Cookie Consent byPrivacyPolicies.compuisque qu'on parle de Cl.II. - Eugenol

puisque qu'on parle de Cl.II.

1 p3qrc4 - Eugenol
Bjc.

23/06/2009 à 18h07

un cas traité sans bielles

@+ Bjc.

1 y6xbic - Eugenol

1 p3qrc4 - Eugenol
Bjc.

23/06/2009 à 22h10

suite,

Les bielles sont difficiles à utiliser, je ne les utilise qu’en cas de micro génie, heureusement j’en ai rarement
j’obtiens le passage en Cl.I. avec seulement le reformage d’arcade, comme dans ce cas pris à la volée, (en cours de TTT).

@+ Bjc.


2 ibtc9h - Eugenol

1 p3qrc4 - Eugenol
Bjc.

23/06/2009 à 22h27

suite,

J’ai traité ce cas avec un Q.H. en Sup., puis avec un MB. Inf., puis seulement un segmenté Sup. car le bas est Tjs. pl
us lent à réagir que le haut
on voit que l’arcade du bas est mieux reformée que l’arcade du haut
le prochain Rdv. est pour coller la fin du haut

@+ Bjc.

3 fg5ht2 - Eugenol

Wolford hm5yx3 - Eugenol
Doc lyonnaise

23/06/2009 à 22h41

j'ai comme l'impression que tu parles tout seul là 8-)


1 p3qrc4 - Eugenol
Bjc.

24/06/2009 à 00h14

des lecteurs, mais pas commentaires
plutôt flatteur, non?

@+ Bjc.


damdam

24/06/2009 à 00h22

les photos sont belles mais je souhaiterai plus de documents d'analyse
téléradio de départ et de fin en plus grand pour voir effectivement ce qu'il s'est passé
un diagnostic du sens transversal serait aussi intéressant
enfin tes objectifs de traitement

après on pourra discuter tes cas


RépondreCiter
Image odged8 - Eugenol
ploc

24/06/2009 à 05h32

damdam écrivait:>
> téléradio de départ et de fin

me gouré-je ou ai vu et compris que ce n'était pas fini?


> enfin tes objectifs de traitement?

là je n'ai pas compris la question....
pourquoi fait on de l'odf?
>
>


Bul

24/06/2009 à 12h12

Il y des choses qui m’interpellent dans ton cas, j’aimerais te poser quelques questions, mais il parait que tu ne réponds pas.


Modérateur

24/06/2009 à 12h25

Bul écrivait:
-------------
> Il y des choses qui m’interpellent dans ton cas, j’aimerais te poser quelques
> questions, mais il parait que tu ne réponds pas.

posées comme ça, il va falloir qu'il soit extralucide;) Et ça , je t'assure : il ne l'est pas!

Va falloir que tu l'aides;)


1 p3qrc4 - Eugenol
Bjc.

24/06/2009 à 13h28

Je ne réponds pas, ou plutôt je m’abstiens, quand les questions sont hors sujet ou quand les intervenants sont discourtois
s’ils sont agressifs, cela ne me dérange pas, cela m’amuse et me rajeunis.
si leurs questions sont dans le sujet, cela veut dire qu’ils réfléchissent

quelles sont tes questions ?

@+ Bjc.


RépondreCiter
denlv35

24/06/2009 à 13h49

salut bjc, il me semble que dans le cas que tu présente le fait de reformer et donc la dérotation molaire a suffit à obtenir un repositionnement mandibulaire, mais ce n'est pas toujours le cas.

je ne sais pas si dans le cas de ciwil on aurait le même résultat, mais à tenter de toute façon.

il existe un pul adaptable qui s'utilise en même temps que le quad, il me semble.




1 p3qrc4 - Eugenol
Bjc.

24/06/2009 à 14h26

salut,

Tous les confrères que je connais sont satisfaits du pul, personnellement, je n’en ai jamais eu besoin,
Le pul est quand mm un appareil amovible, avec l’inconvénient de ne pas être porté 24h/24h. de plus il bloque la croissance transversale, c’est pourquoi certains l’évident et le transforment en appareil flottant, ce qui est discutable
donc avant d’utiliser un pul, il faut entreprendre un reformage d’arcades, (après le Q.H.) et ensuite, si besoin est, placer des élastique de Cl.II., car on ne va pas déposer les Bk. pour mettre le pul, et les replacer pour les finitions
sinon, on est obligé de mettre des bielles sur les arcs, ce qui n’est pas évident

dans le cas de ciwil, les formes d’arcades nous paraissent bonnes car elles ressemblent à la forme régular de Rickets (à vérifier),
mais sont elles les formes physiologiques du patient ?

@+ Bjc.



Bul

24/06/2009 à 14h53

ta mécanique est quand même bizarre, tu ne prends pas les 6 inférieures dans ton arc et tu pose en haut des Bk. seulement de 3 à 3
tu n’as pas peur d’abandonner les 6 ?


Images 1 qtgoxf - Eugenol
ciwil

24/06/2009 à 15h24

Bjc. écrivait:
--------------
> Le pul est quand mm un appareil amovible, avec l’inconvénient de ne pas être
> porté 24h/24h. de plus il bloque la croissance transversale, c’est pourquoi
> certains l’évident et le transforment en appareil flottant, ce qui est
> discutable

... le PUL comprend ou pas un verrin maxillaire, ce qui permet d'expanser à la demande.
l'évidement sert à favoriser l'egression et donc à changer les dimensions verticales

> donc avant d’utiliser un pul, il faut entreprendre un reformage d’arcades,
> (après le Q.H.) et ensuite, si besoin est, placer des élastique de Cl.II., car
> on ne va pas déposer les Bk. pour mettre le pul, et les replacer pour les
> finitions

...le PUL ne prend pas en charge les problèmes d'alignement, cette phase étant traitée par multi-attaches dans un 2° temps


1 p3qrc4 - Eugenol
Bjc.

24/06/2009 à 15h29

"...le PUL ne prend pas en charge les problèmes d'alignement, cette phase étant traitée par multi-attaches dans un 2° temps"

je ne parle pas d'alignement, je parle de reformage d'arcades

@+ Bjc.


1 p3qrc4 - Eugenol
Bjc.

24/06/2009 à 15h46

R.E. re F.O.R. for M.A.G.E. mage

reformage


damdam

24/06/2009 à 15h58

ploc écrivait:
--------------
> damdam écrivait:>
> > téléradio de départ et de fin
>
> me gouré-je ou ai vu et compris que ce n'était pas fini?
>
>
> > enfin tes objectifs de traitement?
>
> là je n'ai pas compris la question....
> pourquoi fait on de l'odf?
> >
> >

oui tu t gouré il a dit que c'était un cas pris à la volée
donc il doit en avoir de très beaux terminé...
objectifs de traitement: position de l'incisive sup ppour l'esthétique, atm et occlusion???


damdam

24/06/2009 à 16h01

Bjc. écrivait:
--------------
> Je ne réponds pas, ou plutôt je m’abstiens, quand les questions sont hors sujet
> ou quand les intervenants sont discourtois
> s’ils sont agressifs, cela ne me dérange pas, cela m’amuse et me rajeunis.
> si leurs questions sont dans le sujet, cela veut dire qu’ils réfléchissent
>
> quelles sont tes questions ?
>
> @+ Bjc.
>

j'ai posé des questions dans une autre rubrique concernant la déf du plan d'occlusion
et de l'hypo occlusion post

bjc m'a redirigé ici et je n'est toujours pas de réponse

à part des photos c'est ce qui m'embete un peu de ne pas avoir de réponse
mais peut etre n'avez vous pas de temps à consacrer à un petit omni de province


1 p3qrc4 - Eugenol
Bjc.

24/06/2009 à 16h30

"mais peut etre n'avez vous pas de temps à consacrer à un petit omni de province"

vous faites pas un peu fort là :-)°°)

je vais répondre: pour l'hypo, demandez à ceramic
je n'ai parlé que d'infra et de supra

@+ Bjc.


denlv35

24/06/2009 à 16h32

Bjc. écrivait:
--------------

> on ne va pas déposer les Bk. pour mettre le pul, et les replacer pour les
> finitions
> sinon, on est obligé de mettre des bielles sur les arcs, ce qui n’est pas
> évident
>
> @+ Bjc.
>
>

tu n'est pas obligé de déposer les Bk pour le Pul dont je parle : la gouttière est uniquement mandibulaire avec une attache dans les tubes feo

une photo dès que je l'aurai retrouvée


1 p3qrc4 - Eugenol
Bjc.

24/06/2009 à 16h41

"une photo dès que je l'aurai retrouvée"

avec plaisir

@+ Bjc.


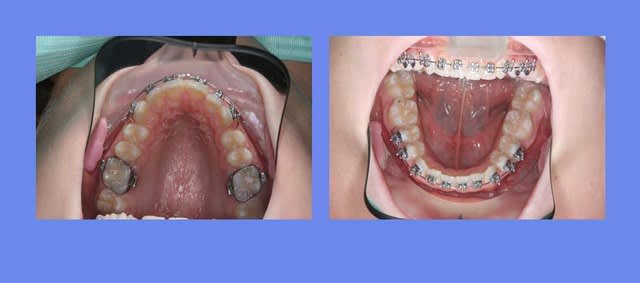
1 p3qrc4 - Eugenol
Bjc.

24/06/2009 à 17h03

un cas terminé que m'a sorti mon assistante
(sans bielles)

@+ Bjc.

1 hm16db - Eugenol
2 hsjfqu - Eugenol

denlv35

24/06/2009 à 17h49

voila le pul en question ( idée glanée sur le web)

Pul avec quad rm9nbq - Eugenol

Phil Amant

24/06/2009 à 18h00

Modérateur écrivait:
--------------------
> Bul écrivait:
> -------------
> > Il y des choses qui m’interpellent dans ton cas, j’aimerais te poser quelques
> > questions, mais il parait que tu ne réponds pas.
>
> posées comme ça, il va falloir qu'il soit extralucide;) Et ça , je t'assure : il
> ne l'est pas!
>
> Va falloir que tu l'aides;)

Bul avait raison, modo, bjc ne répond pas aux questions.

Phil.


1 p3qrc4 - Eugenol
Bjc.

24/06/2009 à 18h30

2 minutes les gars, on est mercredi

de plus la question demande une réponse détaillée


12...