Cookie Consent byPrivacyPolicies.comchirurgie mucogingivale periimplantaire ... - Eugenol

chirurgie mucogingivale periimplantaire ...

Smile beach jgh0a1 - Eugenol
Céramik

19/05/2009 à 02h44

noahaxeltiger-olivier écrivait:
-------------------------------
> dentiste57 écrivait:
> --------------------
> > olivier, c'est quoi ta appareil photo, ton objectif et ton flash ?
>
> Boitier : Canon 450D
> Objectif : Sigma 105mm
> Flaxh : Canon MR-14X (ETTL)
>
> Réglages :
> - ISO 100
> - f-stop 29-32-36 selon le cas
> - vitesse 1/160
> - mode manuel


Olivier, tu as lu mes messages ?
J'ai les même réglage, même appareil !
Tes photos sont presque belles !
;-)


Pour la colle, j'avais répondu et donné des ref., merci Growler de les re-donner.

Pour l'implant, je n'avais pas d'électricité, pour ceux qui se joignent au fil...j'ai fais la chirurgie avec une lampe frontale LED, c'est tout ! J'avais faire le forage et hop, plus de courant. J'ai placé à la main, et d'après moi, j'ai 15-20 N, pas plus, trop peu pour une temporaire, mais de toute façon, avec une plaque buccale mince et perforée, je greffe, et referme pour 5 mois. Comme cela j'ai 99% de succès.


--
Céramik


Img 8465 fqhxid - Eugenol
noahaxeltiger-olivier

19/05/2009 à 08h56

Céramik écrivait:
-----------------
> Olivier, tu as lu mes messages ?
> J'ai les même réglage, même appareil !

Disons qu'en terme de macro, le boitier Canon 450D avec un objective de 105mm afin éviter d'avoir l'appareil dans la bouche du patient pour prendre une molaire (Sigma étant moins cher que Canon) et un flash annulaire permettant un apport lumineux balancé, c'est un équipement photo des plus courant.
Et en terme de réglage il y a pas beaucoup de choix possible pour obtenir une profondeur de champ et une netteté d'image correcte !
En y allant à taton au début on s'apercoit que ce sont ces même réglages qui donnent les meilleurs résultats.

> Tes photos sont presque belles !
> ;-)

J'essaie de faire mieux promis mais ce que je trouve le plus difficile c'est d'obtenir la même teinte de gencive entre les différents clichés. Je prends toujours mes photos sans le scialytique bien sûr, la seule source de lumière étant le plafonnier. Pourtant même si j'essaie de prendre la photo sous le même angle, en concervant le patient dans la même position, il y a toujours des différences de teinte. Est ce que je me fais de l'ombre ?
Avez vous un tips ?


Logo vuaztn - Eugenol
mac

19/05/2009 à 09h06

noahaxeltiger-olivier écrivait:
-------------------------------

>
> J'essaie de faire mieux promis mais ce que je trouve le plus difficile c'est
> d'obtenir la même teinte de gencive entre les différents clichés. Je prends
> toujours mes photos sans le scialytique bien sûr, la seule source de lumière
> étant le plafonnier. Pourtant même si j'essaie de prendre la photo sous le même
> angle, en concervant le patient dans la même position, il y a toujours des
> différences de teinte. Est ce que je me fais de l'ombre ?
> Avez vous un tips ?

à moins de travailler dans une pièce sans fenêtre t'as toujours des différences de luminosité.

la seule solution à mon avis, mais je suis pas un pro c'est de sortir tes photos en RAW et de les travailler après pour avoir les même couleurs.


Casque beotien a3jo39 - Eugenol
beotien

19/05/2009 à 19h21

;


Christophe13

19/05/2009 à 19h35

dans le bouquin d'Anthony Sclar, il en parle d'alloderm , c'est une allogreffe de peau lyophilisé, bien évidement privé des éléments cellulaires immunogènes.

Je pense pas celà se trouve facilement en france.


Blason dql7mj - Eugenol
growler

20/05/2009 à 01h55

effectivement, l'alloderm n'est pas disponible en France.


mac écrivait:
-------------
> noahaxeltiger-olivier écrivait:
> -------------------------------
>
> >
> > J'essaie de faire mieux promis mais ce que je trouve le plus difficile c'est
> > d'obtenir la même teinte de gencive entre les différents clichés. Je prends
> > toujours mes photos sans le scialytique bien sûr, la seule source de lumière
> > étant le plafonnier. Pourtant même si j'essaie de prendre la photo sous le
> même
> > angle, en concervant le patient dans la même position, il y a toujours des
> > différences de teinte. Est ce que je me fais de l'ombre ?
> > Avez vous un tips ?
>
> à moins de travailler dans une pièce sans fenêtre t'as toujours des différences
> de luminosité.
>
> la seule solution à mon avis, mais je suis pas un pro c'est de sortir tes photos
> en RAW et de les travailler après pour avoir les même couleurs.


pour illustrer ce problème de régularité de teinte de gencive (ici rapport 1:1 et flash à 1/4 de puissance, f32)

2009 05 18 018 rvupot - Eugenol
2009 05 18 019 pybagh - Eugenol
2009 05 18 020 geuf2k - Eugenol

Casque beotien a3jo39 - Eugenol
beotien

20/05/2009 à 02h06

;


S2y2o1v7q53ws4r5wy6ou8czrpom - Eugenol
pxav

20/05/2009 à 10h32

j'ai un cas de bridge complet haut et bas à traiter.
donc prelevement palatin pas possible alors si vous avez un plan je suis preneur sahant en plus que je ne suis pas fan des produit bio, je prefere le synthetique alors des solutions?

--
xbk


Casque beotien a3jo39 - Eugenol
beotien

20/05/2009 à 15h56

;


Blason dql7mj - Eugenol
growler

21/05/2009 à 00h09

pas de panique beotien :))) voici une réponse:
il y a le puros dermis de zimmer

http://www.sulzerdental.com/pdf/lib_broPurosDermisDataSheet7470FR.pdf

but only avalaible for the americas

mais comme le puros va être dispo en France, parions et espérons que le puros dermis suivra.

@++


Img 8465 fqhxid - Eugenol
noahaxeltiger-olivier

21/05/2009 à 00h35

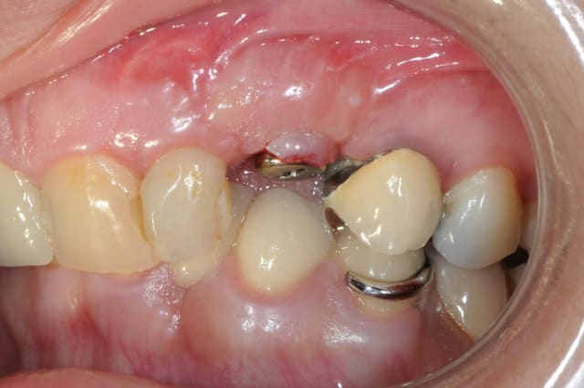
Cas multidisciplinaire de cet après midi : patient paro assaini, ayant perdu le bloc incisivo canin maxillaire gauche.
Plan de l'intervention d'aujourd'hui : implantation, augmentation tissulaire (osseuse et gingivale), mise en charge immediate et intégration esthétique.

Partie implanto : mise en place de 3 implants ASTRA en position 21, 22 et 23. Crête fine. Ayant prévu de travailler avec les tissus mous dans la même scéance, j'ai dû élever un lambeau ce qui m'a conduit à choisir une augmentation du volume osseux par GBR plutot qu'un ridge splitting (;-D). BioOss + BioGide.

Partie paro : greffe de conjonctif enfoui en vestibulaire de 21-22 et 23. Elongation coronaire de 11 afin d'aligner les collets. Frenectomie et approfondissement vestibulaire de facon à améliorer la largeur de gencive attachée.

Partie prothétique : perforation de la membrane BioGide et mise en place d'un bridge provisoire implanto portée 21-22-23 (réalisé au fauteuil sur pilier TempDesign) afin de créer un profil d'émergence acceptable et bridge provisoire conventionnel 11-13.

Le patient va repartir après controle de la cicatrisation chez son dentiste traitant afin de continuer la réhabilitation prothétique du reste du maxillaire.


Blason dql7mj - Eugenol
growler

21/05/2009 à 01h14

héhéhé, il progresse notre olivier :)))

quelques petites questions:

as-tu perforé la corticale avant de déposer le bio-oss?
as-tu stabilisé la membrane apicalement avec des petits clous?
le bio-oss c'est la grosse granulométrie? y as tu ajouté un peu d'os autogène récupéré lors des forages?

enfin, combien de temps pour faire tout cela?


très belle prouesse.

@+


3f3boxni50k58rq7e9ce9ddqrxgk - Eugenol
dentiste57

21/05/2009 à 01h30

noahaxeltiger-olivier écrivait:
-------------------------------
> Céramik écrivait:
> -----------------
> > Olivier, tu as lu mes messages ?
> > J'ai les même réglage, même appareil !
>
> Disons qu'en terme de macro, le boitier Canon 450D avec un objective de 105mm
> afin éviter d'avoir l'appareil dans la bouche du patient pour prendre une
> molaire (Sigma étant moins cher que Canon) et un flash annulaire permettant un
> apport lumineux balancé, c'est un équipement photo des plus courant.
> Et en terme de réglage il y a pas beaucoup de choix possible pour obtenir une
> profondeur de champ et une netteté d'image correcte !
> En y allant à taton au début on s'apercoit que ce sont ces même réglages qui
> donnent les meilleurs résultats.
>
> > Tes photos sont presque belles !
> > ;-)
>
> J'essaie de faire mieux promis mais ce que je trouve le plus difficile c'est
> d'obtenir la même teinte de gencive entre les différents clichés. Je prends
> toujours mes photos sans le scialytique bien sûr, la seule source de lumière
> étant le plafonnier. Pourtant même si j'essaie de prendre la photo sous le même
> angle, en concervant le patient dans la même position, il y a toujours des
> différences de teinte. Est ce que je me fais de l'ombre ?
> Avez vous un tips ?

je viens de changer de flash en trocant mon sigma 'le m^me que le tien pour un flash Metz 15 ms1.
en résumé, le Metz fourni une lumière plus bleu et plus adaptée à la chirurgie car permet de mieux cerner les différences de teintes.
la lumière sur les Sigma est calibrée pour les asiatiques. elle est plus chaude.
c'est comme ça, j'y peux rien.

je te laisse juger de la différence:

1 ère photo i y a 4 mois suite à fracture radiculaire.(flash sigma)
2 ième photo; mise en place de la vis de cica ( j'aurai voulu faire un lambeau en rouleau mais l'operculisation de la vis de couverture ne ma permit de ne faire que ça et juste de limiter la casse. enfin bon , j'ai quand même pu rattraper un peu la perte osseuse verticale avec la ROG...)(flash Metz)

c'est vrai que c'est dure de reproduire les même angles de vue...

Dsc 2045 zaonwe - Eugenol
Dsc 3381 vfaytd - Eugenol
Dsc 2049 dn2bpo - Eugenol
Dsc 3378 hjbtcv - Eugenol

3f3boxni50k58rq7e9ce9ddqrxgk - Eugenol
dentiste57

21/05/2009 à 01h36

growler écrivait:
-----------------
> héhéhé, il progresse notre olivier :)))
>
> quelques petites questions:
>
> as-tu perforé la corticale avant de déposer le bio-oss?
> as-tu stabilisé la membrane apicalement avec des petits clous?
> le bio-oss c'est la grosse granulométrie? y as tu ajouté un peu d'os autogène
> récupéré lors des forages?


oui +1 avec Growly

pourquoi une tel granulométrie ?


Smile beach jgh0a1 - Eugenol
Céramik

21/05/2009 à 01h58

noahaxeltiger-olivier écrivait:
-------------------------------
> Cas multidisciplinaire de cet après midi : patient paro assaini, ayant perdu le
> bloc incisivo canin maxillaire gauche.
> Plan de l'intervention d'aujourd'hui : implantation, augmentation tissulaire
> (osseuse et gingivale), mise en charge immediate et intégration esthétique.
>
> Partie implanto : mise en place de 3 implants ASTRA en position 21, 22 et 23.
> Crête fine. Ayant prévu de travailler avec les tissus mous dans la même scéance,
> j'ai dû élever un lambeau ce qui m'a conduit à choisir une augmentation du
> volume osseux par GBR plutot qu'un ridge splitting (;-D). BioOss + BioGide.
>
> Partie paro : greffe de conjonctif enfoui en vestibulaire de 21-22 et 23.
> Elongation coronaire de 11 afin d'aligner les collets. Frenectomie et
> approfondissement vestibulaire de facon à améliorer la largeur de gencive
> attachée.
>
> Partie prothétique : perforation de la membrane BioGide et mise en place d'un
> bridge provisoire implanto portée 21-22-23 (réalisé au fauteuil sur pilier
> TempDesign) afin de créer un profil d'émergence acceptable et bridge provisoire
> conventionnel 11-13.
>
> Le patient va repartir après controle de la cicatrisation chez son dentiste
> traitant afin de continuer la réhabilitation prothétique du reste du maxillaire.


Joli petit cas clinique, comme je les aime !
Question :
T'as pas un peu peur de mettre un bridge provisoire avec un manque d'os+ plaque osseuse buccal faible, même très faible ?


--
Céramik


Img 8465 fqhxid - Eugenol
noahaxeltiger-olivier

21/05/2009 à 02h38

growler écrivait:
-----------------
> héhéhé, il progresse notre olivier :)))
> quelques petites questions:
> as-tu perforé la corticale avant de déposer le bio-oss?

C'est en effet un pré-requis indispensable.

> as-tu stabilisé la membrane apicalement avec des petits clous?

avec des pins résorbables (acide polylactique) de chez KLS Martin.

> le bio-oss c'est la grosse granulométrie? y as tu ajouté un peu d'os autogène
> récupéré lors des forages?

Effectivement c'est du BioOss grosse granulométrie afin d'obtenir plus de volume. J'ai récupéré l'os de forage et prélevé de l'os autogène au niveau de l'épine nasale antérieure mais c'est plus pour la bonne conscience, le rapport os autogène/BioOss étant très faible (peut être 20%)

> enfin, combien de temps pour faire tout cela?

En tout et pour tout 2H30.

> très belle prouesse.

Espérons que Dame Nature te donnes raison ;-))


Img 8465 fqhxid - Eugenol
noahaxeltiger-olivier

21/05/2009 à 02h42

Céramik écrivait:
-----------------
> Joli petit cas clinique, comme je les aime !
> Question :
> T'as pas un peu peur de mettre un bridge provisoire avec un manque d'os+ plaque
> osseuse buccal faible, même très faible ?

Choix du patient, déroulement de la mise en place implantaire, qualité osseuse, stabilité primaire, analyse RFA, qualité des tissus mous, controle de l'occlusion sont autant de facteurs qui m'ont confortés dans mon choix.


Grueavatar nptrc9 - Eugenol
Le Choixpeau magique

21/05/2009 à 02h47

dentiste57 écrivait:
--------------------
> car permet de mieux cerner les différences de teintes.
> la lumière sur les Sigma est calibrée pour les asiatiques. elle est plus chaude.
> c'est comme ça, j'y peux rien.

Euh là, c'est pas le flash, c'est l'appareil. Ou l'utilisateur. Ou les deux. La bdb est foireuse et ça n'a rien à voir avec le flash (sauf si il est défectueux).


3f3boxni50k58rq7e9ce9ddqrxgk - Eugenol
dentiste57

21/05/2009 à 05h12

au temps pour moi, je viens de revérifier, les photos d'il y a 4 mois ont été faites sans flash mais uniquement avec le scialytique.

j'ai retrouvé les photos que j'ai fait pour me décider à reprendre ou non un flash Sigma.
ayant changé d'appareil photo en début d'année, mon sigma (monture canon)n'était plus compatible avec mon nouveau nikon D300.
j'ai demandé que l'on me prête le flash Sigma EM 140DG et le nouveau Metz 15MS1 pour faire mon choix.

3369 sigma
3370 metz

( ROG avec membrane titane; si vous êtes sage je posterai le cas en entier plus tard)


PS: je vends un flash sigma em 140 dg pour canon... :)

Dsc 3369 tagwnm - Eugenol
Dsc 3370 tmeyoc - Eugenol

Smile beach jgh0a1 - Eugenol
Céramik

21/05/2009 à 05h22

dentiste57 écrivait:
--------------------
> au temps pour moi, je viens de revérifier, les photos d'il y a 4 mois ont été
> faites sans flash mais uniquement avec le scialytique.
>
> j'ai retrouvé les photos que j'ai fait pour me décider à reprendre ou non un
> flash Sigma.
> ayant changé d'appareil photo en début d'année, mon sigma (monture canon)n'était
> plus compatible avec mon nouveau nikon D300.
> j'ai demandé que l'on me prête le flash Sigma EM 140DG et le nouveau Metz 15MS1
> pour faire mon choix.
>
> 3369 sigma
> 3370 metz
>
> ( ROG avec membrane titane; si vous êtes sage je posterai le cas en entier plus
> tard)
>
>
> PS: je vends un flash sigma em 140 dg pour canon... :)


Nikon D300, ouais, c'est de la belle artillerie !
J'espère que tu le sors de cabinet pour faire autre chose que des photos de dents !

--
Céramik


3f3boxni50k58rq7e9ce9ddqrxgk - Eugenol
dentiste57

21/05/2009 à 05h40

Céramik écrivait:

> Nikon D300, ouais, c'est de la belle artillerie !
> J'espère que tu le sors de cabinet pour faire autre chose que des photos de
> dents !
>

si j'étais comme toi au Canada, je serai plus souvent dehors pour faire de la photo animalière que des photos de dents.:)


Blason dql7mj - Eugenol
growler

21/05/2009 à 10h30

j'ai reçu le flash Metz il y a une semaine et impossible de le faire fonctionner en i-ttl avec mon Nikon D80, peut-être que je dois paramétrer quelquechose dans le menu du Nikon mais je ne trouve pas (il faut déclarer le flash résident en flash maître). Dentiste57, sur le D300 çà se passe comment ?
il y a un paramétrage? Avec mon Nikon FE2 argentique j'arrivais à faire ce que je voulais, aec le D80 numérique il y a des choses qui m'échappent.
Ce que je trouve bien sur le Metz c'est que les 2 sources lumineuses sont orientables en convergences ce qui me semble utile quand on s'approche du sujet.

@+



Casque beotien a3jo39 - Eugenol
beotien

21/05/2009 à 11h27

;


Smile beach jgh0a1 - Eugenol
Céramik

21/05/2009 à 14h45

dentiste57 écrivait:
--------------------
> Céramik écrivait:
>
> > Nikon D300, ouais, c'est de la belle artillerie !
> > J'espère que tu le sors de cabinet pour faire autre chose que des photos de
> > dents !
> >
>
> si j'étais comme toi au Canada, je serai plus souvent dehors pour faire de la
> photo animalière que des photos de dents.:)

Je fais pas mal de photo sans dents !
En fait la photo est un de mes passe temps,
Photo au chalet (nord de Montréal)
et l'autre à Bora Bora...

--
Céramik

Img 2293 ronnne - Eugenol
Img 6621  large  iwpj7a - Eugenol

3f3boxni50k58rq7e9ce9ddqrxgk - Eugenol
dentiste57

21/05/2009 à 16h01

growler écrivait:
-----------------
> j'ai reçu le flash Metz il y a une semaine et impossible de le faire fonctionner
> en i-ttl avec mon Nikon D80, peut-être que je dois paramétrer quelquechose dans
> le menu du Nikon mais je ne trouve pas (il faut déclarer le flash résident en
> flash maître). Dentiste57, sur le D300 çà se passe comment ?
> il y a un paramétrage? Avec mon Nikon FE2 argentique j'arrivais à faire ce que
> je voulais, aec le D80 numérique il y a des choses qui m'échappent.
> Ce que je trouve bien sur le Metz c'est que les 2 sources lumineuses sont
> orientables en convergences ce qui me semble utile quand on s'approche du sujet.
>
> @+
>
>
Growler essayes de voir si tu peux faire ça...
ensuite mets le flash en mode nikon simple et ton appareil photo en mode A (automatique et règles le diaphragme sur une très faible ouverture comme 32 ou même 40)
corrige en fonction de tes photos en ajoutant ou en retirant 0.3 ou 07 IL

 mg 0186 e4e0za - Eugenol
 mg 0187 fioetg - Eugenol
 mg 0188 gbmd1k - Eugenol
 mg 0189 quabs2 - Eugenol

123...