Cookie Consent byPrivacyPolicies.comun cas pour PXAV. - Eugenol

un cas pour PXAV.

S2y2o1v7q53ws4r5wy6ou8czrpom - Eugenol
pxav

05/07/2009 à 14h08

alhoun écrivait:
----------------
> je n'arrive pas à saisir la finalité de ce traitement.

le but c'est de refaire la bouche de la dame, il lui reste fort peu de dent et elle m'a pour le moment posé une limite de budget qui me permet de faire le bas.
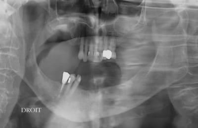
en haut j'ai déposé un bridge de 4 dents,(17/16/15/14) et j'ai fait une "augmentation" du sinus par la racine mesiale de 16, (avec un balloon)un comblement de sinus par fenetre latérale n'etant pas envisageable pour le moment.
interet: pas de suite, ni douleur ni autres.
inconvenients: expansion limité, pas de controle direct
je sait que je pourrais poser 4 implants plus tard si le budget est là.
en bas extrac 33/34
dans 3 semaines je pense poser 7 à 9 implants et peut etre mise en vitrine immediate (pas sur)


--
xbk

Ma g 04.07 - Eugenol

S2y2o1v7q53ws4r5wy6ou8czrpom - Eugenol
pxav

05/07/2009 à 14h08

.


alhoun

05/07/2009 à 14h25

je ne comprends toujours pas.
mais ça doit être moi...
ce fractionnement du traitement , ce je fais un sinus et plus tard si elle veut-peut je mets des implants, et pour l'autre sinus je fais la danse de la pluie....
je trouve qu'il n'y a pas de cohérence dans ce plan de traitement.


S2y2o1v7q53ws4r5wy6ou8czrpom - Eugenol
pxav

05/07/2009 à 14h42

alhoun écrivait:
----------------
> je ne comprends toujours pas.
> mais ça doit être moi...
> ce fractionnement du traitement , ce je fais un sinus et plus tard si elle
> veut-peut je mets des implants, et pour l'autre sinus je fais la danse de la
> pluie....
> je trouve qu'il n'y a pas de cohérence dans ce plan de traitement.


mais non il n'y a pas incohérence, il y a que c'etait une journée de merde, j'ai fais 4 sinus vendredi
le premier une perfo
le deuxieme une dent de sagesse au fond (malgré une separation pour sécuriser l'extract)
le troisieme un comblement correct sans plus (celui presenté)
et le 4° perfo
je ne suis pas plus malin que la moyenne en cas de prefo initiale je n'insiste pas je referme et je refais une tentative dans 3 mois.
le devis initial, me permet de faire le bas et je suis sur à 99% que la patiente suivra pour le haut même si pour le moment je fais le comblement sur mon compte pas sur le sien.
la bouche complete represent un petit paquet de pepetes, rien ne sert de mettre la charrue avant les boeufs.
dans l'echec on apprend toujours, mais le patient beaucoup moins.
--
xbk


Smile beach jgh0a1 - Eugenol
Céramik

06/07/2009 à 02h43

Salut Pxva,

Petites suggestions..
Je ne crois pas qu'il te faut 7-8-9 implants en bas...
Avec 5 implants, tu as une barre et un complet.
Donc tu sauves 3-4 implants et tu fais le haut.

Pour le sinus via la 16, pas mal, mais tu n'as pas le volume pour placer 4 implants dans cette région, enfin selon moi.

Pour le haut, j'enlève tout, double sinus et 8 implants.

A+

--
Céramik


S2y2o1v7q53ws4r5wy6ou8czrpom - Eugenol
pxav

06/07/2009 à 09h42

Céramik écrivait:
-----------------
> Salut Pxva,
>
> Petites suggestions..
> Je ne crois pas qu'il te faut 7-8-9 implants en bas...
> Avec 5 implants, tu as une barre et un complet.
> Donc tu sauves 3-4 implants et tu fais le haut.
>
> Pour le sinus via la 16, pas mal, mais tu n'as pas le volume pour placer 4
> implants dans cette région, enfin selon moi.
>
> Pour le haut, j'enlève tout, double sinus et 8 implants.
>
> A+
>
> --
> Céramik
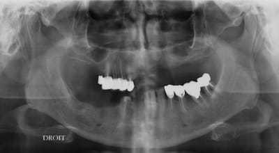
le but ce n'est pas un complet stabilisé par barre, la patiente veux des dents fixes mais desire voir ce que ça donne en bas d'abord.
donc je fais d'abord le bas en fixe
je ne sais pas si je mettrais 6/8 ou 10 implant, ça va dépendre de "comment ça ce passe, mais je prevois large (contrairement à l'os qui est "etroit")
une fois le bas fait je pense que le haut suivra
qui va piano va sano...
dans mes plannifications, je "n'économise" pas d'un coté pour faire l'autre, soit le patient peut payer, et pas de problèmes, soit il est limité, et je choisi si le cas m'interesse, je fais sans chercher à respecter mes tarifs, qui ne sont pas "plancher" donc j'ai toutes possibilité d'adaptation.
se faire plaisir est plus important que de faire du pognon des fois.
nous ne sommes que de passage, alors........

--
xbk


S2y2o1v7q53ws4r5wy6ou8czrpom - Eugenol
pxav

06/07/2009 à 20h24

le patient ne veux que du fixe haut et bas.

--
xbk

Nouveau 3 p7le8y - Eugenol
Nouveau 4 f6iaw5 - Eugenol
Va he 23.06 - Eugenol
Nouveau 1 skevjo - Eugenol
Nouveau 2 v06pma - Eugenol
Nouveau 5 gha7ka - Eugenol
Nouveau 6 ciknqg - Eugenol
100 4442 ibvw2y - Eugenol
100 4445 edpz3f - Eugenol

alhoun

06/07/2009 à 21h33

désolé, je ne suis toujours pas convaincu.
je trouve même ta démarche aberrante.
j'argumenterai plus tard... mais les arguments sautent aux yeux, le québécois a commencé à les défricher.



> le but ce n'est pas un complet stabilisé par barre, la patiente veux des dents
> fixes mais desire voir ce que ça donne en bas d'abord.
> donc je fais d'abord le bas en fixe
> je ne sais pas si je mettrais 6/8 ou 10 implant, ça va dépendre de "comment ça
> ce passe, mais je prevois large (contrairement à l'os qui est "etroit")
> une fois le bas fait je pense que le haut suivra
> qui va piano va sano...
> dans mes plannifications, je "n'économise" pas d'un coté pour faire l'autre,
> soit le patient peut payer, et pas de problèmes, soit il est limité, et je
> choisi si le cas m'interesse, je fais sans chercher à respecter mes tarifs, qui
> ne sont pas "plancher" donc j'ai toutes possibilité d'adaptation.
> se faire plaisir est plus important que de faire du pognon des fois.
> nous ne sommes que de passage, alors........
>
> --
> xbk


S2y2o1v7q53ws4r5wy6ou8czrpom - Eugenol
pxav

06/07/2009 à 21h48

alhoun écrivait:
----------------
> désolé, je ne suis toujours pas convaincu.
> je trouve même ta démarche aberrante.
> j'argumenterai plus tard... mais les arguments sautent aux yeux, le québécois a commencé à les défricher.

là c'est moi qui ne comprends pas, je ne saisis pas ton problème.
la patiente à eu deux mobiles en 6 mois,(pas par moi) elle ne les supporte pas, elle veux d'abord le bas, je prepare le haut de façon simple, je me plante sur le sinus gauche, je gérerais plus tard (je ne peux pas aller plus vite que la musique) et j'essaie de lui faire un bas fixe ce qui n'est pas evident sur un pano c'est l'epaisseur de l'os
pour une fois je pense utiliser des implants courts (- de 10mm) donc j'en mets plus que des longs.
le quebecois, qui fait du tres bon travail n'a pas le même avis, c'est son droit, mais parler d'aberrations?
moi pas comprendre : explique je suis ouvert.
--
xbk


Smile beach jgh0a1 - Eugenol
Céramik

07/07/2009 à 05h52

pxav écrivait:
--------------
> le quebecois, qui fait du tres bon travail n'a pas le même avis, c'est son
> droit, mais parler d'aberrations?
> moi pas comprendre : explique je suis ouvert.
> --
> xbk


Mon avis ne vaut pas mieux que le tient, tu connais ton patient et les nuances de son choix de traitements.

Je trouvais cela un peu drôle de faire du fixe sur 8-10 implants en bas et conserver un haut aussi mal balancé.
Si tu veux faire du fixe en bas ET en haut, pas de problème, il y a plusieurs façons de la faire.

Comme les sinus prennent des mois de préparations, je commence souvent par les sinus, puis pose en bas pour stabiliser le complet (qui peux devenir fixe selon les cas) et ensuite je pose en haut, et je termine avec les restaurations haut et bas.


--
Céramik


S2y2o1v7q53ws4r5wy6ou8czrpom - Eugenol
pxav

07/07/2009 à 08h54

Céramik écrivait:
-----------------

>
> Mon avis ne vaut pas mieux que le tient, tu connais ton patient et les nuances de son choix de traitements.
>

>
> Comme les sinus prennent des mois de préparations, je commence souvent par les
> sinus, puis pose en bas pour stabiliser le complet (qui peux devenir fixe selon
> les cas) et ensuite je pose en haut, et je termine avec les restaurations haut
> et bas.
> --
> Céramik

là je comprends!
c'est simplement ce que je fais,sans doute mal expliqué mais il est èvident que je m'interesse à la bouche dans son ensemble, avec les nuances de preparations duent aux "blocages" du patient.

je ferais ce qu'il faut pour que ce soit au minimum "correcte"

le sinus présenté etait une occasion de "préparer" le site avec le système "balloon" de Meissinger qui m'etait prété en démo, et je ne suis pas satisfait du résultat obtenu car il est difficile de manipuler un interieur de sinus sans visibilité
l'idée me plaisait, pas la réalisation.

--
xbk


Fresh watermelon 640x562 udulqz - Eugenol
gulguch

08/07/2009 à 01h03

Je ne vois pas le problème dans ce que fait Pxav, mème si le haut est "mal balancé".
Les dents antérieures du haut, plus ou moins branlantes, ne représentent pas un risque pour les implants du bas; au contraire, c'est l'assurance de garder là une mastication diminuée ( celle de la PAP)dans les premiers mois, pendant que les sinus, etc..
A tout prendre c'est meilleur que conjointe fixe en MCI sans proprioception aux deux arcades.
J'entends penser d'ici ce vieux sournois de Pxav: il sait bien, lui que c'est les implants du bas qui vont délocher les dents du haut, et qu'un avenant va bientot s'imposer aux papiers du début.
A+


S2y2o1v7q53ws4r5wy6ou8czrpom - Eugenol
pxav

08/07/2009 à 10h25

gulguch écrivait:
-----------------
> Je ne vois pas le problème dans ce que fait Pxav, mème si le haut est "mal
> balancé".

merci j'aimes etre compris!

> Les dents antérieures du haut, plus ou moins branlantes, ne représentent pas un
> risque pour les implants du bas; au contraire, c'est l'assurance de garder là
> une mastication diminuée ( celle de la PAP)dans les premiers mois, pendant que
> les sinus, etc..
> A tout prendre c'est meilleur que conjointe fixe en MCI sans proprioception
> aux deux arcades.
> J'entends penser d'ici ce vieux sournois de Pxav: il sait bien, lui que c'est
> les implants du bas qui vont délocher les dents du haut, et qu'un avenant va
> bientot s'imposer aux papiers du début.
> A+

là je m'inscrits en faux, si la patiente me laisse faire le haut, je ne pense pas qu'une fois l'occlusion "calée" les anterieures risquent quelques chose.
reponse en septembre?

--
xbk


Fresh watermelon 640x562 udulqz - Eugenol
gulguch

09/07/2009 à 00h31

pxav écrivait:
--------------
> là je m'inscrits en faux, si la patiente me laisse faire le haut, je ne pense
> pas qu'une fois l'occlusion "calée" les anterieures risquent quelques chose.

Mmm, la 12 est encore là dans 7 ans?


S2y2o1v7q53ws4r5wy6ou8czrpom - Eugenol
pxav

09/07/2009 à 09h27

gulguch écrivait:
-----------------

> Mmm, la 12 est encore là dans 7 ans?


non,oui,non,oui????
rdv dans 7 ans.

Sérieusement je n'ai pas dit qu'il ne faudrait pas intervenir dans ce secteur là
Mais franchement si je cale l'occlusion, que le bas est stable, le remplacement d'une 12 ne devrais pas être trop compliqué.
J’en reviens au fait que j'ai mis sur nonol un cas de sinus fait au balloon, c'est ce qui me paraissait important, et que la discussion s'étale sur la planification du travail.
Erreur de présentation, erreur d'objectif, désolé.
Mais il me semblait important de dire que le système balloon était très praticien dépendant et ne m'a pas semblé être un progrès ni une simplification par rapport aux méthodes que j'utilise d'habitude.

--
xbk


Fresh watermelon 640x562 udulqz - Eugenol
gulguch

09/07/2009 à 18h25

pxav écrivait:
--------------
>
>> Erreur de présentation, erreur d'objectif, désolé.
> Mais il me semblait important de dire que le système balloon était très
> praticien dépendant et ne m'a pas semblé être un progrès ni une simplification
> par rapport aux méthodes que j'utilise d'habitude.
>

Ma qué erreur, c'est des détails, ça, ton travail est trés bien Pxav: de toute façon la patiente choisit en connaissance de cause et les implants que tu mets, en bas et sur les sinus ont les meilleures chances de succés, et c'est ça qui compte.
Quant au ballon, moi aussi j'ai déchiré une membrane l'autre jour, et c'est ma faute: j'ai tellement cru que avec le ballon c'était mieux, que j'y suis allé moins "gently" (comme dit M. Tatum)que d'habitude! Bien fait pour moi.
Toujours à propos de ce p..ain de ballon, j'ai vu l'autre jour un conférencier qui utilisait un liquide d'angiographie dans le ballon pour voir le volume à la radio. Là, c'est interessant: tu n'aurais pas un nom de produit, si tu connais?
A+


S2y2o1v7q53ws4r5wy6ou8czrpom - Eugenol
pxav

09/07/2009 à 19h48

gulguch écrivait:
-----------------
> pxav écrivait:
> --------------
> >
> >> Erreur de présentation, erreur d'objectif, désolé.
> > Mais il me semblait important de dire que le système balloon était très
> > praticien dépendant et ne m'a pas semblé être un progrès ni une simplification
> > par rapport aux méthodes que j'utilise d'habitude.
> >
>
> Ma qué erreur, c'est des détails, ça, ton travail est trés bien Pxav: de toute
> façon la patiente choisit en connaissance de cause et les implants que tu mets,
> en bas et sur les sinus ont les meilleures chances de succés, et c'est ça qui
> compte.
> Quant au ballon, moi aussi j'ai déchiré une membrane l'autre jour, et c'est ma
> faute: j'ai tellement cru que avec le ballon c'était mieux, que j'y suis allé
> moins "gently" (comme dit M. Tatum)que d'habitude! Bien fait pour moi.
> Toujours à propos de ce p..ain de ballon, j'ai vu l'autre jour un conférencier
> qui utilisait un liquide d'angiographie dans le ballon pour voir le volume à la
> radio. Là, c'est interessant: tu n'aurais pas un nom de produit, si tu connais?
> A+
tu connais Tatum de quand?
tu as fait Lille?
et le balloon j'etais enthousiaste, mais j'ai peté deux balloon pour le sinus droit et ça m'a un peu gonflé (pas le ballon) j'ai donc fini en manuel (pas Chanavaz) et resultat bof.
je connais le produit d'angio mais ne sais pas le nom je vais chercher ce serais plus pratique
tu utilise beaucoup le balloon?

--
xbk


Fresh watermelon 640x562 udulqz - Eugenol
gulguch

09/07/2009 à 20h46

Tatum, j'ai juste assisté à des conférences et j'ai tout de suite compris pourquoi c'est lui qui a inventé le sinus lift: un gentilhomme du sud, aimable et tout en douceur, qui ne doit pas souvent crever cette X@XXain de membrane.
Tatum avait inventé le sinus lift, et ne publiait pas. D'autres publièrent, sans trop le citer, je crois. Il fallut l'intervention de praticiens US pour inciter Tatum à publier enfin, dans Dental Clinics of North Am si je ne me trompe et à rétablir l'antériorité. Trop brave, il est.
Quand vous fraisez la fenétre, vous voyez apparaitre avec soulagement ce qu'il appelle "the blueish hue of the Schneiderian membrane": c'est poétique.
Encore une chose: ses implants en forme de radiateur des années 70 préfiguraient les alpha bio et consorts d'aujourd'hui: il avait bien compris, lui, que c'est la surface horizontale des pales qui compte!

Bon vous avez compris, quand j'étais jeune, je voulais devenir Hilt Tatum, ou rien. Et bien ça a été rien.

Quant au ballon, c'était le premier, mais je me demande s'il faut continuer! Remarque, peut être que c'est comme le sexe, et que la première fois, bon..
A+


S2y2o1v7q53ws4r5wy6ou8czrpom - Eugenol
pxav

09/07/2009 à 22h09

gulguch écrivait:
-----------------

>
> Bon vous avez compris, quand j'étais jeune, je voulais devenir Hilt Tatum, ou
> rien. Et bien ça a été rien.
>
> Quant au ballon, c'était le premier, mais je me demande s'il faut continuer!
> Remarque, peut être que c'est comme le sexe, et que la première fois, bon..
d'accord pour le sexe (what else?) et pour le ballon il m'en reste un donc je vais refaire un essai, mais je vais adapter "ma" méthode je vous dirais (en principe mercredi 15)
mais le kit est trop complexe pour le moment donc je vais essayer autre chose.
pour Tatum je pose encore du D (radiateur) c'est le meilleur implant que j'ai jamais utiliser avec les lames ramiques de Chanavaz, si la partie prothetique avait évoluée je poserais les Tatum de façon majoritaire mais c'est trop basique.
son premier sinus c'est en 70......
et quelle classe, le voir travailler c'est le pinacle.
il m'a tout appris de la "comprehension" de l'os.


> A+


--
xbk


Img 8465 fqhxid - Eugenol
noahaxeltiger-olivier

10/07/2009 à 00h35

pxav écrivait:
--------------
> le sinus présenté etait une occasion de "préparer" le site avec le système
> "balloon" de Meissinger qui m'etait prété en démo, et je ne suis pas satisfait
> du résultat obtenu car il est difficile de manipuler un interieur de sinus sans
> visibilité
> l'idée me plaisait, pas la réalisation.

La technique d'élévation sinusienne grace à des ballonnets par voie crestale, technique appelée MIAMBE (Minimally Invasive Antral Membrane Balloon Elevation) est une technique fiable mais destinée à des élevations ponctuelles pour des unitaires. Cette technique n'est pas vraiment indiquée pour la réalisation d'une élévation sinusienne intéressant plusieurs dents (à moins d'avoir un plancher sinusien très plat).
Cela n'est techniquement pas impossible à condition de pratiquer plusieurs puits d'entrée.
Donc pxav, je ne suis pas sûr que le problème vienne du ballonnet mais plutôt de l'indication que tu as fait de cette technique.

Amicalement.
olivier.


S2y2o1v7q53ws4r5wy6ou8czrpom - Eugenol
pxav

10/07/2009 à 09h34

noahaxeltiger-olivier écrivait:
-------------------------------


> Donc pxav, je ne suis pas sûr que le problème vienne du ballonnet mais plutôt de
> l'indication que tu as fait de cette technique.
>
> Amicalement.
> olivier.


tout à fait d'accord avec toi sur le principe, mais (peut etre suis je tombé sur un mauvais lot) le fait d'avoir deux balloons sur trois qui "lache" en quelques secondes (200€ piece) ça m'a sans doute aidé à ne pas apprecier!

je vais quand même faire une autre tentative, il ne faut pas mourir idiot

tu pratiques?

--
xbk


Img 8465 fqhxid - Eugenol
noahaxeltiger-olivier

22/08/2009 à 22h53

pxav écrivait:
--------------
> J’ai donc fait une expansion verticale et latérale puisque je n’ai pas coupé la
> corticale linguale, du moins dans sa partie postérieure, et j’espère gagner sur
> les deux tableaux, mais il était risqué de mettre en plus les implants.


Comme je te l'avais posté, j'ai une autre approche pour les expansions verticales.
J'ai du mal à faire confiance au simple matériaux de comblement comme mainteneur d'espace ou de cale.
Soit j'utilise un bloc osseux, mais si je ne veux pas faire de prélèvement de bloc, j'utilise des plaques d'ostéosynthèse. Super simple et sûr. Tu positionnes ton bloc à la hauteur que tu désires et avec l'angulation latérale que tu souhaites.
Le hiatus est comblé avec un biomatériaux (pour moi BioOss + os autogène) et le tout recouvert d'une double membrane de Ossix.


Img 8465 fqhxid - Eugenol
noahaxeltiger-olivier

22/08/2009 à 22h55

Photos cliniques :

Augmentation crestale verticale ezqjoa - Eugenol

S2y2o1v7q53ws4r5wy6ou8czrpom - Eugenol
pxav

23/08/2009 à 00h37

je pense que ta technique est bonne, as tu une experience avec les distracteurs?

--
xbk


Blason dql7mj - Eugenol
growler

23/08/2009 à 13h03

Olivier, pourquoi une ossix plutôt qu'une biomend extend et pourquoi en double?


1...789...