Cookie Consent byPrivacyPolicies.compuisque qu'on parle de Cl.II. - Eugenol

puisque qu'on parle de Cl.II.

1 p3qrc4 - Eugenol
Bjc.

18/07/2009 à 19h01

cher Bul,

"pourquoi ne pas mettre de double arc ?"

il s’agit ici, d’une Cl.II. 2. division 2, (avec les latérales qui rentrent). avec un seul arc, je m’appuie sur le blocage des incisives latérales pour déverrouiller en Post. et lancer l’expansion

un double arc, qui serait ligaturé dans la gorge de 12/22 serait trop puissant, réalignerait en premier les incisives Lat. en créant une version Ant. indésirable des Inc. Centrales.

mm. chose avec un bioforce

c’est de la micro-physio-biolo-megalo-mecano-ortho-artisitico-odontologique et ses variantes atypiques

@+ Bjc.


Wolford hm5yx3 - Eugenol
Doc lyonnaise

18/07/2009 à 20h19

Bjc, étant donné ta lenteur de réaction (pfff) concernant les macarons, on a du (mister big et moi même) se déplacer ce jour à la boutique Pierre Hermé; ci-joint la facture, je te prie de bien vouloir me faire parvenir ton règlement dans les meilleurs délais :-P

Dsc04644 vorfoo - Eugenol

EloD

18/07/2009 à 20h24

Bjc. écrivait:

> avec un seul arc, je m’appuie sur le blocage des incisives latérales pour
> déverrouiller en Post. et lancer l’expansion
>

jsais pas vous...mais moi, jpige kedal

> c’est une Cl.II.2. la Cl.II.2. est plus caractérisée par la position des Inc.
> Sup. que par l’engrènement des 3 et des 6. mon petit patient a 15 ans, et si on
> ne fait rien il va progressivement passer en Cl.II. en Post.

à 15 ans , si il est en clII/2, il est classe II molaires...sinon cela s'appelle une classe I.
Sur les photos, il me semble voir une classe II molaires droite, une classe I( voir III molaires gauche),et une forte déviation des milieux incisifs. Je ne vois pas de classe II/2. Si ton diagnostic de départ est érroné, tu n'arriveras à aucun résultat satisfaisant...sauf à aligner les quatre incisives :-(


1 p3qrc4 - Eugenol
Bjc.

18/07/2009 à 20h25

tu n'es pas tombé sur la bonne personne
je t'ai ouvert un compte demande "Nina"

bon je l'annule et fais un virement

@+ Bjc.

P.S./ je m'attendais à +


Mmmm

18/07/2009 à 20h56

Bjc. écrivait:
--------------
> cher Bul,
>
> Cl.II. ?
>
> c’est une Cl.II.2. la Cl.II.2. est plus caractérisée par la position des Inc.
> Sup. que par l’engrènement des 3 et des 6. mon petit patient a 15 ans, et si on
> ne fait rien il va progressivement passer en Cl.II. en Post.
>
> @+ Bjc.
>

Bonjour, Bjc, est-ce que tu pourrais mettre la télé de profil s'il te plait?


1 p3qrc4 - Eugenol
Bjc.

18/07/2009 à 22h58

télé de profil

@+ Bjc.

Rx - Eugenol

1 p3qrc4 - Eugenol
Bjc.

19/07/2009 à 01h06

Photo

@+ Bjc.

Profil 1 jkdhic - Eugenol

Bul

19/07/2009 à 03h22

bjc, je comprends pas bien, il se fait tard!!!
comment tu raisonnes pour:

"je m’appuie sur le blocage des incisives latérales pour déverrouiller en Post. et lancer l’expansion"

on ne peut pas s'appuyer sur un "blocage"


Mmmm

19/07/2009 à 12h13

Bjc. écrivait:
--------------
> cher Bul,
>
> Cl.II. ?
>
> c’est une Cl.II.2. la Cl.II.2. est plus caractérisée par la position des Inc.
> Sup. que par l’engrènement des 3 et des 6. mon petit patient a 15 ans, et si on
> ne fait rien il va progressivement passer en Cl.II. en Post.
>
> @+ Bjc.
>

je suis d'acord avec toi Bjc, la Cl II2 est de temps en temps en pseudo ClI molaire avec une supra et des latérales en vestibuloversion par rapport aux centrales...mais là pour moi c'est pas du tout une Cl II 2


1 p3qrc4 - Eugenol
Bjc.

19/07/2009 à 13h21

tu appellerai cette classe comment ?
D.D.M. tendance Cl. II.
de toute manier, on ne saura jamais comment aurait évolué ce cas dans le temps
je vais te faire des photos de moulage

@+ Bjc.


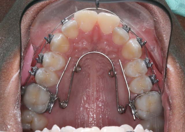
1 p3qrc4 - Eugenol
Bjc.

19/07/2009 à 15h18

salut,

voici la mécanique mise en place pour ce cas et comment j’utilise (en friction faible, forces faibles) le fait que les Inc. Lat. soient bloquées en lingual pour le redressement des 3/4/5 tout en évitant la pro-version des Inc. centrales qui est Tjs. longue à rattraper et peut occasionner des rhizalyses

@+ Bjc.

Vue o - Eugenol

Grueavatar nptrc9 - Eugenol
Le Choixpeau magique

19/07/2009 à 15h57

Je ne comprend pas, ton arc va avoir tendance à bailler en antérieur, retenant encore moins les centrales et ayant tendance à entraîner une rotation distale, non ?

Je suis le candide de l'ortho, pas taper...


1 p3qrc4 - Eugenol
Bjc.

19/07/2009 à 16h36

salut,

mon arc (très peu puissant) est bloqué en 14, un peu en 12 et en 22
+ l’action du Q.H.
+ l’action de la lèvre Sup.
tu n’es pas obligé de croire, donc voici le résultat,
je viens de placer un arc 16*x16* austénitique, toujours pas inclus 11/21,
je vais d’abord appareiller le bas (sans inclure les 6) à la rentrée. pour encore laisser rentrer les centrales Sup. sous la pression de la levre

@+ Bjc.

Vue o - Eugenol
Vue o - Eugenol

Grueavatar nptrc9 - Eugenol
Le Choixpeau magique

19/07/2009 à 17h04

Ce n'est pas le problème de croire, mais de comprendre.
Le but c'est d'avoir le moins de friction possible sur les centrales ?


1 p3qrc4 - Eugenol
Bjc.

19/07/2009 à 17h36

salut,

l’ortho, c’est de l’occlusion

il y a différentes techniques, je travaille en friction faible qui me permet d’utiliser des forces faibles, avec l’aides des forces musculaires et occlusales

si on met des Bk. sur 11/21 on active (cintrage) l’arc en Ant. on n’aura pas d’action en Post. à part le Q.H. et les forces labiales seront trop faibles pour empêcher la version

le but est: ne pas verser les centrales tout en travaillant l’expansion qui fera de la place pour les reculer

@+ Bjc.


Bul

19/07/2009 à 18h18

et si tu avais mis un 2° arc, tu l'aurais mis comment ?


Utilisateur banni

19/07/2009 à 19h56

Doc lyonnaise écrivait:
-----------------------
> Bjc, étant donné ta lenteur de réaction (pfff) concernant les macarons, on a du
> (mister big et moi même) se déplacer ce jour à la boutique Pierre Hermé;
> ci-joint la facture, je te prie de bien vouloir me faire parvenir ton règlement
> dans les meilleurs délais :-P

Tu te fais pas chier pour tes Macarons...
Pierre Hermé Paris
185 BOULEVARD DE VAUGIRARD
75015 PARIS

--
http://soundcloud.com/narik/tracks


1 p3qrc4 - Eugenol
Bjc.

19/07/2009 à 21h58

cher Bul,

quand on met 2 arcs, il y en a un actif et l’autre qui contrôle en se faisant aider par les forces musculaires sur l’ancrage

dans ce cas, on ne peut pas mettre d’arc de contrôle, on n’as pas l’ancrage 12/11/21/22 car 12/11/21/22 n’est pas aligné

si on mettait un 2° arc, il serait également actif, (on aurait l’équivalent d’un 20*x20*), tout exploserait, je n’ose imaginer les dégâts

@+ Bjc.



1 p3qrc4 - Eugenol
Bjc.

20/07/2009 à 00h44

chére EloD.D.

"à 15 ans , si il est en clII/2, il est classe II molaires...sinon cela s'appelle une classe I."

il n’y a pas que la classe molaire, et oui, il faut voir l’évolution dans le temps, tu peux l’appeler une Cl. I. aujourd’hui et si demain il passe en Cl.II canine, puis molaire, tu l’appelleras comment ?

l’ortho, c’est comme la pédo, c’est préventif, faire des diagnostics sur une situation de l’instant n’est pas clinique
c'est pas préventif, sinon il faut mettre l'interception à la poubelle

@+ Bjc.


1 p3qrc4 - Eugenol
Bjc.

20/07/2009 à 14h12

Modèles de départ@+ Bjc.



Img 1492 1 sxzyfd - Eugenol

Bul

20/07/2009 à 15h10

tu nous a habitué a de meilleures photos


EloD

20/07/2009 à 17h04

Bjc. écrivait:
--------------
> Modèles de départ@+ Bjc.
>
>

Commence par changer de technicien-dentaire :-)))

Moulage diagnostic 4 2 v4732a - Eugenol

1 p3qrc4 - Eugenol
Bjc.

20/07/2009 à 17h58

je ne peux pas changer de technicien pour la bonne raison que nous n'en avons pas
le plus proche est à 3 000 Km.
;-)))

voici une meilleure photo du coté D.

@+ Bjc.

P.S.: ce n'est pas un beau modèle en plâtre qui fait un bon TTT.


1 p3qrc4 - Eugenol
Bjc.

20/07/2009 à 18h54

La photo n'est pas passée
re essai

Img 1493 1 obokf0 - Eugenol

1 p3qrc4 - Eugenol
Bjc.

20/07/2009 à 19h21

Chére EloD.,

bien que mon modèle ne soit pas en taille américaine, tu as trouvé en quelle classe il est ?
ou plutôt, il était au départ

@+ Bjc.


1...6789