Cookie Consent byPrivacyPolicies.com"mise en vitrine" immédiate... - Eugenol

"mise en vitrine" immédiate...

3f3boxni50k58rq7e9ce9ddqrxgk - Eugenol
dentiste57

22/03/2009 à 15h37

noahaxeltiger-olivier écrivait:

> Disons que la microchirugie trouve aussi sa place en implantologie. J'ai après
> réflexion et analyse établi une technique personnelle pour aborder les
> traitements implantaires dans ces cas de fracture radiculaire. Je vous laisse
> réfléchir, mais oui dentiste57, il s'agit d'une implantation et mise en charge
> immediate.

implantation et mise en charge immédiate, ok je vois bien mais combien de temps sépare ton extraction et ton implantation?
quelques jours ?
si c'est le cas , c'est évidemment très malin car on profite alors de tout le potentiel de cicatrisation en cours d'évolution.


Blason dql7mj - Eugenol
growler

22/03/2009 à 15h46

Olivier, ne pourrait-on pas envisager , après retrait des fragments radiculaires et curetage soigneux, de séparer avec un "micro-décolleur" la gencive vestibulaire de ce qu'il reste de corticale (sans incisions et avec dissection du tissu de granulation), implanter puis combler le defect osseux tout en "surcomblant" cette zone de séparation?


Img 8465 fqhxid - Eugenol
noahaxeltiger-olivier

22/03/2009 à 15h53

mac écrivait:
-------------
> noah il semble y avoir un retour en arrière sur les extractions, implantation et
> mise en vitrine immédiate en secteur esthétique, je parle en particulier des
> travaux de Kan qui montrent des récessions jusqu'à plus de 2 mm à 5 ans.
>
> quelle est ta position sur le sujet?

Tout repose sur le fait de poser les bonnes indications. S'aventurer et aventurer le patient quand on doit poser un implant, reconstruire un pan osseux vetibulaire, gérer les tissus mous en même temps, très peu pour moi. Quand je fais une implantation immédiate et mise en charge immédiate c'est que je suis relativement sûr de moi. Sinon, je diffère la mise en charge. Certes quelques mois de plus de cicatrisation mais une sérénité certaine.

dentiste57 écrivait:
--------------------

> combien de temps sépare ton extraction et ton implantation?
> quelques jours ?

Dans ce cas là, c'était une implantation post extractionnelle immédiate et une mise en esthétique immediate.


3f3boxni50k58rq7e9ce9ddqrxgk - Eugenol
dentiste57

22/03/2009 à 16h07

ok,ok autant pour moi.
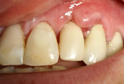
les photos c'est parfois trompeurs. je suppose que cette dent devait avoir une poche paro.


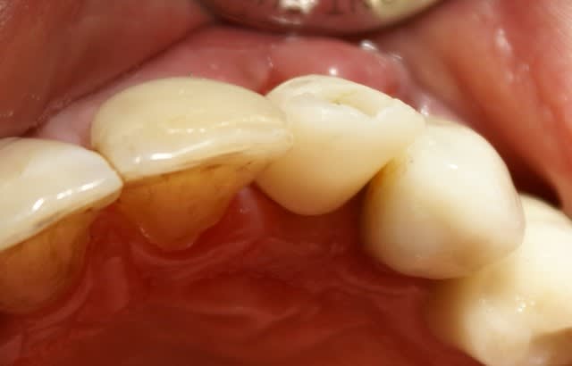
Pour ceramik, l'implant est un Xive 3.8 dans le premier cas et un 3.4 dans le second (peut être un peu sous-dimentionné d'ailleurs).
Excellente stabilité primaire avec ces implants que je préfère aux straumann, easy et ankylos.


Amibien

22/03/2009 à 18h28

pluton écrivait:
----------------
> y a pas beaucoup d'idées:-(
>
> j'aurais pourtant bien besoin de conseils....
>
> personne d'autre??? même pas Olivier (Noahaxeltinger), ou Dentiste57, Alhoun,
> etc...?





Tu dois avois un scanner ?

Pour une MCI d'une centrale supérieure tu dois avoir possibilité de mettre au moins du 15 mm de long en raison de la déhiscence vestibulaire qui est pratiquement toujours la règle, tu peux aussi un rien mordre dans le plancher nasal pour assurer le calage primaire. Il te faut prévoir suffisamment large pour la même raison.

Avant d'opérer et d'extraire, il faut préparer les abords immédiats, cureter la granulation sous gingivale des dents voisines, détartrer et surfaçer, vérifier leur vitalité, dénicher toute source potentielle d.infection du site futur, etc.

Il te faut prèvoir de cureter parfaitement après l'extraction, de te munir d'un piézo pour cruanter l'os de partout afin obtenir un beau saignement, de prévoir une membrane biomend B2 par exemple, de 0,5 gr de bio oss en particules de 0,5 à 1 mm.

Quand tu extrais tu vas découper ta dent et l'extraire religieusement pour ne pas briser l'os vestibulaire, tu vas amener ton forêt terminal le plus près possible de ta corticale linguale, laisse de l'espace vide en vestibulaire, tu y mettras du bio oss.

Engage ton implant, finis le vissage à la clé pour bien sentir comment il se visse, veille à orienter correctement l'hexagone éventuel au cas où tu devrais utiliser un pilier angulé, pose ta membrane, fourre le bio oss généreusement, rabbats le tout vers lingual, cruante la membrane au bistouri pour faire passer le pilier définitif ou la vis de cicatrisation haute qui ne doit pas enrouler la membrane sur elle-même !

Quand tu repasseras pour visser à fond le pilier définitif ne le nettoye pas sauf au liquide physiologique pour ne pas tuer les cellules muqueuses ou alors tu prends un nouveau stérile.

Pour la provisoire je prends un pilier provisoire et je construis une dent avec une préforme frasaco et du composite Z250. Le tout hors occlusion vérifié dans tous les mouvements extrêmes mandinbulaires.

Mais sutout j'aurais pratiqué un REMage total préalable de mon patient pour ne pas qu'il ne bruxe pas la nuit.

Bonne chance Pluton, tu verras, c'est facile.


Amibien

22/03/2009 à 18h50

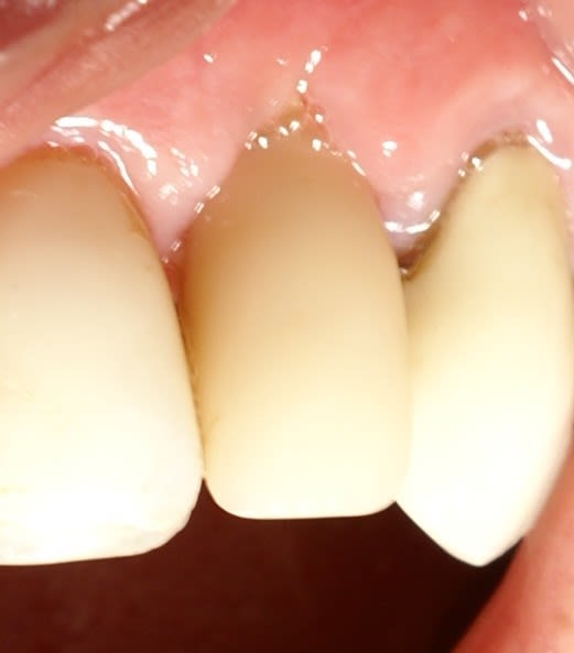
Ce cas est limite et aurait pu être traité en deux temps mais bon, j'ai opté pour y aller franco...

La seamine prochaine je vous montrerai la finition céramique.

7 g6phx4 - Eugenol
9 svu9kr - Eugenol
14 tfs9yq - Eugenol
14 piy3xb - Eugenol
1 obzvzz - Eugenol
8 kwv9ck - Eugenol
9 bis blfjpf - Eugenol
21 hzce1t - Eugenol
17 cdvxi6 - Eugenol
19 wsijb8 - Eugenol
22 ybglat - Eugenol
5 ta84oy - Eugenol
6 cqjhtv - Eugenol
4 tylua9 - Eugenol
4 bis tbgxvk - Eugenol
2 mx5q5n - Eugenol
3 iwqtdt - Eugenol
15 xsvy58 - Eugenol
16 h09cqe - Eugenol
18 xve4oh - Eugenol

Amibien

22/03/2009 à 18h53

Bon la suite des photos mais il faut commencer par la dernière, l'ordre de passage lors de l'envoi s'est apparemment inversé...


Zut, l'ordre des photos n'est pas celui que j'avais prévu, vous voudrez bien remettre dams l'ordre en lisant les titres. Le logiciel d'eugénol mélange tout à sa guise...

www.amaguise.com

23 rqij1i - Eugenol
25 lqbb4m - Eugenol
24 audo1z - Eugenol
26 nriumj - Eugenol
Un mois z2lfka - Eugenol

Utilisateur banni

22/03/2009 à 19h16

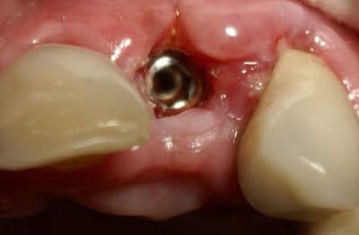
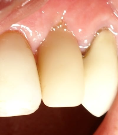
Extraction MCI en une opération.
posit


Amibien

22/03/2009 à 19h26

o.k. mais le trip reste le même que tu le fasses en une fois ou huit jours après. La bague de cica est déjà une mise en vitrine. D'autre part ce genre de truc ça gonfle tellement les premiers jours que ta patiente ne va pas sourire des masses ni même bouffer dans le secteur... Il faut relativiser d'autant plus qu'ici je me retrouvais short pour le calage primaire et tu noteras la classe II... La mise en place de la provisoire a eu lieu au retrait des sutures. Et il ne pourra pas s'agir d'une mise en charge, simplement d'une mise en vitrine.

Le didacticiel répondait à la question de Pluton qui se rendra vite compte que la mise en vitrine immédiate en zone prémaxillaire est un objectif peut-être souvent poursuivi mais plus rarement atteint. Mais peut-être qu'ailleurs l'herbe est plus verte ?


Img 8465 fqhxid - Eugenol
noahaxeltiger-olivier

22/03/2009 à 19h27

growler écrivait:
-----------------
> Olivier, ne pourrait-on pas envisager , après retrait des fragments radiculaires
> et curetage soigneux, de séparer avec un "micro-décolleur" la gencive
> vestibulaire de ce qu'il reste de corticale (sans incisions et avec dissection
> du tissu de granulation), implanter puis combler le defect osseux tout en
> "surcomblant" cette zone de séparation?

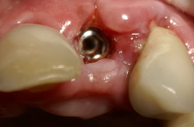
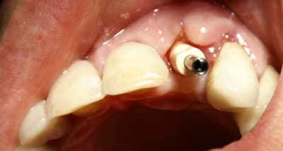
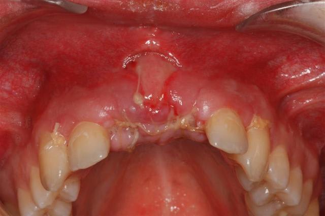
Tout à fait d'accord growler et c'est d'ailleurs ce que l'on peut voir sur le cas suivant. Fracture radiculaire, aucune infection periradicualire. Extraction et implantation immediate. Espace existant entre l'implant et l'alvéole est comblé par du BioOss. Un logement sous gingival est formé en vestibulaire et palatin de facon à pouvoir recouvrir le tout par BioGide et un conjonctif enfoui.
L'implant est de 15mm mais l'alvéole était large et 50% environ de la surface implantaire n'était en contact qu'avec du BioOss. J'ai pour cela préféré enfouir.


dentiste57 écrivait:
--------------------
> je suppose que cette dent devait avoir une poche paro.

Absolument pas. Fracture radiculaire comme précité.

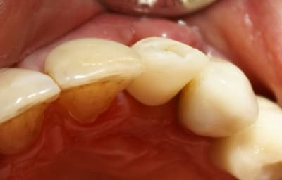
Petite question dentiste 57 : il semblerait dans le 2eme cas que tu présentes que tu ne recouvres pas ton implant par la membrane (qui pourrait comme l'a dit Amibien être poinconnée pour laisser passer ton pilier). Si c'est bien le cas peux tu m'expliquer pourquoi ? Quel est le risque à ton sens que ton comblement palatin et vestibulaire se fasse la malle par le "sulcus" entourant ton implant ?

Cas clinique gqtvsz - Eugenol

3f3boxni50k58rq7e9ce9ddqrxgk - Eugenol
dentiste57

22/03/2009 à 22h18

noahaxeltiger-olivier écrivait:

> Petite question dentiste 57 : il semblerait dans le 2eme cas que tu présentes
> que tu ne recouvres pas ton implant par la membrane (qui pourrait comme l'a dit
> Amibien être poinconnée pour laisser passer ton pilier). Si c'est bien le cas
> peux tu m'expliquer pourquoi ?

Bien vu! cela demande une petite explication.
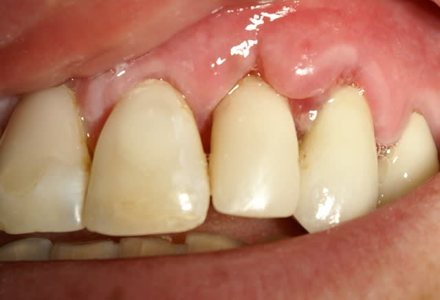
j'ai d'abord enfoui le plus apicalement possible ma membrane car je devais en premier lieu combler avec le moignon en place de manière à ne pas mettre de substitut osseux dans l'hexagone interne. Une fois mon substitut en place je travail le porte implant qui sert de support à la provisoire, il y a donc montages et démontages successifs.
Comme tu l'as si bien remarqué, j'ai laissé une minuscule languette de membrane, je l'a tracte très légèrement (une fois seulement la provisoire validée et prête à poser) et la fixe en la transperçant avec le moignon portant la provisoire. ainsi je recouvre bien le substitut osseux en palatin et en vestibulaire également.


remarque:
Cette dernière opération est très délicate quand c'est une vis de cica car elle entraine la membrane en l'enroulant (ce qu'amibien décrit plus haut) .
Suivant les marques d'implants il existe une vis spéciale pour fixer les membranes aux implants.Enfin, je suppose... Chez Xive, cette vis existe mais c'est une vis de couverture et non une vis de cica.


Smile beach jgh0a1 - Eugenol
Céramik

22/03/2009 à 22h21

noahaxeltiger-olivier écrivait:

> Fracture radiculaire, aucune infection periradicualire. Extraction
> et implantation immediate. Espace existant entre l'implant et l'alvéole est
> comblé par du BioOss. Un logement sous gingival est formé en vestibulaire et
> palatin de facon à pouvoir recouvrir le tout par BioGide et un conjonctif
> enfoui.
> L'implant est de 15mm mais l'alvéole était large et 50% environ de la surface
> implantaire n'était en contact qu'avec du BioOss. J'ai pour cela préféré
> enfouir.
>

Situation semblable.
Jeune homme, 20 ans, accident de vélo.
Perte de 11 et 21.
Arrive dans mon cabinet 8 jours post trauma.
J'ai placer sous antibio et 2 jours après j'ai curetté les alvéoles, fait lambeau (perte de paroie buccale), placer 2 4,6 X 15 mm en palatin, greffe MINEROS, membranne (suturée sous le lambeau palatin + 2 tacs en titane au buccal).
Extension du lambeau au buccal et fermeture.

Ah oui, freinectomie laser en mêm temps, histoire de s'occuper un peu. Pas de temporisation sur implants avec une perte d'os au buccal. Prothèse acrylique amovible de transition, placée 7 jours post-op.

La 2e photo est 7 jours post-op, la sem dernière.
Zéro enflure, zéro douleur, pas d'anelgésique.

> --
Céramik

Implants 11 21 kbjc3r - Eugenol
 mg 7630  large  jofrmf - Eugenol

Img 8465 fqhxid - Eugenol
noahaxeltiger-olivier

23/03/2009 à 00h06

dentiste57 écrivait:
--------------------
> Bien vu! cela demande une petite explication.
> j'ai d'abord enfoui le plus apicalement possible ma membrane car je devais en
> premier lieu combler avec le moignon en place de manière à ne pas mettre de
> substitut osseux dans l'hexagone interne. Une fois mon substitut en place je
> travail le porte implant qui sert de support à la provisoire, il y a donc
> montages et démontages successifs.
> Comme tu l'as si bien remarqué, j'ai laissé une minuscule languette de membrane,
> je l'a tracte très légèrement (une fois seulement la provisoire validée et prête
> à poser) et la fixe en la transperçant avec le moignon portant la provisoire.
> ainsi je recouvre bien le substitut osseux en palatin et en vestibulaire
> également.

Le système QuickBridge (chair-side concept), élaboré par Pär-Olov Östman et compatible avec entre autre 3i et Nobel est un excellent système permettant d'éviter ces montages et démontages successifs.


3f3boxni50k58rq7e9ce9ddqrxgk - Eugenol
dentiste57

23/03/2009 à 00h09

Céramik écrivait:

> Jeune homme, 20 ans, accident de vélo.
> Perte de 11 et 21.
> Arrive dans mon cabinet 8 jours post trauma.

8 JOURS !!!

c'est long quand même !


Smile beach jgh0a1 - Eugenol
Céramik

23/03/2009 à 01h39

dentiste57 écrivait:
--------------------
> Céramik écrivait:
>
> > Jeune homme, 20 ans, accident de vélo.
> > Perte de 11 et 21.
> > Arrive dans mon cabinet 8 jours post trauma.
>
> 8 JOURS !!!
>
> c'est long quand même !

Ouais, c'est comme cela...
Il n'a rien dit quand je lui est expliqué que le temporaire serait 1-2 semaines après les implants...il commençait a s'habitué...
Devis, antibio, accompte de 50 % et hop.
Pour les implants, je demande toujours 50% avant les RdV,
jamais eu de RdV manqué.


--
Céramik


Amibien

24/03/2009 à 01h32

Dis céramik, c'est quoi la marque de ta bétonneuse ?


Smile beach jgh0a1 - Eugenol
Céramik

24/03/2009 à 02h02

Amibien écrivait:
-----------------
> Dis céramik, c'est quoi la marque de ta bétonneuse ?


MINEROS

--
Céramik


Photo pluton1b h9n4ea - Eugenol
pluton

30/03/2009 à 18h32

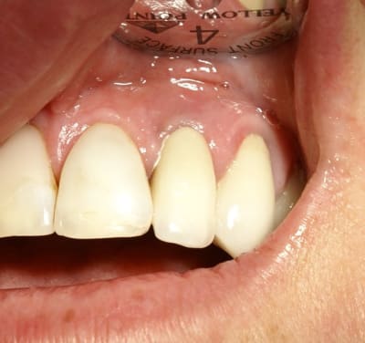
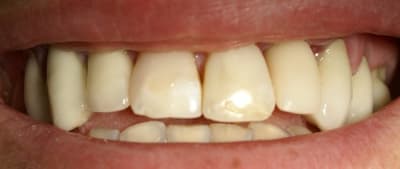
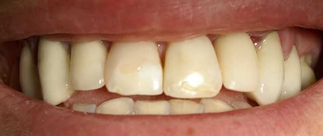
bon, c'est fait...extrac/implantation immédiate/ prov immédiate...merci pour vos tutos...;-)) çà m'a bien aidé...

implant Zimmer 4.7/16, membrane vestibulaire Zimmer socket repair, comblement au biooss...
pilier qui traverse la membrane...
juste surpris que le pilier prov en plastique soit pas radio-opaque...
j'ai volontairement un peu angulé vers la 12 car le canal palatin étais volumineux (vu au scan) et je voulais pas taper dedans...(maintenant la déformation géométrique de la pano amplifie un peu le phénomène...)

Post op y8jcfk - Eugenol

Utilisateur banni

30/03/2009 à 19h01

MCI avec provisoire à armature inox
posit

1 mise en charge direct001 ybxghv - Eugenol
Mise en charge imm diate positdental ra7lww - Eugenol

Humator t9r5wy - Eugenol
humator

30/03/2009 à 19h03

quel piton! avec ça, ça devrait tenir!
you did it! yeah!
bravo plut'

--
N.Hum


Utilisateur banni

30/03/2009 à 19h04

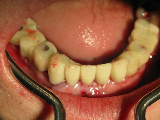
Extraction, implantation, provisoire en une opération.
posit

Mise en charge direct027 mbu7g0 - Eugenol
Provisoire avec armature inox iv4jcs - Eugenol
Mise en charge direct050 e7nn6b - Eugenol

Gutt-A

30/03/2009 à 19h11

posit, quelles raisons d'exos des 43,44,33,35? caries ou paro?


Utilisateur banni

30/03/2009 à 19h19

paro


Photo pluton1b h9n4ea - Eugenol
pluton

30/03/2009 à 19h47

humator écrivait:
-----------------
> quel piton! avec ça, ça devrait tenir!
> you did it! yeah!
> bravo plut'
>
> --
> N.Hum

Merci...là c'est sûr...je suis ras les fosses nasales...
La stab primaire était très bonne et peu de perte de corticale vestibulaire (7/8mm en V et pas très large)...voilà pourquoi j'ai osé...le plus long...ajuster la prov...en fait j'avais peur au niveau de la vis...mais en fait il y a un hexagone sur pratiquement toute la longueur...
Pour la taille de l'implant...je me suis dit...va jusqu'où tu peux...et tu verras...;-))


Amibien

04/04/2009 à 02h07

bravo Pluton... bien tapé celui-là

bravo posit, ça fait plaisir de voir des trucs comme ça, ce n'est pas évident de poser un provisoire dans la séance...