Cookie Consent byPrivacyPolicies.comRTE : la roulette russe - Eugenol

RTE : la roulette russe

Amibien

24/05/2008 à 13h45

Cher Stéphane tu soutiens ainsi que la corticale va se reconstituer au bout de cinq ans ?


Stéphane

24/05/2008 à 13h47

Amibien Wrote:
-------------------------------------------------------
> Cher Stéphane tu soutiens ainsi que la corticale
> va se reconstituer au bout de cinq ans ?

oui je le soutiens.

Quand tu fais une chirurgie, tu ne reconstitues que la medullaire ? par la corticale ?


Logo vuaztn - Eugenol
mac

24/05/2008 à 14h32

sbire Ecrivait:
-------------------------------------------------------
> ben j'en connais pas dans le sudouest, quelqu'un
> en connait?


s'il y en a pas, tu sais ce qu'il te reste à faire.


Audi tt 2007 jzsdts - Eugenol
sbire

24/05/2008 à 20h56

oui, bé non

merci pour l'idée


Bjorn

25/05/2008 à 02h20

sbire Ecrivait:
-------------------------------------------------------
> ben j'en connais pas dans le sudouest, quelqu'un
> en connait?


Bjorn Avait écrit:

>Il n'y a pas d'endo exclusif près de chez toi? Déménage ou deviens-le.;-)



Manolito wom2of - Eugenol
manolito

25/05/2008 à 13h53

y'en a mais seulement dans les villes universitaires.
mon attitude face à ce genre de probleme est de reprendre systematiquement le traitement, et bien sur comme vous je ne l'ameliore pas dans un grand nombre de cas. Je pense qu'il ne faut alors pas trop insister quand on a désobturé si on ne passe pas vite la butée c'est déja mal embarqué donc je referme et je met le patient au courant de la situation et je lui explique qu'il est trop risqué de faire la prothese et qu'il est plus sûr d'extraire sa dent et de poser un implant. A lui de voir mais en tout cas je crois qu'il ne faut pas se risquer à faire la couronne, c'est un manque à gagner pour tout de suite mais moins d'emmerdes pour plus tard.
Pour ce qui est de la reprise de traitement, ça fait dix ans que j'essaye de mieux faire mais je dois vous avouer que je n'ai passé la butée qu'une ou deux fois dans ma carriere malgré tout le temps que j'ai pu passer sur chacune. Il faut donc etre réaliste, sans microscope et autre materiel de pointe ça ne s'ameliorera pas beaucoup plus; J'ai donc choisi cette solution pour ne plus me ruiner en passant de heures sur ces retraitement, et surtout pour proposer au patient un traitement fiable.


Manolito wom2of - Eugenol
manolito

25/05/2008 à 13h58

je pense d'autre part qu'il est assez déraisonnable de ne pas coter l'endo si vous n'ameliorez pas l'image radio. si vous prenez une instrumentale vous pouvez quand même prouver que vous avez travaillé?


Stéphane

25/05/2008 à 14h02

manolito Wrote:
-------------------------------------------------------
> y'en a mais seulement dans les villes
> universitaires.

Pas seulement non.


Manolito wom2of - Eugenol
manolito

26/05/2008 à 00h15

je parlais du sud ouest, je ne crois pas qu'il y en ait ailleurs qu'a Bordeaux et Toulouse. Mais c'est vrai j'en suis pas sûr. En tout cas s'il y en a à moins de 200 Km de Pau et qu'ils nous lisent, je veux bien leur adresse.


Audi tt 2007 jzsdts - Eugenol
sbire

26/05/2008 à 00h36

sur bordeaux, j'en connaissais deux, ils sont devenus universitaires purs...


Blue eye thumb medium dx1i0w - Eugenol
bill

26/05/2008 à 00h54

manolito Ecrivait:
-------------------------------------------------------
> mon attitude face à ce genre de probleme est de
> reprendre systematiquement le traitement, et bien
> sur comme vous je ne l'ameliore pas dans un grand
> nombre de cas. Je pense qu'il ne faut alors pas
> trop insister quand on a désobturé si on ne passe
> pas vite la butée c'est déja mal embarqué



Faut acheter le bouquin de Stéphane et Willy, pleins de bons trucs, il est trop modeste pour le dire ! ;-)


peio

26/05/2008 à 16h27

une s'est barré a Rennes et l'autre prend plus de consult :)


marc

26/05/2008 à 18h38

Sur bordeaux, il y a toujours le doyen de la fac, qui travaille en secteur hospitalier 2 matinées par semaine (avec microscope). Il est ultra compétent mais n'a que 2 mains et ne peut pas accepter trop de patients , car ses obligations à la fac font qu'il est souvent absent.
Il y a une autre maître de conf qui travaille sur la rive droite. Elle n'est pas endo exclusive, car elle fait de l'omni pratique, mais elle accepte de temps en temps des patients adressés (elle travaille sous microscope)
Ensuite, il y a un praticien qui est quasi-exclusif et qui travaille à St Jean de LUZ.
A poitiers il y a également un endo exclusif;
C'est tout à ma connaissance.
Plus de détails en mp pour ceux qui le souhaitent.

En ce qui me concerne, j'ai accepté certains patients adréssés pendant à peu prés 1 an, mais j'ai tout stoppé car je trouve que soigner ce type de patients est trés difficile (cas souvent trés complexes), trés stressant(obligation de résultat vis à vis du patient et du correspondant) et batard en terme de rémunération quand on a pas droit au dépassement.
J'ai beaucoup d'admiration pour les endos exclusifs, car enchainer les traitements complexes les uns aprés les autres dans la même journée est pour moi exténuant.
Mais peut-être est ce un manque de maitrise et d'habitude.


Mordancage Fatal

26/05/2008 à 23h54


> Faut acheter le bouquin de Stéphane et Willy,
> pleins de bons trucs, il est trop modeste pour le
> dire ! ;-)


+1, c'est une vraie référence.


peio

27/05/2008 à 00h20

tien marc, comment ca va?
j'attend toujours le mailing pour la SFE..


panpan

27/05/2008 à 11h34

les références du livre de Stéphane et Willy, merci ?


200106 10150128247663588 709988587 6466236 5598391 n d7mksb - Eugenol
hallboy

27/05/2008 à 11h41

http://www.quintessence-international.fr/livrerubriques.php?RubriqueLivre=15&Categorie=Livres


vincent64

06/06/2008 à 16h28


Pour vous un praticien qui propose ces services en endo à ces collègues, doit présenter quel profil? quelles qualités?
La question semble stupide, mais en province, les seules endos qui seront adressées le seront pour des RTE a 98%, et par des confrères déjà conscient du problème et probablement pas manchots et qui dans presque tous les cas auront déjà tenté eux mêmes la RTE!!!
Donc vous comprenez mieux le sens de ma question...vous attendez un faiseur de miracle ou vous voulez vraiment adresser vos traitements endo?


Djebel Oul

06/06/2008 à 17h26

vincent64 Ecrivait:
probablement pas manchos et qui
> dans presques tous les cas auront dejà tanté heux
> memes la RTE!!!

J'espère que tu pratiques mieux la lime de Kerr que l'orthographe !


vincent64

06/06/2008 à 17h40

Moi aussi ...mais je dois admetre que ce n'est pas tres dur.
Veuillez m'escuser.


Image19 iebot6 - Eugenol
athos

30/06/2008 à 18h17

la roulette russe c'est savoir s'il y a une balle dans le chargeur? en gros comment poser l'indication du RTE?

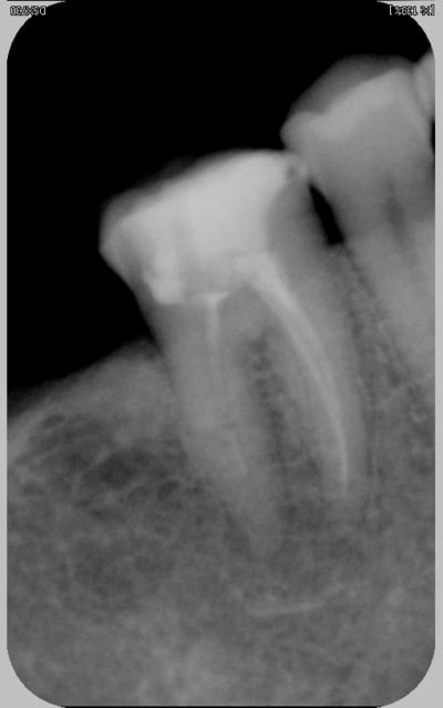
là la dame avait une belle tumefaction ggale et la dent douloureuse a la pression. je fais une radio (comment faire autrement?)

la tumefaction est bien en regard du canal distal qui ne parait pas tip top, pourtant je doute encore car je sais que son prat endodontise bien d'habitude. La dent est restaurée avec un compo collé (mais j'ai pas de photo là, dommage, il était chouette)

R5 ss8wug - Eugenol

Image19 iebot6 - Eugenol
athos

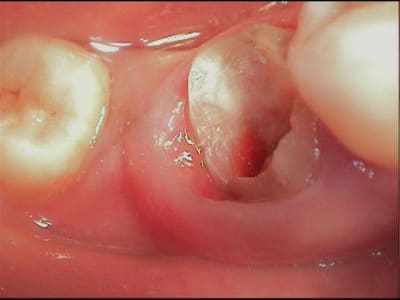
30/06/2008 à 18h21

en déposant délicatement le compo, je trouve donc ça (photos) et c'était plutôt bien fait, j'imagine que le prat a craint d'avoir trop de contraintes canalaires avec un ancrage différent, moralité les contraintes ce sont accumulées au tiers cervical et c'est là que ça a cassé.

1 iddzwp - Eugenol
2 cbfdg6 - Eugenol

Image19 iebot6 - Eugenol
athos

30/06/2008 à 18h24

l'image radio était trompeuse et le probleme n'était pas endo.


Image19 iebot6 - Eugenol
athos

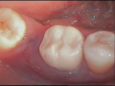
30/06/2008 à 18h35

donc, immédiatement assainissement et prov rapide, et remission des signes en 15j

3 h14agw - Eugenol
4 sajz74 - Eugenol

Img 1392 s73srk - Eugenol
Guttaman

30/06/2008 à 18h59

Oui, mais n'empêche qu'il faut quand même que tu reprennes le traitement endo. Il me semble largement faisable, même sans microscope.
Poste nous le cas fini ! ;-)