Cookie Consent byPrivacyPolicies.comQue faire? - Eugenol

Que faire?

Blason dql7mj - Eugenol
growler

30/10/2008 à 08h12

tu postes à 4H00 du mat Fred....manifestement çà te stresse cette histoire:)

moi je lui dirais: que son praticien de Nice veut bien faire quelque chose si elle va à Nice

que dans le cas où elle ne veuille pas aller à Nice que tu veux bien tenter le traitement classique de la péri-implantite (protocole de Péach par exemple avec curetage minutieux du tissu de granulation, détoxification de la surface titane, parocline) mais que çà coûte xxx € et que le taux de succès à 100 % n'est pas garantie. Mais surtout j'éviterais ABSOLUMENT de me faire régler par la Consoeur de Nice.

la patiente prend ou pas ta proposition ./



http://minilien.fr/a0j67d

http://ajouimplant.blogspot.com/2008/06/peri-implantitis-treatment-for-ha.html




Photo pluton1b h9n4ea - Eugenol
pluton

30/10/2008 à 08h48

+1, fred...propose ton traitement...si elle veut pas payer...dit lui de retourner voir ta consoeur à nice...si elle veut pas non plus, basta...conduit là gentiment vers la sortie...cette patiente de fera chier et çà sera tout de ta faute...


S8ysxdzhdqgw00w4q6m07a5d47q2 - Eugenol
gai-luron

30/10/2008 à 10h30

+1 aussi

à lire la lettre du collège odontologie et droit, d'octobre, avec un dossier sur le patient qui change de praticien.

Si tu touches au truc, ça va être à toi de supporter les problèmes....


Dsc 0022 zyz4bz - Eugenol
Fred

30/10/2008 à 14h53

gai-luron écrivait:
-------------------
> +1 aussi
>
> à lire la lettre du collège odontologie et droit, d'octobre, avec un dossier sur
> le patient qui change de praticien.
>
> Si tu touches au truc, ça va être à toi de supporter les problèmes....


Tout à fait d'accord, et la réaction de la consoeur ne me plaît pas du tout.
Je vais dire à la patiente qu'un petit week end à Nice c'est sympa!!!!!!!


Dsc 0022 zyz4bz - Eugenol
Fred

30/10/2008 à 14h58

Pour Growler.
T'es vraiment une mine d'infos dans tous les domaines.
Un régal.

Merci encore
>
>
>
> http://minilien.fr/a0j67d
>
> http://ajouimplant.blogspot.com/2008/06/peri-implantitis-treatment-for-ha.html
>
>
>


alhoun

30/10/2008 à 15h26

en fait, Fred, l'avantage immense que tu as, c'est que tu n'y es pour rien dans cette histoire, arrête donc de stresser.
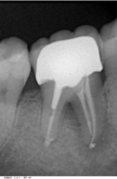
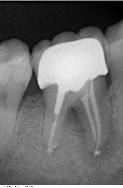
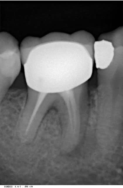
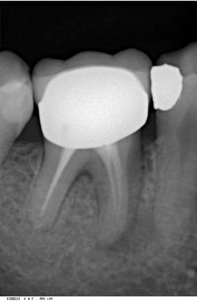
pour la consoeur de Nice, envoie lui donc les photos que je te mets en pièce jointe, elle aura une idée du niveau osseux à un an autour d'un implant.
se refus d'assumer son travail, même si elle n'a pas commis à priori de faute manifeste me laisse songeur.


désolé, je n'arrive pas à mettre des pièces jointes :(


Logo vuaztn - Eugenol
mac

30/10/2008 à 15h34

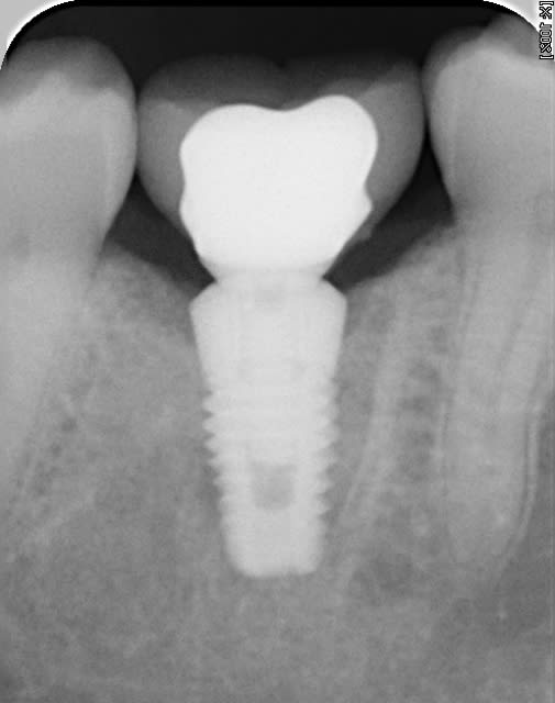
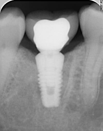
bon les pièces jointes d'alhoun.

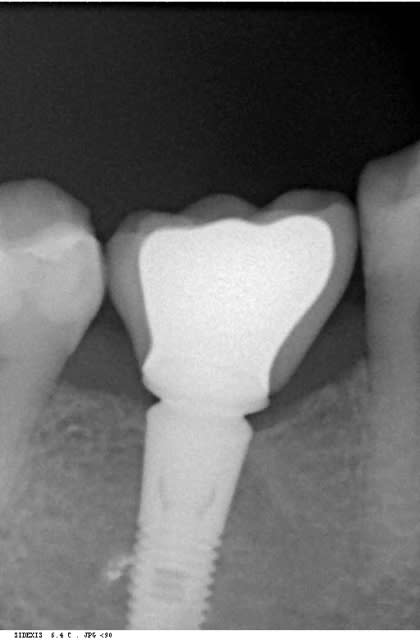
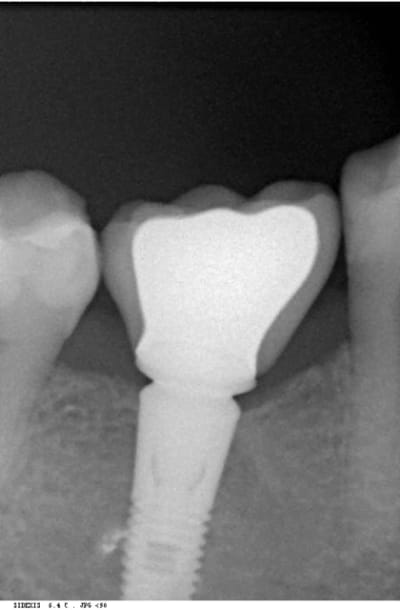
décidément aussi nul en endo qu'en internet, et ton implant il est de traviole;)

Trev4 oye2tl - Eugenol
Trev5 lavbuq - Eugenol
Trev1 rgpu7x - Eugenol
Trev2 c5sddm - Eugenol
Trev3 wgcbda - Eugenol

Blason dql7mj - Eugenol
growler

30/10/2008 à 16h07

dans la même philosophie de connectique

Easyimplant mjxotp - Eugenol
Rvg easy briwxo - Eugenol

alhoun

30/10/2008 à 16h28

bin oui mon growly....


Grueavatar nptrc9 - Eugenol
Le Choixpeau magique

30/10/2008 à 16h38

C'est facile de ne pas perdre de spires quand on n'en a pas....

Après cette blague désopilante, je t'invite, Alhoun, à aller donner ton avis dans mon super topic:
http://www.eugenol.com/sujets/382769-criteres-pour-differer-une-reconstitution-prothetique-apres-endo-sur-loe

parcequ'il me semble bien que tu fais partie des méchants qui posent la couronne d'emblée sans même attendre la cicatrisation...


Logo vuaztn - Eugenol
mac

30/10/2008 à 17h14

Le Choixpeau magique écrivait:
------------------------------
> C'est facile de ne pas perdre de spires quand on n'en a pas....
>
>


au contraire y en a plein.


Grueavatar nptrc9 - Eugenol
Le Choixpeau magique

30/10/2008 à 18h22

Ok j'ai compris. Par contre, sur la radio l'implant a l'air d'être conique sur toute sa hauteur, c'est une illusion d'optique où il est vraiment comme ça, je ne le vois pas sur le site d'Astra ?


Logo vuaztn - Eugenol
mac

30/10/2008 à 18h30

tu parles de celui de growler?

c'est normal c'est pas un astra, c'est un easy implant, mais il est pas conique tout le long il me semble.


Blason dql7mj - Eugenol
growler

30/10/2008 à 21h00

çà doit être une déformation du cliché, regardes bien le premier cliché avec le pilier de cicatisation: on voit bien la partie cylindrique puis l'évasement.

Easy master l gmp7su - Eugenol

tarek bahsoun

30/10/2008 à 22h31

j'ai essayé d'analyser ton cas,de lire les differents post,il peut y avoir plusieurs possibilites concernant l'origine de la craterisation,mais vu ce que t'a répondu la consoeur,si j'étais à ta place,si veux dormir tranquille les jours et les mois à venir,une seule solution DELEGUE,et retire toi du jeu,ça sent les embrouille


Manolito wom2of - Eugenol
manolito

30/10/2008 à 22h43

c'est vrai fred, c'est quand on veut être trop gentil qu'on se fait avoir. En plus là ça sert à rien, elle est nouvelle dans la region, elle t'enverra pas de nouveaux patients.


Dsc 0022 zyz4bz - Eugenol
Fred

31/10/2008 à 00h28

manolito écrivait:
------------------
> c'est vrai fred, c'est quand on veut être trop gentil qu'on se fait avoir. En
> plus là ça sert à rien, elle est nouvelle dans la region, elle t'enverra pas de
> nouveaux patients.


En fait c'est la copine d'un type qui était commerçant ici qui est parti à Nice et revenu avec elle, qui est très sympa et qui connaît plein de monde.
Mais raison de plus pour ne pas chercher des emmerdements.
J'appelle demain la patiente, et j'envoie un mail à la consoeur, si je l'appelle, je me connais je risque un peu de m'énerver....
Un problème ça arrive à tout le monde, mais dire 6 mois après qu'on ne va pas assumer la garantie de son implant dans les mois qui viennent !!!J'ai du mal.....


Digit

01/11/2008 à 12h19

Fred,

J'ai déjà reçu quelques patients externes à mon cabinet qui présentaient des cas bien plus limites que le tien. Je peux t'assurer que la meilleure chose (médico-légale) que tu puisses faire est ni plus ni moins de conseiller au patient de revoir son praticien (le dernier a dû faire un aller-retour supplémentaire à Barcelones (j'exerce dans l'ouest) et je crois vu les nouvelles radios que j'ai prises qu'il va y retourner...).
Si ta patiente ne veut pas, ne touche à rien. Elle doit aussi en assumer les conséquences. Je demande à revoir mes patients tous les 6 mois pendant 2 ans pour faire un contrôle radio. Quels sont les conseils que lui a donné par écrit son praticien ?

Tu n'as rien à gagner et tout à perdre. D'autant plus que dans ce cas, je conseillerais plutôt de continuer à observer. Je ne suis pas persuadé, connaissant le type d'implant, qu'une désinfection quelconque changera les choses. A moins d'avoir une poche autour de l'implant, les choses peuvent se stabiliser de manière durable.
En revanche, si tu réalises le traitement et que les choses s'aggravent, on pourra te le reprocher.

Bref, comme disait un de mes profs, tu ne perdras pas qu'une patiente, tu perdras surtout les ennuis qui vont avec. Et ça vaut mieux que 300 euros !

Digit.


P.S. : tu devrais dormir un peu plus. :)


Dsc 0022 zyz4bz - Eugenol
Fred

02/11/2008 à 15h46

Tu as tout à fait raison, je me débarrasse du bébé

Merci