Cookie Consent byPrivacyPolicies.comurgence Summers - Eugenol

urgence Summers

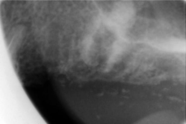
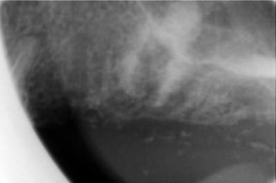
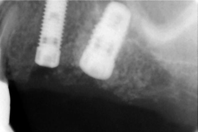
P1060496 m7josl - Eugenol
rhizalyse

18/06/2009 à 17h28

j'effectue demain mon premier Summers
et je suis presque près, à part une question
de dernière minute que je vous soumets en urgence:

comment se répérer sur le forêt pilote pour une profondeur de forage de 4 mm ?

la première graduation est à 7 mm, et les jauges ne se vissent pas si bas

avez-vous un truc ? ( à part l'estimation visuelle )

ci-joint scan pour les curieux

merci pour vos conseil avisés


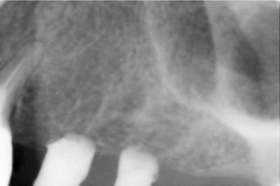
Molaire1 nfswdm - Eugenol
Molaire2 ebvqpw - Eugenol

P1060496 m7josl - Eugenol
rhizalyse

18/06/2009 à 17h33

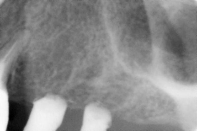
je pensais faire un aplanissement de crête jusqu'à une largeur de 7 mm pour un WP

évidemment, sans aplanissement, on a 7 mm au forêt pilote,
mais par la suite, je perds la distance de travail au fur et à mesure que les diamètres croissent, la distance diminue
( voir scan )


Marque a3 orange fyvhyq - Eugenol
Marc Apap

18/06/2009 à 17h43

Maintenant, si tu n'es pas prêt pour le Summers, tu peux peut-être attendre le 22.


P1060496 m7josl - Eugenol
rhizalyse

18/06/2009 à 17h52

ma patiente a rendez-vous demain matin
et je suis prêt

qu'y a-t-il le 22 ?


olivier

18/06/2009 à 18h09

Marc Apap écrivait:
-------------------
> Maintenant, si tu n'es pas prêt pour le Summers, tu peux peut-être attendre le
> 22.


Pouff...... hi,hi sors de ce corps Jean Roucas!!!


Marque a3 orange fyvhyq - Eugenol
Marc Apap

18/06/2009 à 18h19

rhizalyse écrivait:
-------------------
> ma patiente a rendez-vous demain matin
> et je suis prêt
>
> qu'y a-t-il le 22 ?

Le 21, c'est le fête de la musique, donc tu ne travailles pas.
Mais le 22...
Summers, ça te dit quelque chose ?



Humator t9r5wy - Eugenol
humator

18/06/2009 à 18h37

rhizalyse,
apparement, sur ton image, tu as bel et bien 7 à 8 mm d'os.
donc, tu fores à 7 avec un stop, si tu veux aplanir, tu le fais ensuite.
enfin tu passes aux ostéotomes et tu pousses...

enfin, saches que tu n'es surement pas PRES pour le 22, mais peut être PRET...

PS: attention à l'axe de forage: juges bien ton inclinaison, pour que tu emmerges bien au fond du sinus, et surtout pas trop vestibulaire, car trop près (pret?) de la corticale, celle ci bloquera la poussée de ton ostéo.

bonne chance pour ce début d'été!
et puisque c'est la fete de la musique: sumerland...



--
N.Hum


Mosquitogif zt3c7k - Eugenol
mosquito

18/06/2009 à 18h41

Marc Apap écrivait:
-------------------
>
> Summers, ça te dit quelque chose ?
________________


Andy Summers, né Andrew James Somers le 31 décembre 1942 à Blackpool, Grande-Bretagne, fut le second guitariste du groupe de rock The Police ...


P1060496 m7josl - Eugenol
rhizalyse

18/06/2009 à 19h04

compris.
merci à tous


Gabriel Dufay

18/06/2009 à 19h30

Bonjour,

il me semble que tu as largement la place pour un 8mm et même un 10mm en perforant le sinus avec ou sans summers.

Gabriel


S2y2o1v7q53ws4r5wy6ou8czrpom - Eugenol
pxav

18/06/2009 à 19h51

rhizalyse écrivait:
-------------------
> j'effectue demain mon premier Summers
> et je suis presque près, à part une question
> de dernière minute que je vous soumets en urgence:
>
> comment se répérer sur le forêt pilote pour une profondeur de forage de 4 mm ?
>
> la première graduation est à 7 mm, et les jauges ne se vissent pas si bas
>
> avez-vous un truc ? ( à part l'estimation visuelle )
>
> ci-joint scan pour les curieux
>
> merci pour vos conseil avisés
>
>

j' ai un peu de mal à comprendre tu te sert dosteotome et tu veux mettre la crete à plat?
une fois que tu fait ton trou à è mm tu insere ton osteotome,
apres ou avant d'impacter tu travaille ton instrument en lateral par mouvement repetitifs et ta crete va s'elargire toute seule surtout si tes osteotome sont coniques.
pourquoi perdre de l'os?
--
xbk


Casque beotien a3jo39 - Eugenol
beotien

18/06/2009 à 19h58

;


nolive

18/06/2009 à 21h31

+1 avec pxav. Petit forage puis ostéotomes. Pas besoin d'aplanir et perdre du bon nonos.

ça me paraît être le cas idéal pour une summers. L'os paraît assez peu dense, tu auras une bonne compaction avec cette technique.

On croise les doigts pour toi... :-)


P1060496 m7josl - Eugenol
rhizalyse

18/06/2009 à 21h43

c'est vrai que c'est dommage d'aplanir
je voulais pouvoir arriver à une largeur de crête de
7 mm pour un WP de 5 mm
et c'est plus difficile à contrôler sans aplanir

je vous rends compte du résultat demain si vous voulez bien

@+


S2y2o1v7q53ws4r5wy6ou8czrpom - Eugenol
pxav

18/06/2009 à 22h29

rhizalyse écrivait:
-------------------
> c'est vrai que c'est dommage d'aplanir
> je voulais pouvoir arriver à une largeur de crête de
> 7 mm pour un WP de 5 mm
> et c'est plus difficile à contrôler sans aplanir
>
> je vous rends compte du résultat demain si vous voulez bien
>
> @+
c'est plus que dommage, c'est limite tolérable franchement quand on est capable de faire un summers (expansion verticale) on doit etre capable de gere une mini expansion laterale de 2mm il suffit de travailler l'os en lateral avec ton ostéotome.
même si tu doit aplatir si ton os venait à casser (improbable) la moindre des choses est d'essayer l'elargisement!
de plus si ça marche tu serras content voir même fier.

les patients meritent un minimum.
ne prends pas ma réaction pour de la suffisance, ou de la méchanceté gratuite, mais ne faits pas aux autres ce que tu n'aimerais pas pour toi.

--
xbk


Avatar ow44t3 - Eugenol
Chicot

19/06/2009 à 00h00

Gabriel Dufay écrivait:
------------------------
> Bonjour,
>
> il me semble que tu as largement la place pour un 8mm et même un 10mm en
> perforant le sinus avec ou sans summers.
>
> Gabriel


+1 tu peux tapoter pour gagner les 1 ou 2 mm

en summers t'as 5 % d'échec s'il te reste plus de 6 mm d'os et 56 % si t'as 4 mm ou moins; à toi de voir ....

tu peux pas mettre un peut moins enfuit que sur le scan que tu nous montre ?

un conseil : commence direct avec l'ostéotome le plus fin (j'ai un 1,5 en tête), ça sert à rien de préforer à part perdre un peu d'os. Quand tu sens une résistance c'est que t'es proche de la corticale du sinus, tu montes en diamètre en continuant de racler l'os et au dernier ostéotome, avec ou sans biomat, un coup franc pour fracturer, sans passer l'ostéotome dans le sinus. Un peu de bio mat que tu impactes et tu place ton implant moins profond que sur ton projet pour avoir ton gain de 3 ou 4 mm maxi.

aller courage
--
;O)


P1060496 m7josl - Eugenol
rhizalyse

19/06/2009 à 00h33

pxav écrivait:
--------------
franchement quand on est capable
> de faire un summers (expansion verticale) on doit etre capable de gere une mini
> expansion laterale de 2mm il suffit de travailler l'os en lateral avec ton
> ostéotome.
> même si tu doit aplatir si ton os venait à casser (improbable) la moindre des
> choses est d'essayer l'elargisement!
> de plus si ça marche tu serras content voir même fier.
>
> les patients meritent un minimum.
> ne prends pas ma réaction pour de la suffisance, ou de la méchanceté gratuite,
> mais ne faits pas aux autres ce que tu n'aimerais pas pour toi.
>
> --
> xbk

je possède 4 ostéotomes ( 2.7, 3.2, 3.7, 4.2) cylindriques à bout concave
j'ai du mal à admettre qu'avec des cylindriques on puisse faire de l'expansion latérale
tu dois parler des ostéotomes coniques surement

d'autre part, il faut enfouir un max car la patiente porte un stellite en dehors des repas


P1060496 m7josl - Eugenol
rhizalyse

19/06/2009 à 00h33

pxav écrivait:
--------------
franchement quand on est capable
> de faire un summers (expansion verticale) on doit etre capable de gere une mini
> expansion laterale de 2mm il suffit de travailler l'os en lateral avec ton
> ostéotome.
> même si tu doit aplatir si ton os venait à casser (improbable) la moindre des
> choses est d'essayer l'elargisement!
> de plus si ça marche tu serras content voir même fier.
>
> les patients meritent un minimum.
> ne prends pas ma réaction pour de la suffisance, ou de la méchanceté gratuite,
> mais ne faits pas aux autres ce que tu n'aimerais pas pour toi.
>
> --
> xbk

je possède 4 ostéotomes ( 2.7, 3.2, 3.7, 4.2) cylindriques à bout concave
j'ai du mal à admettre qu'avec des cylindriques on puisse faire de l'expansion latérale
tu dois parler des ostéotomes coniques surement

d'autre part, il faut enfouir un max car la patiente porte un stellite en dehors des repas


Photo pluton1b h9n4ea - Eugenol
pluton

19/06/2009 à 01h44

faut le retoucher le stellite....;-)


S2y2o1v7q53ws4r5wy6ou8czrpom - Eugenol
pxav

19/06/2009 à 10h04

rhizalyse écrivait:
-------------------
> > xbk
>
> je possède 4 ostéotomes ( 2.7, 3.2, 3.7, 4.2) cylindriques à bout concave
> j'ai du mal à admettre qu'avec des cylindriques on puisse faire de l'expansion
> latérale
> tu dois parler des ostéotomes coniques surement
>
> d'autre part, il faut enfouir un max car la patiente porte un stellite en dehors
> des repas
j'ai été un peu hot peut etre hier mais:

Tu dois impérativement retoucher le stellite; un trou à la fraise ou au disque, ensuite du fitt ou cg conditinner.
Les ostéotomies conique c'est mieux (tu en trouve des pas cher avec 100€ tu as un jeu complet) mais ce n’est pas indispensable:
Tu commence avec ton 2.7 jusqu'a la corticale (après avoir fait un avant trou avec un foret d'endo si ton foret d'implanto est trop gros) tu le mobilise délicatement en latéral, patiemment et avec le même "toucher" que quand tu fais une endo à la broche manuelle.
En 1 à deux mn tu va ovaliser l'espace, ensuite tu place le 3.2 et tu pratique de même.
Tu reprends le 2.7 et tu travailles en appui sur la corticale en ovalisant toujours tu dois arriver à avoir un gain suffisant pour arriver au diam que tu désire pour ton implant.
Ensuite 3.2 idem puis 3.7 en travaillant la partie apicale, puis 4.2 qui doit rentrer sans soucis
Tu reprends le 2.7 (ou plus si tu le sens) et tu impact pour la corticale sinus et il te reste à mettre ton implant.

Un petit truc si tu veux du conique tu dois avoir des fouloirs à amalgame qui sont coniques, ou d'autres instruments, il faut savoir détourner les outils pour l'usage que l'on veut (bien sur stériles)

Mais ne jette pas de l'os, il y aura suffisamment de fois ou tu en perdras sans le vouloir!
Bon courage pour ton Sommers et tu verras comme c'est agréable de ne pas "subir" une intervention mais d'être "le chef".


--
xbk


Toriko ucqp9i - Eugenol
Giantcoco

19/06/2009 à 16h55

fait attention a trop de compaction laterale qui provoque des necroses surtout que tu as del'os a foison. faire un preforage est souvent suffisant et pour avoir realiser des dissections de sinus apres summers je te conseil de passer le plancher du sinus avec un instrument de plus petit diamtre possible sinon tu dechires tout a chaque fois
bon courage de toute les facon au pire ca marchera bien grace a ta belle hauteur qu'il vaut mieux pas toucher.


Humator t9r5wy - Eugenol
humator

19/06/2009 à 17h41

giantcoco, j'ai pas bien compris, tu as autopsié tes patients summerisés??

--
N.Hum


Toriko ucqp9i - Eugenol
Giantcoco

19/06/2009 à 19h14

non TP de dissection avec osteotomie prealable des sinus
c'est tres instructif


P1060496 m7josl - Eugenol
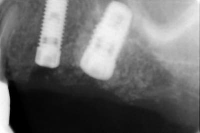
rhizalyse

19/06/2009 à 19h32

bon, je vous livre à chaud mes impressions positives et négatives:
ci joint 6 photos avant pendant et après,

je n'ai donc pas aplani comme conseillé,
j'ai passé le forêt pilote puis les ostéotomes 2.7 et 3.2,
le cliché de contrôle avant pose de l'implant montre bien le dôme du matériau de comblement, jusque là tout allait bien et je pensais que le plus dur était fait,

c'est après que j'ai été ennuyé:
j'ai commencé à visser à la main le WP de 5 mm
et j'ai rencontré une résistance quand il était à ras de la corticale V alors que du côté palatin j'avais une déhiscence de 2 mm ( normal je n'avais pas aplani)
j'ai eu l'impression qu'il perdait en stabilité et tournait sur lui même, curieux pour un os tendre?
la situation ne me plaisait pas et je l'ai dévissé, puis
j'ai élargi un peu au counterbore, et j'ai revissé,
aucune amélioration donc le problème était soit à l'apex de l'implant( perforation trop étroite pour le passage d'un implant cylindrique), ou alors le long des parois, auquel cas j'aurais dû passer un ostéotome de 3.7, ou même 4.2 ce qui me paraissait un peu trop pour un WP sur un os peu dense,
j'ai quand même réussi en changeant un peu l'inclinaison à le bloquer manuellement à 40 Ncm et sans déhiscence

qu'est-ce qui a pu résister au vissage de l'implant:
1- un os trop dense donc dernier ostéotome trop étroit?
2- un orifice de perforation de la corticale sinusienne trop étroit de 3.2 mm pour un implant de 5 mm non conique ?
3- autre chose que je n'ai pas vu ?

en tout cas, sur les clichés, le beau dôme que l'on voit avant implantation a disparu après pose de l'implant; où est le matériau?

j'aime tirer profit de chaque expérience positive ou négative, donc si vous pouviez me faire connaitre vos commentaires pour que la prochaine chir soit améliorée, je vous en saurai gré.

amicalement,

Marc

1  800x600  ezjmli - Eugenol
2  800x600  nsd3zz - Eugenol
3  800x600  jcxiex - Eugenol
4  800x600  zohw7n - Eugenol
5  800x600  jgi5zz - Eugenol
6  800x600  piyuf5 - Eugenol

Humator t9r5wy - Eugenol
humator

19/06/2009 à 19h45

a mon avis, c'est l'explication N°2.

pour giantcoco:
c'est normal que tu observes des déchirures de membrane sur des cadavres: la membrane sinusienne, sur ce type de "patient", a perdu sa souplesse, et casse très facilement.
C'est pour cela que je ne suis pas du tout d'accord avec le lien que tu fais entre taille d'ostéo et déchirure.

--
N.Hum


12...