Cookie Consent byPrivacyPolicies.comInlay-Onlay - Eugenol
Dent masqu e petite f0pbaj - Eugenol
dudule

23/08/2008 à 00h34

Marc Apap Ecrivait:
-------------------------------------------------------
> Je ne comprends toujours pas pourquoi tu n'as pas
> refait le joint en compo fluide en vestibulaire
> avant prendre les photos qui montrent toujours la
> moche adaptation à cet endroit.
> En lingual, je n'ai rien à redire.


Par honneteté intellectuelle.. si si ca existe.
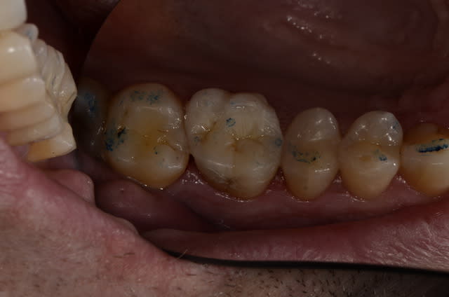
Je referrai le joint la prochaine fois c'est prévu mais je voulais avant cela vous montrer la restauration sous un autre angle


200106 10150128247663588 709988587 6466236 5598391 n d7mksb - Eugenol
hallboy

23/08/2008 à 01h36

serieux, le joint refait au compo fluide....ça a 3000% de retraction ce truc. c'est fragile et ça vieillira mal.
l'esthetique, apres tout sil le patient est contente; je veux bien admettre apres tout, que ne pasrecouvrir les pans vestibulaires c'est super parceque + econome; et que probablement la pulpe te foutra la paix et que l'endo ne sera pas necessaire;
mais ce joint est foireux, et c'etait une raison suffisante pour ne pas poser cet inlay.

et sinon, je confirme: tout le monde ne travaille pas comme Alhoun; moi le premier.
Heureusement d'ailleurs, ça m'aurait obligé à changer de metier.


Marque a3 orange fyvhyq - Eugenol
Marc Apap

23/08/2008 à 03h42

Gutt-A Ecrivait:
-------------------------------------------------------
> Et rien que pour la beauté de la photo, ça aurait
> été bien de remplacer le vieil amalgame par un
> inlay.


Un peu comme ça ?

Dudule blanc yr3ebu - Eugenol

Logo vuaztn - Eugenol
mac

23/08/2008 à 11h29

hallboy Ecrivait:
---------------------------------------------------
> et sinon, je confirme: tout le monde ne travaille
> pas comme Alhoun; moi le premier.
> Heureusement d'ailleurs, ça m'aurait obligé à
> changer de metier.


à cause du dos?


Gutt-A

23/08/2008 à 12h13

Marc Apap Ecrivait:
-------------------------------------------------------
> Gutt-A Ecrivait:
> --------------------------------------------------
> -----
> > Et rien que pour la beauté de la photo, ça
> aurait
> > été bien de remplacer le vieil amalgame par un
> > inlay.
>
>
> Un peu comme ça ?

Disons que ça commence à ressembler à des dents. lol



alhoun

23/08/2008 à 14h41

dudule, concernant ton cas, en effet, une fois l anesthesie faite, il est plus simple et plus rentable de faire les deux dents en meme temps. voir les trois, puisque tu as fait l endo sur 35.
tu as certainement saisi que le but de notre rentre dedans est de te donner un coup de pouce.
bon courage.


Tozzi

23/08/2008 à 22h39

il vaut mieux un défaut de joint comme ici en occlusal qu'en proximal. A cet endroit, le brossage réussira à diminuer le risque d'infiltration.
Imaginons un défaut d'adptation comme çà en proximo-cervical, c'est impossible à voir.


200106 10150128247663588 709988587 6466236 5598391 n d7mksb - Eugenol
hallboy

24/08/2008 à 00h14

Donc comme on le voit, on peut le bricomer plutot que de refaire la piece?
On peut mm prevenir le patient: " Mme Bacri; le joint de votre truc à 400 roros pas remboursé est foireux; je l'ai bricolé à la resine pas costaude; donc soignez le brossage, pas de nougat, pas de Nutella!! Pasque si ça foire, ça sera votre faute! "


Tiens: regarde ce que font les dentistes chinois:


http://www.towniecentral.com/MessageBoard/UserUploads/Cases/115264/after1.jpg

le gars est a 5 heures de son prothesiste; il paye ses ceram 10 euros, et s'excuse pour la faible qualité du 1/3 inferieur, mais dit ne pas pouvoir changer delabo

prov:

http://www.towniecentral.com/MessageBoard/UserUploads/Cases/115264/after3.jpg

def:

http://www.towniecentral.com/MessageBoard/UserUploads/Cases/115264/after4.jpg

Voila donc ce qui peut etre fait dasn un trou à 5 heures de Pekin


024 vownvo - Eugenol
annie

24/08/2008 à 00h56

la particularité des composites, et au moins un de leurs avantages est de pouvoir se coller a une autre partie composite,plutot qu'un joint au compo fluide,personnellement j'opterais pour un leger et suffisant elargissement de cette
" solution de continuité " pour pouvoir y remettre une obturation avec un composite plus résistant que le joint fluide!


200106 10150128247663588 709988587 6466236 5598391 n d7mksb - Eugenol
hallboy

24/08/2008 à 02h07

????!!!!

Si tu penses que ta piece prothetique ne va pas, pourquoi ne pas la refaire????


Marque a3 orange fyvhyq - Eugenol
Marc Apap

24/08/2008 à 03h01

Là je ne te suis pas : justement, l'avantage d'une restauration en composite, ce sont les retouches et rectifications possibles sans avoir besoin de tout refaire.
Réparer un joint n'a rien de répréhensible, ni de contre-nature.
Cela se fait très bien, je suis désolé de le redire, avec un composite fluide, qui convient parfaitement pour ça, puisqu'il s'agit de combler un très faible volume.


024 vownvo - Eugenol
annie

24/08/2008 à 05h51

hallboy Ecrivait:
-------------------------------------------------------
> ????!!!!
>
> Si tu penses que ta piece prothetique ne va pas,
> pourquoi ne pas la refaire????


j'ai expliqué pourquoi,c'est tres récupérable! si je voyais qu'elle n 'allait pas je ne l'aurais pas scellée et l'aurais refaite: je parle pour rectifier ce cas précis,et suite a tes objections sur le compo fluide!


SteveB

06/09/2008 à 21h07

salut J-L ! Il faut que je te mail ces prochains jours...
Je suis assez d'accord avec Marc. La dent a été trop agressé pour parier sur ce type de restauration a long terme. Même si je suis très conservateur le rapport bénéfice risque me semble défavorable... Pour le superbond je n'en ai pas l'expérience sur le composite. Pour moi il vaut mieux utiliser un compo dual de collage puisque l'on travail sur du compo... En tout cas ce qui est sur, c'est que esthétiquement, le compo donne de bien meilleur résultat en laissant passer beaucoup mieux la lumière.
Marc, peux tu me donner ton avis sur le compo dual Calibra de Dentsply?


totolehero

05/12/2008 à 19h19

hallboy écrivait:
-----------------
> Donc comme on le voit, on peut le bricomer plutot que de refaire la piece?
> On peut mm prevenir le patient: " Mme Bacri; le joint de votre truc à 400 roros
> pas remboursé est foireux; je l'ai bricolé à la resine pas costaude; donc
> soignez le brossage, pas de nougat, pas de Nutella!! Pasque si ça foire, ça sera
> votre faute! "
>
>
> Tiens: regarde ce que font les dentistes chinois:
>
>
> http://www.towniecentral.com/MessageBoard/UserUploads/Cases/115264/after1.jpg
>
> le gars est a 5 heures de son prothesiste; il paye ses ceram 10 euros, et
> s'excuse pour la faible qualité du 1/3 inferieur, mais dit ne pas pouvoir
> changer delabo
>
> prov:
>
> http://www.towniecentral.com/MessageBoard/UserUploads/Cases/115264/after3.jpg
>
> def:
>
> http://www.towniecentral.com/MessageBoard/UserUploads/Cases/115264/after4.jpg
>
> Voila donc ce qui peut etre fait dasn un trou à 5 heures de Pekin
>


C'est pas mal en effet même si ça manque un peu de vie ...enfin ça c'est pas nouveau chez les chinois uniforme oblige !!
Peut etre devrais tu aller pratiquer en chine?


200106 10150128247663588 709988587 6466236 5598391 n d7mksb - Eugenol
hallboy

05/12/2008 à 19h53

Probablement. Et mon neveu serait content;)
Ou au moins ma belle soeur


Bouddha 2 wmj1zk - Eugenol
HAIG

05/03/2011 à 18h19

Je cherchais des photos d'Onlay de Mac Boyle et je suis retombe sur ce post.

Une question : IL EST DEVENU QUOI CET ONLAY ??
- Pulpite ?
- Necrose
- Delabre

Je suis curieux de savoir.
--
HAIG (º¿º)


Blocperso talon jer3sl - Eugenol
mrquentin

22/01/2013 à 01h02

salut, je voulais vos avis;
sur quelques preparations d'ilays, il m'arrive de trouver des petites felures au niveau mésial ou distal, generalement je fraise plus loin pour les supprimer, mais parfois elles semblent aller assez profond, et si on les suit avec la prep, après, c'est bonbon pour pour la digue.
Alors pensez vous que le composite ( ou l'adhésif) s'nfiltre et scelle ce genre de fissures? (celle "en bas" de la dent) quelle serait votre attitude?

 dsc2250 uywuf1 - Eugenol

Smile beach jgh0a1 - Eugenol
Céramik

22/01/2013 à 01h27

mrquentin écrivait:
-------------------
> salut, je voulais vos avis;
> sur quelques preparations d'ilays, il m'arrive de trouver des petites felures au
> niveau mésial ou distal, generalement je fraise plus loin pour les supprimer,
> mais parfois elles semblent aller assez profond, et si on les suit avec la prep,
> après, c'est bonbon pour pour la digue.
> Alors pensez vous que le composite ( ou l'adhésif) s'nfiltre et scelle ce genre
> de fissures? (celle "en bas" de la dent) quelle serait votre attitude?


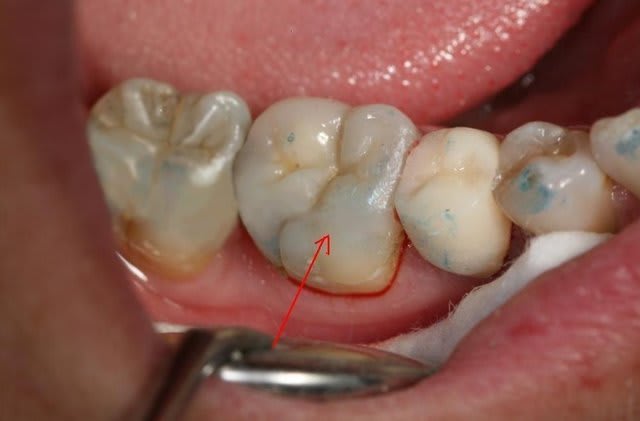
Bonne question.

Sur la photo, il me semble que j'aurais recouvers de 2mm toute la paroie palatine (à gauche) et il semble aussi que la paroie mésiale soit douteuse (mais axe photo difficile).

J'aurais fait un gros onlay avec recouvrement palatin

Avec plus de photo, on y verrait mieux.


--
Céramik


Photo thumb 45 lnhuvp - Eugenol
wakrap

22/01/2013 à 02h41

"Alors pensez vous que le composite ( ou l'adhésif) s'nfiltre et scelle ce genre de fissures? (celle "en bas" de la dent) quelle serait votre attitude?"

Ces fissures, sont-elles importantes à partir du moment où la restauration sera collée et que l'adhésion se fera sur une surface d'émail étendue dans cette zone de fissures ?


Blocperso talon jer3sl - Eugenol
mrquentin

22/01/2013 à 18h54

merci des réponses;
en supposant que le coté de la dent où il y a l'anneau du crampon soit le coté distal, et que, d'après l'anatomie d'une 5 qui se dessine sous la digue, le coté vestibulaire est à gauche, je parlais de la felure qui est en distal (la toute petite felure, pas les felures de la cuspide mésio vestibulaire). En relisant vos post, j'aurais effectivement dû recouvrir les cuspides vestibulaires plus largement.
voilà la photo post op, on remarquera que le joint en vestibulaire distal est un peu visible, et on peut suspecter un enfoncement incomplet de l'inlay.
Pourrions nous revenir sur cette micro felure (on la voit pas bien à cause de l'adhésif du multilink que j'avais déjà appliqué avant que je me décide à prendre la photo); à cette vue là, auriez vous décidé d'abaisser la limite DISTALE?
merci

 dsc2251 kjkzuf - Eugenol
 dsc2252 nfwz0a - Eugenol

Grueavatar nptrc9 - Eugenol
Le Choixpeau magique

23/01/2013 à 00h19

mrquentin écrivait:
-------------------
> salut, je voulais vos avis;
> sur quelques preparations d'ilays, il m'arrive de trouver des petites felures au
> niveau mésial ou distal, generalement je fraise plus loin pour les supprimer,
> mais parfois elles semblent aller assez profond, et si on les suit avec la prep,
> après, c'est bonbon pour pour la digue.
> Alors pensez vous que le composite ( ou l'adhésif) s'nfiltre et scelle ce genre
> de fissures? (celle "en bas" de la dent) quelle serait votre attitude?

Moi dés que j'ai un doute je fais une couronne (cerclage périphérique).


Smile beach jgh0a1 - Eugenol
Céramik

23/01/2013 à 02h27

Le Choixpeau magique écrivait:
--------------------------
>
> Moi dés que j'ai un doute je fais une couronne (cerclage périphérique).

Assassin d'émail !
;-)

Et ta jolie couronne va tenir sur un gentil IC, suite à la p'tite endo ?

Le cerclage, c'est pour l'époque des CCM+IC partout.



--
Céramik


Nouveau image bitmap fz77zh - Eugenol
Sethef

23/01/2013 à 09h42

Céramik écrivait:
-----------------
> Le Choixpeau magique écrivait:
> --------------------------
> >
> > Moi dés que j'ai un doute je fais une couronne (cerclage périphérique).
>
> Assassin d'émail !
> ;-)
>
> Et ta jolie couronne va tenir sur un gentil IC, suite à la p'tite endo ?
>
> Le cerclage, c'est pour l'époque des CCM+IC partout.
>
>
>
> --
> Céramik


Je suis peut-être old school, mais le cerclage ne me paraît pas si dépassé que ça.

En particulier, j'ai plusieurs cas de molaires, porteuses d'un petit soin, présentant une fêlure bien localisée par le test de morsure mais invisible à l'oeil.
Dans ces cas, préparation périphérique + couronne = disparition immédiate des symptômes dès la provisoire.
L'autre solution aurait été de les dévitaliser, avec le risque de voir la fêlure s'étendre si la couronne n'est pas réalisée.
(Pas d'IC pour autant hein...)


Grueavatar nptrc9 - Eugenol
Le Choixpeau magique

23/01/2013 à 09h48

Céramik écrivait:
-----------------
> Et ta jolie couronne va tenir sur un gentil IC, suite à la p'tite endo ?

Non, pourquoi ?
Comme je le disais à un ami il y a peu, jusqu'ici je n'ai jamais eu à faire d'endo sur une dent qui ne présentait pas de pathologie pulpaire.

>
> Le cerclage, c'est pour l'époque des CCM+IC partout.

Je ne vois pas le rapport.


la-dent-creuse

01/02/2014 à 16h04

Bonjour,


Je me permets de vous balancer un petit cas clinique à discuter au sujet d'un ONLAY sur 46, chez une patiente de 55 ans.

Dent 46 vivante, qui présentait un amalgame occlus-mésio-dital vieux de 15 ans, et une fracture (classique) de tout le pan lingual m'a poussé à restaurer cette dent.
Importante perte de substance.

J'ai décidé de conserver la dent vivante (une erreur de jeunesse ?! j'suis jeune diplômé..) : préparation sous anesthésie, mise en place un fond de cavité CVI (Fuji IX), avant de réaliser une empreinte pour ONLAY COMPOSITE.

Puis, au RDV suivant, onlay collé au DEXTACEM (colle auto-adhésive).


Quel est votre point de vue :
* sur l'indication de l'inlay au vu de l'état résiduel de la dent ?
* sur ce matériau de collage (vu qq CD utilisant ce matériau pour le collage) ?

Photo 1 xxw2dk - Eugenol
Photo 3 gfsppc - Eugenol
Photo 2 zjou1q - Eugenol
Photo 5 ahpcdu - Eugenol
Photo 4 xvzti7 - Eugenol