Cookie Consent byPrivacyPolicies.comInlay-Onlay - Eugenol
alhoun

21/08/2008 à 00h58

ou alors çui là

Fig 7 b o31hnt - Eugenol
Fig 7 c mw5s94 - Eugenol

Marque a3 orange fyvhyq - Eugenol
Marc Apap

21/08/2008 à 01h00

alhoun Ecrivait:
-------------------------------------------------------
> tiens dudule, un petit joint pour toi.

C'était de la bonne ! Amsterdam ou Marrackech ?



alhoun

21/08/2008 à 01h00

donc, pour un joint invisible, une colle composite est indispensable: variolink, choice, panavia, etc...


alhoun

21/08/2008 à 01h01

marco, franchement, tu m'insultes!!

des produits étrangers, non mais!


Marque a3 orange fyvhyq - Eugenol
Marc Apap

21/08/2008 à 01h05

Liechtenstein, US, Japon : je vois que les approvisionnement passent pas des voies détournées.


024 vownvo - Eugenol
annie

21/08/2008 à 01h13

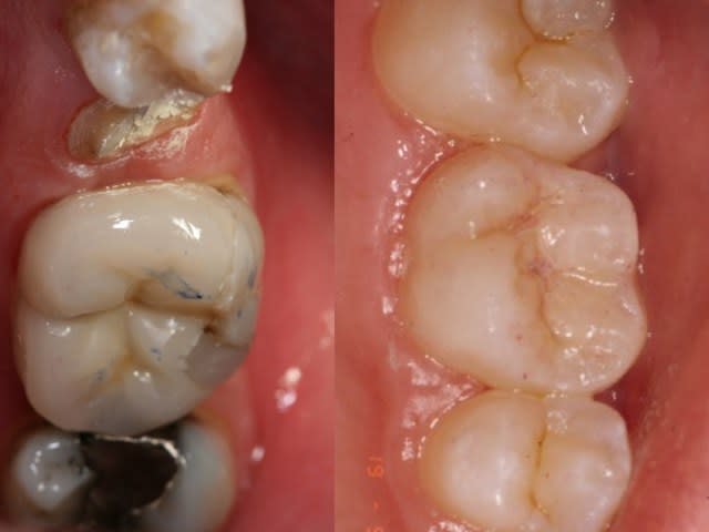
un petit coup de fraise sur l'amalgame débordant de la dent adjacente n'aurait pas été superflu!


Image odged8 - Eugenol
ploc

21/08/2008 à 01h34

mac Ecrivait:
-------------------------------------------------------
> > l'entrée des canaux là, même gilbert montagné la
> trouve.

certes
mais ds 15 ans? après fracture du belonlay,ou reprise de carie?
>



Dent masqu e petite f0pbaj - Eugenol
dudule

21/08/2008 à 01h35

ok c'est parti, je commande ça dès demain.


Logo vuaztn - Eugenol
mac

21/08/2008 à 11h17

ploc Ecrivait:
-------------------------------------------------------

> certes
> mais ds 15 ans? après fracture du belonlay,ou
> reprise de carie?


et dans 35 ans encore pire, pourquoi ne pas extraire de suite alors?


Logo vuaztn - Eugenol
mac

21/08/2008 à 11h18

alhoun Ecrivait:
-------------------------------------------------------
> ou alors çui là


mytho!!!!


Bouddha 2 wmj1zk - Eugenol
HAIG

21/08/2008 à 12h47

Dudule ,
pour l'adaptation, les photos d'Alhoun évitent tout commentaire superflu. Bravo a lui !!
Un tit montage des 2 réalisations cote a cote suffit. on dirait presque une Pub de compo avant apres !!
Si tu persistes a ne rien voir je t'accuserais de mauvaise foi.

Sin título - Eugenol

Dent masqu e petite f0pbaj - Eugenol
dudule

22/08/2008 à 10h26

Alhoun peux tu me donner le nom du compo pour onlay utilisé sur les photos et le nom du collage.
Merci je vais voir ça avec mon protho.
D'autre part est ce que tu fais maquiller tes onlays compo ?


alhoun

22/08/2008 à 18h04

esthenia
variolink


alhoun

22/08/2008 à 18h04

et oui.


Avatar transparent iqadnc - Eugenol
adhoc

22/08/2008 à 18h52

Vous comparez vos petites fissurettes et le gros delabrement du patient de dudule.
Pour moi: comparaisons non valides par non spécification.


Dent masqu e petite f0pbaj - Eugenol
dudule

22/08/2008 à 19h16

Après avoir revu la patiente aujourd'hui...
Je peux dire que oui, il faut que je reprenne le mauvais ajustage en vestibulaire (indiqué par une fleche rouge sur la photo) mais c'est le seul endroit (c'est déjà pas mal me direz-vous) qui n'est pas parfaitement ajusté.
La patiente a même du trouver ca bizarre, vu le temps que j'ai regardé l'onlay avec ma sonde à la recherche d'un hiatus ou d'un joint de colle épais.
Maintenant c'est sur qu'une colle transparente, pardonne moins d'erreur visuelle qu'une colle de la teinte de l'onlay !
J'ai pris d'autres angles de vue de cet onlay tant critiqué (au moins ca fait débat et moi cela me permet de réfléchir)... Et puis si vous êtes trop méchant je retourne en chir :+))

Img 4933 bvgcmc - Eugenol
Img 4934 lz7mcl - Eugenol
Img 4929 e67ugl - Eugenol
Img 4930 fmcy7v - Eugenol

Marque a3 orange fyvhyq - Eugenol
Marc Apap

22/08/2008 à 20h35

Je ne comprends toujours pas pourquoi tu n'as pas refait le joint en compo fluide en vestibulaire avant prendre les photos qui montrent toujours la moche adaptation à cet endroit.
En lingual, je n'ai rien à redire.


Blue eye thumb medium dx1i0w - Eugenol
bill

22/08/2008 à 20h36

dudule Ecrivait:
-------------------------------------------------------
>
Et puis si vous êtes trop
> méchant je retourne en chir :+))
>


Tu l'as cherché, le tribunal d'eugénol est impitoyable! Et là tu vas t'améliorer... ;-)
Mais je te rassure aussi, tous les dentistes de France ne bossent pas comme alhoun.


Marque a3 orange fyvhyq - Eugenol
Marc Apap

22/08/2008 à 20h43


> dudule Ecrivait:
> --------------------------------------------------
> -----
> >
> Et puis si vous êtes trop
> > méchant je retourne en chir :+))
> >
>
>


Oui, c'est ça : les implants au moins, vu qu'ils sont enfouis, on ne voit pas trop les défauts.


Avatar transparent iqadnc - Eugenol
adhoc

22/08/2008 à 20h55


Avatar transparent iqadnc - Eugenol
adhoc

22/08/2008 à 20h56

Avant...

Depostersureugenol t7f4ld - Eugenol

Marque a3 orange fyvhyq - Eugenol
Marc Apap

22/08/2008 à 22h13

C'aurait été un peu plus joli comme ça

Img 49342 t1mrrj - Eugenol

Marque a3 orange fyvhyq - Eugenol
Marc Apap

22/08/2008 à 22h18

Ou encore mieux comme ça pour voir

Dudule v92nps - Eugenol

Avatar transparent iqadnc - Eugenol
adhoc

22/08/2008 à 23h06

Tu ne fais pas cela avec ta bonne revue, j'espère, marc?
Je vois d'ou viennent les belles iconographies, oh le vilain :-)


Gutt-A

22/08/2008 à 23h37

Et rien que pour la beauté de la photo, ça aurait été bien de remplacer le vieil amalgame par un inlay.