Cookie Consent byPrivacyPolicies.comun cas pour PXAV. - Eugenol

un cas pour PXAV.

S2y2o1v7q53ws4r5wy6ou8czrpom - Eugenol
pxav

05/10/2009 à 21h15

larome écrivait:
----------------
> le breton méfiant par nature prendra l'avion jusqu'a Geneve et s'equipera d'un
> véhicule à moteur à explosion à 4 roues pour rejoindre Sallanche
>
>
> --
> La Rome

je suis époustouflé de constater à quel point certains sont motivés, bretagne, nord pas de calais, bordeaux, marseille,
alsace, tiens personne de perpignan!
tout ça pour venir voir deux clowns bricoler du nonos!
j'espere que nous mangerons bien, au moins......

--
xbk


3f3boxni50k58rq7e9ce9ddqrxgk - Eugenol
dentiste57

06/10/2009 à 10h19

la rome, il arrive quand ton avion ?


S2y2o1v7q53ws4r5wy6ou8czrpom - Eugenol
pxav

06/10/2009 à 10h25

dentiste57 écrivait:
--------------------
> la rome, il arrive quand ton avion ?


toi aussi tu te dis que l'on pourrais faire taxi?
--
xbk


Amibien

06/10/2009 à 14h09

C'est bien vrai, que vont-ils chercher là ? Le Saint Graal ou alors serait-ce une tentative désespérée d'échapper à leur angoisse devant leur néant ? (:-))


Calvin and hobbes lr0gvh - Eugenol
larome

06/10/2009 à 14h51


je suis en train de les prendre
je t'envoie un message dés que je suis fixé
--
La Rome


S2y2o1v7q53ws4r5wy6ou8czrpom - Eugenol
pxav

06/10/2009 à 21h41

Amibien écrivait:
-----------------
> C'est bien vrai, que vont-ils chercher là ? Le Saint Graal ou alors serait-ce
> une tentative désespérée d'échapper à leur angoisse devant leur néant ? (:-))

D57 a dit à tout le monde que tu venais, par amitié pour lui, et les autres viennent te voir!

tu es notre Saint Graal...... ((-:)

--
xbk


S2y2o1v7q53ws4r5wy6ou8czrpom - Eugenol
pxav

07/10/2009 à 14h25

Pour les inscrits et pour ceux qui ne peuvent pas venir:

Posit fait une étude pour démontrer la faisabilité de son système, et honnêtement sa démarche semble intéressante, et provoque une réflexion sympa chez D57 et moi même.

La solution unique n'existant pas il est très intéressante que nous échangions nos différents points de vue.

La solution sera une expansion, (what else?) mais dirigée du point de vue prothésiste pour la partie mécanique, ce qui devrait être plus sécurisant pour le patient, et constructif pour nous tous.

J’espère mon cher D57 que chaud bouillant tu seras car "va y avoir du sport!"

Heureusement que maintenant tu domine tout ça...(-:))


--
xbk

004 xhtu2f - Eugenol
001 ccf8ir - Eugenol
010 ibahg7 - Eugenol
011 tb1bju - Eugenol
012 rjym9c - Eugenol
013 avdswy - Eugenol
014 z6zunl - Eugenol
015 pjs159 - Eugenol
016 nq23v0 - Eugenol

S2y2o1v7q53ws4r5wy6ou8czrpom - Eugenol
pxav

07/10/2009 à 15h03



--
xbk

http://cabinetxavierbeck.moonfruit.fr/#


S2y2o1v7q53ws4r5wy6ou8czrpom - Eugenol
pxav

21/10/2009 à 14h53

vis de cicatrisation sur une expansion réalisée en mars 09 à Sallanches implants en 13/14/15/18 pour une barre et PT.
Interessante car fracture de l'os vestibulaire y compris de la bosse canine, vitalos mais pas de vis d'ostéosynthese, et comme je sais que le doute est toujours present, ouverture large, avec décollement plus que necessaire pour controle.
sur l'implant en 14 une feuille d'os , en 13 un petit creux en mesio vestibulaire et 15 nickel.
il ne s'agit pas de montrer que cette technique est la seule, mais juste que dans ce cas tout va bien.
les photos de la chir ne sont pas géniale, je vais essayer d'en trouver d'autres.

--
xbk

100 6016 wbyqfl - Eugenol
100 6018 iydm4k - Eugenol
100 6021 drkwpk - Eugenol
100 6022 bqmwkm - Eugenol
100 2550 hcgudo - Eugenol
100 2551 rn3gi7 - Eugenol
100 6014 i0cwyi - Eugenol
100 6017 g7mo1i - Eugenol

Homer simpson wallpaper brain 1024 f4t8dv - Eugenol
Jpeg

21/10/2009 à 15h08

pxav écrivait:
--------------
> Pour les inscrits et pour ceux qui ne peuvent pas venir:
>
> Posit fait une étude pour démontrer la faisabilité de son système, et
> honnêtement sa démarche semble intéressante, et provoque une réflexion sympa
> chez D57 et moi même.
>
> La solution unique n'existant pas il est très intéressante que nous échangions
> nos différents points de vue.
>
> La solution sera une expansion, (what else?) mais dirigée du point de vue
> prothésiste pour la partie mécanique, ce qui devrait être plus sécurisant pour
> le patient, et constructif pour nous tous.
>
> J’espère mon cher D57 que chaud bouillant tu seras car "va y avoir du sport!"
>
> Heureusement que maintenant tu domine tout ça...(-:))
>
>
> --
> xbk

La simulation, c'est le cas prévu pour le 17/11 ? Pfiou, ça va être costaud ! On sera sortis à l'heure pour la cantoche ?


3f3boxni50k58rq7e9ce9ddqrxgk - Eugenol
dentiste57

21/10/2009 à 15h28

moi, je prévois une intraveineuse de glucose au cas où...


je vois que ça n'a pas chômé aujourd'hui!
moi non plus, ce matin je viens de mettre 3 implants chez ma maman.
contrairement à ce que je craignais, elle est restée super zen.
j'aurai bien mis des anthogyrs mais j'ai pas encore reçu la boite chir.


S2y2o1v7q53ws4r5wy6ou8czrpom - Eugenol
pxav

14/11/2009 à 16h31

H moins 66!

tu balise un peu D57?

pour ta gouverne, le planning:

ce qui serait sympa si l'on ne veut pas être en retard au resto à midi:

18/17 et 28/ 27 en flapless (4 SL )

le gros point noir c'est 15, je ne suis pas sur que la solution soit de poser un implant de suite.

13 et 12 ça va le faire il te restera 22 23 et 24.

ensuite il sera 11 h 48 et la suture c'est pour toi, la broderie je suis pas top du tout.

pendant que tu suture je m'en lave les mains et je m'installe pour le repas avec nos amis.

Ok?



--
xbk

Nom12 13  22 23 xtwh3a - Eugenol
Nom24 27 28 xrgilx - Eugenol
Nom18 17 15 gg1of4 - Eugenol

S2y2o1v7q53ws4r5wy6ou8czrpom - Eugenol
pxav

14/11/2009 à 21h39


il parait que D57 aurait un petit peu rencontré le H1N1?
je sens la semaine compliquée.
donnes de tes nouvelles Thomas, enfin toi ou ta famille!
-:))
--
xbk


3f3boxni50k58rq7e9ce9ddqrxgk - Eugenol
dentiste57

14/11/2009 à 23h57

ça va le faire quand même, j' ai bouffé du TAMIFLU aujourd'hui.


S2y2o1v7q53ws4r5wy6ou8czrpom - Eugenol
pxav

15/11/2009 à 00h02

dentiste57 écrivait:
--------------------
> ça va le faire quand même, j' ai bouffé du TAMIFLU aujourd'hui.
>

tu as du bol!
moi c'etait des andouillettes au feu de bois..........
même pas malade
--
xbk


3f3boxni50k58rq7e9ce9ddqrxgk - Eugenol
dentiste57

15/11/2009 à 00h14

au fait, c'est quoi cet avatar ?

on dirait LUC SKYWALKER.


S2y2o1v7q53ws4r5wy6ou8czrpom - Eugenol
pxav

15/11/2009 à 00h26

dentiste57 écrivait:
--------------------
> au fait, c'est quoi cet avatar ?
>
> on dirait LUC SKYWALKER.

mais oui c'esyt bien moi, luc skywalker!
et mon pere disait que c'est le vent du nord qui....
ah non c'est pas le bon!
papa t'es où?
--
xbk


3f3boxni50k58rq7e9ce9ddqrxgk - Eugenol
dentiste57

15/11/2009 à 00h33

pxav écrivait:
--------------
> dentiste57 écrivait:
> --------------------
> > ça va le faire quand même, j' ai bouffé du TAMIFLU aujourd'hui.
> >
>
> tu as du bol!
> moi c'etait des andouillettes au feu de bois..........
> même pas malade
> --

hé, hé moi c'était foie gras de canard aux grains de pavots et piments d'espélete ...

il est 23h34 et je dois attendre que la terrine de foie gras aux champignons (pied de moutons)que j'ai préparé ait terminée sa cuisson au four pour enfin aller au lit..


S2y2o1v7q53ws4r5wy6ou8czrpom - Eugenol
pxav

15/11/2009 à 00h38

bon tu ne m'en voudras pas, mais j'ai de la prothèsiste à "former", alors la nuit va etre longue!
à demain et bon foie gras!

--
xbk


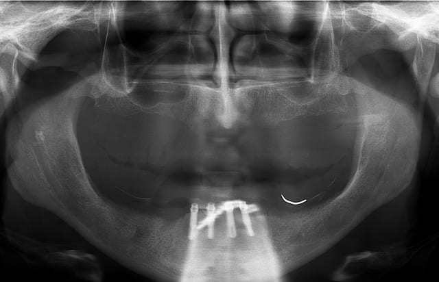
S2y2o1v7q53ws4r5wy6ou8czrpom - Eugenol
pxav

12/05/2010 à 21h31

suite et fin?
merci Thomas je suis bien rentré (croisé 6 paires de "jumelle" avec des habits bleus, mais à chaque fois coup de bol...)et je ne résiste pas au plaisir de passer le pano de notre ami.
Bien sur c'est du travail "d'amateurs", les axes sont nuls mais il semblerait que ton patient va l'avoir son amovo-inamovible!
Merci encore j'ai beaucoup apprécié la chir de ce matin, ça m'a fait "chaud au cœur" de faire ça.
--
xbk

003 dmryjy - Eugenol
004 itvk4k - Eugenol
005 lqtgra - Eugenol

Pépélaratiche

12/05/2010 à 23h41

Dis donc ce cas est une "pure merveille"

D où tu le sors et quelle littérature soutient un pareil traitement??????

Pépé mort de rire


Avatar ow44t3 - Eugenol
Chicot

12/05/2010 à 23h49

pxav écrivait:
--------------
>croisé 6 paires de "jumelle"
> --
> xbk
>

y'en a même une sur l'OPT n°2 !!!

lol



--
;O)


Smile beach jgh0a1 - Eugenol
Céramik

13/05/2010 à 01h21

rassure moi, c'est du photo-shop, pas un vrai cas clinique ?

--
Céramik


S2y2o1v7q53ws4r5wy6ou8czrpom - Eugenol
pxav

13/05/2010 à 01h47

Céramik écrivait:
-----------------
> rassure moi, c'est du photo-shop, pas un vrai cas clinique ?
>
> --
> Céramik

salut caribou,
une autre vue du photshopman:
modèle stéréo du à la gentillesse de Posit
--
xbk

Dsc 6917r h4vjlz - Eugenol
Dsc 6919r xeuvxt - Eugenol
Dsc 6923r ekrh0v - Eugenol

Pépélaratiche

13/05/2010 à 01h51

pxav écrivait:
--------------
> Céramik écrivait:
> -----------------
> > rassure moi, c'est du photo-shop, pas un vrai cas clinique ?
> >
> > --
> > Céramik
>
> salut caribou,
> une autre vue du photshopman:
> modèle stéréo du à la gentillesse de Posit
> --
> xbk
>

Tu es allé profaner une tombe après ton resto ????Ou un champ de bataille ?????????

Pépé :-)))))))))))))))))))


1...91011