Cookie Consent byPrivacyPolicies.com10 jours après Marseille, que c'est dur! - Eugenol

10 jours après Marseille, que c'est dur!

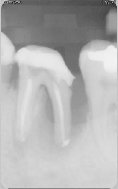
Images eb1m5g - Eugenol
tonio

07/02/2009 à 00h30

très belles endos ploc!

Pour la lésion endo paro sur la 46, j'aurai certainement extrait d'emblée.
Comme tu as fait un super boulot en endo, autant faire le max en paro maintenant. Il conviendrait de saquer la 48 mésioversée et lors de cette chir décoller un peu en antérieur, surfacer la racine distale et la zone inter radiculaire de la 46. Pas de matériau de comblement car il n'y a plus de paroi osseuse pour le soutenir.

Je reste tout de même pessimiste pour cette dent étant donné qu'il semble y avoir du tartre sur toute la hauteur de la racine distale. Quelle est la possibilité de réattache dans ce cas??? noah?


Photo pluton1b h9n4ea - Eugenol
pluton

07/02/2009 à 00h55

carototo écrivait:
------------------
> tu as quoi comme micro??

désolé de ne pas avoir répondu plus tôt...je reviens juste de 2 jours de formation, et parti sans le PC portable...
j'ai choisi un microscope KAPS...le modèle de base (SOM62 si ma mémoire est bonne) avec grossissement par paliers sur pied à roulettes (pour pouvoir le déplacer) mais par contre avec l'option binoculaires orientables sur 180° (ou 210°...j'ai un doute)
une config basique...mais que je pense bien suffisante pour un omnipraticien comme moi...et les tarifs sont assez raisonnables (comparé à Zeiss...on est pas loin d'être deux fois moins cher)
certes, l'optique est moins lumineuse qu'un Zeiss ou un Leica...mais cette caractéristique n'a pas que des inconvénients...on gagne en profondeur de champs (profondeur de netteté pour ceux qui ne connaissent pas les termes photo...) ce que l'on perd en luminosité...


Image odged8 - Eugenol
ploc

07/02/2009 à 02h04

tonio écrivait:
---------------
> très belles endos ploc!

merci venant de toi comme de stephane, je considère que c'est un vrai compliment(désolée malgré tes longues et patientes explications sur le gutta compactor il y a déjà un moment, les resultats étaient inégaux et j'ai abouti au thermafill,technique parfaitement adaptée à une blonde tardive en âge et en prise de conscience endo)
>
> Pour la lésion endo paro sur la 46, j'aurai certainement extrait d'emblée.
> Comme tu as fait un super boulot en endo, autant faire le max en paro> maintenant. Il conviendrait de saquer la 48 mésioversée et lors de cette chir> décoller un peu en antérieur, surfacer la racine distale et la zone inter
> radiculaire de la 46.

c'est exactement mon intention:)


Pas de matériau de comblement car il n'y a plus de paroi
> osseuse pour le soutenir.

tu crois? je comptais en mettre:en Mesial il reste la paroi osseuse
>
> Je reste tout de même pessimiste pour cette dent étant donné qu'il semble y> avoir du tartre sur toute la hauteur de la racine distale. Quelle est la> possibilité de réattache dans ce cas??? noah?

noah ? il est contre :)
cela dit je ne suis pas particulièrement optimiste:la dent n'est pas sauvée,elle sera je l'espère prolongée
combien de temps? that's the question


Img 8465 fqhxid - Eugenol
noahaxeltiger-olivier

07/02/2009 à 12h29

tonio écrivait:
---------------

> Quelle est la possibilité de réattache dans ce cas??? noah?

Je pense qu'il est bon de rappeler que tous nos actes endodontiques et parodontaux (pour ne citer qu'eux) sont basées sur des principes biologiques, qu'il est impossible de contourner.
La cicatrisation parodontale a largement été décrite et repose sur plusieurs impératifs cellulaires : présence de paroies osseuses, présence d'un ligt parodontal intact. Est ce des éléments présents dans le cas présenté .... non.
Tu peux toujours combler avec de la poudre de perlinpimpin, mais dépêches toi de faire une radio juste à la fin de ta chir, c'est le seul moment où tu auras le sentiment d'avoir régénéré de l'os !!

Il est tout aussi important de parler de pronostic que de parler de diagnostic. Et il y a des fois où l'extraction est la seule issue...

Mais encore une fois, c'est toi et le patient, personne d'autre.

A plus.


Stéphane

07/02/2009 à 15h27

pluton écrivait:
----------------
mais cette
> caractéristique n'a pas que des inconvénients...on gagne en profondeur de champs
> (profondeur de netteté pour ceux qui ne connaissent pas les termes photo...) ce
> que l'on perd en luminosité...

jene vois pas comment l'un peut compenser l'autre.

Dans ce cas, sur un Zeiss, il te suffit de baisser la luminosite avec le rhéostat...

Quant au prix, ils ont du faire un prix canon chez Kaps, parce que pour arriver a un microscope a 6000 euros (50% du prix du Pico), c'est effectivement une tres bonne affaire, felicitations.


Zoe   son arriv e whwqpj - Eugenol
emma

07/02/2009 à 17h55

celui de Pluton possède la rotule qui permet de pivoter à 180°, pour 12000€ le Zeiss ne l'a pas, il coûte 15000€ si on prend cette option, je sens que je vais craquer;)

--
Emma


Audi tt 2007 jzsdts - Eugenol
sbire

07/02/2009 à 18h11

ben je pensais que tu avais renoncé?


Photo pluton1b h9n4ea - Eugenol
pluton

07/02/2009 à 19h33

Stéphane écrivait:
------------------
> pluton écrivait:
> ----------------
> mais cette
> > caractéristique n'a pas que des inconvénients...on gagne en profondeur de
> champs
> > (profondeur de netteté pour ceux qui ne connaissent pas les termes photo...)
> ce
> > que l'on perd en luminosité...
>
> jene vois pas comment l'un peut compenser l'autre.
>
> Dans ce cas, sur un Zeiss, il te suffit de baisser la luminosite avec le
> rhéostat...
>
> Quant au prix, ils ont du faire un prix canon chez Kaps, parce que pour arriver
> a un microscope a 6000 euros (50% du prix du Pico), c'est effectivement une tres
> bonne affaire, felicitations.

la proposition zeiss équivalente sur le stand à l'ADF tournait autour des 24000€...et je l'ai eu à 13000€...en plus le Kaps est totalement modulaire...pas besoin d'un aller retour à l'usine si tu veux ajouter un module...par exemple la caméra vidéo...et les prix sont aussi beaucoup moins élevés (8000€ pour cet option vidéo chez zeiss, 5000€ chez kaps...)
pour ce qui est du rapport luminosité/profondeur de champs, c'est un rapport purement mathématique de formule optique...plus ton objectif est "diaphragmé", moins il est lumineux, mais plus sa profondeur de champ est importante


Stéphane

07/02/2009 à 20h44

pluton écrivait:
----------------
> la proposition zeiss équivalente sur le stand à l'ADF tournait autour des
> 24000€...et je l'ai eu à 13000€...en plus le Kaps est totalement modulaire...pas
> besoin d'un aller retour à l'usine si tu veux ajouter un module...

Mon microscope est fait de pieces modulaires ajoutées les unes apres les autres. Mon premier microscope achete en 1998, change pour un pico en 2001. J'ai récemment ajouté un nouveau diviseur optique pour brancher un boitier reflex dessus.

En 11 ans de travail sous microscope, je n'ai jamais rien renvoyé a l'usine. D'ou tiens tu cette information ???



par exemple la
> caméra vidéo...et les prix sont aussi beaucoup moins élevés (8000€ pour cet
> option vidéo chez zeiss, 5000€ chez kaps...)

8000 euros c'est pour une camera tri CCD miniaturisee. Si elle est a 5000 euros chez kaps, avec diviseur optique alors la, il faut le faire savoir.


> pour ce qui est du rapport luminosité/profondeur de champs, c'est un rapport
> purement mathématique de formule optique...plus ton objectif est "diaphragmé",
> moins il est lumineux, mais plus sa profondeur de champ est importante

La différence de luminosité d'un microscope a ce stade la ne vient pas du diaphragme de ton objectif, mais de la qulité de la fire optique et de la qualite de la source lumineuse. J'en ai fait les frais en achetant des ampoules de mauvaise qualite a puissance egale.

je ne remets pas du tout en cause ton achat proablement tres raisonné. Mais encore une fois ne pas se laisser berner par des revendeurs qui avant hier vendait du Zeiss, hier du Leica et aujourd'hui du Kaps.
Kaps a eu le merite d'etre le premier sur le marche francaais dans les annees 90 a l'epoque ou personne ne croyait a l'interet du microscope en dentaire. C'est la seule chose que je reconnais a cette marque.

Pour info, dans les laboratoires de recherche, tu ne trouveras jamais rien d'autre que Zeiss ou leica. je veux bien croire que les labos aient de l'argent a foutre par la fenetre, mais je crois probablement a d'autres arguments.

Mais le plus important, c'est que tu te fasses plaisir. et tu as eu raison de te lancer.


Stéphane

07/02/2009 à 20h47

emma écrivait:
--------------
> celui de Pluton possède la rotule qui permet de pivoter à 180°,

Quel interet de l'orienter a 180 degres ? tu veux travailler les pieds au mur ? ;-)


Logo vuaztn - Eugenol
mac

07/02/2009 à 21h24

Stéphane écrivait:
------------------

> Mon microscope est fait de pieces modulaires ajoutées les unes apres les autres.
> Mon premier microscope achete en 1998, change pour un pico en 2001. J'ai
> récemment ajouté un nouveau diviseur optique pour brancher un boitier reflex
> dessus.
>


pour info stephane ça coûte combien un diviseur optique, parce que j'aimerais bien changer ma camera pour une tri-CCD,mais vu le prix...

donc si le diviseur est pas trop cher, pourquoi pas filmer avec un reflex type canon 5D mkII,
ça coûterait moins cher et en plus t'aurais un super boitier.


Photo pluton1b h9n4ea - Eugenol
pluton

08/02/2009 à 01h12

Stéphane...l'intérêt des binoculaires orientables (certes 180°, c'est peut être un peu trop...mais bon, qui peut le plus peut le moins...) c'est pour le confort dans les réglages de ton microscope en fonction de la taille du patient...çà te permets de rester les pieds sur terre...si tu vois ce que je veux dire...la seule alternative...les binoculaires fixes...bof...

pour le rajout de la caméra...le commercial zeiss m'a affirmé qu'il fallait retourner le micro à l'usine...je pense pour tout les câblages et les interfaces numériques...rien à voir avec un diviseur optique pour mettre un reflex...pour la caméra kaps, je ne pourrais pas affirmer que c'est une tri ccd mais il me semble bien que oui...car leur autre option, c'est le diviseur optique avec bague d'adaptation soit de reflex numérique, soit de camescope numérique....donc...

la luminosité, pour moi, est assez secondaire...là tu n'as pas bien saisi mes critères...j'ai préféré la plus grande profondeur de champ du Kaps à la plus grande luminosité de l'optique du zeiss...ce n'est en aucun cas une bataille de sources lumineuses car là on entre encore dans un autre débat où il y aura les pro halogènes dont je fais partie (pour le prix, la lumière plus douce, etc...) et les pro xénon (pour la puissance, la lumière très blanche, etc...)

oui, je pense que mon choix est raisonné...je ne veux en aucun cas lancer un débat comparatif entre toutes ces marques, ce serait à mon avis comme comparer BMW, Mercedes, Audi et VW...y a toutes les gammes, pour tous les goûts à tous les prix...néanmoins, je pense que pour un microscope op d'entrée de gamme, Kaps est particulièrement bien placé, et que les options d'évolution sont bien plus abordables que chez les concurrents. c'est tout.

pour les microscopes de labo...pas sûr que Kaps en fasse...
en tout cas pour le plaisir...là je dis oui...je redécouvre certains actes...


Stéphane

08/02/2009 à 01h52

l'interet des binoculairesw orientables n'est en aucun cas a demontrer, puisqu'en 2001, c'est ce qui a conditionné mon choix de passer a un OPMI ou je n'avais pas cette option a un Pico qui la proposait.

Qund je te parle de luminosite, je ne suis pas du tout un pro Xenon et je travaille avec de l'halogene depuis 11 ans maintenant et je ne changerai probablement pas.

le manque de lumninosité te manqera cruellement dans les forts grossissements et surtout si unjour tu decides de passer a la video. Les diviseurs optiques suppriment de la luminosité.

Tu as peut etre raison pour le retour en atelir si tu veux installer une camera sur un pico, mais il s'agit alors de la camera interne qui n'a pas forcement un interet majeur par rapport a une cammera externe.
La mienne a toujours ete externe, et les caboles se passent tres bien dans les bras du micro. J'ai eu une configuration murale pendant des annees et vient de chnager pour une configuration en plafond. La camera Sony tri CCD a maintenant 7 ans, elle tourne toute la journée et les images que je parviens a obtenir me satisfont largement. par contre si tu veux faire de la pahoto digne de ce nom, rien de tel que le reflex fixe sur un second diviseur optique en bague C. les photos sont magnifiques. vpoir en piece jointe.

le probkeme ici n'est pas forcment celui des marques, mais plutot du distributeur. A l'epoque ou ce monsieur etait chez Zeiss, il m'a laisse un gout amer en me posant mon microscope au mur, Ca m'a coute un bras en maconnerie et en peinture. Et ca, je l'ai encore en travers.

Images resection dvkuzc - Eugenol

Stéphane

08/02/2009 à 01h58

mac écrivait:
-------------
>
> pour info stephane ça coûte combien un diviseur optique, parce que j'aimerais
> bien changer ma camera pour une tri-CCD,mais vu le prix...
>
> donc si le diviseur est pas trop cher, pourquoi pas filmer avec un reflex type
> canon 5D mkII,
> ça coûterait moins cher et en plus t'aurais un super boitier.
>
Un diviseur optique tourne autour de 1800 euros.

C'est effectivement une option de fixer une camera non professionnelle sur le microscope. Le probleme a mon avis est que ces appareils ne sont pas fait pour rester allumés toute la journée.

Soit tu veux l'utiliser pour filmer des interventions ponctuelles, et alors c'est interessant.
Soit tu veux l'utiliser pour optimiser ton travail a 4 mains et dans ce cas, tu fusilelras une camera tous les 6 mois, sans compter le probleme de l'alimentation et autres cables non prevus pour cela. Mais c'est tout a fait possible.

C'est interessant pour ceux qui veulent faire de la video HD. Pourquopi pas. Sincerement, je ne suis pas convaincu de l'interet de vouloir faire du HD avec ce type de configuration. Mieux vaut dans ce cas la investir dans une triCCD professionnelle et recuperer le signal umerique et le traiter correctement. les plus belles images que je connaisse actuellement sont celles de Jean Yves COchet qui travaille en numerique pur depuis 10 ans.

Le HD a un interet s'il est traite de la sorte jusqu'au bout, ie jusqu'au video projecteur et surtout projete sur un ecran approprie. Je ne pense pas que beaucoup de salles de conf aujourd'hui sont equipées de la sorte. (video projecteur peut etre, ecran, certainement pas)

mais ce n'est que mon avis... et j'ai parfois du mal a le partager !


Logo vuaztn - Eugenol
mac

08/02/2009 à 10h20

oui stephane ça serait pour faire des photos et filmer ponctuellement éventuellement.


Squash u44zd8 - Eugenol
steph

08/02/2009 à 12h15

Comment fais-tu pour que ça saigne aussi peu sur ton intervention?
Un produit miracle?
La seule anesthésie?


Photo pluton1b h9n4ea - Eugenol
pluton

08/02/2009 à 12h55

Stéphane écrivait:
------------------

> le manque de lumninosité te manqera cruellement dans les forts grossissements et
> surtout si unjour tu decides de passer a la video. Les diviseurs optiques
> suppriment de la luminosité.

d'accord avec toi sur ce point...les diviseurs suppriment de la lumière...mais bon pour le reste...tout n'est que subtilité...le kaps est "un peu moins lumineux...mais avec un peu plus de profondeur de champ"...actuellement, je travaille avec les forts grossissements environ à mi-puissance de la lampe halogène...je pense donc qu'il y a encore pas mal de marge...;-)


Stéphane

08/02/2009 à 15h33

steph écrivait:
---------------
> Comment fais-tu pour que ça saigne aussi peu sur ton intervention?
> Un produit miracle?
> La seule anesthésie?

Aucun produit. Je ne suis pas un adepte du sulfate ferrique. J'ai egalement essaye l'argile verte, mais trop dur de refaire saigner en fin d'interventin.

Je place des petits morceaux de compresses imprégnés de Rentensorb ( le produit des tampax) les unes sur les autres.

Une anesthesie sous periostée est effectivement nécessaire.


Squash u44zd8 - Eugenol
steph

08/02/2009 à 17h03

Des tampons.....quelle imagination.


Zoe   son arriv e whwqpj - Eugenol
emma

10/02/2009 à 02h28

ploc écrivait:
--------------
> Doc lyonnaise écrivait:
> >
> > mais ploc...là, c'était juste pour t'entrainer à ne pas faire de Puff non? ;-)
>
> ah c'est beau la solidarité feminine:)

qui parle de solidarité féminine???

t'as vu ploc, si j'suis pas une bonne copine?

j'ai fait tout comme toi, la dent en situation terminale au n° paro, l'endo tout bien comme il faut, même les puffs y sont, par contre j'ai fait la paro médicale et j'ai utilisé mon beau laser, j'ai solidarisé avec des couronnes temporaires la PM et la molaire.

maintenant wait and see, si c'est pas de l'amitié ça!!!

dis tu crois qu'on va faire avancer la science?

003 1  gggh3r - Eugenol
013 1  j02a6q - Eugenol
004 1  exh6yt - Eugenol

Image odged8 - Eugenol
ploc

10/02/2009 à 03h14

emma écrivait:>
>
> si c'est pas de l'amitié ça!!!

c'est!:)
du coup je te predis plein de champagne ou tipunch(plus couleur locale) pr Mai
>
> dis tu crois qu'on va faire avancer la science?

wait qqes mois and see,
mais cela ne plaira pas à noah:pas assez scientifique pr qq'un comme lui(surtout moi sans laser et paro medicale de suite),mais comme en ce qui me concerne je serais incapable de faire ce qu'il fait,j'essaye autre chose


vincent64

10/02/2009 à 13h01

Bonjours,
Stephanne, j'aimerai bien connaitre le reflex que tu utilise ainsi que tes reglages (vitesse, microscope *4 *6 *10?) la profondeur de champs de tes images et leurs luminosité me plonge dans une profonde depression ( j'ai un Zeis avec le nikon d80 et je pense que je dois pouvoir faire mieux...)
Mon eclairage est au xenon...

Le 23102008 012 jel2uo - Eugenol
Le 23102008 009 z2gekl - Eugenol
23.12 - Eugenol
23.12 - Eugenol

Img 8465 fqhxid - Eugenol
noahaxeltiger-olivier

10/02/2009 à 14h02

emma écrivait:
--------------
> j'ai fait tout comme toi, la dent en situation terminale au n° paro, l'endo tout
> bien comme il faut, même les puffs y sont, par contre j'ai fait la paro médicale
> et j'ai utilisé mon beau laser, j'ai solidarisé avec des couronnes temporaires
> la PM et la molaire.

A la différence de ploc, toi tu as de l'os interradiculaire et c'est une énorme différence. Si tu veux conserver la 36 tu as encore la possibilité de le faire si tu amputes la racine distale.

Mais là encore je dois avouer que j'ai du mal à suivre votre raisonnement et votre plan de traitement.
Quel est l'intérêt de conserver une dent avec un si mauvais pronostic si dans tous cas les dents adjacentes vont être couronnées ? Pourquoi ne pas faire un bridge d'emblée ? Ne croyez vous pas que la situation parodontale de la 36 peut influencer négativement le pronostic de la 37 ?

Et là ploc pas besoin d'article, ni de laser, juste du bon sens ;-)). Le plus difficile n'est pas de faire mais juste de savoir quand il y a indication de le faire. Ca ne rend service à personne de laisser de faux espoirs aux patients, aussi bien d'un point de vu économique mais aussi par rapport à la confiance qu'a le patient vis à vis du dentiste traitant.
Un autre point important à mon sens : on a pas besoin de savoir tout faire en dentisterie mais par contre on a l'impératif de demander de l'aide et d'adresser ses patients quand on sens que l'on ne pourra pas les aider comme il se doit. Personnellement je suis incapable de faire les traitements endodontiques que vous faites et c'est la raison pour laquelle j'adresse mes patients à des gens compétents en endo quand il le faut.

Amicalement.
Olivier.


Image odged8 - Eugenol
ploc

10/02/2009 à 15h49

noahaxeltiger-olivier écrivait:
-------------------------------
>
>
> Et là ploc pas besoin d'article, ni de laser, juste du bon sens ;-)).

j'en ai mon bon monsieur,plus terre à terre que moi tu auras du mal
mais ds ce cas,je n'ai pas de 47 dc c'est implant ou rien


> Un autre point important à mon sens : on a pas besoin de savoir tout faire en> dentisterie mais par contre on a l'impératif de demander de l'aide et d'adresser
> ses patients quand on sens que l'on ne pourra pas les aider comme il se doit.

tu prêches une plus que convaincue
j'adresse en odf et en implanto( en 1ère intention mais encore faut il que le patient veuille et puisse)
mais il me manque un paro:un peu bc de soleil ne te tenterait pas après la suède?:)

pr les ttt endos,pas de pb,on peut t'indiquer une bonne formation:)
>


Img 8465 fqhxid - Eugenol
noahaxeltiger-olivier

10/02/2009 à 16h02

ploc écrivait:
--------------

> j'en ai mon bon monsieur,plus terre à terre que moi tu auras du mal(cf l'avis de
> dancha)
> mais ds ce cas,je n'ai pas de 47 dc c'est implant ou rien

Ne prends pas la mouche, ploc. Loin de moi est l'intention de te blesser. Je ne veux surtout pas avoir le dernier mot, mais juste souligner que j'aurais certainement agi d'une manière différente. That's all !!

Quant à ton invitation de venir en Guyane je ne dis pas non ne serait ce pour commencer que pour des vacances. J'ai des amis qui vivent en Martinique et auxquels j'ai rendu visite et je comprends parfaitement que l'on puisse tomber amoureux des tropiques !!! Veinarde ;))