Cookie Consent byPrivacyPolicies.combelle lésion péri apicale - Eugenol

belle lésion péri apicale

gilles69

08/10/2008 à 23h39

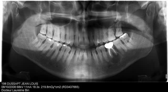
je découvre ça à la pano, la 46 a été traitée en 1980 suite à une lésion endo paro, le patient ne se plaint de rien......je surveille ou j'interviens?

Dussapt f5u8iu - Eugenol

Logo vuaztn - Eugenol
mac

08/10/2008 à 23h49

bah surveille, avec des antibios ça peut passer.


Spriford

08/10/2008 à 23h51

oui, ça finira par passer.... au travers de la mandibule.


Canin

09/10/2008 à 00h53

extraction et exérèse dans le même opératoire

comblement éventuel puis implant dans 6 à 9 mois


Grueavatar nptrc9 - Eugenol
Le Choixpeau magique

09/10/2008 à 01h27

A ceux qui veulent extraire, quel est ici le diagnostic différentiel avec une lésion d'origine endo ?


colza

09/10/2008 à 08h28

faudrait déjà faire l'exérèse du nom de cette personne et ensuite extraire la dent.


Bouddha 2 wmj1zk - Eugenol
HAIG

09/10/2008 à 11h46

Si l'endo n'a consiste en fait qu'a peindre les parois ?
Ne serait-il pas utile de démonter et de retraiter correctement !!
Au vue de la radio, ce pauvre patient a juste des problèmes sur cette dent. Ça fait quand même penser très très fort a un intervention iatrogène d'un de nos confrères !!!


gilles69

09/10/2008 à 14h00

Je vais refaire l'endo, mais je risque de faire flamber l'infection, je le préviens comme il se doit.


Badge moustache forever wieg2r - Eugenol
Lyllie

09/10/2008 à 20h56

Il s'agit de la 36 non?


Images eb1m5g - Eugenol
tonio

09/10/2008 à 21h47

mac Ecrivait:
-------------------------------------------------------
> bah surveille, avec des antibios ça peut passer.


Très bon! ;-)


HAIG Ecrivait:
-------------------------------------------------------
> Si l'endo n'a consiste en fait qu'a peindre les
> parois ?

Ceci dit, l'endo est "radiologiquement correcte". On voit des endos bien pires que ça et sans pour autant entraîner l'apparition de lésion.
Bon après, le succès radiologique et biologique d'un traitement ne sont pas forcément corrélés: cf. la pano.

> Au vue de la radio, ce pauvre patient a juste des
> problèmes sur cette dent. Ça fait quand même
> penser très très fort a un intervention iatrogène
> d'un de nos confrères !!!


Je me souviens d'un prof de conjointe qui disait fort justement: "une fois qu'on touche à la dent, c'est foutu...!"


Canin

09/10/2008 à 22h27

je ne vois pas on veut garder une dent causale sur une lesion de cette taille.

Extraction + exérèse = la seule manière fiable de guérir ce patient.

Les implants c'est pas fait pour les chiens sauf pour les recherches (pauvres toutous).


pepe54

09/10/2008 à 23h20

pareil.
tu esperes quoi avec la reprise ttt ?


Grueavatar nptrc9 - Eugenol
Le Choixpeau magique

09/10/2008 à 23h21

Pour toi Canin, c'est juste un problème de taille. Pourtant les endos te diront que ce n'est pas un facteur fiable de pronostic...

Qu'en pense Ann...euh, Stéphane ?


Img 8465 fqhxid - Eugenol
noahaxeltiger-olivier

10/10/2008 à 00h30

.


Marque a3 orange fyvhyq - Eugenol
Marc Apap

10/10/2008 à 00h59

C'est en effet la solution qui paraît la plus raisonnable (l'image était si petite que j'avais mal vu cette énorme lésion kystique)


dentifrix

10/10/2008 à 13h23

je tenterais la reprise de tt qd meme et controler à 6 mois.On peut esperer une diminution de la taille de la lesion, voir ensuite s'il y a indication à operer


024 vownvo - Eugenol
annie

10/10/2008 à 15h06

dentifrix Ecrivait:
-------------------------------------------------------
> je tenterais la reprise de tt qd meme et controler
> à 6 mois.On peut esperer une diminution de la
> taille de la lesion, voir ensuite s'il y a
> indication à operer


pareil! j'en ai soigné quelques un,et on a d'agréables surprises,mais apres plusieurs séances d'hypo et d'hydroxyde de ca! je sais ,je sais...


marc

10/10/2008 à 21h31

Voici un cas qui ressemble un peu au tien:
reprise de traitement puis resection apicale et comblement.
A 1 an , aucun signes cliniques et on surveille.
Bon courage !

Avant gkvmfc - Eugenol
Chirurgie t10wdg - Eugenol
1 an utxkkm - Eugenol

Canin

10/10/2008 à 21h37

Désolé mais je n'ai pas de complexe de taille. Je n'ai pas à rougir.

POur être sérieux. Faut adpater et pas toujours conserver c'est tout.

Bien sûr qu'on peut reprendre l'endo, résection, obtu rétro et éventuel comblement avec surveillance.

Personne n'a complétement tort ou raison.


Gonzo k0qhwz - Eugenol
matten

11/10/2008 à 00h38

Canin Ecrivait:
-------------------------------------------------------
> je ne vois pas on veut garder une dent causale sur
> une lesion de cette taille.
>
> Extraction + exérèse = la seule manière fiable de
> guérir ce patient.
>
> Les implants c'est pas fait pour les chiens sauf
> pour les recherches (pauvres toutous).


Vous etes bizarres quand meme.

- depuis quand etes vous capables de faire un diagnostic anapath (un kyste) sur une panoramique
- Quand bien meme il s'agirait bien d'un kyste, qui vous dit qu'il est vrai ???!!! (cad avec une barriere epitheliale complete)

Une lesion de cette taille la n'a pas a faire peur, au contraire ca me rassure en me disant que la guerison ne sera que plus spectaculaire.
D'autant plus que le traitement initial est a l'apex!! Il n'y a qu'a desobturer, eliminer grace au "soaking" les restes de ciments une fois les canaux desobtures et irriguer a fond a l'hypo.
Il n'y a aucune raison que ca ne marche pas (sauf kyste vrai et encore il y a des solutions, sauf infection a corps etranger, sauf actinomycose).

Si vous avez peur de la flambee rien n'empeche de donner une ordo que le patient ne prendra que si les premiers signes apparaissent dans les heures qui suivent l'obturation (cad douleur a se frapper la tete contre les murs).

Realiser une extraction d'emblee me parait ultra expeditif (a la rigueur si on voyait des perfos, fausses routes etc...)


Marque a3 orange fyvhyq - Eugenol
Marc Apap

11/10/2008 à 01h28

marc Ecrivait:
-------------------------------------------------------
> Voici un cas qui ressemble un peu au tien:
> reprise de traitement puis resection apicale et
> comblement.
> A 1 an , aucun signes cliniques et on surveille.
> Bon courage !


Qu'est ce qui justifie un comblement ?
Il n'y a pas d'obturation a retro. Difficile d'être sûr de l'étanchété canalaire dans ce cas.
Cela justifie au minimum la reprise de traitement.
Ce cas n'est pas tout à fait identique à celui présenté : la couronne sur le cas présenté ne semble pas mal réalisée (ou en tous cas à refaire). Une radio rétro alvéolaire serait indispensable.
La résection apicale sans toucher à la couronne, puis obturation a retro par un spécialiste me paraît plus sûre.


Canin

11/10/2008 à 01h38

J'admets être expéditif. Je suis influencé par ma pratique hospitalière où il faut souvent réglé les problèmes rapidement. C'est un choix.

En voyant une image comme celle là il est clair q'il s'agit d'un kyste inflammataoire mais je vais biensûr demandé une anapath.


Images eb1m5g - Eugenol
tonio

11/10/2008 à 02h21

Marc Apap Ecrivait:
-------------------------------------------------------
>
>
Une radio rétro alvéolaire serait
> indispensable.

+1. tout à fait d'accord pour être ultra sûr de l'origine du problème.


> La résection apicale sans toucher à la couronne,
> puis obturation a retro par un spécialiste me
> paraît plus sûre.

Bof.
Marc, si on "tente" de sauver cette dent, il est impératif de tenter une RTE orthograde (diminution de la charge bactérienne) pour augmenter les chances de succès de la chir retrograde. En plus, il n'y a pas de tenon dans les racines donc une RTE classique ne semble pas insurmontable.
Si on fait une RTE rétrograde d'emblée, on aura une cicat plus rapide de la lésion mais un pourcentage de récidive supérieur sur le long terme (cf. les études).


En apparté,j'ai jamais compris l'intérêt de faire une résection apicale sur une 6 mandibulaire. Le délabrement osseux occasionné est considérable. Tout ça pour récupérer une dent qui sera affaiblie et qui risque de fracturer à tout moment.
Bien que j'apprécie la prouesse technique de marc (cf. sa radio), il me semble que le meilleur service à rendre sur le long terme au patient est de lui virer cette dent et de poser un implant.


Marque a3 orange fyvhyq - Eugenol
Marc Apap

11/10/2008 à 13h57

Tout ça se discute. D'accord pour la RTE, il est vraisemblable que c'est ce que je proposerais. Pour l'implant, c'est toujours facile à proposer quand on est du côté du dentiste. Les patients eux, ont parfois du mal à se séparer de leurs dents (d'autres, c'est le contraire).


Pa050055 igyagy - Eugenol
mark

12/10/2008 à 20h50

RTE et surtout pas de résection!

Ne pas se laisser abuser par la densification osseuse périphérique qui ne signifie pas obligatoirement la présence d'un kyste.

Il s'en est trouvé qui ont disparu sans intervention chirurgicale.

Même si cela doit être long, même si l'image est impressionante (parce que le problème ancien, tout simplement), vu le reste de la denture, le patient a tout à gagner dans une tentative pour lui sauver la seule dent qui lui a posé problème.

Et quand bien même tu provoquerais un dépassement de pâte dans ton zèle à compacter ta gutta pour assurer la plus parfaite et ici indispensable herméticité de tout de qui peut se trouver comme apex, delta et autres joyeusetés anatomiques sur le tiers apical.

Aie confiance et prend ton temps pour l'asepsie après désobturation...

Si tu doutes d'y parvenir, adresse le cas à un exclusif, il s'en régalera.


12