Cookie Consent byPrivacyPolicies.compuisque qu'on parle de Cl.II. - Eugenol

puisque qu'on parle de Cl.II.

Modérateur

01/07/2009 à 21h21

savoir si effectivement ou non une photo a été retouchée sous photoshop risque de vous occuper un bon moment et reste ( techniquement ) bien difficile à déterminer.

Penser que X ou Y puisse retoucher les photos qu'il présente est un problème très diffèrent.

Affirmer publiquement, sur un site professionnel que certaines photos sont retouchées , c'est encore autre chose.


A moins que vous n'en ayez l'absolue certitude, veillez à peser très exactement vos propos.


RépondreCiter
1 p3qrc4 - Eugenol
Bjc.

01/07/2009 à 21h30

Cher Phil,

je suis un des rares eugénoliens, avec mon ami et chaud critique (réciproque) dancha, qui ose montrer des cas, et pas qu'un seul. Je t'invite à utiliser le moteur de recherche.

Je ne prétends pas qu'ils sont tous parfaits, ni d'ailleurs parfaitement documentés, le but n'est pas de publier ces cas, eugénol n'étant pas une revue scientifique !, mais simplement de partager des expériences.
Je te précise aussi que je ne défends pas une théorie, mais un fait !... qui est largement démontré, non par moi, mais par des sommités de l'ODF. Je ne suis pas responsable de la faible connaissance de ces pratiques.

Tu me qualifie de causeur. Ce n'est pas faux, mais j'ai fait un choix : quand je n'argumente pas, on dit que je ne réponds pas, ou que je fais le fier-prétentieux-méprisant, et quand j'argumente ou explique mes choix, tu dis que je cause. Alors oui, je cause, pour éviter l'autre accusation ! tant pis, j'en ai pris mon parti.

Certains cas montrés sont terminés, et d'autres en cours de traitement.
A l'occasion, j'en montrerai d'autres, du début à la fin ; je ne le ferai pas pour te faire plaisir, mais quand j'aurai le temps, car j'ai aussi un métier.
Et tu auras ta photo quand je la ferai, car ce gamin n'habite pas chez moi. En attendant, hélas, tu n'as que ma parole et les photos présentées, ce n'est déjà pas si mal pour se faire une opinion, non ?

Bien entendu, je me ferai un plaisir de voir un de tes cas, du début à la fin, comme tu me le demandes, et je serai très attentif à ta causerie argumentative.

@+ Bjc.


damdam

01/07/2009 à 22h49

Bjc. écrivait:
--------------
> redevenons sérieux!!!
>
> ce cas t'intéresse dam dam?
>
> @+ Bjc.
>

oui celui la m'intéresse
peux tu donner plus de renseignements
et aussi la radio en mail

j'aimerais bien faire l'étude pour voir les limites de ma méthode
je te rappelle que je fais çà depuis 6mois alors laisse moi un peu de temps

en premier abord je pense reformage arcade sup car endo
l'incisive sup n'est pas parallèle à l'axe facial etc...
mais je suis impressionné par la cvertaine puissance de la langue pour balancer les incisives autant en avant
faudra beaucoup de rééducation de la déglutition et de la reprogrammation neuronale


1 p3qrc4 - Eugenol
Bjc.

01/07/2009 à 22h50

cher modo,

voici un agrandissement de la photo que j’ai présenté, peu de chances qu’elle ait été retouchée

par contre la photos de Daniel laisse supposer que …
les prise de photos dans une conférence nécessitent un matériel photo performant, sous peine d’avoir une diffraction (Fresnel)

c’est l’hypothèse que je préfère

comme quoi le bricolage …

@+ Bjc.

1 sprh6n - Eugenol

1 p3qrc4 - Eugenol
Bjc.

02/07/2009 à 00h14

cher dam dam

envoie moi ton mail par M.P.
je te balance les Rx.


RépondreCiter
Mmmm

02/07/2009 à 11h33

Modérateur écrivait:
--------------------
> savoir si effectivement ou non une photo a été retouchée sous photoshop risque
> de vous occuper un bon moment et reste ( techniquement ) bien difficile à
> déterminer.
>
> Penser que X ou Y puisse retoucher les photos qu'il présente est un problème
> très diffèrent.
>
> Affirmer publiquement, sur un site professionnel que certaines photos sont
> retouchées , c'est encore autre chose.
>
>
> A moins que vous n'en ayez l'absolue certitude, veillez à peser très exactement
> vos propos.


Je ne vois pas pourquoi on ne pourrait pas discuter de cela...


Mmmm

02/07/2009 à 11h38

ameli écrivait:
---------------

>
> Effectivement, il n'est pas déraisonnable d'avoir des doutes, c'est au
> contraire, très sain.
> Retouche, peut-être, mais alors qui ?
> Je ne pense pas qu'un scientifique de haut niveau s'amuse à traficoter ses
> iconographies, puisque son but est de démontrer que sa méthode est
> reproductible. Il fait de la promotion pour une méthode, et sait qu'il sera
> imité, voire plagié.
> D'autre part, il sait qu'il est épié, surveillé, et que ses
> concurrents-conférenciers ne le louperont pas ! L'honneur est en jeu, mais
> aussi, des intérêts financiers. C'est de bonne guerre, et à ce niveau, rien
> n'est pardonné ! L'adversité est rude, donc, les contrôles existent. Il n'y a
> qu'à voir les difficultés rencontrées quand on veut publier un cas dans une
> revue scientifique.
>
> Je m'interroge donc davantage sur l'origine de cette photo, car n'importe qui de
> malin peut trafiquer une photo, il n'y a pas besoin de s'appeler Damon ! A mon
> avis, lui, en tous cas, n'avait aucun intérêt à tricher !

Va aux conf de Vaudouris, il te "démontre" que Damon a utilisé les résultats de Vaudouris en les trafiquant...
Je ne cherche même pas à savoir lequel des deux est "le malhonnète"...Mais je ne crois pas un instant que ce soient des agneaux...Quant aux contrôles, quand il y a de tels enjeux financiers...les contrôles, on en fait un peu ce que l'on veut!!


1 p3qrc4 - Eugenol
Bjc.

02/07/2009 à 16h01

"Va aux conf de Vaudouris, il te "démontre" que Damon a utilisé les résultats de Vaudouris en les trafiquant..."

ses études sur la friction, uniquement, leurs outils de traitement (Bk.) sont differents

sinon, il y a aussi les études de Kusy et Thorstenson

@+ Bjc.


1 p3qrc4 - Eugenol
Bjc.

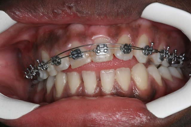
02/07/2009 à 20h57

cher dam dam,

voici le cas terminé
(sans rééducation de la langue)

@+ Bjc.

Termine 1 mbdtwl - Eugenol

1 eugenol dmj5np - Eugenol
Dancha

03/07/2009 à 18h23

L'image est un peu lourde, c'est juste un test pour voir si les informations d'origine sont conservées sur "eugenol".

Daniel

Dsc02113 lmzhbp - Eugenol

1 eugenol dmj5np - Eugenol
Dancha

03/07/2009 à 19h20

Bjc. écrivait:
--------------
>...
> par contre la photos de Daniel laisse supposer que …
> les prise de photos dans une conférence nécessitent un matériel photo
> performant, sous peine d’avoir une diffraction (Fresnel)
>
> c’est l’hypothèse que je préfère
>
> comme quoi le bricolage …
>
> @+ Bjc.

Pas du tout, il est facile de prendre des photos pendant une conférence, il suffit de cadrer, de régler l'aggrandissement (zoom) et surtout de penser à désactiver le flash.
Je n'ai pas bien le temps de chercher comment faire avec eugénol, mais si on peut récupérer sur son ordinateur la photo que je viens d'envoyer, on constatera en lisant ses "propriétés" qu'elle a été prise avec un petit appareil numérique Sony, le "T10". C'est un petit appareil de poche, sans aucune fonction compliquée anti-"diffraction (Fresnel)" ou je ne sais quoi.
C'est l'appareil que j'utilise pour prendre des clichés des diapos qui sont projetées en conférences sous forme Power Point.
Le seul problème est celui de la perspective qui est mauvaise si on n'est pas exactement en face, accessoirement celui des têtes de la rangée qui est devant.
Ce défaut de perspective est aisément corrigible, voici une méthode simple :
On ouvre la photo sur son ordinateur et on fait une copie de la fenêtre (image P1 avec mauvaise perspective et des ombres de têtes). Cette copie sur l'écran permet de diminuer la résolution de la photo qui est toujours trop grande.
Elle est transférée dans un logiciel de correction où est appliquée la "correction de perspective" (image P2, avec Paint Shop).
Après cette correction, on effectue un recadrage pour faire disparaître les bords qui apparaissent biseautés et ici supprimer le texte et les ombres des têtes (image P3).
Après validation, il suffit de sauvegarder la nouvelle image en lui donnant un nom (image P4).

Je préfère ne pas faire d'autres commentaires sur le message de bjc, ils risqueraient d'être désagréables et n'apporteraient rien au forum.

Daniel

P1 qpkokb - Eugenol
P2 zo4mqb - Eugenol
P3 pnf6ik - Eugenol
P4 fqgd8y - Eugenol

Avatar transparent iqadnc - Eugenol
adhoc

03/07/2009 à 21h06

Un petit truc , daniel, pour eviter (ou diminuer) l'effet en dents de scie apres changement de perspective:convertis ton image en bmp, aggrandis l'image avant d'appliquer le traitement de perspective! C'est tres efficace. Tu peux ensuite revenir aux dimensions correctes.


1 eugenol dmj5np - Eugenol
Dancha

04/07/2009 à 11h43

Merci. Je retiendrai cette astuce très intéressante.

Dans le même registre, en as-tu une pour rapatrier sur son ordinateur un document avec des caractéristiques initiales ? je pense à la photo brute que j'ai mise deux messages au-dessus pour tester. Sur une photo "jpg", on a une foule de renseignements quelquefois intéressants, l'ouverture, la vitesse de prise de vue, la date, le nom de l'appareil qui l'a pris, etc..

Bon WE en attendant.

Daniel


Avatar transparent iqadnc - Eugenol
adhoc

04/07/2009 à 13h38

C'est le probleme de la conservation des données EXIF. Normalement photoshop et paint shop pro conservent les données EXIF.Verifier quand meme dans les options de ton logiciel graphique.
Je pense que le moteur graphique d'eugenol les conserve; je pourrai verifier cela tout a l'heure (ou un modo pourra ou non confirmer)


1 eugenol dmj5np - Eugenol
Dancha

04/07/2009 à 13h50

Merci Adhoc.

Petite précision : l'image que j'ai envoyée hier en test était une image brute, sortie telle quelle de l'appareil photo, non moulinée par PhotoSop ou PaintShop. C'est de ce type d'image dont je parlais.
Merci en tous cas de ta vélocité à répondre et de ta précision.

Daniel



Avatar transparent iqadnc - Eugenol
adhoc

04/07/2009 à 14h04

Pas de probleme, mon grand.
Quand une image, meme brute (non retraitée) est uploadée sur un serveur, rien n'empeche au script de traitement graphique "d'optimiser" une image , c'est a dire d'enlever les entetes et métadonnées d'une image, pour l'alléger et éventuellement pour la "sécurité".

Ce qu'il faudrait verifier pour le nonol.

On peut en effet faire passer des messages terroristes ou insidieux dans le méta code d'une image. Pas glop. Et c'est assez facile avec un editeur hexadecimal ou un peu d'expérience!


Grueavatar nptrc9 - Eugenol
Le Choixpeau magique

06/07/2009 à 01h15

adhoc écrivait:
---------------
> C'est le probleme de la conservation des données EXIF. Normalement photoshop et
> paint shop pro conservent les données EXIF

Ca dépend, sous photoshop si on fait "sauver pour le web", ça supprime toutes les métadonnées.


Bul

06/07/2009 à 13h45

j'aimerai bien savoir comment BJC. a pu traiter ce cas sans rééduquer la langue


1 p3qrc4 - Eugenol
Bjc.

06/07/2009 à 20h35

"oui celui la m'intéresse
peux tu donner plus de renseignements
et aussi la radio en mail"



j'attends le feu vert de dam dam
je lui ai envoyé les Rx., il veut proposer sa solution de traitement
attention aux Inc. Inf. (31-41)

@+ Bjc.


1 p3qrc4 - Eugenol
Bjc.

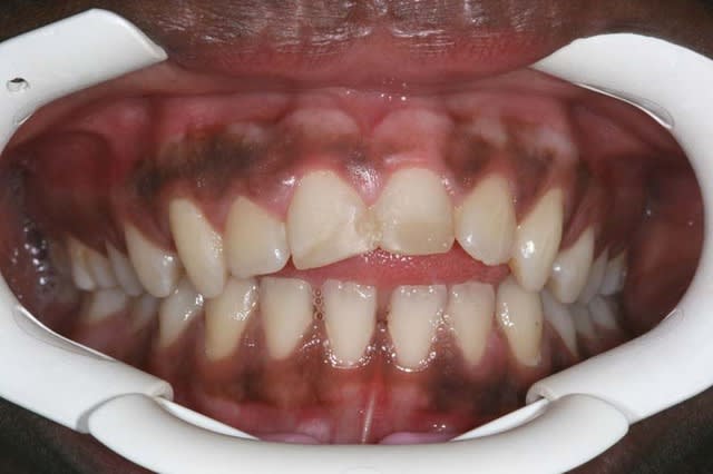
07/07/2009 à 17h07

salut,

en préambule :

vous savez que nous ne croyons pas au repositionnement de la langue par la rééducation.
nous savons que son volume est remodelable, mais que pour cela il faut lui faire de la place ; c’est le but du REFORMAGE

La grande difficulté de ce cas, que nous n’aurions pas entrepris de traiter en Ricketts, est la fragilité de l’ancrage osseux de 31-41

Ce cas fait parti des cas sur lesquels nous avons appris, (bien que nous ayons failli abandonner le TTT.)

@+ Bjc.



belette

07/07/2009 à 21h15

C'est qui "nous" ?


^ ... ^
Ô"""Ô
= o = ... tu te prends pour le roi ?


Bul

07/07/2009 à 22h18

pourquoi ne pas traiter en RICKETTS ?


1 p3qrc4 - Eugenol
Bjc.

08/07/2009 à 04h23

"si j’avais mis un arc 16*x16*, bonjours les dégats : proversion, overbite, etc…
(mm avec un arc de base en contrôle)"
pourquoi?
en début de TTT. on travaille en alignement, nivellement, il faut des forces faibles pour permettre aux forces musculaires de la sphère orale de jouer un rôle, ici l'orbiculaire.
si on met des forces trop importantes, le report de forces (action-réaction) a pour résultat une résultante antérieure avec version des incisives (Burstone, eh oui, encore lui), qui est trop puissante pour être neutralisée par l‘orbiculaire
et l’arc de base qui est aussi en 16*x16* Elgiloy rajoute des forces qui seraient dangereuses sur ce terrain parodontal.
de plus, ce système arc droit + arc de base ne fait pas de reformage d’arcades, nécessaire pour que la langue trouve de la place

@+ Bjc.


Image odged8 - Eugenol
ploc

08/07/2009 à 04h56

belette écrivait:
-----------------
> C'est qui "nous" ? ^ ... ^
> = o = ... tu te prends pour le roi ?

il est rare que les odf exercent seuls,ds un petit cab au fond des bois ou ds la province profonde: sans doute assimilait il son associé ou sa plethore d'AD
allons belette,ne ns la joue pas reine de la provo inutile
ou de l'incomprehension bornée
puis quel interêt?


1 p3qrc4 - Eugenol
Bjc.

08/07/2009 à 22h54

salut,

voici comment, en forces faibles et friction faible, on travaille les béances, avec contrôle de l'orbiculaire, pour faire de l’expansion
(Voudouris)

@+ Bjc.

Img 1 mp7slo - Eugenol
Img 2 byihbd - Eugenol
Img 3 sopziz - Eugenol

12345...