Cookie Consent byPrivacyPolicies.comcahier de vacances école pxav... - Eugenol

cahier de vacances école pxav...

Photo pluton1b h9n4ea - Eugenol
pluton

05/08/2009 à 18h42

après avoir vu le Maître oeuvrer...y a plus qu'a faire les travaux pratiques...
voilà un ptit cas de...disons 23 bis...car double agénésies des latérales...pas trop mal compensée naturellement secteur 1...mais persistance de la 63...à bout de souffle...

cette petite patiente ne veux pas d'ODF...mais ne veux pas rester sans dent...d'où cette intervention...avec la pose d'1 implant, avec expansion à l'aide de mon kit MIS... et mise en vitrine immédiate...

Img 2671 jjb5xx - Eugenol
Img 2670 lovzcc - Eugenol
Avant fv6bot - Eugenol

Photo pluton1b h9n4ea - Eugenol
pluton

05/08/2009 à 18h45

suite des photos...

désolé pour la surex des images...j'ai fait de mon mieux pour les rattraper...mais c'était une première pour mon assistante...

Img 2672 ek1yng - Eugenol
Img 2673 zkoteg - Eugenol
Img 2675 k9cbxk - Eugenol
Img 2680 nj0cce - Eugenol
Fin rzpgcx - Eugenol

S2y2o1v7q53ws4r5wy6ou8czrpom - Eugenol
pxav

05/08/2009 à 19h44

et bien je peux partir, la jeune garde arrive.
c'est quoi le problème dans le vestibule?
--
xbk


Photo pluton1b h9n4ea - Eugenol
pluton

05/08/2009 à 20h02

pxav écrivait:
--------------
> et bien je peux partir, la jeune garde arrive.
> c'est quoi le problème dans le vestibule?
> --
> xbk

aucun...juste mon point d'injection de l'anesthésie locale...;-))

intervention totale flapless...y devrais pas trop y avoir de suites op...;-))

en effet...l'expansion au moteur...çà change tout...;-))


S2y2o1v7q53ws4r5wy6ou8czrpom - Eugenol
pxav

05/08/2009 à 21h17

pluton écrivait:
----------------

> aucun...juste mon point d'injection de l'anesthésie locale...;-))
>
> intervention totale flapless...y devrais pas trop y avoir de suites op...;-))
>
> en effet...l'expansion au moteur...çà change tout...;-))

pour le flapless secteur anterieur il faut etre "prudent avec la concavité vestibulaire, il m'arrive de me faire avoir.
il est certain qu'avec les expanseurs sur le CA, tout va mieux, le patient y compris.
--
xbk


Img 8465 fqhxid - Eugenol
noahaxeltiger-olivier

06/08/2009 à 01h35

Jolie réalisation pluton. Dis-moi, il faut vraiment que tu donnes des cours de photo à ton assistante parce que là ca ne va pas du tout !! ;-))
Juste dommage de ne pas avoir une bonne iconographie dans des cas cliniques pareil !!

Amicalement
Olivier.


Wolford hm5yx3 - Eugenol
Doc lyonnaise

06/08/2009 à 09h20

Qu'est-ce qu'il se la père ce Pxav...
Qu'est-ce qu'il fait de la lèche ce Pluton...
sinon les gars y a les MP pour vos devoirs....


S2y2o1v7q53ws4r5wy6ou8czrpom - Eugenol
pxav

06/08/2009 à 09h44

Doc lyonnaise écrivait:
-----------------------
> Qu'est-ce qu'il se la père ce Pxav...
> Qu'est-ce qu'il fait de la lèche ce Pluton...
> sinon les gars y a les MP pour vos devoirs....

adorable Doc lyonnaise! je crois que je tomberais amoureux, si je ne savais pas que t'es un mec.
bisous quand même, avec une telle bouche.....
merci pour tes MP, le rêve, c'est bon.
--
xbk


Photo pluton1b h9n4ea - Eugenol
pluton

06/08/2009 à 09h50

Doc lyonnaise écrivait:
-----------------------

> Qu'est-ce qu'il fait de la lèche ce Pluton...

avec ton avatar de ce jour...c'est plutôt toi qui est équipée pour ce genre de flatterie...encore qu'avec le percing...je ne suis pas sûr que ce soit très agréable...

> sinon les gars y a les MP pour vos devoirs....

je ne fais que présenter un cas clinique...après avoir "progressé" en allant voir à son cabinet pxav...j'ai beaucoup appris...je partage avec les autres mon retour d'expérience...en MP avec pxav...qu'aurais tu vu ou appris??? rien...et si çà t'intéresses pas...d'autres le sont...


Photo pluton1b h9n4ea - Eugenol
pluton

06/08/2009 à 09h57

noahaxeltiger-olivier écrivait:
-------------------------------
> Jolie réalisation pluton. Dis-moi, il faut vraiment que tu donnes des cours de
> photo à ton assistante parce que là ca ne va pas du tout !! ;-))
> Juste dommage de ne pas avoir une bonne iconographie dans des cas cliniques
> pareil !!
>
> Amicalement
> Olivier.

merci pour le compliment...de ta part...çà fait chaud au coeur...
pour les photos...c'est en partie ma faute... mon appareil était "calibré" pour les photos juste avec mon cacan (pour photos de teintes des dents à transférer à mon prothésiste)...en mode manuel...avec le scialytique en plus...forcément surexposition...si j'avais mis un autre mode (programme ou macro...voir tout auto...) les photos auraient été bonnes...et moi, j'étais concentré sur mon intervention...

erreur de débutant en photo de chir...je compte bien rectifier çà la semaine prochaine...


Humator t9r5wy - Eugenol
humator

06/08/2009 à 11h29

sympa ce p'tit cas plut'!
bravo!
tu es parti avec combien d'épaisseur osseuse?

(NB: pour le piercing, tu fais erreur, c'est plutot pas mal!)

--
N.Hum


Photo pluton1b h9n4ea - Eugenol
pluton

06/08/2009 à 13h44

là, y avais quand même pas mal d'os...la crète, assez régulière devais bien faire 5 à 6mm...j'aurais très bien pu poser sans faire d'expansion...
mais c'est surtout la qualité osseuse qui m'a fait faire ce choix...la densité me semblait pas top (souvent le cas dans les sites avec agénésie...) et c'était l'occasion en plus d'améliorer, ou plutôt d'éliminer, la légère concavité vestibulaire...
et puis là au moins pas de problème de stab primaire...(remarques, valait mieux...pour la mise en vitrine immédiate...)...le moteur a calé (couple réglé...) à 72N/cm...et j'ai fini à la clef à cliquet directement dans l'hexagone de l'implant...je devais à mon avis être largement au delà des 100N/cm...


S2y2o1v7q53ws4r5wy6ou8czrpom - Eugenol
pxav

06/08/2009 à 14h52

pluton écrivait:
----------------
je devais à mon avis être largement au delà des
> 100N/cm...

d'où l'interet du satelec qui monte à 120N
mais tu es costaud toi!
--
xbk


Photo pluton1b h9n4ea - Eugenol
pluton

06/08/2009 à 15h58

pxav écrivait:
--------------

> d'où l'interet du satelec qui monte à 120N
> mais tu es costaud toi!
> --
> xbk

non, avec le chiropro et mon CA 1/100 je montes à plus...(175N/cm si ma mémoire est bonne...)mais comme le porte implant alu zimmer casse à 90/100 N/cm et que c'est parfois galère de retirer ce qui reste dans l'implant...je limite à 72N/cm et fini à la clef...;-))


Photo pluton1b h9n4ea - Eugenol
pluton

06/08/2009 à 17h41

ma mémoire est pas bonne...après vérification avec mon 1/100 je peux monter à 240Ncm...le double de ton implant center satelec, pxav....
mais je m'y risquerais pas...pas sûr que le CA casse pas avec une telle valeur de couple...on peut même "théoriquement" (dixit le manuel...) monter à 800Ncm avec un CA 1/1000....de quoi casser même l'implant....


S2y2o1v7q53ws4r5wy6ou8czrpom - Eugenol
pxav

06/08/2009 à 20h18

pluton écrivait:
----------------
> ma mémoire est pas bonne...après vérification avec mon 1/100 je peux monter à
> 240Ncm...le double de ton implant center satelec, pxav....
> mais je m'y risquerais pas...pas sûr que le CA casse pas avec une telle valeur
> de couple...on peut même "théoriquement" (dixit le manuel...) monter à 800Ncm
> avec un CA 1/1000....de quoi casser même l'implant....

le satelec c'est 120N avec un CA 20/1 (et il ne casse pas : Anthogyr) .........si tu veux je regarderais avec le 100/1 MM.

--
xbk


Photo pluton1b h9n4ea - Eugenol
pluton

06/08/2009 à 20h37

ah là ok...avec un 1/20...le chiropro rend les armes...seulement 56Ncm...
mais bon...comme j'ai le 1/100 sous la main...je change de CA comme on change de vitesse...çà prend 30 secondes...


Avatar ow44t3 - Eugenol
Chicot

11/08/2009 à 16h29

Vous annoncez des couples très important.

A partir de quel couple se crée l'acidose ?

Une compression excessive ne risque pas de créer de forte résorption osseuse par ischémie ?

Joli cas flapless mais icono à chier !!!


lol



--
;O)


Photo pluton1b h9n4ea - Eugenol
pluton

11/08/2009 à 17h22

Chicot écrivait:
----------------
> Vous annoncez des couples très important.
>
> A partir de quel couple se crée l'acidose ?
>
> Une compression excessive ne risque pas de créer de forte résorption osseuse par
> ischémie ?
>
> Joli cas flapless mais icono à chier !!!
>
>
> lol
>
>
>
> --
> ;O)

oui...les couples de serrage sont importants...mais tu oublies une chose essentielle...le design de ton implant, sa conicité, influent radicalement sur la force compressive transmise à l'os...avec les implants Zimmer et ID...même avec de telles valeur de couple de serrage...aucun problème de résorption par ischémie...
faudrait que je retrouve l'article...mais il me semble que M.Jabbour à fait une étude sur le TSV avec de très forts couples de vissage...de mémoire il est monté à 175Ncm...

pour l'icono...c'est vrai...et c'est ma faute (mauvais réglage de l'apn)...mais demain je refais un ptit cas sympa...et photos de la partie...en mode un peu plus automatique (P) pour que mon assistante ait pas les paramètres d'expo à gérer....;-)


Casque beotien a3jo39 - Eugenol
beotien

12/08/2009 à 16h14

,


Photo pluton1b h9n4ea - Eugenol
pluton

12/08/2009 à 16h28

l'expansion à la main..c'est ce que je faisait...et c'était une erreur...pxav m'a beaucoup appris...l'expansion, c'est au moteur qu'on doit le faire...après, pour la pose des implants...c'est au choix...au moteur ou à la main...moi, je préfère à la main...


Photo pluton1b h9n4ea - Eugenol
pluton

12/08/2009 à 20h25

allez...suite des gammes...entre deux "regards" sur doctissimo...(on se marre bien...Sid est déchaîné...)

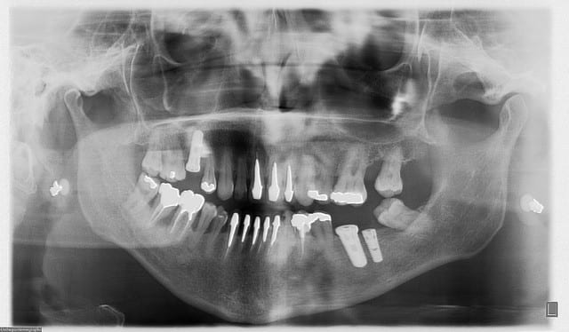
bon , patiente 60ans...pas de pbs médicaux...paro...moyenne mais pas trop mal stabilisée...y a mieux...c'est sûr...(j'entends déjà les "foudres" de Noah...)
os type 3...pas top...d'où compression/expansion...

3 implants posés en 36, 37, et 15...
les implant en 15 et 36 sont des 4.7mm par 11.5mm et l'implant en 37 est un 3.7mm par 10mm (pas assez de place au niveau proth pour 2 4.7mm...)

juste un ptit problème de dernière minute pour l'implant en 37...l'expansion finale de l'implant mis en 36 a un peu fissuré la crête...me faisant perdre un peu de stab primaire...rien de dramatique...mais j'ai préféré du coup enfouir...

Img 2684 foshhg - Eugenol
Img 2687 mxxg9k - Eugenol
Img 2691 e5ugo9 - Eugenol
Img 2694 kcrvau - Eugenol
Img 2696 hirttg - Eugenol
Img 2697 laddxj - Eugenol
Img 2705 n6nln5 - Eugenol
Img 2706 fsjpar - Eugenol
Img 2708 noa617 - Eugenol
Img 2709 dkfxwt - Eugenol
Img 2711 zmdxa8 - Eugenol
Img 2714 nmxqe5 - Eugenol
Img 2717 q7uuwd - Eugenol
Img 2718 ruf5rn - Eugenol

Photo pluton1b h9n4ea - Eugenol
pluton

12/08/2009 à 21h00

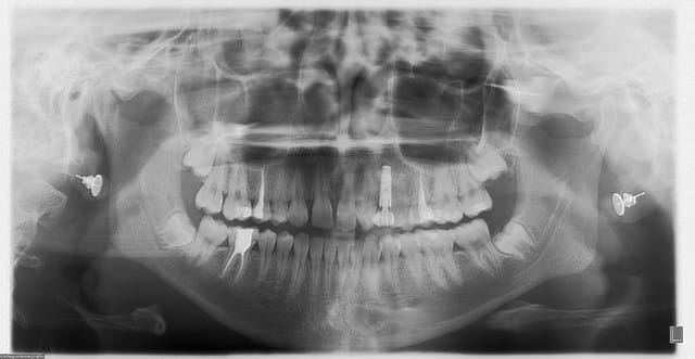
j'avais oublié...la pano...

pour les photos, c'est mieux...pas encore Yann Arthus Bertrand...mais là çà peut aller...on progresse, on progresse...

Controle bk6qan - Eugenol

P1010130 jpci1f - Eugenol
MarcB6

12/08/2009 à 23h30

pluton écrivait:
----------------
> l'expansion à la main..c'est ce que je faisait...et c'était une erreur...pxav
> m'a beaucoup appris...l'expansion, c'est au moteur qu'on doit le faire...

Salut Pluton,

Comme toi je pratique l'expansion depuis de nombreuses années à la main, à la clef à cliquet ou encore dans la zone du pré maxillaire à l'aide d'un manche de type Zimmer qui sert à placer les implants.
Je n'ai jamais pratiqué l'expansion au moteur.
Peux tu me dire STP, ce que cela t'a apporté en terme d'efficacité de sensation clinique ... de travailler au moteur.
Je sais que PXAV qui en fait beaucoup ne travaille que de cette façon.
Merci pour ta réponse.
Cordialement

--
marcB6


P1010130 jpci1f - Eugenol
MarcB6

12/08/2009 à 23h33

Bravo pour la réalisation de ton cas et l'iconographie

--
marcB6


12