Cookie Consent byPrivacyPolicies.coma discuter - Eugenol
1 p3qrc4 - Eugenol
Bjc.

14/03/2009 à 14h49

Cher Algi,

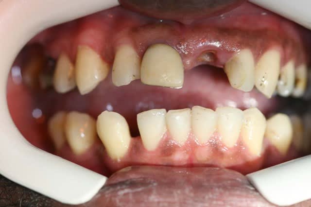
un correspondant m’envoie ce cas car la prothèse sur 21 se descelle tout le temps
il me demande si de l’ortho résoudrai le Pb.

A ton avis ?

Img 1018 v19pae - Eugenol
Img 1021 vyyfg2 - Eugenol
Img 1024 hdwnqj - Eugenol
Img 1023 ffoihd - Eugenol

Img 0812 mvp6i0 - Eugenol
jeamba

14/03/2009 à 15h09

C'est dommage car le reste est parfait.


Wolford hm5yx3 - Eugenol
Doc lyonnaise

14/03/2009 à 15h12

sinon fais péter une photo de la CCM et une Radio de la dent siltipli...j'en discuterais avec Algi...;-)


200106 10150128247663588 709988587 6466236 5598391 n d7mksb - Eugenol
hallboy

14/03/2009 à 15h18

Ton pote voudrait quoi? que tu redresse 13 /43?


1 p3qrc4 - Eugenol
Bjc.

14/03/2009 à 15h45

Rx.

R4 dq7itf - Eugenol

1 p3qrc4 - Eugenol
Bjc.

14/03/2009 à 16h09

c’est remarquable comment, même sans pression des forces mésialantes, les Inc. Inf. peuvent se mettre en rotation

@+ Bjc.


Wolford hm5yx3 - Eugenol
Doc lyonnaise

14/03/2009 à 16h41

le problème, faut le chercher du côté de "l'oreille interne", j'te le dis moi :-))))))


Amibien

14/03/2009 à 19h05

Bjc. écrivait:
--------------
> c’est remarquable comment, même sans pression des forces mésialantes, les Inc.
> Inf. peuvent se mettre en rotation
>
> @+ Bjc.
>






les forces mésialisantes, encore un concept galvaudé sans aucune réflexion... allez que je te lance une notion et surtout que j'en fasse un principe agissant, un dogme quoi !

les incisives, elles dansent toutes seules, tu vois, c'est remarquable, il ne peut pas y avoir autre chose qui justifierait cette position, non, c'est certain.


Smile beach jgh0a1 - Eugenol
Ceramik

14/03/2009 à 19h21

Mauvaise posture/habitude linguale.
Faut voir les voies respiratoires supérieures.
Apnée du sommeil ?
L'occlusion est ''out'', mauvaise DV.
La 21, c'est la pointe de l'iceberg.
Ortho, oui, mais faut savoir où on va finir avant de commencer, sinon, c'est la récidive garantie.
Recoller la 21...c'est l'échec automatique.

--
Ceramik


1 p3qrc4 - Eugenol
Bjc.

14/03/2009 à 20h17

j'ai oublié: 50 ans

P.S.: amibien s"en doutait, il avait remarqué qu'il n'y avait plus de dents déciduales


Cuisinier2 vnbbxx - Eugenol
jeff2

14/03/2009 à 20h58

c'est assez culotté d'envoyer ce patient chez l'ortho pour lui demander son avis.
Du coup on n'a pas l'anamnèse de ce patient.
Balancer un cas comme ça c'est du n'importe quoi BJC.
On ne sait rien de la demande du patient, ses moyens financiers, son état général,
Après on peut envisager un plan de traitement cohérent.
On est pas en Eugenologie, où on peut mettre des énigmes à la mords-moi le nœud.


Wra300x300 gotue6 - Eugenol
hop

14/03/2009 à 22h22

fume-t-il la pipe ? ou alors tabac à chiquer ! ?

quel signe astral ?


Cuisinier2 vnbbxx - Eugenol
jeff2

14/03/2009 à 22h29

excellente question hop
de quel signe astral est'il?
même BJC n'a pas la bonne réponse


Humb

14/03/2009 à 23h57

fumeur de pipe,taches de nicotine,il a juste l'emplacement pour la tenir.En plus si MGEN ....?


belette

15/03/2009 à 00h15

Un mangeur de frites ?
Un joueur de pipeau?
Ou simplement un patient ayant subi une expansion bi maxillaire suivie d'une perte de callage postérieur...


1 p3qrc4 - Eugenol
Bjc.

15/03/2009 à 13h17

aucune proposition?
quelle indigence!


Cuisinier2 vnbbxx - Eugenol
jeff2

15/03/2009 à 14h02

Bjc. écrivait:
--------------
> aucune proposition?
> quelle indigence!

Bjc, es tu sur du vocabulaire que tu utilises?
Quel est le but pour toi de soumettre ce cas clinique?
D'étaler ta science? ou ton esprit frondeur?


1 p3qrc4 - Eugenol
Bjc.

15/03/2009 à 17h45

"Bjc, es tu sur du vocabulaire que tu utilises?"
-:)))

"Quel est le but pour toi de soumettre ce cas clinique?"
animer nonol

"D'étaler ta science? ou ton esprit frondeur?"
Esprit frondeur, merci du compliment,
Science… parlons plutôt de bon sens (bonne science)

au fait à quand remonte le dernier cas que tu as présenté ?

voici pour la dérive personnelle,
alors, un idée Jeff2?

P.S.: tu vois, je ne t'en demande m pas plusieurs


Amibien

15/03/2009 à 19h18

Bjc. écrivait:
--------------
> aucune proposition?
> quelle indigence!



Un de tes voisins directs vient de me dire qu'avec toi il ne faut "même pas" chercher à discuter. La seule proposition à faire au gars est une REMage complet pour qu'il retrouve une visco-élasticité normale des temporaux et des masséters. A ceux qui sont sages on pourra expliquer ce que veut dire "normale" et surtout ce qu'est un REMage.
J'ajouterai que c'est le seul chemin pour que cessent les problèmes dentaires de ce quinquénaire hormis les actes techniques nécessaires à la reconstruction des dents cassées.

Un traitement orthodontique ? NON


Image odged8 - Eugenol
ploc

15/03/2009 à 19h30

hallboy écrivait:
-----------------
> Ton pote voudrait quoi? que tu redresse 13 /43?


pure supputation:
je crois que son pote aimerait basiquement répondre à la demande du patient qui a changé de praticien, et qui aimerait remettre une prothèse sur 21 mais se demande bien comment gérer et a un pb de place:ou cela ne tiendra pas plus que les precedentes,ou elle va être en bout à bout très courte et très moche


Image odged8 - Eugenol
ploc

15/03/2009 à 19h33

bien que peu sage,j'attends les esplications du REMage


Amibien

15/03/2009 à 19h37

ploc écrivait:
--------------
> bien que peu sage,j'attends les esplications du REMage




Tu les auras en privé si tu décides de te former correctement. La puissance de cette approche dépasse tout ce que vous pouvez imaginer. C'est à couper le souffle.
Terminé le bruxisme, pour ne parler que de ça.


1 p3qrc4 - Eugenol
Bjc.

15/03/2009 à 20h48

"Tu les auras en privé si tu décides de te "déformer" correctement."
si son REMage ressemble à son PLUMage, l'amibe est le roi...


alma

15/03/2009 à 21h05

et voila tu ne peux resister
et tu as raison de le faire en mp
je confirme c'est enorme .....


Wra300x300 gotue6 - Eugenol
hop

15/03/2009 à 21h39

je trouve que ce n'est pas très gentil de ne pas faire bénéficier de cette science les petits dentistes ignorants comme moi, ainsi que le commun de mortels.

c'est bien la première fois que je vois de grands scientifiques cacher leurs découvertes.


12...