Cookie Consent byPrivacyPolicies.compuisque qu'on parle de Cl.II. - Eugenol

puisque qu'on parle de Cl.II.

Phil Amant

29/06/2009 à 21h33

Tu pourrais expliquer le bateau à rames et la faucille, et dire aussi ce que Burstone a apporté de différent en physioméca par rapport à Ricketts ?
Tu dis que tu veux nous donner soif, tu causes, tu causes mais on ne voit pas beaucoup de tes cas terminés.
Tu es très critique quand les autres ne montrent pas les fins de traitement et la stabilité à plusieurs années mais toi, pour prouver ta théorie et ta correction de classe II, tu ne montres ici qu'une photo de face. Tu trouves pas que c'est un peu léger ?

Phil.


1 p3qrc4 - Eugenol
Bjc.

29/06/2009 à 23h13

"Tu dis que tu veux nous donner soif,"

salut,

Je n’ai jamais dit que je voulais vous donner soif, on a soif ou on n’a pas soif
j’ai dit que je voulais vous donner envie, dans le sens envie d’aller plus loin…,
concernant les auteurs cités, pour les plus ancien il y a des livres, je vais te retrouver les références, le temps de chercher au grenier
actuellement, il n’y a plus de livres, à cause du photocopillage, il faut donc aller aux conférences, ou se payer des stages dans leurs cabinets
là tu verras des cas avec des années de recul, cas qui m’ont donné envie de changer de techniques

@+ Bjc.


RépondreCiter
Phil Amant

30/06/2009 à 10h48

Bjc. écrivait:
--------------
>
> concernant les auteurs cités, pour les plus ancien il y a des livres, je vais te
> retrouver les références, le temps de chercher au grenier
> actuellement, il n’y a plus de livres, à cause du photocopillage, il faut donc
> aller aux conférences, ou se payer des stages dans leurs cabinets

T'es pas en train de te défiler ?

Phil.


Phil Amant

30/06/2009 à 11h25

Ce qui me gêne le plus, c'est que tu puisses faire toute une théorie en disant "j’en apporte ici la preuve clinique" alors que tu ne montres qu'une photo de face comme preuve de résultat pour un problème latéral.

Phil.


Phil Amant

30/06/2009 à 13h13

Autres choses encore :
Tu te fais le chantre du « non extractions » en disant « pour être contre les extractions, tu peux me faire confiance, !!! cela fait trop de profils concaves 5 ans après ». Pas de preuves.
Tu affirmes que tu arrives à en diminuer le nombre grâce à ta « physioméca », pas de preuves non plus, les profils que tu nous montres ne sont pas des profils de caucasiens. Ce que tu fais ne peut donc pas être généralisé et n’est pas une preuve de l’efficacité de ton système.

Phil.


1 p3qrc4 - Eugenol
Bjc.

30/06/2009 à 13h21

toi, t'as pas soif!


RépondreCiter
typodont

30/06/2009 à 13h31

la croissance elle a surtout une direction liée à la typologie de ton patient(analyse architecturale de la mandibule)et une quantité qui est propre à chacun de nous.Une classe 2 div 2 est hypo comme l'est une classe 3.

Pour le nivellemnt sur un 14 ou sur un 16 on s'en fout la composante de version sera toujours là.


Phil Amant

30/06/2009 à 13h55

typodont écrivait:
------------------
> la croissance elle a surtout une direction liée à la typologie de ton
> patient(analyse architecturale de la mandibule)et une quantité qui est propre à chacun de nous
>

+1 !

Phil.


1 p3qrc4 - Eugenol
Bjc.

30/06/2009 à 14h54

cela fait trop de profils concaves 5 ans après ».
"Pas de preuves. "

cela fait déjà plusieurs fois que je mets ce cas, qui est un cas de Bagden, présenté par lui mm. en conférence

D but de ttt - Eugenol
Apr s traitement 1 mresmy - Eugenol
Apr s traitement 2 z0fdox - Eugenol
5 ans apr s 1 kofxwi - Eugenol

RépondreCiter
1 p3qrc4 - Eugenol
Bjc.

30/06/2009 à 16h09

P.S.: comme on s'en doutait le cas de gauche a été traité avec extractions
et le cas de droite sans extraction


RépondreCiter
Phil Amant

30/06/2009 à 16h13

Franchement bjc, regarde bien l'absence de vermillon au niveau de la lèvre supérieure, la lèvre du bas pincée, tu trouves ça bien naturel ?
J'ai comme qui dirait l'impression qu'il y a un peu de photoshop là dessous...

Phil.


typodont

30/06/2009 à 17h40

Bjc. écrivait:
--------------
> cela fait trop de profils concaves 5 ans après ».
> "Pas de preuves. "
>
> cela fait déjà plusieurs fois que je mets ce cas, qui est un cas de Bagden,
> présenté par lui mm. en conférence
>
Bagden n a jamais dit qu'il n'extrayait pas.
Pourquoi des photos de Bagden,t'en a pas toi?
Le profil est déterminant danns le choix : avec extraction ou sans , les premières ou les secondes prémolaires...


1 eugenol dmj5np - Eugenol
Dancha

30/06/2009 à 18h06

"Les deux sœurs" version... Damon !
Amusant, non ?
Cette fois, c'est la soeur de droite qui aurait eu quatre extractions.
Ces photos ont été prises lors d'une conférence de Damon.
Je ne peux pas m'empêcher d'avoir le même sentiment que Phil. et suis quasiment convaincu qu'elles ont aussi été retouchées.

Daniel

Damon1 z4fk6u - Eugenol
Damon2 ldwfnl - Eugenol

1 p3qrc4 - Eugenol
Bjc.

30/06/2009 à 18h45

et tous les cas que l'on rencontre qui ont subi extraction des 4 P.M., qui présentent un profil concave, ils ont aussi été retouché par photoshop?

ceci dit vous avez peu d'estime pour la conscience professionnelle de ces confrères, croyez bien que ces cas ont été contrôle, sinon bonjour les procès américains.
ils ne peuvent pas prendre un tel risque aux états unis
ailleurs peut etre ..

il n'est pas pire aveugle que celui qui ne veut pas voir

@+ Bjc.



RépondreCiter
1 eugenol dmj5np - Eugenol
Dancha

30/06/2009 à 19h07

Une concavité du visage liée à la suppression intempestive de quatre prémolaires affecterait aussi bien l’arcade inférieure que la supérieure.
Sur ces clichés, il n’apparait une réduction qu’au niveau de la lève supérieure avec, comme l’a bien fait remarquer Phil, une disparition du vermillon de la lèvre. Ceci n’est pas très naturel.
Et pourquoi donc n’y a-t-il pas de téléradio correspondante ?
Je préfèrerais considérer nos amis américains comme étant au dessus de tout soupçon, mais je m’interroge tout de même sur ces anomalies.
Quand à l’argument « procès » que tu donnes, qui donc pourrait porter plainte dans ce cas ? Sois sérieux, bjc.
J’ai des doutes. Point.

Daniel


1 p3qrc4 - Eugenol
Bjc.

30/06/2009 à 19h37

ça me rappelle la présentation de Damon en 2001 à la Faculté de Chir.de Montrouge
ils ne croyaient pas que ses résultats étaient possible, nombreux ont été ceux qui déclaraient que ses cas avaient été traité par photoshop!!!
le plus drôle, c'est que, actuellement, beaucoup se sont mis au Damon et certains sont mm. rentrés dans l'équipe enseignante

par contre, bien que le public de nonol soit assez restreint, tu prends de gros risques en mettant ainsi, par écrit, en doute la probité des conférenciers


@+ Bjc.


RépondreCiter
Phil Amant

30/06/2009 à 20h12

Dancha écrivait:
----------------
>
> J’ai des doutes. Point.
>

+1

Phil.


1 p3qrc4 - Eugenol
Bjc.

30/06/2009 à 20h54

vous avez raison, les douteux,
continuez à défigurer vos patients


RépondreCiter
damdam

30/06/2009 à 23h56

bizarre, çà voudraitdire que si on ne traite pas en damon on doit faire des ext....

avez-vous oublié ricketts

faites donc confiance à vos mandibules....

PS ne pas oublier de surveiller l'impact accoustique de l'occlusion sur la fluidité musculaire lors des traitements
demandez amibien...


1 p3qrc4 - Eugenol
Bjc.

01/07/2009 à 04h13

cher(e) Phil Amant

enlève ton masque de clone, on t'a reconnu

;-))


RépondreCiter
Phil Amant

01/07/2009 à 12h40

Cher(e) bjc,

Cesse donc de te défiler.
Puisque c'est toi qui a voulu donner ce cours magistral, va jusqu'au bout et prouve ce que tu affirmes avec de vrais cas cliniques.

Phil.


1 p3qrc4 - Eugenol
Bjc.

01/07/2009 à 16h58

salut,
Phile disait:

"Tu affirmes que tu arrives à en diminuer le nombre grâce à ta « physioméca », pas de preuves non plus, les profils que tu nous montres ne sont pas des profils de caucasiens. Ce que tu fais ne peut donc pas être généralisé et n’est pas une preuve de l’efficacité de ton système"

Ce n’est pas MA physioméca, ce n’est pas, non plus, MON système !!!
je vous ai indiqué ou chercher les documents, tout ce que je veux montrer, c’est que c’est à la porté d’un petit ortho comme moi
;-))
je ne m’étendrais pas sur ton argument de profil caucasien, tu auras fait le mm argument s’il s’était agit de n’importe quel autre profil

ta mauvaise foi est à la limite du comique

hi, hi, hi

donne moi encore l'occasion de rigoler!!!

@+ Bjc.



1 p3qrc4 - Eugenol
Bjc.

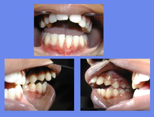
01/07/2009 à 18h22

redevenons sérieux!!!

ce cas t'intéresse dam dam?

@+ Bjc.

2 sje922 - Eugenol
1 uql4tq - Eugenol

ameli

01/07/2009 à 19h29

Dancha écrivait:
----------------
> Ces photos ont été prises lors d'une conférence de Damon.
> Je ne peux pas m'empêcher d'avoir le même sentiment que Phil. et suis quasiment
> convaincu qu'elles ont aussi été retouchées.

Effectivement, il n'est pas déraisonnable d'avoir des doutes, c'est au contraire, très sain.
Retouche, peut-être, mais alors qui ?
Je ne pense pas qu'un scientifique de haut niveau s'amuse à traficoter ses iconographies, puisque son but est de démontrer que sa méthode est reproductible. Il fait de la promotion pour une méthode, et sait qu'il sera imité, voire plagié.
D'autre part, il sait qu'il est épié, surveillé, et que ses concurrents-conférenciers ne le louperont pas ! L'honneur est en jeu, mais aussi, des intérêts financiers. C'est de bonne guerre, et à ce niveau, rien n'est pardonné ! L'adversité est rude, donc, les contrôles existent. Il n'y a qu'à voir les difficultés rencontrées quand on veut publier un cas dans une revue scientifique.

Je m'interroge donc davantage sur l'origine de cette photo, car n'importe qui de malin peut trafiquer une photo, il n'y a pas besoin de s'appeler Damon ! A mon avis, lui, en tous cas, n'avait aucun intérêt à tricher !


1 eugenol dmj5np - Eugenol
Dancha

01/07/2009 à 21h07

Voudrais-tu insinuer que c’est moi-même qui les aurais retouchées ?
On peut se poser la même question avec celles qu’a fournies bjc .
J’ai toutes les diapos de la conférence en question.
En analysant le déroulement de la séance, on constate que ces images ont été projetées sans autres explications entre deux cas cliniques documentés, juste pour montrer le soi-disant ( ?) résultat d’extractions.

Daniel


1234...