Cookie Consent byPrivacyPolicies.compuisque qu'on parle de Cl.II. - Eugenol

puisque qu'on parle de Cl.II.

Bul

09/07/2009 à 13h06

dancha, je peux utiliser tes plots avec cette mécanique?


EloD

09/07/2009 à 16h57

Bjc. écrivait:
--------------
> salut,
>
> voici comment, en forces faibles et friction faible, on travaille les béances,
> avec contrôle de l'orbiculaire, pour faire de l’expansion
> (Voudouris)

Yé ou l'expansion? Contrôle de l'orbiculaire ? comment cé t'y kon lui parle à l'orbiculaire?

Dommage qu'il n'y ait pas de contrôle des milieux incisifs....dommage que l'occlusion canines s'ouvre...bref...dommage.
La mécanique est bonne mais elle nécessiterait un appareillage mandibulaire pour un meilleur contrôle des effets secondaires par TIM (....it's one of my best friends ;-))


1 p3qrc4 - Eugenol
Bjc.

09/07/2009 à 18h08

chére EloD,

Si tu as cru que je présentais un cas terminé, tu es très tolérante, à ta place j’aurais été plus méchant !!!
je voulais simplement montrer l’équivalence du raisonnement de Ricketts en force faible, j’avais mon petit patient sur le fauteuil, j’ai pris rapidement les photos de son cas en cours
l’important c’est le principe, mais si tu veux, je vais te chercher des cas terminés

MAINTENANT :
"Yé ou l'expansion?"
regarde bien le coté G., tu verras le début de l’ouverture de la constriction

"Contrôle de l'orbiculaire ?"
il n’y a pas eu de proversion incisive, ce n’est pas un contrôle de l’orbiculaire, mais PAR l’orbiculaire
on ne contrôle pas l'orbiculaire, c'est l'orbiculaire qui contrôle l'arc (bumper)

"comment cé t'y kon lui parle à l'orbiculaire?"
s’il suffisait de lui parler, ce serait trop beau !!!

@+ Bjc.





1 eugenol dmj5np - Eugenol
Dancha

09/07/2009 à 21h15

Bul écrivait:
-------------
> dancha, je peux utiliser tes plots avec cette mécanique?

Je ne peux malheureusement pas te répondre précisément, Bul, car bjc n’explique pas sa mécanique ni ce qu’il fait ici d’extraordinaire.

Mes « plots » comme tu dis, tu peux les utiliser dans tous les cas où le contrôle radiculaire n’est pas nécessaire (c’est à dire très souvent). Les mouvements radiculaires mésio-distaux (ou disto-mésiaux) sont quand même faciles à réaliser avec l’adjonction de petits accessoires simples à confectionner. Le torque, lui, est plus délicat mais tout de même possible d'une manière unitaire. Je suis en train de le tester.

Daniel


1 p3qrc4 - Eugenol
Bjc.

09/07/2009 à 23h17

"car bjc n’explique pas sa mécanique ni ce qu’il fait ici d’extraordinaire."

je ne fais rien d'extraordinaire et ce n'est pas pas ma mécanique, (croyez bien que je le regrette), c'est celle de plus savants que moi.
elle est tellement simple si on a le matériel, c'est comme l'œuf de Colomb, il suffisait d'y penser.
ce sont les choses les plus simples qui sont le plus difficile à trouver.
pourquoi faire simple quand on peut faire compliqué!!!

@+ Bjc.


1 eugenol dmj5np - Eugenol
Dancha

10/07/2009 à 11h08

Bjc. écrivait:
--------------
>
> elle est tellement simple si on a le matériel, c'est comme l'œuf de Colomb, il
> suffisait d'y penser.

Explique nous un peu. Si on utilise le matériel adéquat, le "REFORMAGE" se fera tout seul, c'est bien ça ?

Daniel


Bul

10/07/2009 à 14h44

moi aussi je n'ai pas bien compris comment fonctionnait cette mécanique. je sais bien que rien ne se fait tout seul, sois sympa, explique nous


1 p3qrc4 - Eugenol
Bjc.

10/07/2009 à 18h40

salut,

Je rappelle que les forces utilisées ne doivent pas dépasser les forces physiologiques des muscles de la face
pour cela, on emploie des forces plus faibles en Ant. qu’en Post. car si veut de la version en Post., on n’en veut pas en Ant.
Aussi on « dédouble » l’arc qui va agir avec un seul brin, en Ant. en alignement, nivellement et sera limité (contrôlé) en propulsion par le chef de l’orbiculaire et au fur et à mesure du réalignement, l’arc va glisser en arrière, car on est en friction faible, et ne pas verser les incisives
seul l’arc qui est dans la gorge des Bk. va réaligner, l’autre est passif en Ant., agit un peu sur les canines, et au fur et à mesure du remodelage d’arcade on va insérer l’arc secondaire

@+ Bjc.


1 p3qrc4 - Eugenol
Bjc.

10/07/2009 à 22h38

P.S.: petit schema tiré du livre de M.CHATEAU

M - Eugenol

1 p3qrc4 - Eugenol
Bjc.

10/07/2009 à 23h43

le matériel

il faut des Bk. qui permettent la glisse et laissent passer 2 arcs de 0.014
soit des Bk. passifs, soit mes Bk. modifiés
les inter-actifs posent des Pbs. d'insertion d'arc

@+ Bjc.


1 p3qrc4 - Eugenol
Bjc.

11/07/2009 à 16h15

salut,

j’ai oublié de répondre à :

"Dommage qu'il n'y ait pas de contrôle des milieux incisifs....dommage que l'occlusion canines s'ouvre...bref...dommage."

tu as pu voir d’après le schéma de M. CHATEAU que si on veut reculer les inc. Sup. l’occlusion canine doit s’ouvrir. cela dépend de la distance inter-canine, c’est souvent un redressement d’axe,
le contrôle de milieux incisifs se fera en mm temps que l’appareillage du bas
dommage que vous ne voyez pas l’évolution d’un cas dans le temps
bref… dommage

@+ Bjc.



Bul

12/07/2009 à 22h52

pourquoi tu te compliques la vie bjc ? il existe chez G.A.C. un arc à force plus faible en anterieur qu'en posterieur


1 p3qrc4 - Eugenol
Bjc.

13/07/2009 à 19h23

il s'agit du Bioforce, j'ai déjà eu une courte discussion avec Saïd sur cet arc

@+ Bjc.


EloD

14/07/2009 à 15h38

Bjc. écrivait:
--------------
> chére EloD,
>
> Si tu as cru que je présentais un cas terminé....

Je ne crois que ce que je vois...et je vois une relation canine qui s'ouvre..."verticalement"

>le contrôle de milieux incisifs se fera en mm temps que l’appareillage du bas...

perso, je préfére le contrôler le plus tôt possible.
Mais si tu choisis de le faire ensuite, peux tu donner la localisation de la pathologie( sup et/ou inf.-------- basale et/ou alvélo-dentaire) de ce cas en particulier et préciser ta technique ?
Merci.


1 p3qrc4 - Eugenol
Bjc.

15/07/2009 à 14h37

chére EloD.,

il s’agit d’une pathologie alvéolo-dentaire, comme souvent avant 21 ans

tu raisonnes comme dans un cas avec extraction, ou on a fait de la place, et ou, comme on garde la forme d’arcade initiale, il ne s’agit plus que de remettre les dents en engrènement le mieux possible
dans un cas ou on ne fait pas d’extraction, et ou on cherche un reformage d’arcade, c’est à la fin du reformage que l’on s’occupe du réalignement incisif, si besoin est

tu ne crois que ce que tu vois, encore faut-il aller voir (ailleurs que sur nonol)

@+ Bjc.


1 p3qrc4 - Eugenol
Bjc.

15/07/2009 à 14h44

salut,

Dans le cas d’une béance, l’emploie de l’arc bioforce, qui est une merveille de technologie, est risqué en début de traitement

A celui qui nous dira pourquoi, j’offre une boite de macaron
et si c’est Dancha, je la lui ferait remettre par Doclyo

@+ Bjc.


EloD

15/07/2009 à 15h06

Bjc. écrivait:
--------------
> chére EloD.,
>
> il s’agit d’une pathologie alvéolo-dentaire, comme souvent avant 21 ans
>
> tu raisonnes comme dans un cas avec extraction, ou on a fait de la place, et ou,
> comme on garde la forme d’arcade initiale, il ne s’agit plus que de remettre
> les dents en engrènement le mieux possible
> dans un cas ou on ne fait pas d’extraction, et ou on cherche un reformage
> d’arcade, c’est à la fin du reformage que l’on s’occupe du réalignement incisif,
> si besoin est
>
> tu ne crois que ce que tu vois, encore faut-il aller voir (ailleurs que sur
> nonol)
>
> @+ Bjc.


...... -10∧15 ....et voilà tout...et si tu te demandes pourquoi...c’est encore plus grave.
>


Bul

15/07/2009 à 15h41

le Bioforce exerce des forces plus faibles en antérieur qu'en posterieur
pourquoi serait-il nocif en début de traitement de béance


Wolford hm5yx3 - Eugenol
Doc lyonnaise

15/07/2009 à 16h49

Bjc. écrivait:
--------------

> A celui qui nous dira pourquoi, j’offre une boite de macaron
> et si c’est Dancha, je la lui ferait remettre par Doclyo

imagine que c'est moi qui donne la bonne réponse.... si c'est moi, je garde les macarons ou quoi? faut pas déconner quand même, pffff


Bul

15/07/2009 à 21h07

je voudrais pas dire mais tu crois que tu as trouvé une réponse ou tu nous fais marcher?


Wolford hm5yx3 - Eugenol
Doc lyonnaise

15/07/2009 à 21h08

Bul écrivait:
-------------
> je voudrais pas dire mais tu crois que tu as trouvé une réponse ou tu nous fais
> marcher?

qui moi? ça dépend de la marque des macarons :-)))))))


1 p3qrc4 - Eugenol
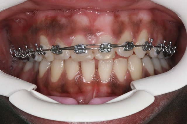
Bjc.

15/07/2009 à 22h51

revu ce jour...

Img 1 gqkdhp - Eugenol

1 p3qrc4 - Eugenol
Bjc.

15/07/2009 à 23h26

voila encore un cas ou mettre un Bioforce en debut de TTT. aurait été contre indiqué

@+ Bjc.

Img 1 pimare - Eugenol
Img 3 tlehj8 - Eugenol
Img 2 mrzbah - Eugenol

Grueavatar nptrc9 - Eugenol
Le Choixpeau magique

15/07/2009 à 23h39

Risque de passer en classe III ?
Plus de force en postérieur veut dire plus de friction à ce niveau ce qui fait que l'arc a tendance à reculer et à tiper les incisives en lingual ?


1 p3qrc4 - Eugenol
Bjc.

16/07/2009 à 13h34

:-))
MDR.
tu é zerieu ?


1...456...