Cookie Consent byPrivacyPolicies.comun cas pour PXAV. - Eugenol

un cas pour PXAV.

S2y2o1v7q53ws4r5wy6ou8czrpom - Eugenol
pxav

20/06/2009 à 13h31

pluton écrivait:
----------------
> pxav écrivait:
> --------------
>
> >
> > Le soir en option repas « festif » en chalet d’altitude (génépi de première
> qualité)
>
> ne s'apprécie que dans le contexte....(j'adore en montagne...j'ai du mal à la
> maison...)...a juste le défaut le faire virer le ballon distribué au bord de la
> route...;-))
>
> Dans ce pays là ils savent recevoir:
Transport en dodge 6x6 et navettes d'expéditions polaire!!

Quand il y a de la neige retour en luge (véridique et fabuleux) prévoir un éclairage (pas celui sur les loupes)

La dernière fois, je n'en avais pas bonjour l'angoisse!

prevoir par contre de ne pas travailler de bonne heure le lendemain.........



--
xbk


Casque beotien a3jo39 - Eugenol
beotien

20/06/2009 à 15h33

;


S2y2o1v7q53ws4r5wy6ou8czrpom - Eugenol
pxav

20/06/2009 à 16h48

beotien écrivait:
-----------------

> ton incision de depart est décalée?
> et comme demande dentiste 57 mettre les photos en séparée stp

L’incision est décalée par rapport à la crête, en vestibulaire, car je ne veux pas décoller le périoste sur la partie osseuse qui est mobilisée.

Je pense que ça permet de "nourrir" le "greffon" et surtout si la table interne venait à se rompre le "greffon" ne serait que semi-mobile.

Pour les photos je ne voulais pas encombrer le site.
Mais, si vous aimez!

Semaine prochaine double sinus au balloon lift control
Je vous raconterais...


--
xbk


Smile beach jgh0a1 - Eugenol
Céramik

20/06/2009 à 19h11

pxav écrivait:
--------------
> > > En endo je ne mets pas toujours la digue, c'est vrai, mais maintenant le
> canadien me demande si c'est propre le truc vital-os-bidule, ben oui c'est
> stérile.
>

Faut pas le prendre mal.
Rien avoir avec la digue
Ma vraie question est plutôt sur le mode de livraison du Vital-os...
C'est des doses unitaires ?
Il y a plusieurs volumes disponible ?
Je sais bien que le truc est stérile.




> dans le cas présenté, j'ai d'abord mis du perioglass (billes) que j'ai compacté
> "légèrement" à la compresse+Ostéotome pour "bloquer" la partie osseuse
> surélevée, puis j'ai mis le VitalOs que j'ai lui aussi "aplani" à la compresse +
> Ostéotome.
> Il maintient les billes, et les deux corticales et sert de membrane


Très beau cas clinique Pxav.
Pour les novices d'expansion comme moi, quelque questions:

1-Parfois tu places les implants, parfois non. Tu choisis comment ? lors de la chirurgie ?

2-Le perioglass, que j'ai beaucoup utilisé il y a 8-10 ans pour des défauts paro, est-il bon pour implanter ? Je pensais que c'était un ''filler'' donc pas de transformation en os vital.

3-Dans le cas présenté, tu avais quoi comme largeur de départ et finale ? Est-ce que tu en perds un peu avec la guérison ?


Merci
--
Céramik


Casque beotien a3jo39 - Eugenol
beotien

20/06/2009 à 19h18

;


S2y2o1v7q53ws4r5wy6ou8czrpom - Eugenol
pxav

20/06/2009 à 20h07

Céramik écrivait:
-----------------
> Faut pas le prendre mal. t'inquietes pas ceramik quand je le prends mal y a pas photo!


> Ma vraie question est plutôt sur le mode de livraison du Vital-os...

> C'est des doses unitaires ? Oui
> Il y a plusieurs volumes disponibles ? Non
>
> Très beau cas clinique Pxav. Merci

> Pour les novices d'expansion comme moi, quelque questions:
>
> 1-Parfois tu places les implants, parfois non. Tu choisis comment ? Lors de la
> Chirurgie ?

Quelques fois oui mais dans ce cas je voulais gagner 5/7 mm en hauteur pas en largeur et j’avais choisi avant de ne faire que la chirurgie (d’autant plus que c’est un cas que je dois présenter et finir en posant 3 ou 4 implants à droite et à gauche) en démo chez Anthogyr.

Coté droit il y a la hauteur mais pas de largeur, coté gauche manque de hauteur (je n’aime pas les implants de moins de 10 mm)

J’ai donc fait une expansion verticale et latérale puisque je n’ai pas coupé la corticale linguale, du moins dans sa partie postérieure, et j’espère gagner sur les deux tableaux, mais il était risqué de mettre en plus les implants.
>
> 2-Le perioglass, que j'ai beaucoup utilisé il y a 8-10 ans pour des défauts
> Paro, est-il bon pour implanter ? Je pensais que c'était un ''filler'' donc pas
> De transformation en os vital.

Dr. Jean Michel SAUTIER - Les matériaux bioactifs comme les dérivés phospho-calciques ou les verres bioactifs augmentent la formation osseuse et se lient directement à l’os avant d’être résorbés par des processus physiologiques (Hench et al., 1972 ; Loty et al., 2000 ; Hattar et al., 2002). Ces propriétés ont débouché sur des applications cliniques de ces substrat en tant que greffes osseuses artificielles, recouvrement d’implants métalliques ou supports cellulaires dans l’ingénierie du tissu osseux. Cette bioactivité implique des réactions physico-chimiques de surface et des évènements cellulaires aboutissant à la formation en surface des matériaux d’une hydroxyapatite carbonatée très proche des apatites biologiques et favorable à l’adhésion et la différenciation des cellules ostéogéniques.
Des stratégies plus récentes pour réaliser une régénération parodontale préconisent l’utilisation de la matrice de l’émail (Emdogain®). Nous avons pu montrer que des granules de bioverres (Perioglass®) recouverts d’Emdogain® permettaient une stimulation in vitro des paramètres de différenciation ostéoblastique, comme le facteur de transcription Cbfa1/Runx2 et les ARNm de l’ostéocalcine et la bonesialoprotein. Des verres non-réactifs (bioinertes) ont été utilisés comme contrôles. La microscopie électronique à transmission a montré que les contacts tissus/biomatériaux s’établissaient via une couche dense aux électrons permettant une nucléation secondaire des cristaux biologiques.

moi je n'ai pas de probleme avec.
>
> 3-Dans le cas présenté, tu avais quoi comme largeur de départ et finale ?

je post les coupes des que possible

J’ai une tranchée finale qui fait 8 à 9 mm moins 1 mm du trait de coupe donc il faudrait une triangulation pour le calcul mais je verrais les coupes scan une fois solidifié c’est + simple)

Est-ce que tu en perds un peu avec la guérison ?

En principe non car je ne touche pas la corticale crestale


--
xbk


Smile beach jgh0a1 - Eugenol
Céramik

20/06/2009 à 21h56

Merci pour la planification 3D, ça aide beaucoup à suivre ton cas. c'est quoi ton logiciel ?

J'ai plein de cas comme cela, ça va me permettre d'en faire plus !
Dommage, le Vital-os n'est pas au Canada...je vais trouver autre chose...plâtre ?

--
Céramik


S2y2o1v7q53ws4r5wy6ou8czrpom - Eugenol
pxav

21/06/2009 à 14h00

beotien écrivait:
-----------------

> et comme demande dentiste 57 mettre les photos en séparée stp

quelques photos en "grand"
--
xbk

100 3980 khrl46 - Eugenol
100 4025 ok4zw0 - Eugenol
100 4044 hhostj - Eugenol
100 4061 qrfdww - Eugenol
100 4067 ie1pmb - Eugenol
100 4075 qhghuk - Eugenol

3f3boxni50k58rq7e9ce9ddqrxgk - Eugenol
dentiste57

21/06/2009 à 16h50

putain de diou k c'est bo en grand!

magnifique, j'attends avec impatience notre rencontre.


Img 8465 fqhxid - Eugenol
noahaxeltiger-olivier

21/06/2009 à 22h49

pxav écrivait:
--------------
Joli. Bel acte chirurgical mené avec talent !!

Petite remarque : personnellement je n'aurais pas suffisamment fais confiance au perioglass pour tenir la partie osseuse surélevée mais j'aurais introduit un bloc d'os autogène comme coin puis combler le reste de la brêche avec du matériaux de comblement.

Amicalement
Olivier


Fresh watermelon 640x562 udulqz - Eugenol
gulguch

22/06/2009 à 02h10

D'abord, bravo pour le courage de te coltiner l'expansion à la mandibule postérieure, c'est vraiment l'himalaya de l'implantologie, et pour la qualité de ton travail.
Juste une question: pour fermer les tisssus mous, là il n'y avait probablement pas de problème, on dirait que l'on est ds la muqueuse, mais sinon dans des cas analogues (plus antérieurs) avec de la GA, tu fais une incision du perioste (Bernimoulin) vestibulaire uniquement, ou lingual aussi?
Je te pose la question parce qu'un conférencier a dit "à la mandibule, on a jamais de problème pour fermer, il suffit d'inciser sous le mylohyoidien": à ton avis est-ce un abus de langage, ou peut on tranquillement désinsérer le mylohyoidien?
A+


S2y2o1v7q53ws4r5wy6ou8czrpom - Eugenol
pxav

22/06/2009 à 09h51

Merci pour les compliments.

Pour la question gestion des tissus mous, n'étant pas un "pro" de la gencive, je dirais que dans tous les cas j'incise au minimum, j'ai toujours pratiqué ainsi, même à l'époque ou les tendances étaient d'inciser large.

J’ai toujours eu l'impression que moins on décolle moins on n'a de problèmes.

Pour l'élévation mandibulaire, je ne cherche pas 5cm mais 5 à 8 mm donc je préfère ne pas toucher au coté lingual.
L’utilisation du piézo permet de couper seulement l'os, et la muqueuse garde son action.
Je ne sais pas pourquoi ton conférencier avait besoin d'une incision sous le mylo, en général je n'y vais pas

Mettre de la simplicité dans les techniques "compliquées" ça ne mange pas de pain.
--
xbk


S2y2o1v7q53ws4r5wy6ou8czrpom - Eugenol
pxav

22/06/2009 à 09h57

noahaxeltiger-olivier écrivait:
-------------------------------

> Joli. Bel acte chirurgical mené avec talent !!
>
> Petite remarque : personnellement je n'aurais pas suffisamment fais confiance au
> perioglass pour tenir la partie osseuse surélevée mais j'aurais introduit un
> bloc d'os autogène comme coin puis combler le reste de la brêche avec du
> matériaux de comblement.


stop, j'ai les chevilles qui enflent!

bloc d'os = prelevement, alors pourquoi pas une greffe en onlay?

la confiance, n'est que le fruit de mon experience, et je n'ai pas de soucis avec ce produit.
je precise bien: JE n'ai pas de soucis, mais je n'en fait pas une regle pour les autres, dans mon cas ça marche.
faire simple tel est ma regle.
--
xbk


S2y2o1v7q53ws4r5wy6ou8czrpom - Eugenol
pxav

22/06/2009 à 09h58

dentiste57 écrivait:
--------------------


> magnifique, j'attends avec impatience notre rencontre.


Ton patient peut etre moins!
--
xbk


S2y2o1v7q53ws4r5wy6ou8czrpom - Eugenol
pxav

22/06/2009 à 19h28

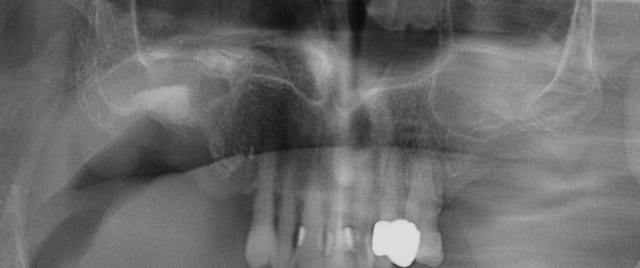
panoramique et photo pas de suite post op pas d'hematome, pas de douleur YESSSS
implants dans 5 mois si tvb

--
xbk

Fa jo 22.06 - Eugenol
100 4086 dm1rp0 - Eugenol
100 4092 np542j - Eugenol

3f3boxni50k58rq7e9ce9ddqrxgk - Eugenol
dentiste57

22/06/2009 à 21h35

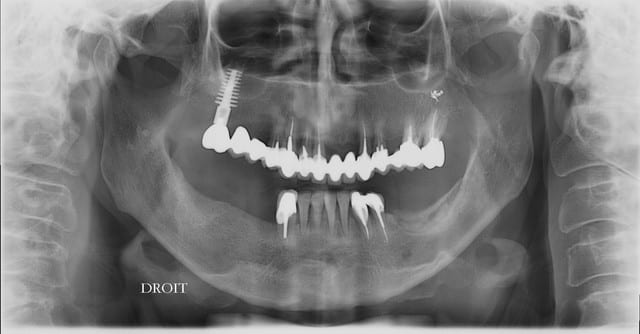
bridge de fou (33-37) qui est tombé il y a une semaine.

si possible 3 implants et le patient est ok pour expansion, reste plus qu'à voir pour le planing...

si ça te tente...

Dsc 3771 dxjngh - Eugenol
Dsc 3768 g43qex - Eugenol
Dsc 3773 w3zjy8 - Eugenol
Dr g t h5sue0 - Eugenol

S2y2o1v7q53ws4r5wy6ou8czrpom - Eugenol
pxav

22/06/2009 à 21h55

dentiste57 écrivait:
--------------------
> bridge de fou (33-37) qui est tombé il y a une semaine.
>
> si possible 3 implants et le patient est ok pour expansion, reste plus qu'à voir
> pour le planing...
>
> si ça te tente...

vous voulez ma mort!
cas interessant, pas de probleme j'ai du temps ... la nuit ou le dimanche!
je pense à m'installer dans la même rue que toi ce sera plus simple.
non sans rire je regarde mon planning et on le fait.


--
xbk


Fresh watermelon 640x562 udulqz - Eugenol
gulguch

23/06/2009 à 01h12

Merci pour la réponse, il devient passionnant ce forum.


Casque beotien a3jo39 - Eugenol
beotien

23/06/2009 à 01h20

,


Smile beach jgh0a1 - Eugenol
Céramik

23/06/2009 à 02h19


C'est pas le bridge qui est fou...
c'est les 12 endos au maxillaire !
WOW, jamais vu tant d'endo sur une arcade en 17 ans !

--
Céramik


S2y2o1v7q53ws4r5wy6ou8czrpom - Eugenol
pxav

23/06/2009 à 08h23

beotien écrivait:
-----------------
> est ce la partie fixe du distracteur tu l'as impacté
> ou tu as fais une 2eme incision au piezo
> si comme je le pense 2eme incision combien de MM sous l"autre
>
Il y a deux incisions séparées de 1,5 à 2mm, initiées au disque (double comme sur les motos) et finies au piézo
Il est illusoire de croire que l'os mandibulaire se laisse "pénétrer" simplement.
Et surtout il faut pouvoir retirer le distracteur ensuite.

--
xbk


S2y2o1v7q53ws4r5wy6ou8czrpom - Eugenol
pxav

23/06/2009 à 14h34

dentiste57 écrivait:
--------------------

> si possible 3 implants et le patient est ok pour expansion, reste plus qu'à voir
> pour le planing...
tu as quoi comme hauteur en 34/35/36 par rapport au V3?
j'ai la flemme de mesurer sur l'ecran
et si tu peux passe les radios des deux autres cas prévus
merci

Michelange

--
xbk


S2y2o1v7q53ws4r5wy6ou8czrpom - Eugenol
pxav

30/06/2009 à 19h03

pxav écrivait:
--------------
> dentiste57 écrivait:
> --------------------
>
> > si possible 3 implants et le patient est ok pour expansion, reste plus qu'à
> voir
> > pour le planing...
> tu as quoi comme hauteur en 34/35/36 par rapport au V3?
> j'ai la flemme de mesurer sur l'ecran
> et si tu peux passe les radios des deux autres cas prévus
> merci
>
j'ai pris les mesures, ça va etre "sportif" V3 "present", os D1, pas de hauteur je prendrais un cognac apres le kirr au petit dej.
samedi 18 à quelle heure?
> --
> xbk


--
xbk


S2y2o1v7q53ws4r5wy6ou8czrpom - Eugenol
pxav

04/07/2009 à 17h01

essai de comblement de sinus avec un Balloon de Meissinger
tres praticien dependant semble t il
bof
le gros avantage c'est le peu de "misere" pour le patient
dans ce cas je suis passé par la racine mesio vest de la 16 que je venais d'extraire


--
xbk

Copie de magui04 07 2009 ttoxun - Eugenol

alhoun

05/07/2009 à 12h42

je n'arrive pas à saisir la finalité de ce traitement.


1...678...