Cookie Consent byPrivacyPolicies.comdéterminer la topographie d'une dent incluse sur une pano? - Eugenol

déterminer la topographie d'une dent incluse sur une pano?

1 eugenol dmj5np - Eugenol
Dancha

24/05/2008 à 14h11

Tout à fait, alexlop. Et ton score était exceptionnel !
Suite et fin de la première série, voici le coupable :

Daniel

Test canine n 3 ndgkpw - Eugenol

Spriford

24/05/2008 à 14h31

Au mikado,j'aurais sorti la 14 en premier...


1 eugenol dmj5np - Eugenol
Dancha

24/05/2008 à 15h20

Excellente observation, Spriford. Tu es un bon !
La 14 n'était effectivement pas loin et j'ai dû reculer un peu son apex pour permettre à la 13 de descendre.

Daniel


1 eugenol dmj5np - Eugenol
Dancha

31/05/2008 à 12h05

Mmmm Ecrivait:
-------------------------------------------------------
> 10: vestibulaires... toutes !!!
> 11: couronne en mésio-vestibulaire et apex en
> disto-lingual..
> 12: linguale.
> 13: couronne en V et apex en L.

Tout le monde est d’accord ?

Daniel

Test canines suite et fin ndz0su - Eugenol

1 eugenol dmj5np - Eugenol
Dancha

07/06/2008 à 13h42

Mmmm Ecrivait:
-------------------------------------------------------
> 10: vestibulaires... toutes !!!
> 11: couronne en mésio-vestibulaire et apex en
> disto-lingual..
> 12: linguale.
> 13: couronne en V et apex en L.

Voici la n°10, il ne reste plus qu'une petite erreur... où se cache-t-elle ?

Daniel

Test canines 10 olvdlx - Eugenol

1 eugenol dmj5np - Eugenol
Dancha

17/06/2008 à 13h32

C'était la n°12 qui en réalité était vestibulaire.
Il semble d'ailleurs qu'à la mandibule, les canines incluses le soient toujours..

Les deux grands gagnants du quiz sont donc alexlop et Mmmm, en troisième cristal et un lot de consolation pour Spriford. Bravo à tous.

Daniel

Test canines fin t89kvx - Eugenol

alexlop

19/06/2008 à 02h49

il y a erreur sur la 12
la canine comme le montre très bien ta radio de profil
est en plein milieu de la symphyse et est plantée entre 2 apex d'incisive
elle n'est donc ni Vestibulaire ni lingual puisqu'elle est au milieu
mais comme il est impossible d'aller la chercher en lingual à ce niveau, elle est pour toi forcement vestibulaire

cela dit par rapport aux couronnes des incisives dans le sens antéro-posterieur la couronnes de la canine est bien plus lingual puisqu 'au niveau des apex

c'est pourquoi elle est tres élargie car en arriere du plan de coupe passant par les couronnes des incisives mandibulaires !

le raisonnement est le meme pour la N° 10

CQFD


1 eugenol dmj5np - Eugenol
Dancha

19/06/2008 à 22h32

alexlop Ecrivait:
-------------------------------------------------------
> il y a erreur sur la 12
> la canine comme le montre très bien ta radio de
> profil
> est en plein milieu de la symphyse et est plantée
> entre 2 apex d'incisive
> elle n'est donc ni Vestibulaire ni lingual
> puisqu'elle est au milieu
> mais comme il est impossible d'aller la chercher
> en lingual à ce niveau, elle est pour toi
> forcement vestibulaire
> ..

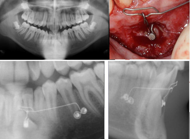
J’avais comme toi un doute avant d’aller la chercher et je me demandais si je n’allais pas avoir quelques difficultés à cause des incisives. En fait, j'ai dégagé relativement facilement sa couronne devant la 32. Elle est donc bien vestibulaire sans contestation possible.
Voici une photo per-op où on voit parfaitement sa situation. C’est la première photo faite, j’avais d’abord fixé une ligature, puis l’ai remplacée par un TMA pour pouvoir exercer un bras de levier vestibulaire.
Le téléprofil ici est trompeur, car on n’individualise pas bien les incisives.

Daniel

33 vestibulaire ifkqrk - Eugenol

alexlop

20/06/2008 à 10h39

non non !
je confirme que c'est une erreur
tu confonds ta voie d'acces avec la situation reelle de la couronne par rapport à la couronne des incisives mandibulaires
la tele n'est pas trompeuse du tout elle est on ne peut plus juste

dans le sens antero postérieur :
le point B est en arriere des couronnes des incisives
la couronnes de la canine est donc en arriere du point B puisque dans l'os et donc forcement en arriere

c'est un notion de plan de coupe verticale.
sur la photo la face Vestibulaire de la canine est belle et bien arriere des couronnes des incisives max et mand

quand on parle Vestibulaire ou lingual, il faut faire attention à la hauteur de la dent, parce qu'au maxillaire c'est le meme probleme
tres haut au niveau des apex des incisives, (les incisives etant versé vestibulairement), on est toujours en arriere des couronnes si on fait un coupe verticale

c'est pour cela que sur un pano dont le plan de coupe tomographique passe par les couronnes des incisives max et mand, tout ce qui n'est pas dans leur plan de coupe est soit en avant soit en arriere

si on mettai un plaque verticale touchant les incisives, la canine serait à 3 ou 4 mm derriere


je ferai un schéma


1 eugenol dmj5np - Eugenol
Dancha

20/06/2008 à 12h41

Tout est toujours une question de définition et de vocabulaire. D’abord acheter un dictionnaire.
De quoi parle-t-on et quel plan de référence prend-on ?

Sur ce cliché, les couronnes sont à autre niveau par rapport à la verticale et pourtant c’est toujours le même cas…

Quand je vais chercher une canine incluse pour la tracter, ce qui m’importe c’est l’endroit ou je vais la trouver en dégageant le moins possible. J’avais ouvert ici en vestibulaire et sa couronne n’était recouverte que d’une fine pellicule osseuse de l’épaisseur d’un papier à cigarette. On aurait pu discuter si j’avais dû fraiser profondément, mais ça n’a pas été le cas.

CQFD aussi. Bien confraternellement.

Daniel

33 32 s84gzw - Eugenol

alexlop

05/03/2009 à 01h13

ca faisait longtemps

je n'ai jamais eu le temps de repondre, mais voici

je persiste et signe que j'ai raison (et oui car j'ai toujours raison, c'est mon grand defaut)

lorsque l'on prend un panoramique le patient se tient debout
la verticale est donc la verticale du patient (a peu de chose pres), le bord des incisives dans la fourchette de de la pano

et non pas tete completement penché en arriere comme tu le simules en faisant une rotation de l'image

car le referentiel c'est la relation de position entre le tube panoramique et la position du patient dans la machine

ainsi le patient est debout et la zone de tomographie est la zone verte comme situé sur mon image (remise dans les conditions reelles de prise du cliché)

par consequent, MOI je dis que la couronne de la canine est situé en arriere de la couronne des incisives mandibulaires ( par rapport à la verticale comme defini precedement) ce que qui fait que la règle enoncé au debut reste juste

et que toi tu dis que la dent est Vestibulaire puisque situé en avant des racines (le contraire étant est assez rare, tu en conviendras)

la regle que j'ai enoncé (et non pas inventée) est complètement dépendante de la technique de prise de cliché orthopantomographique


Dancha écrivait:
----------------

> J’avais comme toi un doute avant d’aller la chercher et je me demandais si je
> n’allais pas avoir quelques difficultés à cause des incisives. En fait, j'ai
> dégagé relativement facilement sa couronne devant la 32. Elle est donc bien
> vestibulaire sans contestation possible.

tu ne savais donc pas ou etait la dent avant d'intervenir et tu es passer en Vestibulaire !
t'arrives t'il d'intervenir par la voie linguale et dans quelles proportions (%) ?

la photo montre que tu es certainement en avant de la racine de la 32, mais quant est-il de la 31

dire qu'une dent est vestibulaire ou lingual d'une facon générale par rapport à une arcade ou par rapport à une dent ou une autre est tres delicat,

j'aurai personnelement et vu l'epoque actuelle, demander un scan ou cone beam
et de toute facon, n'intervenant pas moi meme, j'aurai delegué l'acte à un confrere.
mais as-tu fais au moins une retroalveolaire ou 2 ?

ce qui fait que moins la dent est evoluée plus elle est apicale et plus on s'eloigne (hauteur et antero post) des couronnes de reférence deja en bouche des lors cette regle est tres dure à appliquer

CQFD

--
---------------
alexlop

Panotele fw6ym1 - Eugenol
Telepano lqoz37 - Eugenol

12