Cookie Consent byPrivacyPolicies.comQue faire? - Eugenol

Que faire?

Dsc 0022 zyz4bz - Eugenol
Fred

17/10/2008 à 16h14

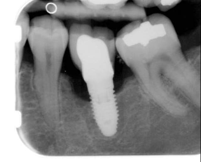
Vu une patiente sypa qui vient d'emmenager dans le coin et qui a perdu une couronne sur implant. L'implant posé il y a six moix, Mise charge 2 mois après, et je vois ça à la radio, plus une gencive assez inflammatoire. Je lui annonce le plus délicatement possible (pas facile) qu'il y a peut-être un petit souci, mais que seule sa CD qui a posé l'implant peut comparer avec l'origine, et que je vais donc lui envoyer les radios par mail. Qu'en pensez-vous? Je ne sais pas quoi faire ni quoi dire au confrère pour ne pas être indélicat. La patiente a priori sympa et pas revendicative du tout commençait à paniquer, je l'ai rassuré en lui disant qu'il fallait l'avis de celle qui avait posé pour voir s'il y avait une évolution ou pas, mais je suis assez gêné!!

Z if5w7g - Eugenol

Photo pluton1b h9n4ea - Eugenol
pluton

17/10/2008 à 16h23

Hummm!!!, çà sent la péri-implantite...
en effet il y a problème...et puis mise en charge à 2 mois...encore un(e) qui a écouté les commerciaux et pas révisé la physiologie osseuse...3 mois, une cicat osseuse complète...pas 2...et en dehors de toute complication de cicat...
là, à mon avis c'est mal barré...y a de la dépose dans l'air...


Dsc 0022 zyz4bz - Eugenol
Fred

17/10/2008 à 16h49

Il me semble aussi, mais bon comme la patient a un peu paniqué elle a appelé sa cd qui lui a dit que "l'implant était posé jusqu'à la surface microclavetée et qu'il ne devait pas y avoir de pb"
Bref..
Délicat


Photo pluton1b h9n4ea - Eugenol
pluton

17/10/2008 à 17h01

dis lui qu'il faut surveiller çà de près...rx tous les 3 à 6 mois pour suivre l'évolution...bonne maintenance (jet dentaire, bains de bouche associés...)et tu verras plus tard...si évolution négative...ré-adresse la à son ancienne CD...


Dent masqu e petite f0pbaj - Eugenol
dudule

17/10/2008 à 18h28

Ne serait ce pas un Nobel Replace tapered ?
Je ne serais pas surpris outre mesure.


Photo pluton1b h9n4ea - Eugenol
pluton

17/10/2008 à 18h47

c'est aussi ce que je me suis dit...en tout cas çà y ressemble...


Dsc 0022 zyz4bz - Eugenol
Fred

17/10/2008 à 20h28

je ne sais pas ce que c'est


Blason dql7mj - Eugenol
growler

17/10/2008 à 20h38

çà ressemble aussi à de l'anthogyr.

mais pour le moment, peu importe la marque.


Images qct94b - Eugenol
themumbly

17/10/2008 à 20h49

on pourra bientot dire c'était


Photo pluton1b h9n4ea - Eugenol
pluton

17/10/2008 à 20h57

oui, c'est bien malheureux...mais je pense aussi que çà va pas aller en s'améliorant...


Logo vuaztn - Eugenol
mac

17/10/2008 à 22h47

pluton Ecrivait:
-------------------------------------------------------

> en effet il y a problème...et puis mise en charge
> à 2 mois...



et c'est quoi le problème?


Blason dql7mj - Eugenol
growler

17/10/2008 à 22h58

çà vaudrait le coup de démonter la couronne et de tenter une ROG.


Dsc 0022 zyz4bz - Eugenol
Fred

17/10/2008 à 23h01

D'accord avec toi mais quand ça a été posé il y a 6 mois par quelqu'un d'autre qui à priori a l'air de dire que tout va bien, c'est délicat !!!
j'ai envoyé un mail très confraternel j'attends la réponse, on verra.
Difficile de laisser la patiente comme ça, difficile de lui dire de refaire 800 bornes pour aller voir cele qui a posé .
Bref very délicat tout ça


Grueavatar nptrc9 - Eugenol
Le Choixpeau magique

17/10/2008 à 23h04

Question d'ignare total en implanto : quel rapport entre une péri-implantite et une mise en charge trop rapide ? Est-ce que la péri-implantite ne pourrait pas être plutôt dûe à un problème d'occlusion (qu'on pourrait soupçonner suite à la perte de la couronne)?


Logo vuaztn - Eugenol
mac

17/10/2008 à 23h11

Le Choixpeau magique Ecrivait:
-------------------------------------------------------
> Question d'ignare total en implanto : quel rapport
> entre une péri-implantite et une mise en charge
> trop rapide ? Est-ce que la péri-implantite ne
> pourrait pas être plutôt dûe à un problème
> d'occlusion (qu'on pourrait soupçonner suite à la
> perte de la couronne)?


réponse d'ignare : est ce une péri-implantite?


Grueavatar nptrc9 - Eugenol
Le Choixpeau magique

17/10/2008 à 23h19

mac Ecrivait:
-------------------------------------------------------

> réponse d'ignare : est ce une péri-implantite?

Ne fais pas ton modeste !

Dans le bouquin de Davarpanah, 2ème édition, page 48, les clichés de péri-implantite ressemblent bien à celui-là.


Logo vuaztn - Eugenol
mac

17/10/2008 à 23h23

ça pourrait être aussi une cratérisation due à des forces trop importantes au niveau du col de l'implant lors de la mise en place de celui ci dans un os dense.

si t'as lu ce bouquin t'es pas un ignare non plus;)


Dent masqu e petite f0pbaj - Eugenol
dudule

18/10/2008 à 00h29

C'est bien pour ça que je m'attardais sur le modèle de l'implant car je pense qu'il pourrait s'agir d'une cratérisation dûe à des compressions excessives lors de la pose... fréquent avec un tapered aussi conique.
Je disais ça car si le diagnostic est différent bien évidemment le ttt aussi.


Photo pluton1b h9n4ea - Eugenol
pluton

18/10/2008 à 00h34

mac Ecrivait:
-------------------------------------------------------
> ça pourrait être aussi une cratérisation due à des
> forces trop importantes au niveau du col de
> l'implant lors de la mise en place de celui ci
> dans un os dense.
>
> si t'as lu ce bouquin t'es pas un ignare non
> plus;)


oui çà peut être çà aussi...sur du Nobel..(jamais vu ce cas sur du Zimmer)...mais çà change rien au problème de cet implant...pour moi, y va pas très bien...et la mise en charge précoce n'a sûrement pas arrangé les choses...


Avatar ow44t3 - Eugenol
Chicot

18/10/2008 à 01h14

si l'implant a été posé avec le col non enfui, y'a une perte d'une à deux spires... et alors ??? Elle a peut-être eu lieu au cours des 6 première semaines. A partir de 1,5 mm on parle d'échec; pas avant. Comme on sait pas comment c'était à la pose......

c'est pas sur une radio que l'on fait un diagnostic les enfants !!!

Je suis d'ac qu'il faut suivre

Je pense aussi que c'est un Tapered Nobel

mais on sait pas comment c'était avant, au moment de la pose et au moment de la mise en charge.

alors facile de lancer: péi-mplantite; mal barré.......

Un peu de recul clinique please.

Si la gencive est moche: ultrason avec embout en "peak" sous irrigation de bétadine+H2O2; un peu d'élugel pdt 1 à 2 semaines et réévaluation.

Au sondage ça donne quoi ? (s'il a été fait...)


Dsc 0022 zyz4bz - Eugenol
Fred

18/10/2008 à 02h14

D'abord la gencive est moche et inflammatoire, ensuite j'ai demandé à la consoeur si elle voulait bien m'adresser la radio de départ, on pourrait comparer ce serait intéressant.
Reste le problème de se lancer ou pas, si problème, il y a, dans un traitement sur un implant posé par quelqu'un d'autre il y a 6 mois...


Logo vuaztn - Eugenol
mac

18/10/2008 à 20h41

pluton Ecrivait:
---------------------------------------------------.et la mise en charge précoce n'a sûrement
> pas arrangé les choses...


sur quoi tu te bases pour dire ça?

as tu des études qui montrent des taux de succès inférieurs à la mandibule pour des implants à surface rugueuse dans les cas de mise en charge précoces?


Photo pluton1b h9n4ea - Eugenol
pluton

19/10/2008 à 01h55

mac Ecrivait:
-------------------------------------------------------
> pluton Ecrivait:
> --------------------------------------------------
> -.et la mise en charge précoce n'a sûrement
> > pas arrangé les choses...
>
>
> sur quoi tu te bases pour dire ça?

sur la PHYSIOLOGIE........

>
> as tu des études qui montrent des taux de succès
> inférieurs à la mandibule pour des implants à
> surface rugueuse dans les cas de mise en charge
> précoces?

tu trouveras toujours des études qui te diront: "va y coco tu peux encore y aller un peu plus tôt"
pour gagner quoi???le risque de tout perdre???
alors moi, non merci...je respecte les lois de la physiologie qui me disent que l'os cicatrise en 3 mois mini...(100 jours pour être plus précis encore)...


Grueavatar nptrc9 - Eugenol
Le Choixpeau magique

19/10/2008 à 02h01

pluton Ecrivait:
-------------------------------------------------------
> je respecte les lois de la
> physiologie qui me disent que l'os cicatrise en 3
> mois mini...(100 jours pour être plus précis
> encore)...

Où peut-on trouver ces lois ? Sur le mont Sinaï ?


Logo vuaztn - Eugenol
mac

19/10/2008 à 10h03

t'as raison pluton les études ça sert à rien, t'es le plus fort.