résorption (MTA) et retrouver la perméabilité canalaire pour éliminer l'infection.
S'il se confirme qi'il y a bien 2 racines, ou 2 canaux, j'en obturerais un entièrement au MTA (celui de la résorption) et l'autre à la gutta.


Smile beach jgh0a1 - Eugenol
Céramik

02/12/2010 à 05h42

TiGabi écrivait:
----------------
> >
> J'ai proposé ces 3 choix la 1ère fois que j'ai vu le patient. "Malheureusement"
> pour moi, il a choisi la seconde.
>
>

et puis, t'es pas obligé de le faire !


--
Céramik


flicflac

03/12/2010 à 07h04

très forte chance de fracture racine mésiale à l'apex du pivot....exo cousin


1...45