Cookie Consent byPrivacyPolicies.comun cas pour PXAV. - Eugenol

un cas pour PXAV.

S2y2o1v7q53ws4r5wy6ou8czrpom - Eugenol
pxav

27/05/2009 à 11h46

pxav écrivait:
--------------
> j'ai eu une demande de reservation pour la demo d'un clermontois mais j'ai
> effacé le message (erreur)
> peux tu me refaire ta demande
> merci
>
> --
> xbk


j'ai retouvé c'est bon
--
xbk


S2y2o1v7q53ws4r5wy6ou8czrpom - Eugenol
pxav

27/05/2009 à 18h55

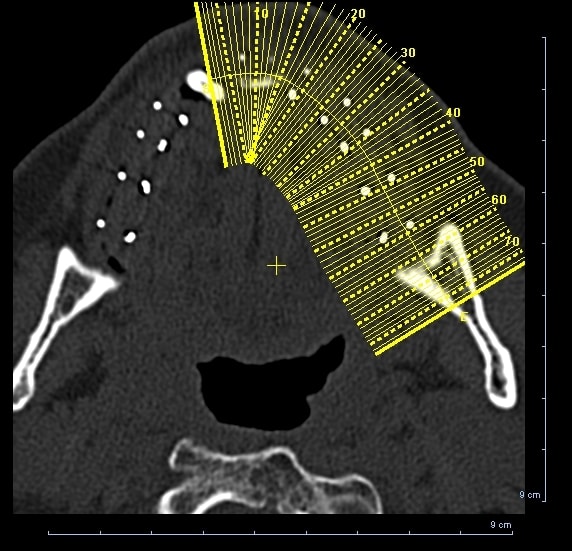
la suite du cas de 90
pour32/42 ce sont des D2 et non pas des P pano "photographies" de mauvaise qualité
à l'époque tous ça c'etait sans scanner, et c'est vrai que les axes sont...bizarre (c'est le patient qui etait tordu sans doutes
quoi d'autre?

--
xbk

Vin134 p3gbok - Eugenol

S2y2o1v7q53ws4r5wy6ou8czrpom - Eugenol
pxav

01/06/2009 à 12h45

Voila c’est parti :

Rendez vous le 17/11/2009 chez Anthogyr à Sallanches (74) pour une démo d’expansion et de pose d’implants Axiom en directe avec utilisation de VitalOs.

8/10 implants prévus

Le planning :

8.30 Mise en place

9.00 Début de la chirurgie (détail à venir, après étude complète du cas)

Le midi repas en commun

AM débat sur les techniques (pas de cours) et les matériaux utilisés Implants, Vitalos, et matériel.

Ensuite visite de l’usine (tip top)

Eventuellement le soir repas pour ceux qui sont intéressés (dans un chalet montagnard, attention au Génépi)

Participation demandée : 120 € repas du midi compris

Réservations par MP.


--
xbk

100 2548 yoyhqd - Eugenol
100 2553 rra5re - Eugenol

S2y2o1v7q53ws4r5wy6ou8czrpom - Eugenol
pxav

03/06/2009 à 10h08

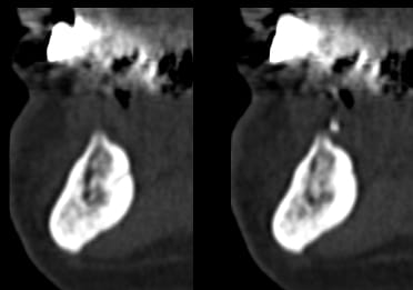
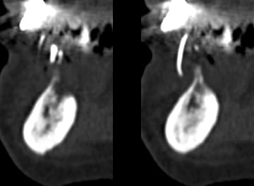
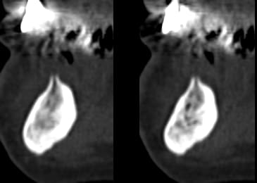
Un nouveau cas à étudier, merci du cadeau Béotien
Des avis?
Si on fait une expansion, cette serra chez toi
À bientôt

--
xbk

P2 - Eugenol

3f3boxni50k58rq7e9ce9ddqrxgk - Eugenol
dentiste57

03/06/2009 à 21h08

sur un opt , c'est pas top pour voir quoi faire.

un ptit scan ?


S2y2o1v7q53ws4r5wy6ou8czrpom - Eugenol
pxav

03/06/2009 à 21h16

celui là on le fait ce vendredi à Nantes chez LE béotien, plus une 12 sur un autre patient pour se mettre en jambe!
si possible je ferais des photos
--
xbk

P2 - Eugenol
P2 - Eugenol
P2 - Eugenol
P2 - Eugenol
P2 - Eugenol
P2 - Eugenol
P2 - Eugenol
P2 - Eugenol

3f3boxni50k58rq7e9ce9ddqrxgk - Eugenol
dentiste57

03/06/2009 à 22h32

pfff , c'est nul, j'étais libre demain toute la journée...


S2y2o1v7q53ws4r5wy6ou8czrpom - Eugenol
pxav

03/06/2009 à 22h51

dentiste57 écrivait:
--------------------
> pfff , c'est nul, j'étais libre demain toute la journée...

laprochaine fois!


--
xbk


Casque beotien a3jo39 - Eugenol
beotien

03/06/2009 à 23h05

;


S2y2o1v7q53ws4r5wy6ou8czrpom - Eugenol
pxav

04/06/2009 à 08h56

Béotien écrivait:
-----------------

> Cool les gars 20 ans que je me tue à expliquer aux représentants que je ne pose
> Que 10 implants par an pour être tranquille
> Et en plus vous allez flinguer mon pseudo
>

> Et je n'ai même pas d'appareil photo


Un béotien est un habitant de la Béotie, région de la Grèce.
Le béotien est un dialecte grec.


Béotien : 11 synonymes:
Balourd, barbare, bourgeois, fruste, grossier, ignorant, inculte, lourdaud, philistin, rustre, vulgaire.

T’inquiètes pas D57 si ça se trouve il n'est même pas français!
Ça va être sympa une démo en dialecte Grec, quoiqu'l’ dise je surveille mes arrières!

--
xbk


--
xbk

Casque beotien hl105 1  bnlkya - Eugenol

Casque beotien a3jo39 - Eugenol
beotien

04/06/2009 à 09h27

;


S2y2o1v7q53ws4r5wy6ou8czrpom - Eugenol
pxav

04/06/2009 à 11h16

beotien écrivait:
-----------------

> pvax si tu n'as pas pire je vais le mettre en avatar

si tu trouves d'où ça vient PXAV tu gagnes pas de gages!
sinon?
--
xbk


Casque beotien a3jo39 - Eugenol
beotien

04/06/2009 à 12h34

;


S2y2o1v7q53ws4r5wy6ou8czrpom - Eugenol
pxav

04/06/2009 à 12h52

non je parlais du mien

--
xbk


Casque beotien a3jo39 - Eugenol
beotien

04/06/2009 à 12h59

;


S2y2o1v7q53ws4r5wy6ou8czrpom - Eugenol
pxav

04/06/2009 à 13h31

beotien écrivait:
-----------------
> ton avion perso?

bon et bien pas de gages!
--
xbk

Copie de image26w rsqlhe - Eugenol

Casque beotien a3jo39 - Eugenol
beotien

04/06/2009 à 13h41

;


S2y2o1v7q53ws4r5wy6ou8czrpom - Eugenol
pxav

04/06/2009 à 14h11


d'autant que quand je volais il m'arrivait de poser court, trés court.....trop court
non ceux là ils allait un peu trop vite pour poser ailleurs que sur une vraie piste en dur
--
xbk

Img01189 d88vgb - Eugenol

Casque beotien a3jo39 - Eugenol
beotien

05/06/2009 à 22h44

;


S2y2o1v7q53ws4r5wy6ou8czrpom - Eugenol
pxav

06/06/2009 à 02h08

beotien écrivait:
-----------------


> La démo super bien menée sur un cas bcp plus difficile à gérer
> qu'il y paraissait
> Beaucoup de calme et de sureté et d'humour,dans les moments difficiles et il y
> en a eu, même avec la technique d'expansion condensation les 2 artérioles ont
> essayé de l'embêter, les tables vesti en regard 42 et 32 aussi
> au final 4 implants enfouis et bloqués
> travail très propre et j'ai beaucoup appris
> en live c'est quelque chose le pvax

> merci encore

merci à toi béotien autant de compliments ça fait du bien!

mais je n'aurai du ecouter que mon coeur et en mettre un 5° en 33 ce serait plus joli sur le pano
travail tres propre tu exagere j'ai nappé le col du chemiser de la patiente!
ah les atérioles!

merci pour le repas, parfaitement réalisé et servi par ton épouse, et ce petit blanc!

je reviens quand tu veux mêmes si il n'y a pas d'implants à poser!

bises à ton chat
--
xbk


Smile beach jgh0a1 - Eugenol
Céramik

06/06/2009 à 03h48


Salut les implantos,

Le pano pré-op est-il disponible ?
Il y avait des exo ?
C'est quoi le plan de tx pour la prothèse ?
Pourquoi expansion ?

Je crois que la disposition des implants est un peu étrange...
merci


--
Céramik


Casque beotien a3jo39 - Eugenol
beotien

06/06/2009 à 11h55

;


S2y2o1v7q53ws4r5wy6ou8czrpom - Eugenol
pxav

06/06/2009 à 12h10

beotien écrivait:
-----------------

> Le seul bémol suis je aussi patient que PXAV??
>

non tu te trompe le patient ce n'est pas moi, cest la dame qui est sous le champ!
pour les photos euh, je crois que mon kodak ne fonctionnais pas bien.............
ou alors que vous n'etiez pas compatible.
--
xbk

100 3738 y0rxfu - Eugenol
100 3754 irwzyo - Eugenol

P1010130 jpci1f - Eugenol
MarcB6

06/06/2009 à 13h17

Salut PXAV,

A combien règle tu le couple de ton moteur pour utiliser les vis d'expansion sur ton CA
( implantéo d' anthogyr, n'est ce pas ? )
j'utilise toujours les vis à la main, à la clef à cliquet ou encore avec un manche.
Quel avantage trouve tu à travailler avec un CA.
Merci
--
marcB6


S2y2o1v7q53ws4r5wy6ou8czrpom - Eugenol
pxav

06/06/2009 à 13h28

MarcB6 écrivait:
----------------
> Salut PXAV,
>
> A combien règle tu le couple de ton moteur pour utiliser les vis d'expansion sur
> ton CA
> ( implantéo d' anthogyr, n'est ce pas ? )
> j'utilise toujours les vis à la main, à la clef à cliquet ou encore avec un
> manche.
> Quel avantage trouve tu à travailler avec un CA.
> Merci
> --
> marcB6

slalut MarcB6

j'utilise l'implantcenter satelec, et je sui à 49 t/mn et couple 120! (il faut un bon joujou)
quelques fois le moteur est tres chaud
je prefere le travail au moteur car sur les cretes tres fines, l'instrument est plus stable
l'idée mais je ne le peux pas encore c'est de n'avoir qu'un porte outil sur le CA pour tout faire y compris la pose de l'implant


--
xbk

Implant center mqy0du - Eugenol

1...456...