Cookie Consent byPrivacyPolicies.comPrix des couronnes provisoires - Eugenol

Prix des couronnes provisoires

Vw campersurfvan bmnk1q - Eugenol
enlaye

20/01/2016 à 14h52

ah ben tient , parlons en des couronnes metal :-))))))
vous dites que les dents bougent ,
donc pour les couronnes metal vous faites aussi des prov ???
non? oui ?


6szjws718sv1jksw54v4mpj3a6cu - Eugenol
vulpi

20/01/2016 à 15h00

Oui, toujours.
Auto-moulage/ emp putty low-coast (gacd) fast set+kwick tray/dentocrow/ 2min30 pour faire une prov en occlusion+ pt ctc.
J'indexe le kwick tray au cas où. Rapide et pas cher.

Cela fait passer un partie de ma prestation en NR, je pense à mon taux urssaf. Avant je faisais toutes mes PAP prov et modif provisoires de PAP en HN, maintenant y a un code et un remboursement, une cata à 600€ la pièce.


Jack 2 wm3tqs - Eugenol
trepo

20/01/2016 à 15h03

enlaye écrivait:
----------------
> ah ben tient , parlons en des couronnes metal :-))))))
> vous dites que les dents bougent ,
> donc pour les couronnes metal vous faites aussi des prov ???
> non? oui ?

Oui sauf rares cas, mais je suis trop con ...
En plus comme je l'ai dis ça m'occupe les mains pendant l'empreinte.


6szjws718sv1jksw54v4mpj3a6cu - Eugenol
vulpi

20/01/2016 à 15h05

trepo écrivait:
---------------
> enlaye écrivait:
> ----------------
> > ah ben tient , parlons en des couronnes metal :-))))))
> > vous dites que les dents bougent ,
> > donc pour les couronnes metal vous faites aussi des prov ???
> > non? oui ?
>
> Oui sauf rares cas, mais je suis trop con ...
> En plus comme je l'ai dis ça m'occupe les mains pendant l'empreinte.

Et avoir les mains occupés c'est important!
Ah empreinte en mordu?


Vw campersurfvan bmnk1q - Eugenol
enlaye

20/01/2016 à 15h10

trepo écrivait:
---------------
" Oui sauf rares cas, mais je suis trop con ..."

hahaha oui ,et c est pas sympa pour ton patient , pendant une semaine il est blanc , et des qu'il paye il est ferré :-))))
la prochaine fois il se sauvera avec le prov :-)


Jack 2 wm3tqs - Eugenol
trepo

20/01/2016 à 15h18

vulpi écrivait:
---------------
> trepo écrivait:
> ---------------
> > enlaye écrivait:
> > ----------------
> > > ah ben tient , parlons en des couronnes metal :-))))))
> > > vous dites que les dents bougent ,
> > > donc pour les couronnes metal vous faites aussi des prov ???
> > > non? oui ?
> >
> > Oui sauf rares cas, mais je suis trop con ...
> > En plus comme je l'ai dis ça m'occupe les mains pendant l'empreinte.
>
> Et avoir les mains occupés c'est important!
> Ah empreinte en mordu?

Oui pour unitaire ... je sais c'est mal :)


Jack 2 wm3tqs - Eugenol
trepo

20/01/2016 à 15h20

enlaye écrivait:
----------------
> trepo écrivait:
> ---------------
> " Oui sauf rares cas, mais je suis trop con ..."
>
> hahaha oui ,et c est pas sympa pour ton patient , pendant une semaine il est
> blanc , et des qu'il paye il est ferré :-))))
> la prochaine fois il se sauvera avec le prov :-)

Il le sait au départ. En plus il s'en fout c'est au fond ;) si il veut du metal. En plus, la provisoire c'est plus pour moi et mes convictions sauf en antérieure.
Après si il se barre avec la pro (c'est déjà arrivé ) et bin tant pis pour lui ... je le revois dans 6 mois un an pour l' exo et l'implant.


6szjws718sv1jksw54v4mpj3a6cu - Eugenol
vulpi

20/01/2016 à 15h23

trepo écrivait:
---------------
> vulpi écrivait:
> ---------------

> > Ah empreinte en mordu?
>
> Oui pour unitaire ... je sais c'est mal :)

Goûter au fruit défendu... pas si mal. Cela marche très bien, sauf à la Fac.


Capture d  cran 2015 03 12 12.28 - Eugenol
chicot29

20/01/2016 à 15h36

trepo écrivait:
---------------
>
> Après si il se barre avec la pro (c'est déjà arrivé ) et bin tant pis pour lui
> ... je le revois dans 6 mois un an pour l' exo et l'implant.

Exo tout court et partiel résine "si ca se voit" et là tu te gaves. -)


Jack 2 wm3tqs - Eugenol
trepo

20/01/2016 à 15h40

Effectivement c'est plus souvent exo (gros gavage) et "rien pour l'instant ça ne se voit pas docteur" :(


Capture d  cran 2015 03 12 12.28 - Eugenol
chicot29

20/01/2016 à 15h47

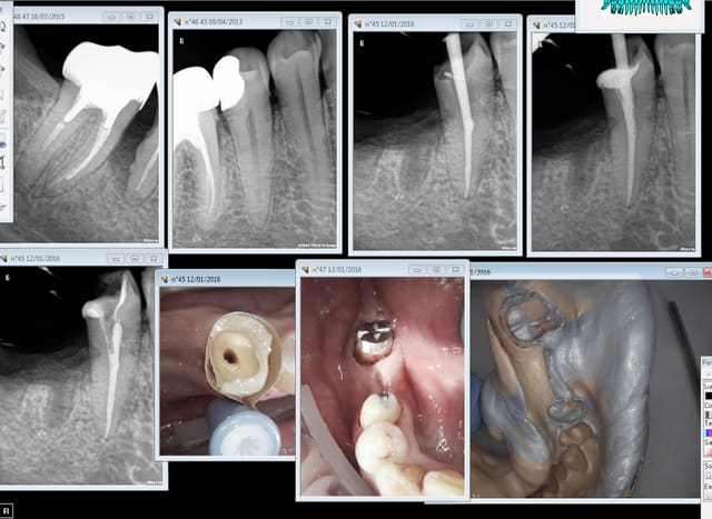
C'est pas fini vos conneries ? J'ai voulu poser un bridge aujourd'hui de 45 à 47 et la 17 est descendue de 2 mm en une semaine ( pas la 16 va comprendre) du coup endo de 17 et lifting occlusal. -))))
L'exception qui confirme la regle. -)
En plus hard à anesthésier meme au QS re exception qui confirme la regle. -)))

40 mn après, Tout est rentré dans l'ordre promis je ferais une provisoire sur 17 -)

Capture d e cran 2016 01 20 14.42 - Eugenol
Capture d e cran 2016 01 20 14.41 - Eugenol

6szjws718sv1jksw54v4mpj3a6cu - Eugenol
vulpi

20/01/2016 à 16h00

Sur la prémo c'est un coup de foret ou une petite résorption interne?


Ylfwcw979cz1jnx9gfqeaxndiuzk - Eugenol
Algi

20/01/2016 à 16h05

Björn, ton pâtissier, dents vivantes ou pas? Si endo alors pourquoi pas IC sinon c'est coiffe sur dent vivante.

--
L’extrémisme est le culte sans la culture ;
le fondamentalisme est la croyance sans la connaissance ;
l’intégrisme est la religiosité sans la spiritualité.

On a toujours le choix mais entre quoi et quoi?
Vas-y boulégue et l'avenir te le dira!


Capture d  cran 2015 03 12 12.28 - Eugenol
chicot29

20/01/2016 à 16h09

Algi écrivait:
--------------
> Björn, ton pâtissier, dents vivantes ou pas? Si endo alors pourquoi pas IC sinon
> c'est coiffe sur dent vivante.

C'est rien du tout à 300 % si pas d'ic trop de reste çà charge. -)
Ceci dit je note une légère amélioration de ta compréhension de la problématique du patissier. (Si endo alors pourquoi pas IC ) -)

Tu comprends vite mais il faut t'expliquer longtemps. -)


Vw campersurfvan bmnk1q - Eugenol
enlaye

20/01/2016 à 16h31

chicot29 écrivait:
------------------
promis je ferais une provisoire sur 17 -)

excellent :-))))


Capture d  cran 2015 03 12 12.28 - Eugenol
chicot29

20/01/2016 à 16h34

Ca m'énerve des bridges j'en fait très peu, je supporte pas étonnant de ma part, non ? -)))
En plus j'aurais du faire un RTE sur 37, mais ca commence à me gaver les RTE j'arrete pas. Et puis il faut bien que j'en laisse à mon successeur un de ces 4. -)))


Capture d  cran 2015 03 12 12.28 - Eugenol
chicot29

20/01/2016 à 16h40

Ce patient était demandeur ( un peu moins maintenant lol !) pour bénéficier des avancées de la CCAM pour un bridge 35 37, je fais quoi ? je lui en fait profiter ? -))))

Merde encore un RTE. -)))

Capture d e cran 2016 01 20 15.37 - Eugenol

Capture d  cran 2015 03 12 12.28 - Eugenol
chicot29

20/01/2016 à 16h44

J'oubliais c'est gratuit de défoncer les dents : patient CMU. -)


Spix4ever

20/01/2016 à 16h47

chicot29 écrivait:
------------------
> C'est pas fini vos conneries ? J'ai voulu poser un bridge aujourd'hui de 45 à 47
> et la 17 est descendue de 2 mm en une semaine ( pas la 16 va comprendre) du coup
> endo de 17 et lifting occlusal. -))))
> L'exception qui confirme la regle. -)
> En plus hard à anesthésier meme au QS re exception qui confirme la regle. -)))
>
> 40 mn après, Tout est rentré dans l'ordre promis je ferais une provisoire sur
> 17 -)
>


Pourquoi la bio sur la 45 ! La pauvre.

Et la 17 aussi :P

(je pense connaitre la réponse : pour mettre un inlay core ? :D)


Capture d  cran 2015 03 12 12.28 - Eugenol
chicot29

20/01/2016 à 17h00

Spix4ever écrivait:
-------------------

> Pourquoi la bio sur la 45 ! La pauvre.

La bio c'est avant ou après le bridge. Je préfère la faire avant. -)))


> Et la 17 aussi :P

> (je pense connaitre la réponse : pour mettre un inlay core ? :D)

A 122,55 ( CMU) ca va pas non ? Il faut penser à son ratio SPR57/ SC33 on ne va pas gâcher un ic pour si peu. -)))
Pour la 17 l'ortho c'est pas remboursé après 16 ans , l'endo si. -)))


Spix4ever

20/01/2016 à 17h15

la 45 y avait la marge pour la tailler vivante non ? :D

Apèrs la 17 difficile de dire si une coronoplastie ou un onlay n'aurait pas suffit :P mais ça c'est Hors nomencalture dans notre beau système :D


Capture d  cran 2015 03 12 12.28 - Eugenol
chicot29

20/01/2016 à 17h50

Il y avait surtout de la marge pour faire un implant au niveau de 46. Après quand il n'y a plus de marge, il n'y a plus de limites.-))))
Avec une ( bonne) endo pas d'emmerdes à court terme genre sensibilité chaud- froid..... tu penses bien que c'est pas pour ce que va me rapporter l'endo et le SC 33 sur 45 que j'ai choisi cette option. -)
Ce qui me fait rire c'est que ce sont les patients les moins "solvabilisés" par le système qui ont le plus de chances d'avoir une dentisterie plus en adéquation avec les données acquises de la science. -)
Genre le bridge n'est pas remboursé l'implant non plus je choisis l'implant. Idem pour les onlays VS couronnes. -)
Pour la 17 c'est une première pour moi une égression pareille jamais vu. -)))



Orezza gazeuse verre litre ocoxey - Eugenol
casa

20/01/2016 à 18h02

Quel cynisme chicot ! c'est démoralisant de te lire ! pourvu qu'un jour les extrac ne passent pas à 150 € et remboursées à 300 % ! ça n'arrivera jamais certes ! et j'en suis rassurée , remarque il n'y aura plus qu'à s'installer à 2 pas de chez toi et par ici les complets ! mais cette discussion est intéressante et c'est marrant de voir les "angoisses" de chacun . Pour ma part , pas souvent de provisoire ... empreinte mordu si unitaire .. et puis si ça bouge dans un sens .. ça bouge aussi dans l'autre et une petite surocclusion va rentrer dans l'ordre au bout de quelques jours ....y 'a pas de raison .. mais chuuuut , ça ne se dit pas des trucs pareils , t'es dinguo !


RépondreCiter
Capture d  cran 2015 03 12 12.28 - Eugenol
chicot29

20/01/2016 à 18h07

casa écrivait:
--------------
> Quel cynisme chicot ! c'est démoralisant de te lire !

Cynisme ? Mais casa c'est le système de soins que les français ont choisi, ils paient des fortunes la sécu et leurs mutuelles pour ca.

J'ai une bonne mutuelle elle est à 400 % de la base SS. Chouette vous allez avoir le top du top ! ! -))))


Capture d  cran 2015 03 12 12.28 - Eugenol
chicot29

20/01/2016 à 18h12

casa écrivait:
--------------
remarque il n'y aura plus qu'à s'installer à 2
> pas de chez toi et par ici les complets !

J'en fais très peu, ca m'étonnerait que tu en fasses aussi. Peut etre après quelques années ? -))))


1...678...