Cookie Consent byPrivacyPolicies.comPrix des couronnes provisoires - Eugenol

Prix des couronnes provisoires

Ylfwcw979cz1jnx9gfqeaxndiuzk - Eugenol
Algi

20/01/2016 à 09h50

Qui eut cru qu'un tel post aie un tel succès!

En vrac:

1/ Oui une dent, ou son antagoniste, peut egresser ou ses voisines se verser en quelques jours.
Pas toujours mais quand ça arrive c'est la merde.
Oui aussi la gencive sera maintenue en place par le provisoire, oui ce sera plus confortable pour le patient.

D'autre part la provisoire est bien pratique pour repousser un truc genre expasyl dans le sulcus et favoriser une jolie empreinte.
Et donc oui provisoire dans 100% des cas.

Un provi c'est pas que pour faire joli, y'a que la CNSD et la MGEN qui le croient.... et donc rien que pour démontrer que c'est des crétins ben moi je dis il en faut même au fond là où ça se voit pas....

Curieusement chicot semble être d'accord avec eux....
Tu me déçois ami breton.

2/ Ai essayé des tas de machins photo ou auto polymerisables..... ça casse, c'est pas facile à rebaser, c'est pas facile à polir ou à retoucher, les rebasages sont moches ou se decollent, ça coince lorsqu'on veut desceller, on risque de niquer le moignon bref ça me gonfle et donc malgré des essais réguliers de changement je reviens toujours à la bonne vieille unifast qui pue et me nique les neurones.

3/ moules provident, anterieures et posterieures, fabriqués en France, souples et donc faciles à mettre en oclusion, transparents et donc facile de verifier à travers si ça marche, utilisable au cas où avec matos photopolymerisable même si cf + haut.
Faut juste retoucher les points de contacts pour compenser l'épaisseur du plastoc.

y font même des moules pour bridges mais j'ai pas été convaincu.


http://www.provident.fr/


--
L’extrémisme est le culte sans la culture ;
le fondamentalisme est la croyance sans la connaissance ;
l’intégrisme est la religiosité sans la spiritualité.

On a toujours le choix mais entre quoi et quoi?
Vas-y boulégue et l'avenir te le dira!


Capture d  cran 2015 03 12 12.28 - Eugenol
chicot29

20/01/2016 à 10h17

Algi écrivait:
--------------

> Curieusement chicot semble être d'accord avec eux....
> Tu me déçois ami breton.
>

j'utilise du clip flow. Ca maintient l'espace et la gencive, pas l'occlusion on est d'accord mais ca ne gène pas. C'est propre non ?

Capture d e cran 2016 01 18 12.49 - Eugenol

Vw campersurfvan bmnk1q - Eugenol
enlaye

20/01/2016 à 10h27

Mais oui qu' il est mimi , ton clipounet .
Il est énervé de bon matin le algi , c est tout:-):-):-):-)


Ylfwcw979cz1jnx9gfqeaxndiuzk - Eugenol
Algi

20/01/2016 à 10h34

Ton truc c'est breton? Ca vient de la mer? Péché au large du Finistère?

Pour l'origine j'hesite entre à base de méduse ou de poulpe....

Moi ça me plait pas même si ça à l'air pratique (c'est toi qui le dit).

ps j'ai essayé un truc similaire, c'est le "clip" de voco.... ça tient environ 2 heures et ça finit avalé avec un bout de brioche...

seul intéret à mon sens: bouchon provisoire sur les puits de coiffes transvissées.

En même temps je suis accro aux émanations de solvant, ça me détend.

--
L’extrémisme est le culte sans la culture ;
le fondamentalisme est la croyance sans la connaissance ;
l’intégrisme est la religiosité sans la spiritualité.

On a toujours le choix mais entre quoi et quoi?
Vas-y boulégue et l'avenir te le dira!

Index xmmtj1 - Eugenol

Vw campersurfvan bmnk1q - Eugenol
enlaye

20/01/2016 à 10h38

Algi tu parles trop bien des prov ,je vais te prendre comme commercial des prov ,j'te refile 10% ,sachant que je fais le 1ère génération á 110 et le 2ème génération á 150 ,tu vas te gaver ,mon salop :-):-):-):-):-):-)
Mon poto aussi :-)


Capture d  cran 2015 03 12 12.28 - Eugenol
chicot29

20/01/2016 à 10h41

Algi écrivait:
--------------

> ps j'ai essayé un truc similaire, c'est le "clip" de voco.... ça tient environ 2
> heures et ça finit avalé avec un bout de brioche...
>
> seul intéret à mon sens: bouchon provisoire sur les puits de coiffes
> transvissées.
>
> En même temps je suis accro aux émanations de solvant, ça me détend.
>

C'est le clip flow de voco. Faut faire des IC coiffes algi, ca tient super bien -)))

Ici en core + ic provisoire labo sur RTE ( on sort d'une pèche maous costaud) la définitive dans 6 mois.
Franchement aucun sens pratique ces profs. -))))

Capture d e cran 2016 01 20 09.36 - Eugenol
Capture d e cran 2016 01 20 09.37 - Eugenol

Ylfwcw979cz1jnx9gfqeaxndiuzk - Eugenol
Algi

20/01/2016 à 10h46

Je viens de vérifier et c'est bien le clip de voco dont tu parles.... ben chez moi ça tient pas.... peut être lié à la température ou au taux d'humidité? faut s'installer plus au nord??? ou alors (et c'est pas à exclure) je suis qu'une buse.....

Bisous.

ps: parmi mes essais de resine à provisoire j'ai tenté celle de sintodent, donnée comme moins poreuse et donc moins sujette aux infiltration bacteriennes.... plus longue à prendre, pas meilleur gout et en plus laisse des granulosités de surface visibles après polissage...

--
L’extrémisme est le culte sans la culture ;
le fondamentalisme est la croyance sans la connaissance ;
l’intégrisme est la religiosité sans la spiritualité.

On a toujours le choix mais entre quoi et quoi?
Vas-y boulégue et l'avenir te le dira!


Ylfwcw979cz1jnx9gfqeaxndiuzk - Eugenol
Algi

20/01/2016 à 10h53

Rhhoooo chicot.... encore à essayer de fourguer tes fichus inlay core.... j'en fais quasiment jamais.... ceci explique sans doute cela.

ps: les plus récents ic coiffe systématiques que j'ai vu c'est ceux que King a fourgué à ses malheureux clients qui errent sur marseille en quête de qui voudra bien rattrapper les bouses.... tout se barre et comme les dents sont niquées ben ça va pas être facile de rattrapper le coup.... enfin si, avec des implants.

Sauf que il faut d'abord qu'ils finissenbt de payer leur credit et que du coup si provisoire y'a ce sera pas du court terme...

Le gradient thérapeutique vs la solvabilisation...

Nonobstant je dois reconnaitre que t'es un maître en la matière et que tes endos ont rien à voir avec celles que je vois par chez moi....

--
L’extrémisme est le culte sans la culture ;
le fondamentalisme est la croyance sans la connaissance ;
l’intégrisme est la religiosité sans la spiritualité.

On a toujours le choix mais entre quoi et quoi?
Vas-y boulégue et l'avenir te le dira!


Capture d  cran 2015 03 12 12.28 - Eugenol
chicot29

20/01/2016 à 11h03

Algi écrivait:
--------------

> Nonobstant je dois reconnaitre que t'es un maître en la matière et que tes endos
> ont rien à voir avec celles que je vois par chez moi....

Quand tu fais du travail de merde du début à la fin, il y a plus de problèmes forcément.
On peut avoir les memes soucis avec les onlays ceram ( et vas y que je te colle ca avec un auto mordançant sans digue par exemple) tiens comme les scellements de sillons qui se barrent. -))))


Capture d  cran 2015 03 12 12.28 - Eugenol
chicot29

20/01/2016 à 11h11

Moi aussi je fais des actes pas indiqués pour me débarrasser plus vite du patient.
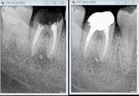
Celui ci ne m'écoute pas, ca fait des lustres que je lui dit qu'il va avoir un souci sur sa 35. La 34 à pété, aucune sensibilité à la fraise donc vraisemblablement nécrosée, ben au lieu de lui faire l'endo je lu ai fait un compo vite fait.
Pas mal l'endo sur la 45 hein ? encore un king de l'endo ! -))))

Capture d e cran 2016 01 20 10.06 - Eugenol

uɹöɾq

20/01/2016 à 11h40

Algi écrivait:
--------------


> 2/ Ai essayé des tas de machins photo ou auto polymerisables.....

> ça casse,

Faux.

> c'est pas facile à rebaser

On s' en fout, si tu dois rebaser tu refais, c'est aussi rapide.

, c'est pas facile à polir

On s' en fout, ça reste en place une semaine.

> ou à retoucher

Faux.
Mais de toutes façons, quasi aucune retouche à faire si tu fais un auto moulage avec putty et light.

, les
> rebasages sont moches ou se decollent

On s' en fout (cf plus haut).

>, ça coince lorsqu'on veut desceller

Pas plus que la résine du Moyen Âge, faut juste savoir s' en servir.

, on
> risque de niquer le moignon

Pas plus que la résine que le dentiste des Beatles utilisait pour John.

>ça me gonfle

Seul argument pertinent de ta liste! :-)))

et donc malgré des essais>
> réguliers de changement je reviens toujours à la bonne vieille unifast qui pue
> et me nique les neurones.

C'est pas le seul inconvénient par rapport à la résine actuelle, il y a aussi une énorme exothermie (présente a minima sur la résine en pistolet), une ergonomie de merde, et des variations dimensionnelles à la prise.


uɹöɾq

20/01/2016 à 11h51

Algi écrivait:
-------------
> Le gradient thérapeutique vs la solvabilisation...


Cas clinique: 30 ans, boulanger salarié à 1300€ par mois, mutuelle à 300% sur la prothèse, 16 17 26 27 46 47 36, nécessitant des couronnes avec un sc33 possible médicalement, 15 25 37 ont des délabrements énormes mais permettant médicalement la réalisation d'onlays.

Merci de me donner ton devis type "gradient thérapeutique", ensuite on discute. ;-)


Vw campersurfvan bmnk1q - Eugenol
enlaye

20/01/2016 à 11h55

uɹöɾq écrivait:
---------------
" On s' en fout, si tu dois rebaser tu refais, c'est aussi rapide. "

oui , voir meme plus rapide et surtout plus propre .




Salamandre

20/01/2016 à 12h03

Je ne sais pas comment vous faites, mais je suis souvent obligé d'avoir recours à des block technique car la dent concernée est trop bousillée pour faire un auto moulage. Et comme je ne supporte pas d'avoir une limite cervicale pas parfaitement ajustée, je fais souvent un rebasage cervicale avec de la résine fluide (unifast puisque le reste ca se rebase pas/mal).
Vous faites comment quand le gus se pointe en urgence avec sa 21 pétée qui a besoin d'un provisoire en urgence? Avec la résine auto je vois pas trop.
Suis curieux de voir la 21 avec du clip voco: tite photo chicot?


Vw campersurfvan bmnk1q - Eugenol
enlaye

20/01/2016 à 12h27

Une 21 Petee , n est pas une urgence si ?
Un compo rapide et rdv non ?
Sinon je ne vois pas le PB avec le fait que la résine soit auto ou pas dans ton histoire .


Jack 2 wm3tqs - Eugenol
trepo

20/01/2016 à 12h33

Dans ton cas Salamandre, je fais un ion ... avec tab 2000 oO
En plus vu les délais, ca vieillira mieux, avis perso.


Vw campersurfvan bmnk1q - Eugenol
enlaye

20/01/2016 à 12h35

Salamandre écrivait:
--------------------
> Je ne sais pas comment vous faites, mais je suis souvent oblig. d'avoir recours
> à des block technique car la dent concernée est trop bousillée pour faire un
> auto moulage.

Ben ca c est facile , il te suffit de lire le post a partir de la page 1 . il y en a plein qui ont raconte , .....


Capture d  cran 2015 03 12 12.28 - Eugenol
chicot29

20/01/2016 à 12h39

uɹöɾq écrivait:
---------------
> Algi écrivait:
> --------------
>
>
> > 2/ Ai essayé des tas de machins photo ou auto polymerisables.....
>
> > ça casse,
>
> Faux.
>
> > c'est pas facile à rebaser
>
> On s' en fout, si tu dois rebaser tu refais, c'est aussi rapide.
>
Ou un coup de bonding et de lampe puis tu rebases.


Capture d  cran 2015 03 12 12.28 - Eugenol
chicot29

20/01/2016 à 12h44

Salamandre écrivait:
--------------------
> Je ne sais pas comment vous faites, mais je suis souvent obligé d'avoir recours
> à des block technique car la dent concernée est trop bousillée pour faire un
> auto moulage. Et comme je ne supporte pas d'avoir une limite cervicale pas
> parfaitement ajustée, je fais souvent un rebasage cervicale avec de la résine
> fluide (unifast puisque le reste ca se rebase pas/mal).
> Vous faites comment quand le gus se pointe en urgence avec sa 21 pétée qui a
> besoin d'un provisoire en urgence? Avec la résine auto je vois pas trop.
> Suis curieux de voir la 21 avec du clip voco: tite photo chicot?

En automoulage tu évides et tu façonnes la dent à la fraise ou tu montes direct en bouche et tu façonnes à la fraise. Franchement une antérieure c'est pas sorcier, vous ne faites plus de sculpture à la fac ?


Ylfwcw979cz1jnx9gfqeaxndiuzk - Eugenol
Algi

20/01/2016 à 13h55

Ujörg.... toujours aussi aimable, ça reste constant et par ces temps troublés ça rassure.

Chicot: je pensais à toi, suis juste en train de preparer un chili concarneau pour ce soir...

Je sors

--
L’extrémisme est le culte sans la culture ;
le fondamentalisme est la croyance sans la connaissance ;
l’intégrisme est la religiosité sans la spiritualité.

On a toujours le choix mais entre quoi et quoi?
Vas-y boulégue et l'avenir te le dira!


Capture d  cran 2015 03 12 12.28 - Eugenol
chicot29

20/01/2016 à 14h04

Bjorn est réaliste, dans un pays ou on fait avaler des couleuvres pour éviter de regarder la réalité en face, c'est pas aimable. -)))))

Et ca j'adore : -)))

uɹöɾq écrivait:
---------------
> Algi écrivait:
> -------------
> > Le gradient thérapeutique vs la solvabilisation...
>
>
> Cas clinique: 30 ans, boulanger salarié à 1300€ par mois, mutuelle à 300% sur
> la prothèse, 16 17 26 27 46 47 36, nécessitant des couronnes avec un sc33
> possible médicalement, 15 25 37 ont des délabrements énormes mais permettant
> médicalement la réalisation d'onlays.
>
> Merci de me donner ton devis type "gradient thérapeutique", ensuite on discute.
> ;-)

Ta réponse algi ? -)
Bjorn anamnèse incomplète, tu as oublié de dire que le boulanger est blindé de crédits révolving. -))))
Moi la mienne est simple : 10 inlay core ceram à 300 %. 0 à charge mieux vaut ca que rien du tout. -)


uɹöɾq

20/01/2016 à 14h17

Algi:

Cas clinique: 30 ans, boulanger salarié à 1300€ par mois, mutuelle à 300% sur la prothèse, 16 17 26 27 46 47 36, nécessitant des couronnes avec un sc33 possible médicalement, 15 25 37 ont des délabrements énormes mais permettant médicalement la réalisation d'onlays.

Merci de me donner ton devis type "gradient thérapeutique", ensuite on discute. ;-)


Ylfwcw979cz1jnx9gfqeaxndiuzk - Eugenol
Algi

20/01/2016 à 14h45

Sorry j'étais dans la découpe des échalotes....

Donc mon bon Björn j'ai pu pensé à toi...

Évidemment que si y'a plus rien faudra envisager un truc genre IC coiffe mais la tendance actuelle, low cost, crise, solvabilité et toussa toussa me laisse à penser que certains sautent quelques étapes.

Au cas où t'aurais oublié je suis aussi dentiste à mes heures perdues et vu que je bosse et que j'ai du monde mais que je suis loin des 90K/an c'est peut être que je suis pas dans l'air du temps concernant la solvabilisation.

Bises quand même et bonané.
.

--
L’extrémisme est le culte sans la culture ;
le fondamentalisme est la croyance sans la connaissance ;
l’intégrisme est la religiosité sans la spiritualité.

On a toujours le choix mais entre quoi et quoi?
Vas-y boulégue et l'avenir te le dira!


Vw campersurfvan bmnk1q - Eugenol
enlaye

20/01/2016 à 14h47

hummm ça sent la baston


Nouveau image bitmap fz77zh - Eugenol
Sethef

20/01/2016 à 14h48

C'est pas à moi qu'on pose la question, mais chez moi ce serait probablement 10 couronnes métal avec éventuelle RCR composite/tenon fibré.
Mais ptet bien qu'il arrivera à mettre 3 sous de côté pour faire les 5 en ceram?


1...567...