Tous les forums
Inlay-Onlay
21/08/2008 à 01h00
alhoun Ecrivait:
-------------------------------------------------------
> tiens dudule, un petit joint pour toi.
C'était de la bonne ! Amsterdam ou Marrackech ?
21/08/2008 à 01h00
donc, pour un joint invisible, une colle composite est indispensable: variolink, choice, panavia, etc...
21/08/2008 à 01h01
marco, franchement, tu m'insultes!!
des produits étrangers, non mais!
21/08/2008 à 01h05
Liechtenstein, US, Japon : je vois que les approvisionnement passent pas des voies détournées.
21/08/2008 à 01h13
un petit coup de fraise sur l'amalgame débordant de la dent adjacente n'aurait pas été superflu!
21/08/2008 à 01h34
mac Ecrivait:
-------------------------------------------------------
> > l'entrée des canaux là, même gilbert montagné la
> trouve.
certes
mais ds 15 ans? après fracture du belonlay,ou reprise de carie?
>
21/08/2008 à 11h17
ploc Ecrivait:
-------------------------------------------------------
> certes
> mais ds 15 ans? après fracture du belonlay,ou
> reprise de carie?
et dans 35 ans encore pire, pourquoi ne pas extraire de suite alors?
21/08/2008 à 11h18
alhoun Ecrivait:
-------------------------------------------------------
> ou alors çui là
mytho!!!!
21/08/2008 à 12h47
Dudule ,
pour l'adaptation, les photos d'Alhoun évitent tout commentaire superflu. Bravo a lui !!
Un tit montage des 2 réalisations cote a cote suffit. on dirait presque une Pub de compo avant apres !!
Si tu persistes a ne rien voir je t'accuserais de mauvaise foi.
22/08/2008 à 10h26
Alhoun peux tu me donner le nom du compo pour onlay utilisé sur les photos et le nom du collage.
Merci je vais voir ça avec mon protho.
D'autre part est ce que tu fais maquiller tes onlays compo ?
22/08/2008 à 18h52
Vous comparez vos petites fissurettes et le gros delabrement du patient de dudule.
Pour moi: comparaisons non valides par non spécification.
22/08/2008 à 19h16
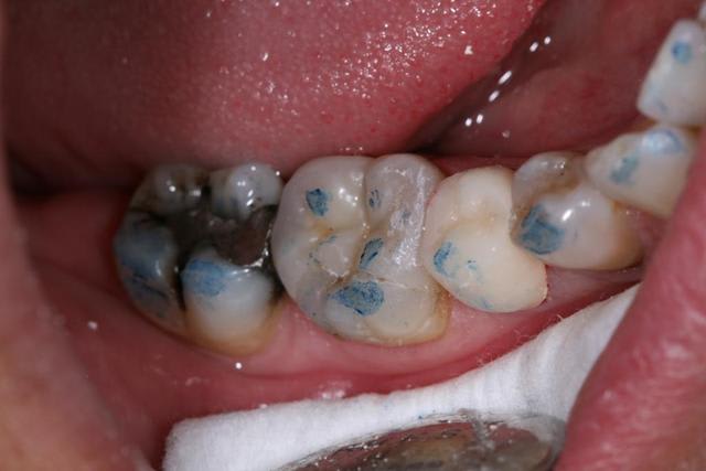
Après avoir revu la patiente aujourd'hui...
Je peux dire que oui, il faut que je reprenne le mauvais ajustage en vestibulaire (indiqué par une fleche rouge sur la photo) mais c'est le seul endroit (c'est déjà pas mal me direz-vous) qui n'est pas parfaitement ajusté.
La patiente a même du trouver ca bizarre, vu le temps que j'ai regardé l'onlay avec ma sonde à la recherche d'un hiatus ou d'un joint de colle épais.
Maintenant c'est sur qu'une colle transparente, pardonne moins d'erreur visuelle qu'une colle de la teinte de l'onlay !
J'ai pris d'autres angles de vue de cet onlay tant critiqué (au moins ca fait débat et moi cela me permet de réfléchir)... Et puis si vous êtes trop méchant je retourne en chir :+))
22/08/2008 à 20h35
Je ne comprends toujours pas pourquoi tu n'as pas refait le joint en compo fluide en vestibulaire avant prendre les photos qui montrent toujours la moche adaptation à cet endroit.
En lingual, je n'ai rien à redire.
22/08/2008 à 20h36
dudule Ecrivait:
-------------------------------------------------------
>
Et puis si vous êtes trop
> méchant je retourne en chir :+))
>
Tu l'as cherché, le tribunal d'eugénol est impitoyable! Et là tu vas t'améliorer... ;-)
Mais je te rassure aussi, tous les dentistes de France ne bossent pas comme alhoun.
22/08/2008 à 20h43
> dudule Ecrivait:
> --------------------------------------------------
> -----
> >
> Et puis si vous êtes trop
> > méchant je retourne en chir :+))
> >
>
>
Oui, c'est ça : les implants au moins, vu qu'ils sont enfouis, on ne voit pas trop les défauts.
22/08/2008 à 23h06
Tu ne fais pas cela avec ta bonne revue, j'espère, marc?
Je vois d'ou viennent les belles iconographies, oh le vilain :-)