Cookie Consent byPrivacyPolicies.comun cas complexe - Eugenol

un cas complexe

Cuisinier2 vnbbxx - Eugenol
jeff2

16/05/2009 à 22h35

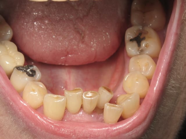
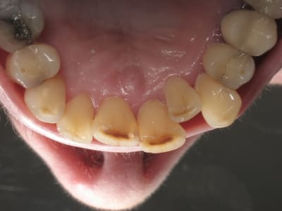
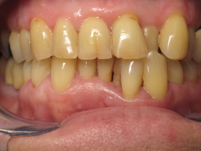
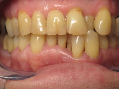
Je laisse volontairement trainer dans la salle d'attente, un livre de Nobel biocare(voir image)
aujourd'hui, cette patiente, qui accompagne sa fille, me tend le livre et me dit, je veux la même chose.
J'ai senti, qu'il y avait un vrai désir d'arranger son sourire qui se dégrade d'année en année.
Elle a refusé l'ortho, jusqu'à maintenant.
Voyez vous une autre possibilité sans ortho pour améliorer ce sourire qui ne peut que se "raccourcir" au cours du temps ?

Img 0484 ujba5x - Eugenol
Img 0479 f9ynyp - Eugenol

Smile beach jgh0a1 - Eugenol
Céramik

16/05/2009 à 23h38


Aucun problème...
Elle a des sous ? ;-)
Radios, photos (sourire, hauteur de lèvre, occlusion, arcades, etc) Modèles, bilan paro.
Bref avec toute l'info, on peut faire des miracles...Cas complexe, je ne pense pas.

A+

--
Céramik


S2y2o1v7q53ws4r5wy6ou8czrpom - Eugenol
pxav

16/05/2009 à 23h47

Aucun problème...
Elle a des sous ? ;-)
Radios, photos (sourire, hauteur de lèvre, occlusion, arcades, etc) Modèles, bilan paro.
Bref avec toute l'info, on peut faire des miracles...Cas complexe, je ne pense pas

des miracles peut etre pas mais mieux ça doit etre possible,
par contre je trouves je trouve que la plaquette nobel est un peu commerciale pour une salle d'attente car si la patiente veux cette bouche la il lui faudra effectivement des miracles
--
xbk


Logo vuaztn - Eugenol
mac

16/05/2009 à 23h48

d'abord un wax up.


Smile beach jgh0a1 - Eugenol
Céramik

17/05/2009 à 00h39

mac écrivait:
-------------
> d'abord un wax up.



Faut voir les radios, le bilan paro, l'occlusion et ensuite cirage.
La brochure Nobel fait commercial...et après ?
Si elle veut prendre l'avion... ;-)
--
Céramik


Cuisinier2 vnbbxx - Eugenol
jeff2

17/05/2009 à 00h40

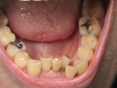
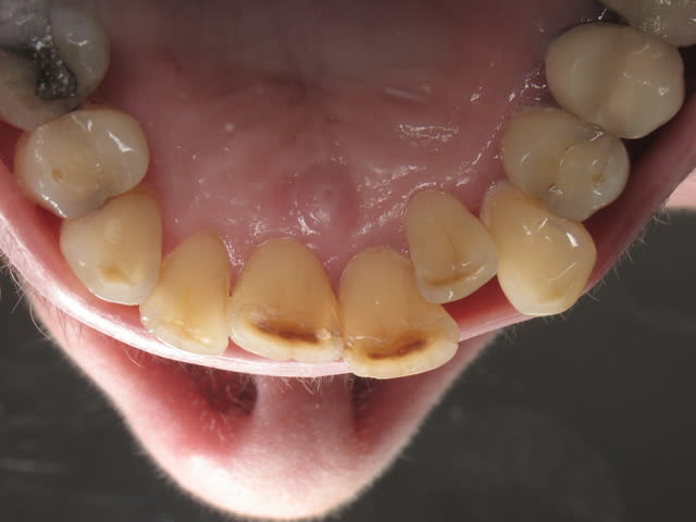
Ah oui j'ai oublié, elle a 77 ans
état paro impeccable

Img 0480 n6xxon - Eugenol
Img 0481 xlgjtf - Eugenol

Smile beach jgh0a1 - Eugenol
Céramik

17/05/2009 à 01h12


C'est possible, tu enlèves quelques dents...

et hop, on va me tomber dessus....


--
Céramik


 mg 0207 xwjxcl - Eugenol
Tillc

17/05/2009 à 01h27

facile facile.... facile a dire surtout .
Comment tu pourrais gerer la 22 ceramik ?


Cuisinier2 vnbbxx - Eugenol
jeff2

17/05/2009 à 01h49

perso en dehors de toute éthique, vu que ca fait exactement 30 ans quelle me demande ca, et qu'elle a toujours refusé l'ortho( trois visites chez l'ortho a 5 ans d'intervalle)

j'extrais 41 42 31 22
Plastie distale de 21, plastie occlusale de 33
deux implants 22 42 en mise en charge immediate
couronne provisoire sur 32 (pour l'elargir) , une dent en extension sur 42, le tout en un temps chirurgical bien sur.
Je ne suis pas sur que Carole me suive :-)


Smile beach jgh0a1 - Eugenol
Céramik

17/05/2009 à 03h16

jeff2 écrivait:
---------------
> perso en dehors de toute éthique, vu que ca fait exactement 30 ans quelle me
> demande ca, et qu'elle a toujours refusé l'ortho( trois visites chez l'ortho a 5
> ans d'intervalle)
>
> j'extrais 41 42 31 22
> Plastie distale de 21, plastie occlusale de 33
> deux implants 22 42 en mise en charge immediate
> couronne provisoire sur 32 (pour l'elargir) , une dent en extension sur 42, le
> tout en un temps chirurgical bien sur.
> Je ne suis pas sur que Carole me suive :-)


...et en un temps, tu peux aussi placer des tempos de 15 à 25 et de 35 à 45...là ça sera plus joli.
Si tu es rapide, t'as le temps de faire le haut et le bas d'un seul coup, les exos et implants, ça prend que 1h00.

Tu peux aussi oublier les implants, faire tes exos et tout tailler haut et bas.

C'est qui Carole ?



--
Céramik


Cuisinier2 vnbbxx - Eugenol
jeff2

17/05/2009 à 10h01

Purée! Céramik, t'es vachement mutilant!! :-)


Marque a3 orange fyvhyq - Eugenol
Marc Apap

17/05/2009 à 10h05

Céramik écrivait:
-----------------

> ...et en un temps, tu peux aussi placer des tempos de 15 à 25 et de 35 à 45...là
> ça sera plus joli.
> Si tu es rapide, t'as le temps de faire le haut et le bas d'un seul coup, les
> exos et implants, ça prend que 1h00.
>
> Tu peux aussi oublier les implants, faire tes exos et tout tailler haut et bas.
>

Céramik, l'Amibien d'Outre-Atlantik


odonto

17/05/2009 à 10h49

jeff2 écrivait:
---------------
> Ah oui j'ai oublié, elle a 77 ans
> état paro impeccable

Franchement ne serait-il pas plus raisonnable de lui faire comprendre que vouloir un sourire de star à 77 ans, c'est pas forcément une bonne idée ?


Cuisinier2 vnbbxx - Eugenol
jeff2

17/05/2009 à 11h01

odonto écrivait:

>
> Franchement ne serait-il pas plus raisonnable de lui faire comprendre que
> vouloir un sourire de star à 77 ans, c'est pas forcément une bonne idée ?

ca ne serait plus un cas complexe, et tu sais même pas si c'est pas une star...


odonto

17/05/2009 à 11h04

jeff2 écrivait:
---------------

> ca ne serait plus un cas complexe, et tu sais même pas si c'est pas une star...

si c'était une star... ;-))


Logo vuaztn - Eugenol
mac

17/05/2009 à 11h39

Marc Apap écrivait:
-------------------

>
> Céramik, l'Amibien d'Outre-Atlantik


ça, c'est vraiment méchant.


Marque a3 orange fyvhyq - Eugenol
Marc Apap

17/05/2009 à 12h04

Bon, alors disons que tous les deux sont boulimiks


Wolford hm5yx3 - Eugenol
Doc lyonnaise

17/05/2009 à 12h18

est-ce que "extraire une ou plusieurs dents" juste pour des raisons esthétiques serait "médicalement" justifiable?????


Marque a3 orange fyvhyq - Eugenol
Marc Apap

17/05/2009 à 12h58

L'esthétique faisant partie du bien-être, le bien-être de la santé, la santé de la médecine, on peut tout imaginer.
J'ai vu, il y a quelques années à la télé, un reportage sur deux personnes souffrant de dysmorphophobie : une femme parfaitement valide qui voulait qu'on lui coupe les deux jambes, et un homme dont l'une, prétendait-il, ne semblait pas lui appartenir, à tel point qui voulait s'en séparer.
Cela est très sérieux. Pour pouvoir être opérés, ils doivent d'abord passer entre deux psychiatres pour savoir s'ils sont fous ou seulement dérangés (ce ne sont pas les termes qui ont été utilisés).
Je n'ai pas visionné la fin du reportage tellement j'étais mal à l'aise à l'idée de voir qu'on les avait effectivement amputés pour mettre fin à leurs "souffrances". La tournure du document ne laissait aucun doute sur cette issue.
Je précise que cela se passait dans des pays anglo-saxons.


Dans un autre ordre d'idée, j'ai vu hier soir sur la 2 dans l'émission de Ruquier, Christian Audigier, français installé à L.A. qui est devenu milliardaire en vendant des T-Shirs Van Deutsch. Lui aussi a été formaté à la mode californienne : ses dents, tout en céramique, sont plus blanches que la page sur laquelle j'écris ce texte. Bien faites sans aucun doute et de forme parfaite. Mais bon, ça peut se discuter.


odonto

17/05/2009 à 13h28

Marc Apap écrivait:
-------------------
> Dans un autre ordre d'idée, j'ai vu hier soir sur la 2 dans l'émission de
> Ruquier, Christian Audigier, français installé à L.A. qui est devenu
> milliardaire en vendant des T-Shirs Van Deutsch. Lui aussi a été formaté à la
> mode californienne : ses dents, tout en céramique, sont plus blanches que la
> page sur laquelle j'écris ce texte. Bien faites sans aucun doute et de forme
> parfaite. Mais bon, ça peut se discuter.

+1 pour Christian Audigier.
Voila une petite photo (attention les yeux c'est + blanc que blanc).

87050 heidi klum et christian audigier 637x0 1 l6bvcm - Eugenol

Wolford hm5yx3 - Eugenol
Doc lyonnaise

17/05/2009 à 13h30

dans ce cas là; ça a du arriver à vous tous, des patients qui exigent des extractions, pour n'importe quelle raison qui leur est propre...genre:
"j'en ai marre, faites moi une totale, qu'on en parle plus" (bien souvent :-))
ou "cette dent qui me fait mal enlevez la moi, j'en peux plus" (alors qu'elle est tout a fait soignable)
qu'est-ce que vous faites dans ces cas-là? c'est le patient qui décide? les extractions sont-elles justifiées???


Marque a3 orange fyvhyq - Eugenol
Marc Apap

17/05/2009 à 13h39

La GROSSE différence, c'est que ces patients là, en général, n'ont pas de pognon !


Cuisinier2 vnbbxx - Eugenol
jeff2

17/05/2009 à 13h55

exact marc, dans ce cas précis, ce n'est pas un problème pour cette femme que tout le monde connait.. Eh oui.


Wolford hm5yx3 - Eugenol
Doc lyonnaise

17/05/2009 à 13h56

jeff2 écrivait:
---------------
> exact marc, dans ce cas précis, ce n'est pas un problème pour cette femme que
> tout le monde connait.. Eh oui.

donc comme elle a de l'argent, si elle demande des extractions non justifiées, on accepte, c'est ça?
(c'est qui, c'est qui? :-)))


Marque a3 orange fyvhyq - Eugenol
Marc Apap

17/05/2009 à 13h59

D'un autre côté, si c'est une star, ses dents de traviole ne l'ont pas gênée dans sa carrière ! Bon, c'est pas Roselyne Bachelot...
Ceci étant, avec ma toute petite science : je ferais d'abord un wax up. Je pense qu'on peut faire un remodelage gingivo-osseux pour harmoniser le collet de 22 et une couronne qui fasse que sa face vestibulaire sera dans le même plan que celle des autres.
Pour le bas, l'extraction des incisives en retrait et un bridge de canine à canine en conservant la 32 sera à première vue, une option possible.
J'imagine qu'elle a refusé l'ortho pour des raisons de visibilité et de diction ?