Cookie Consent byPrivacyPolicies.comIncisives mandibulaires et implants - Eugenol

Incisives mandibulaires et implants

Blason dql7mj - Eugenol
growler

23/04/2009 à 09h24

sur la photo, mon patient propulse et je ne m'en suis rendu compte qu'après. En réalité ses rapports incisifs sont standards.

@+


Scan10030 ukikhq - Eugenol
vava

23/04/2009 à 09h45

merci cela m'étonnais
elle était si contente du résultat qu'elle t'a fait un sourire à la chita


P1010130 jpci1f - Eugenol
MarcB6

23/04/2009 à 12h56

Moné écrivait:
--------------
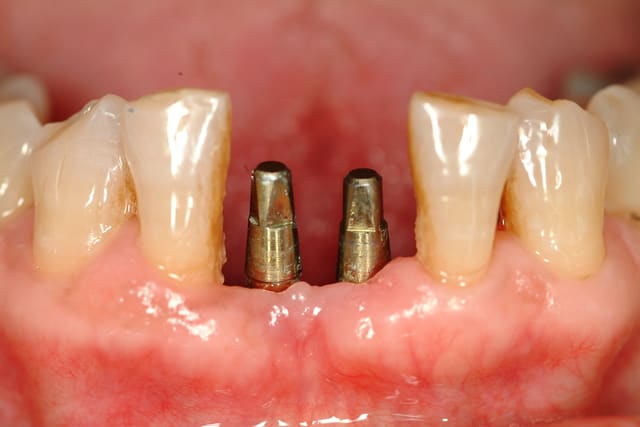
> Cas clinique:
> Edentements de 31 et 41
> Largeur mésio distale : 1.1 cm
> Volume osseux résiduel satisfaisant.
> Occlusion favorable.
>
> Quel type de traitement implantaire préconisez vous?
> - 2 implants très fins?
> - 1 implant central et 2 couronnes
> - 1 implant en 31 (ou 41) et une extension?
> - autre chose?
>
Bonjour,

A ta place je poserai deux implants Monobloc.
Même les implants de 3.3 mm en deux pièces sont plus volumineux que ces implants Monobloc.
Avantage: ils font 2.9 mm de diam au col et te permettent de garder suffisament d'espace entre les implants et les denst adjacentes.
Inconvénient: comme ils sont Monobloc, le placement doit être idéal, peu de retouches possibles et faire de la mise en temporisation immédiate.
Bon courage
MarcB6


Dscf1083 sw845m - Eugenol
Dscf1082 ss3bau - Eugenol

Blason dql7mj - Eugenol
growler

23/04/2009 à 14h10

c'est une très bonne solution, d'autant qu'étant monoblocs, il n'existe pas de microgap entre le moignon et l'implant. Ainsi, comme le souligne marcB6, les distances inter-implants et implants-dents peuvent être minimisée: utilisables même en cas d'un espace de 8.7 mm

@+


dov

23/04/2009 à 14h30

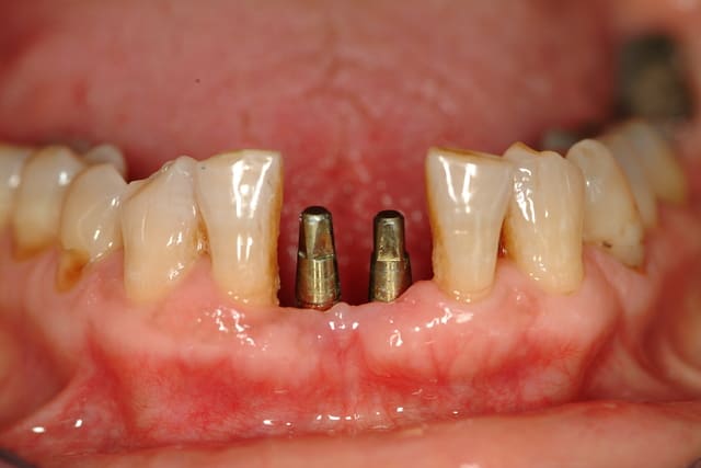
Salut MarcB6
Ce sont des ARPP de Alpha Bio?Si oui l'imlant est visse jusqu'a quelle profondeur par rapport a la crete osseuse? Peut on retoucher la partie occlusale autant que l'on a besoin?Evidence tu as mis en charge immdiate.


Logo vuaztn - Eugenol
mac

23/04/2009 à 16h37

sinon chez astra y a des 3 mm.


P1010130 jpci1f - Eugenol
MarcB6

23/04/2009 à 18h36

dov écrivait:
-------------
> Salut MarcB6
> Ce sont des ARPP de Alpha Bio?Si oui l'imlant est visse jusqu'a quelle
> profondeur par rapport a la crete osseuse? Peut on retoucher la partie occlusale
> autant que l'on a besoin?Evidence tu as mis en charge immdiate.

Salut Dov,

Bravo, tu as raison, ceux sont des ARRP de chez Alpha bio.

tu doit enfouir la partie sablée de l'implant, elle est grise, le col doré est transmuqueux.

tu peux aussi l'enfouir mais dans ce cas, tu induis une cratérisation et un déplacement apical de ta crête osseuse.

Tu peux effectivement retoucher la partie occlusale, dans une certaine limite, car le moignon est déjà assez fin.

Evdemment, dans ce cas, extraction-implantation et mise en temporisation immédiate.

MarcB6


3f3boxni50k58rq7e9ce9ddqrxgk - Eugenol
dentiste57

24/04/2009 à 00h49

vava écrivait:
--------------
> growler,dentiste57
> pourquoi ne pas avoir rentré les incisives ?

je crois que c'est parce que sinon c'était pas beau...


3f3boxni50k58rq7e9ce9ddqrxgk - Eugenol
dentiste57

24/04/2009 à 01h01

bon!

je savais bien que je devais avoir des photos d'incisives mandibulaires

en voici une...

femme 54 ans, adressée par mon ancien collaborateur. elle a entendue parler d'implants et ne veut pas de bridge. on la comprend.
séquence émotion! l'un de mes premiers cas d'implants sur du Zimmer.
je ne me souviens plus de la dimension.

1 wjgygv - Eugenol
4 bitdpb - Eugenol
2 mrresp - Eugenol
5 zqabgz - Eugenol
6 fzpay5 - Eugenol
11 fgohoy - Eugenol
8 tepxtw - Eugenol
12 sfw9nq - Eugenol
13 utt3rl - Eugenol
Pict0275 fb7gmu - Eugenol
Pict0282 i1v9rd - Eugenol

3f3boxni50k58rq7e9ce9ddqrxgk - Eugenol
dentiste57

24/04/2009 à 01h06

suite et fin.

20 lauzvj - Eugenol
19 zsbxqf - Eugenol
21 crp3iv - Eugenol

3f3boxni50k58rq7e9ce9ddqrxgk - Eugenol
dentiste57

24/04/2009 à 16h18

merci aux modo d'avoir remis les photos dans le bon ordre.


G.Rom

25/04/2009 à 22h32

Bonjour à tous.
Pour remplacer 31 et 41:
Un Implant central de 3,75 ou 4,00 avec émergence de vis linguale.
Un pilier Zircone "Bifide" avec céramique montée directement dessus et fausse gencive céramique.
C'est simple, pérenne et très joli.
Bonne soirée,
G.Rom


3f3boxni50k58rq7e9ce9ddqrxgk - Eugenol
dentiste57

25/04/2009 à 22h46

G.Rom écrivait:
---------------
> Bonjour à tous.
> Pour remplacer 31 et 41:
> Un Implant central de 3,75 ou 4,00 avec émergence de vis linguale.
> Un pilier Zircone "Bifide" avec céramique montée directement dessus et fausse
> gencive céramique.
> C'est simple, pérenne et très joli.
> Bonne soirée,
> G.Rom


bon ok, alors montre nous l'ami.


Sanglier

26/04/2009 à 14h18

Hello

Un compromis pour remplacer 2 centrales 31-41
Voilà c'est mon 1er post !!

Img 1665 fgsjtb - Eugenol
Img 1661 nqgmrk - Eugenol
Img 1662 rkry6h - Eugenol
Img 1664 midup2 - Eugenol

Images 1 qtgoxf - Eugenol
ciwil

26/04/2009 à 14h29

dommage que la 34 n'ait pas été alignée par un jeu d'arcs, tu te serais épargné le cantilever et t'aurais fait d'une paire de couilles (je ne suis pas sûr de l'expression)


Blason dql7mj - Eugenol
growler

26/04/2009 à 21h04

ton patient parvient-il à passer au moins un fil dentaire?


Sanglier

27/04/2009 à 18h27

growler écrivait:
-----------------
> ton patient parvient-il à passer au moins un fil dentaire?

YES


Img 8465 fqhxid - Eugenol
noahaxeltiger-olivier

27/04/2009 à 23h59

J'ai pensé à vous cet après midi. C'est gentil non ?

Sujet : Implantation après GBR + mise en charge immédiate

planche 1 : patient adressé par son endodontiste. Ces incisives ont été traitées à plusieurs reprises sans réussite. Grosses pêches apicales + fistules. Le patient est mécontent de la forme du bloc incisif inférieur. Extraction 32-31-41-42 pour raisons endodontiques. Contrairement à certains je n'implante pas dans une zones infectées même après un nettoyage méticuleux du site. Donc GBR avec os autogène + BioOss et BioGide pour préserver tout le joli nonos.

planche 2 : 4 mois après, implantation en 32 et 42. Exercice d'aujourd'hui à 14H00. Mise en place d'un bridge provisoire vissé réalisé au fauteuil.


3f3boxni50k58rq7e9ce9ddqrxgk - Eugenol
dentiste57

28/04/2009 à 01h05

Sanglier écrivait:
------------------
> Hello
>
> Un compromis pour remplacer 2 centrales 31-41
> Voilà c'est mon 1er post !!

Bienvenue à toi Sanglier.

Deux petites questions:

la fausse gencive te semble t'elle vraiment nécessaire dans ce secteur ? si oui pourquoi ?
n'as tu pas peur que celle ci ne devienne trop ennuyeuse à nettoyer ?


Cuisinier2 vnbbxx - Eugenol
jeff2

28/04/2009 à 01h23

noahaxeltiger-olivier écrivait:
-------------------------------
> Contrairement à certains je n'implante
> pas dans une zones infectées même après un nettoyage méticuleux du site.
Pourrais tu développer ton argumentation
le fait de combler avec bio oss ou autres te conduit-il a une couverture AB large?
et du coup, cette même couverture ne te permettrait-elle pas d'implanter direct, par contre sans mise en charge immédiate?


Img 8465 fqhxid - Eugenol
noahaxeltiger-olivier

28/04/2009 à 01h55

jeff2 écrivait:
---------------
> Pourrais tu développer ton argumentation
> le fait de combler avec bio oss ou autres te conduit-il a une couverture AB
> large?
> et du coup, cette même couverture ne te permettrait-elle pas d'implanter
> direct, par contre sans mise en charge immédiate?

Couverture AB large, non juste PCV.

Le sujet d'implantation immediate dans un site infecté a été depuis plusieurs années (Novaes 1995) et est toujours un sujet de controverse . Plusieurs case report (Casap en 2008, Chang en 2009) ont été decrits mais il n'existe pas de consensus validé à ce jour.

C'est pour cette raison que je me garde de donner des conseils sur les expériences personnelles non appuyées scientifiquement.


Fouilla h6plsy - Eugenol
fouilla

28/04/2009 à 11h18

bon personne ne l'a dit mais : merci pour les photos
et explication de texte photos explications de cas et en plus ref biblio si la dedans y'a pas une approche scientifique vraie...
es tu sur que tu n'aurai pas pu sauver ces dents ? ----lol-:)
es tu sur de ne jamais avoir tenter EII dans pareil cas tout de même???
amitiés.


Sanglier

28/04/2009 à 13h21

dentiste57 écrivait:
--------------------
> Sanglier écrivait:
> ------------------
> > Hello
> >
> > Un compromis pour remplacer 2 centrales 31-41
> > Voilà c'est mon 1er post !!
>
> Bienvenue à toi Sanglier.
>
> Deux petites questions:
>
> la fausse gencive te semble t'elle vraiment nécessaire dans ce secteur ? si oui
> pourquoi ?
> n'as tu pas peur que celle ci ne devienne trop ennuyeuse à nettoyer ?

Merci d'avoir regardé ce cas et pour la bienvenue.

C'est un compromis, effectivement entre esthétique et hygiène et aussi la perte osseuse.

J'ai positioné l'implant là où l'os était car le patient ne souhaitait pas de greffe.

Donc je pensais à un système prothétique avec fausse gencive, soit transvissé ou scellé ! J'ai choisi scellé à cause de l'éventuelle sortie de vis.

Un pilier Procéra titane et un ensemble CCM avec céramique rose autorisant le passage du fil dentaire.

Sans cette fausse gencive, comment gérer les positions médiane et basse de l'implant/pilier proth. ?

Il est vrai que pour l'hygiène, c'est délicat ! Mais comme pour beaucoup de cas il faut voir à 6 mois et plus si affinités !! J'attends de revoir


Img 8465 fqhxid - Eugenol
noahaxeltiger-olivier

07/07/2009 à 01h14

noahaxeltiger-olivier écrivait:
-------------------------------
> planche 2 : 4 mois après, implantation en 32 et 42. Exercice d'aujourd'hui à
> 14H00. Mise en place d'un bridge provisoire vissé réalisé au fauteuil.

Voila la suite du cas en question avant prise d'empreinte definitive :


Pierre logo clykpp - Eugenol
Denteo33

02/05/2021 à 08h05

Pourquoi les photos de noah ne sont plus sur Eugenol?