Cookie Consent byPrivacyPolicies.com10 jours après Marseille, que c'est dur! - Eugenol

10 jours après Marseille, que c'est dur!

Zoe   son arriv e whwqpj - Eugenol
emma

04/02/2009 à 23h11

Eh oui, cela fait déjà 10 jours que nous avons repris le boulot après les journées ENDO de Marseille.

Est ce un fait exprès? Mais depuis mon retour, presque toute ma pratique tourne autour des reprises ENDO, et là, il faut que j'avoue toute l'admiration que j'ai pour les endodontistes exclusifs, c'est tout bonnement éreintant cette discipline, surtout lorsqu'on tombe sur des os!

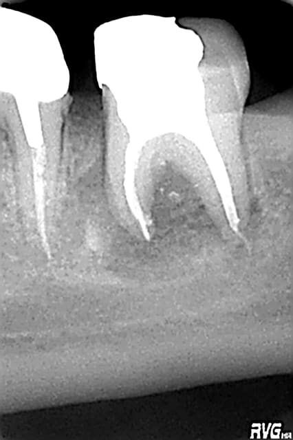
Est-ce un fruit du hasard, mais les interventions que j'ai négociées représentent pratiquement tous les cas de figure qu'a traité Stéphane:

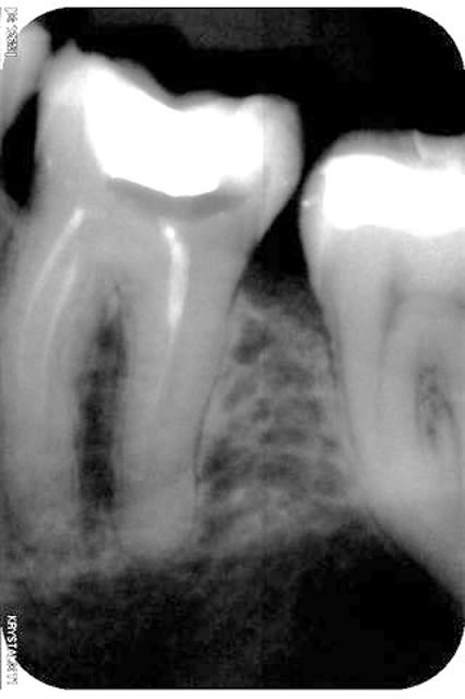
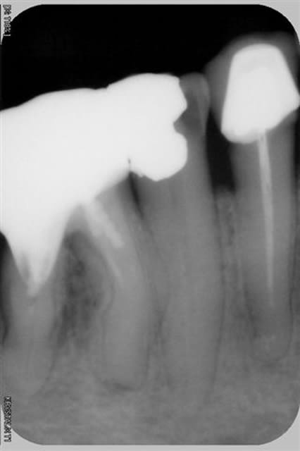
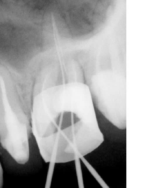
- fausse route bouchée au MTA

-instrument fracturé impossible à retirer, je suis passée à côté et je l'ai noyé dans la gutta chaude.

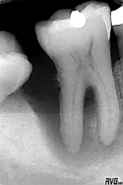
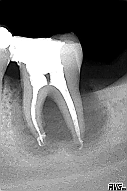
Et tout de même quelques racines domptées sans trop de difficultés!

Reprise avant instrument fractur  lwjzpw - Eugenol
Lime 15 noy e dans gutta qvvcdp - Eugenol
La plus facile  hjwzzb - Eugenol
Reprise avec perforation qfn4u0 - Eugenol
Il reste une racine   n gocier yiegon - Eugenol
La plus facile avant traitement po1rgb - Eugenol
Avant traitement fy3iwf - Eugenol
030 1  wohwy3 - Eugenol

Stéphane

05/02/2009 à 00h25

Bravo Emma,
Le retraitement est probablement la chose la plus ingrate que je connaisse.

Meme si c'est épuisant, il procure egalement une grnde satisfaction qund on parvient a aller au bout. Le plus dur, c'est parfois le manque de reconnaissance du patient, qui n'a rien compris, et la seule chose qu'il remarque c'est que le praticien en a bavé....


Photo pluton1b h9n4ea - Eugenol
pluton

05/02/2009 à 01h02

c'est vrai...le retraitement est ingrat...mais il apporte aussi son lot de satisfaction...surtout quand on peut dire au patient pourquoi il a mal à sa dent dévitalisée...alors que le précédent praticien (qui réalisé le traitement initial)à tout simplement "oublié" le MV2 de sa molaire sup...
cela dit...je ne lui jette pas la pierre (je dis au patient que le produit de traitement c'est désagrégé...)...moi aussi, j'en ai raté...mais il est vrai qu'aujourd'hui avec mon microscope, passer à côté est difficile...même si je maîtrise pas encore la bête (je l'ai depuis 8 jours)...alors qu'avec les loupes...je l'avais pas une fois sur deux...


carototo

05/02/2009 à 12h06

tu as quoi comme micro??


poilde

05/02/2009 à 16h26

pluton écrivait:
je ne lui jette pas la pierre (je dis au patient que le produit de
> traitement c'est désagrégé...)..

Merci car c'est rare entre "confrères".


Mosquitogif zt3c7k - Eugenol
mosquito

05/02/2009 à 18h09

carototo écrivait:
------------------
> tu as quoi comme micro??
__________________________________
on veut les photos du tien dans un autre topic!!!


Ylfwcw979cz1jnx9gfqeaxndiuzk - Eugenol
Algi

05/02/2009 à 19h53

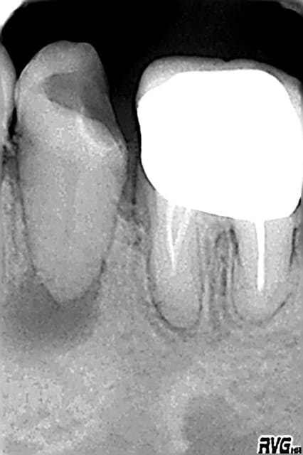
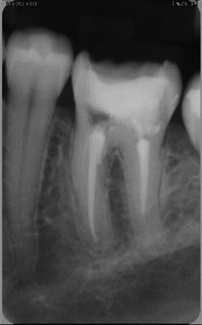
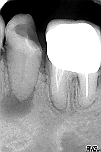
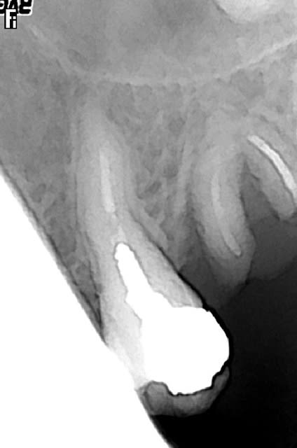
Curieusement je n'ai eu que 3 endos depuis, reprises sur 2 centrales et 1 reprise sur une 26.... 1 a été obturée et les 2 autres sont en cours (durailles les sagouines).

ps: steph comment tu géres la digue et la bague de cuivre.... j'ai dechiré 3 feuilles avant d'abandonner pour la molaire et donc j'ai partiellement desobturé cette fichue 26 mais pas "comme il le faudrait", et j'ai recommandé des boites de digue pasque du coup j'ai épuisé le stock.

ps j'ai bien localisé un mv2 "oublié" par mon predecesseur mais macache pour le cateteriser; comme il semble en continuité anatomique avec le mv1 (y'a comme une fissure qui joint les 2 entrées) j'espere qu'ils fusionnent plus haut car si lors de la prochaine seance je passe pas faudra essayer de noyer tout ça avec l'obturation du mv1.

--
"On a toujours le choix! Mais entre quoi et quoi?
Vas-y boulégue et l'avenir te le dira!"

Endo jrpsvn - Eugenol

Img 1527 l6cp3r - Eugenol
djer

06/02/2009 à 08h44

avec le recul des scanner pré implantaire de patients chez qui j'ais traiter les mv2 consciencieument, j'ais l'impresion (comme disent stéphane et willy)que le mv1 et le mv2 forment regulierement un meandre complexe qui fusionne en 1 apex assez regulierment.
mais un dizaine de cas, ce n'est qu'une impresssion clinique.


Willy Pertot

06/02/2009 à 10h51

Puisqu'on en parle : dans le dernier Inter Endod J
Somma et al. Root canal morphology of the mesio buccal root of maxillary 1rst molars : a micor-computed tomographic analysis.
1- Le MV2 est présent dans 80% des cas.
2- Le MV2 est indépendant dans 42% des cas et fusionne avec le MV1 dans 58% des cas.
3- Des communications entre les 2 canaux ont été retrouvés dans tous les cas (dont 71% d'isthmes)
4- Une seul foramen : 37% des cas seulement / 2 foramina : 23% des cas / 3 ou plus foramina séparés : 40% des cas...

a noter que dans cette étude le nombre de specimens est relativement faible : 30 molaires seulement.


Stéphane

06/02/2009 à 11h46

Algi

La bague de cuivre ne sert en fait que de matrice a ton materiau de reconstitution.

Sur la radio que tu montres, il me semble que c'est vide a l'interieur.

Une fois que tu a fais ta reconstitution il suffit de chanfreiner les bords occlusaux du moignon afind d'eviter qu';il ne soit coupants et ne dechirent la digue quand elle passe.

Autre astuce, bien libérer les points de contact avec les dents adjacentes pour laisser paser lel champ operatoire.

C'est deja un bon point d'essayer ;-)


lelillois

06/02/2009 à 12h22

et de temps en temps, on se fait bien plaisir aussi!
vive tes bouquins Stéphane, avant je n'aimais pas ça et maintenant je me régale!

Screenshot010 ddjbp3 - Eugenol
Screenshot009 klsuiq - Eugenol

Zoe   son arriv e whwqpj - Eugenol
emma

06/02/2009 à 14h02

pour la digue, sur des dents très délabrées, je ne mets jamais de bague par simple flemme, je reconstruis les parois de la dent avec du tetric flow, je trouve ça beaucoup plus rapide, mais ce n'est qu'une impression toute personnelle.

--
Emma


Stéphane

06/02/2009 à 15h01

lelillois écrivait:
-------------------
> et de temps en temps, on se fait bien plaisir aussi!
> vive tes bouquins Stéphane, avant je n'aimais pas ça et maintenant je me régale!

Ca me fait vraiment plaisir plaisir...

Le numero 2 du memento, avec anesthesie, retraitement et chirurgie endodontique sort le 2 mars a priori. C'est probablement celui que je prefere de tous... puet etre aussi parce que c'est le dernier ;-)


Image odged8 - Eugenol
ploc

06/02/2009 à 19h22

chacun son truc:j'ai joué quant à moi l'autruche et evité soigneusement les endos jusqu'à aujourd'hui pr croire encore un peu que j'avais progressé

mais qd faut y aller,faut y aller et perdu pr perdu...
une 46:le pronostic?

35:decouverte fortuite sous un si joli inlay or que je l'ai rescellé(adieu CCC...)
et un puff:sniff!(j'essaye pourtant,stephane,j'essaye de les supprimer)

46 b7qtwt - Eugenol
46  2 dkntgl - Eugenol
35 2 uqan5v - Eugenol
35 s2xd9o - Eugenol

200106 10150128247663588 709988587 6466236 5598391 n d7mksb - Eugenol
hallboy

06/02/2009 à 19h47

Je viens d'essayer les endoring.

Tres pratique


Kon nx3ojp - Eugenol
TuBerculosis

06/02/2009 à 19h53

ploc écrivait:
--------------

> et un puff:sniff!(j'essaye pourtant,stephane,j'essaye de les supprimer)

C'est pas bien les puff ??


Stéphane

06/02/2009 à 19h57

TuBerculosis écrivait:
----------------------
>
> C'est pas bien les puff ??

Si, mais elle fait un blocage ;-)

Le passage de ciment dans le periapex est une preuve du maintient de la permeanilite apicale et donc la desinfection a pu se faire.

Effectivementm, la 46, pas sur qu'e;;e est le temps de cicatriser. Mais, l'echec sera d'origine paro non endodontique.

un excellent exemple de lesion endo paro. Traitement paro prevu ?


Img 8465 fqhxid - Eugenol
noahaxeltiger-olivier

06/02/2009 à 20h02

Juste par simple curiosité ploc : tu as pris des honoraires pour le ttt endo de la 46 ?


Image odged8 - Eugenol
ploc

06/02/2009 à 20h11

Stéphane écrivait:>
>
> Si, mais elle fait un blocage ;-)>
> Le passage de ciment dans le periapex est une preuve du maintien de la> permeabilite apicale et donc la desinfection a pu se faire.

je n'aime pas mes puffs mais comme je passe soigneusement une lime 10 au delà de l'apex pr verifier au'il y a tjours une permeabilité,j'ai le plus souvent un puff
c'est ce que l'on appelle la contradiction feminine...
>
> Effectivementm, la 46, pas sur qu'elle ait le temps de cicatriser. Mais, l'echec> sera d'origine paro non endodontique.>
> un excellent exemple de lesion endo paro. Traitement paro prevu ?

oui mais lequel?
la technique de kayes commencée me parait insuffisante
lambeau,curetage et surfaçage?
memebrane? là je passe la main


Image odged8 - Eugenol
ploc

06/02/2009 à 20h36

noahaxeltiger-olivier écrivait:
-------------------------------
> Juste par simple curiosité ploc : tu as pris des honoraires pour le ttt endo de
> la 46 ?

oui,cela te choque?
prix SS
patient prevenu qui a choisi de tenter au lieu de passer direct en implanto
donne moi plutôt un conseil de choix paro


200106 10150128247663588 709988587 6466236 5598391 n d7mksb - Eugenol
hallboy

06/02/2009 à 20h42

c'est pas un Pb endo qui a fait fiche le camp a l'os. Itiz ze ozer way round, non?

La dent est mobile?
Pas de pb occlusal en +?


Stéphane

06/02/2009 à 20h54

Probleme endo paro ; dans ce cas, le probleme endo doit etre traite en premier.
Le traitement paro en second.

Et je ne vois pas pourquoi elle ne devrait pas prendre d'honoraire. Bizarre comme question ! Ils travaillent gratos dans le Nord ?


Img 8465 fqhxid - Eugenol
noahaxeltiger-olivier

06/02/2009 à 21h57

Stéphane écrivait:
------------------
> Probleme endo paro ; dans ce cas, le probleme endo doit etre traite en premier.
> Le traitement paro en second.

Tout à fait d'accord avec toi Stephane. Mais tu parles du traitement de lésion endo paro en général.

> Et je ne vois pas pourquoi elle ne devrait pas prendre d'honoraire. Bizarre
> comme question ! Ils travaillent gratos dans le Nord ?

Non loin de là. Avant de commencer tout traitement j'ai juste l'habitude de poser un diagnostic et un pronostic. Je trouve dans ce cas qu'il est abérrant de faire croire au patient que la dent peut être traitée avec un bon pronostic. Dans un cas pareil, même si le patient insiste, je me refuse de conserver la dent. L'expérience clinique c'est toi qui l'a, pas le patient !! Il faut arrêter de réver !!
Les pbs endo-paro sont des lésions parfaitement traitables mais dans le cas présent il aurait fallu se réveiller plus tôt !!

Pour moi le traitement approprié est l'extraction.
Mais je n'ai rien à dire au sujet de l'endo, beau boulot.


Wolford hm5yx3 - Eugenol
Doc lyonnaise

06/02/2009 à 22h41

noahaxeltiger-olivier écrivait:
-------------------------------

>
> Pour moi le traitement approprié est l'extraction.
> Mais je n'ai rien à dire au sujet de l'endo, beau boulot.

idem for me...
mais ploc...là, c'était juste pour t'entrainer à ne pas faire de Puff non? ;-)


Image odged8 - Eugenol
ploc

06/02/2009 à 23h03

Doc lyonnaise écrivait:
>
> mais ploc...là, c'était juste pour t'entrainer à ne pas faire de Puff non? ;-)

ah c'est beau la solidarité feminine:)

Noa:un cas où je n'ai mme pas fait de paro(et j'aurais dû et je vais la rappeler d'ailleurs)
pr le moment elle a gagné 3 ans,et un silence clinique
ce n'est pas parfait mais en 2005 la solution implantaire était inenvisageable financièrement et ttes les dents sont presentes sur l'arcade ...
une PBM une dent?
ou la 27 laissée sans antagoniste?
c'est vraiment mieux?

une radio en trop qui ne concerne pas ce cas mais comme déjà dit par je ne sais qui, impossible de l'effacer

35 ydihq5 - Eugenol
37 janv 2005 enlkq8 - Eugenol
R2 fev2008 dgvymt - Eugenol

12...