Cookie Consent byPrivacyPolicies.comça c'est... - Eugenol

ça c'est...

200106 10150128247663588 709988587 6466236 5598391 n d7mksb - Eugenol
hallboy

17/09/2010 à 22h39

tu veux pas faire un tout ptit inlay en or a la place du Hg de la 6?


Wolford hm5yx3 - Eugenol
Doc lyonnaise

17/09/2010 à 22h44

hallboy écrivait:
-----------------
> tu veux pas faire un tout ptit inlay en or a la place du Hg de la 6?

'tain arrête de faire ton Céramik toi....et puis même pas y a un dentiste sur terre en qui j'ai confiance ;-)


200106 10150128247663588 709988587 6466236 5598391 n d7mksb - Eugenol
hallboy

17/09/2010 à 23h24

un inlay en or!!!! un truc que tu peux brunir les bords!! Pas une merdouille a fort coeffiecient de retraction!!

Pi, un inlay Classe 1 tu peux le faire faire par un chien d'aveugle!! Parce que si t'attend, ça finira en endo.

Je pourrai toujours t'arranger un rencart avec Simon ou Pertot; mais il a raison Ceramik, vaut mieux faire un truc avant!!!


Wolford hm5yx3 - Eugenol
Doc lyonnaise

17/09/2010 à 23h27

hallboy écrivait:
------------

attend, ça finira en endo,
Je pourrai toujours t'arranger un rencart avec Pertot...

mmmmm, rien que pour ça je vais attendre :-)))


200106 10150128247663588 709988587 6466236 5598391 n d7mksb - Eugenol
hallboy

17/09/2010 à 23h32

Je peux faire l'endo, peter un instrument et t'auras plus de rv.)
Bon comme je suis, un morceau de F2 a l'apex et t'as droit a dela chirugie!!


Wolford hm5yx3 - Eugenol
Doc lyonnaise

17/09/2010 à 23h36

t'as pas plutôt un truc pour qu'il mette pas de digue entre lui et moi? :-P


200106 10150128247663588 709988587 6466236 5598391 n d7mksb - Eugenol
hallboy

17/09/2010 à 23h48

lui demander de faire un inlay en or?


3f3boxni50k58rq7e9ce9ddqrxgk - Eugenol
dentiste57

18/09/2010 à 00h10

si les zot ils merdent ton endo, moi je t'implante...

:)


Wolford hm5yx3 - Eugenol
Doc lyonnaise

18/09/2010 à 00h13

dentiste57 écrivait:
--------------------
> si les zot ils merdent ton endo, moi je t'implante...
>
> :)

et Céramik il peut crever la bouche ouverte, le cul plein de paille? ;-))


200106 10150128247663588 709988587 6466236 5598391 n d7mksb - Eugenol
hallboy

18/09/2010 à 00h24

:°°°°°°°°°°°°°°°°°°)))))))))))))))))

J'arrive à l'imaginer qu'endormi comme ça, mais c'est deja tres drole:))))))))) !!

ça va etre l'eté indien: tu ferais mieux d'aller te faire faire un inlay au Canada ;)


Smile beach jgh0a1 - Eugenol
Céramik

18/09/2010 à 02h48

hallboy écrivait:
-----------------
> :°°°°°°°°°°°°°°°°°°)))))))))))))))))
>
> J'arrive à l'imaginer qu'endormi comme ça, mais c'est deja tres drole:)))))))))
> !!
>
> ça va etre l'eté indien: tu ferais mieux d'aller te faire faire un inlay au
> Canada ;)


Bon , je rentre du boulot...et on parle de moi ...
Aller ma belle vient faire un tour, inlay, ou pas on trouvera quelques chose à faire...
;-)


--
Céramik


petitb

23/10/2010 à 01h14

jinalement il est plutot pas mal le résultat!
vous m'en voulez toujours madame P ?


Wolford hm5yx3 - Eugenol
Doc lyonnaise

15/03/2011 à 13h59

débaguage imminent :-))


Wolford hm5yx3 - Eugenol
Doc lyonnaise

19/03/2011 à 15h59

c'est la misère! :-(
j'ai eu mal au débaguage comme jamais...c'était comme si elle m'arrachait les dents à vif...
l'occlusion est merdique et je porte la nuit une espèce de gouttière souple qui fait haut/ bas....
Est-ce que cette gouttière je peux la porter dans la journée aussi?

P.S les photos, bientôt ;-)


Cuisinier2 vnbbxx - Eugenol
jeff2

19/03/2011 à 16h07

Dites lui "OUI", ca lui fera plaisir


Wolford hm5yx3 - Eugenol
Doc lyonnaise

19/03/2011 à 16h11

jeff2 écrivait:
---------------
> Dites lui "OUI", ca lui fera plaisir

héhé
si j'avais des potes qui me répondaient correctement, je serais pas là à poser mes questions ;-)


Casque beotien a3jo39 - Eugenol
beotien

19/03/2011 à 17h35

Doc lyonnaise écrivait:
-----------------------

> Est-ce que cette gouttière je peux la porter dans la journée aussi?

çà peut être gênant!!!


Wolford hm5yx3 - Eugenol
Doc lyonnaise

19/03/2011 à 18h04

beotien écrivait:
-----------------
> Doc lyonnaise écrivait:
> -----------------------
>
> > Est-ce que cette gouttière je peux la porter dans la journée aussi?
>
> çà peut être gênant!!!

ben non, c'est la nuit que c'est gênant :-P


Smile beach jgh0a1 - Eugenol
Céramik

19/03/2011 à 18h28

Doc lyonnaise écrivait:
-----------------------
> beotien écrivait:
> -----------------
> > Doc lyonnaise écrivait:
> > -----------------------
> >
> > > Est-ce que cette gouttière je peux la porter dans la journée aussi?
> >
> > çà peut être gênant!!!
>
> ben non, c'est la nuit que c'est gênant :-P


Tu me diras quand tout cela sera termineé...

;-)

Et l'inlay ?

--
Céramik


Wolford hm5yx3 - Eugenol
Doc lyonnaise

22/03/2011 à 21h07

voilà le jour où j'ai été baguée....

00184911 jdepow - Eugenol
00184912 efk3gm - Eugenol
00184913 fmoyl9 - Eugenol

Wolford hm5yx3 - Eugenol
Doc lyonnaise

22/03/2011 à 21h08

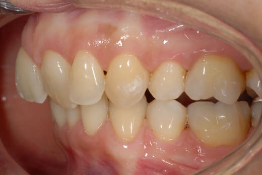
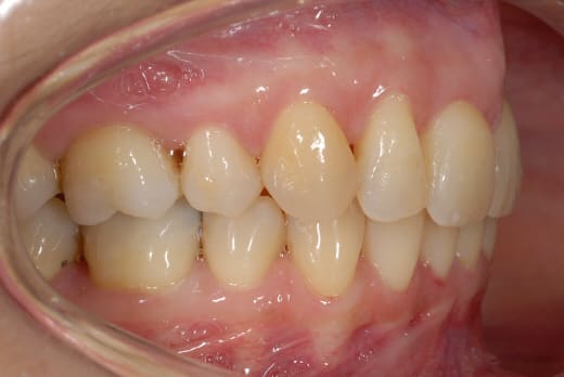
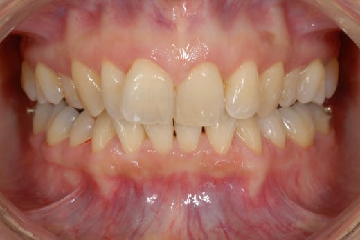
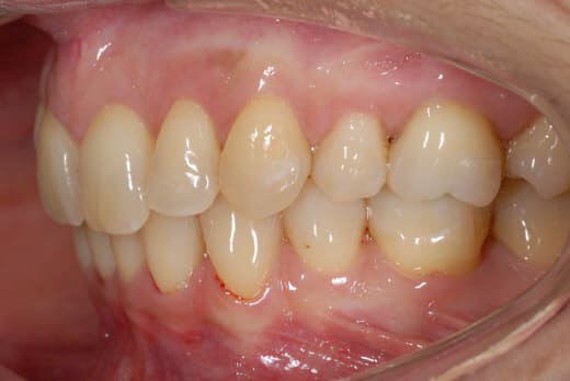
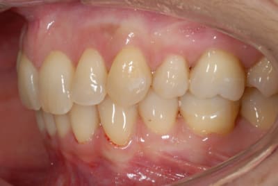
voilà la fin....

00184956 rezns3 - Eugenol
00184957 mlo75z - Eugenol
00184958 yuv7jm - Eugenol
00184959 xndbzo - Eugenol
00184960 yfkylf - Eugenol

sisterofmercy

22/03/2011 à 23h55

ce n'est pas le commencement de la fin, c'est la fin du commencement.

--
je plie et ne romps pas.


Smile beach jgh0a1 - Eugenol
Céramik

23/03/2011 à 01h59

Occlusion confortable ?
ATM aussi ?

Je parlerais pas de l'hg en haut...
oups ;-)


--
Céramik


Wolford hm5yx3 - Eugenol
Doc lyonnaise

23/03/2011 à 08h35

Céramik écrivait:
-----------------
> Occlusion confortable ?
> ATM aussi ?

non
et non :-(

je prends l'avion? ;-)


Smile beach jgh0a1 - Eugenol
Céramik

23/03/2011 à 14h57

Doc lyonnaise écrivait:
-----------------------
> Céramik écrivait:
> -----------------
> > Occlusion confortable ?
> > ATM aussi ?
>
> non
> et non :-(
>
> je prends l'avion? ;-)

Attend un peu, il y a encore de la neige ici...
;-)


--
Céramik


1...131415